术中透视在脑室导管置入中的应用:穷人的导航。

IF 0.8 Q3 MEDICINE, GENERAL & INTERNAL
Jagminder Singh, Saurabh Sharma, Shivender Sobti, Ashwani Kumar Chaudhary, Hanish Bansal, Manish Sharma
{"title":"术中透视在脑室导管置入中的应用:穷人的导航。","authors":"Jagminder Singh, Saurabh Sharma, Shivender Sobti, Ashwani Kumar Chaudhary, Hanish Bansal, Manish Sharma","doi":"10.4103/ijabmr.ijabmr_559_24","DOIUrl":null,"url":null,"abstract":"<p><strong>Background: </strong>Ventricular catheter (VC) misplacement is one of the most common causes of ventriculoperitoneal (VP) shunt malfunction and revision surgery. Most of the VC placements are done by freehand method. We evaluated the use of intraoperative fluoroscopy for assessing VC placement.</p><p><strong>Materials and methods: </strong>A total of 70 patients were enrolled in the study. Patients with hydrocephalus who required cerebrospinal fluid diversion were enrolled in the study. Thirty-five patients were placed in the control group (patients in whom intraoperative fluoroscopy was not done), and 35 patients were placed in the test group (patients in whom intraoperative fluoroscopy was done). Patients with trapped ventricles and multiloculated hydrocephalus were excluded from the study. VP shunt insertion was done through standard Keen's point.</p><p><strong>Results: </strong>The positioning of VC was optimal in 40 patients, with a significant difference between the test group and the control group. Gross malpositioning was seen in seven patients: four in the test group and three in the control group. All gross malpositioned VCs in the test group were corrected intraoperatively. VC crossing midline was less in the test group as compared to the control group.</p><p><strong>Conclusion: </strong>Fluoroscopy is an easy and cheap method to assess VC position intraoperatively. It is readily available and helps us in avoiding resurgery due to VC misplacement and subsequent blockage.</p>","PeriodicalId":13727,"journal":{"name":"International Journal of Applied and Basic Medical Research","volume":"15 3","pages":"158-162"},"PeriodicalIF":0.8000,"publicationDate":"2025-07-01","publicationTypes":"Journal Article","fieldsOfStudy":null,"isOpenAccess":false,"openAccessPdf":"https://www.ncbi.nlm.nih.gov/pmc/articles/PMC12422553/pdf/","citationCount":"0","resultStr":"{\"title\":\"Use of Intraoperative Fluoroscopy for Brain Ventricular Catheter Insertion: Poor Man's Navigation.\",\"authors\":\"Jagminder Singh, Saurabh Sharma, Shivender Sobti, Ashwani Kumar Chaudhary, Hanish Bansal, Manish Sharma\",\"doi\":\"10.4103/ijabmr.ijabmr_559_24\",\"DOIUrl\":null,\"url\":null,\"abstract\":\"<p><strong>Background: </strong>Ventricular catheter (VC) misplacement is one of the most common causes of ventriculoperitoneal (VP) shunt malfunction and revision surgery. Most of the VC placements are done by freehand method. We evaluated the use of intraoperative fluoroscopy for assessing VC placement.</p><p><strong>Materials and methods: </strong>A total of 70 patients were enrolled in the study. Patients with hydrocephalus who required cerebrospinal fluid diversion were enrolled in the study. Thirty-five patients were placed in the control group (patients in whom intraoperative fluoroscopy was not done), and 35 patients were placed in the test group (patients in whom intraoperative fluoroscopy was done). Patients with trapped ventricles and multiloculated hydrocephalus were excluded from the study. VP shunt insertion was done through standard Keen's point.</p><p><strong>Results: </strong>The positioning of VC was optimal in 40 patients, with a significant difference between the test group and the control group. Gross malpositioning was seen in seven patients: four in the test group and three in the control group. All gross malpositioned VCs in the test group were corrected intraoperatively. VC crossing midline was less in the test group as compared to the control group.</p><p><strong>Conclusion: </strong>Fluoroscopy is an easy and cheap method to assess VC position intraoperatively. It is readily available and helps us in avoiding resurgery due to VC misplacement and subsequent blockage.</p>\",\"PeriodicalId\":13727,\"journal\":{\"name\":\"International Journal of Applied and Basic Medical Research\",\"volume\":\"15 3\",\"pages\":\"158-162\"},\"PeriodicalIF\":0.8000,\"publicationDate\":\"2025-07-01\",\"publicationTypes\":\"Journal Article\",\"fieldsOfStudy\":null,\"isOpenAccess\":false,\"openAccessPdf\":\"https://www.ncbi.nlm.nih.gov/pmc/articles/PMC12422553/pdf/\",\"citationCount\":\"0\",\"resultStr\":null,\"platform\":\"Semanticscholar\",\"paperid\":null,\"PeriodicalName\":\"International Journal of Applied and Basic Medical Research\",\"FirstCategoryId\":\"1085\",\"ListUrlMain\":\"https://doi.org/10.4103/ijabmr.ijabmr_559_24\",\"RegionNum\":0,\"RegionCategory\":null,\"ArticlePicture\":[],\"TitleCN\":null,\"AbstractTextCN\":null,\"PMCID\":null,\"EPubDate\":\"2025/8/20 0:00:00\",\"PubModel\":\"Epub\",\"JCR\":\"Q3\",\"JCRName\":\"MEDICINE, GENERAL & INTERNAL\",\"Score\":null,\"Total\":0}","platform":"Semanticscholar","paperid":null,"PeriodicalName":"International Journal of Applied and Basic Medical Research","FirstCategoryId":"1085","ListUrlMain":"https://doi.org/10.4103/ijabmr.ijabmr_559_24","RegionNum":0,"RegionCategory":null,"ArticlePicture":[],"TitleCN":null,"AbstractTextCN":null,"PMCID":null,"EPubDate":"2025/8/20 0:00:00","PubModel":"Epub","JCR":"Q3","JCRName":"MEDICINE, GENERAL & INTERNAL","Score":null,"Total":0}
引用次数: 0

摘要

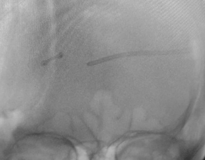
背景:脑室导管(VC)错位是脑室-腹膜(VP)分流管功能障碍和翻修手术的最常见原因之一。大多数VC的放置都是徒手完成的。我们评估了术中透视评估VC放置的使用。材料与方法:共纳入70例患者。需要脑脊液分流的脑积水患者被纳入研究。35例患者设为对照组(术中未行透视检查),35例患者设为试验组(术中行透视检查)。脑室截留和多室脑积水患者被排除在研究之外。通过标准基恩氏点插入副静脉分流器。结果:40例患者VC定位最佳,试验组与对照组有显著性差异。7例患者出现明显的体位错位:实验组4例,对照组3例。试验组患者术中全部矫正大体移位VCs。与对照组相比,试验组VC穿过中线较少。结论:术中透视是一种简便、廉价的评估VC位置的方法。它很容易获得,并帮助我们避免由于VC错位和随后的阻塞而进行手术。
本文章由计算机程序翻译,如有差异,请以英文原文为准。

Use of Intraoperative Fluoroscopy for Brain Ventricular Catheter Insertion: Poor Man's Navigation.

Use of Intraoperative Fluoroscopy for Brain Ventricular Catheter Insertion: Poor Man's Navigation.

Use of Intraoperative Fluoroscopy for Brain Ventricular Catheter Insertion: Poor Man's Navigation.

Use of Intraoperative Fluoroscopy for Brain Ventricular Catheter Insertion: Poor Man's Navigation.

Background: Ventricular catheter (VC) misplacement is one of the most common causes of ventriculoperitoneal (VP) shunt malfunction and revision surgery. Most of the VC placements are done by freehand method. We evaluated the use of intraoperative fluoroscopy for assessing VC placement.

Materials and methods: A total of 70 patients were enrolled in the study. Patients with hydrocephalus who required cerebrospinal fluid diversion were enrolled in the study. Thirty-five patients were placed in the control group (patients in whom intraoperative fluoroscopy was not done), and 35 patients were placed in the test group (patients in whom intraoperative fluoroscopy was done). Patients with trapped ventricles and multiloculated hydrocephalus were excluded from the study. VP shunt insertion was done through standard Keen's point.

Results: The positioning of VC was optimal in 40 patients, with a significant difference between the test group and the control group. Gross malpositioning was seen in seven patients: four in the test group and three in the control group. All gross malpositioned VCs in the test group were corrected intraoperatively. VC crossing midline was less in the test group as compared to the control group.

Conclusion: Fluoroscopy is an easy and cheap method to assess VC position intraoperatively. It is readily available and helps us in avoiding resurgery due to VC misplacement and subsequent blockage.

求助全文
通过发布文献求助,成功后即可免费获取论文全文。 去求助
来源期刊
自引率
0.00%
发文量
46
×
引用
GB/T 7714-2015
复制
MLA
复制
APA
复制
导出至
BibTeX EndNote RefMan NoteFirst NoteExpress
×
提示
您的信息不完整,为了账户安全,请先补充。
现在去补充
×
提示
您因"违规操作"
具体请查看互助需知
我知道了
×
提示
确定
请完成安全验证×
copy
已复制链接
快去分享给好友吧!
我知道了
右上角分享
点击右上角分享
0
联系我们:info@booksci.cn Book学术提供免费学术资源搜索服务,方便国内外学者检索中英文文献。致力于提供最便捷和优质的服务体验。 Copyright © 2023 布克学术 All rights reserved.
京ICP备2023020795号-1
ghs 京公网安备 11010802042870号
Book学术文献互助
Book学术文献互助群
群 号:604180095
Book学术官方微信