心脏磁共振作为发现异常弥散性组织胞浆菌病的关键:1例报告。

IF 0.8 Q4 CARDIAC & CARDIOVASCULAR SYSTEMS
European Heart Journal: Case Reports Pub Date : 2025-08-21 eCollection Date: 2025-09-01 DOI:10.1093/ehjcr/ytaf408
Giorgia Benzoni, Ilaria Garofani, Diana Artioli, Cristina Giannattasio, Patrizia Pedrotti
{"title":"心脏磁共振作为发现异常弥散性组织胞浆菌病的关键:1例报告。","authors":"Giorgia Benzoni, Ilaria Garofani, Diana Artioli, Cristina Giannattasio, Patrizia Pedrotti","doi":"10.1093/ehjcr/ytaf408","DOIUrl":null,"url":null,"abstract":"<p><strong>Background: </strong>Disseminated histoplasmosis is a severe fungal infection caused by <i>Histoplasma capsulatum</i> which primarily affects immunocompromised individuals, leading to widespread infection in multiple organs such as lungs, liver, and spleen. Early diagnosis and treatment are crucial for effective management.</p><p><strong>Case summary: </strong>We herein report the case of a 33-year-old male patient who presented to the Emergency Department with fever and chest pain after returning from a journey from a tropical region in Centre America. Initial tests showed elevated high-sensitivity troponin T (Hs-TnT) levels, suggesting possible cardiac involvement, but EKG and chest X-ray were normal. Echocardiography detected hypokinesis of the interventricular septum and a small pericardial effusion. Cardiac magnetic resonance (CMR) showed left ventricular function at lower normal limits and a small pericardial effusion, but also masses in the lungs and mediastinum, confirmed by computed tomography. Biopsy was performed, and histology revealed disseminated histoplasmosis. The patient was treated with antifungals and was discharged after two weeks, continuing antifungal administration in the outpatient clinic for 18 months. Follow-up imaging showed significant reduction of the masses. The patient remained asymptomatic with no further treatment needed.</p><p><strong>Discussion: </strong>In this case report, we emphasize the essential role of a multimodal imaging approach in diagnosing cardiac inflammatory diseases. CMR was pivotal providing a three-dimensional perspective of the mediastinum, which led to the identification of a retrocardiac mediastinal mass that might have otherwise gone undetected. This highlights the importance of integrating multimodality imaging techniques to improve diagnostic accuracy and guide effective treatment strategies.</p>","PeriodicalId":11910,"journal":{"name":"European Heart Journal: Case Reports","volume":"9 9","pages":"ytaf408"},"PeriodicalIF":0.8000,"publicationDate":"2025-08-21","publicationTypes":"Journal Article","fieldsOfStudy":null,"isOpenAccess":false,"openAccessPdf":"https://www.ncbi.nlm.nih.gov/pmc/articles/PMC12418945/pdf/","citationCount":"0","resultStr":"{\"title\":\"Cardiac magnetic resonance as the key to uncovering unusual disseminated histoplasmosis: a case report.\",\"authors\":\"Giorgia Benzoni, Ilaria Garofani, Diana Artioli, Cristina Giannattasio, Patrizia Pedrotti\",\"doi\":\"10.1093/ehjcr/ytaf408\",\"DOIUrl\":null,\"url\":null,\"abstract\":\"<p><strong>Background: </strong>Disseminated histoplasmosis is a severe fungal infection caused by <i>Histoplasma capsulatum</i> which primarily affects immunocompromised individuals, leading to widespread infection in multiple organs such as lungs, liver, and spleen. Early diagnosis and treatment are crucial for effective management.</p><p><strong>Case summary: </strong>We herein report the case of a 33-year-old male patient who presented to the Emergency Department with fever and chest pain after returning from a journey from a tropical region in Centre America. Initial tests showed elevated high-sensitivity troponin T (Hs-TnT) levels, suggesting possible cardiac involvement, but EKG and chest X-ray were normal. Echocardiography detected hypokinesis of the interventricular septum and a small pericardial effusion. Cardiac magnetic resonance (CMR) showed left ventricular function at lower normal limits and a small pericardial effusion, but also masses in the lungs and mediastinum, confirmed by computed tomography. Biopsy was performed, and histology revealed disseminated histoplasmosis. The patient was treated with antifungals and was discharged after two weeks, continuing antifungal administration in the outpatient clinic for 18 months. Follow-up imaging showed significant reduction of the masses. The patient remained asymptomatic with no further treatment needed.</p><p><strong>Discussion: </strong>In this case report, we emphasize the essential role of a multimodal imaging approach in diagnosing cardiac inflammatory diseases. CMR was pivotal providing a three-dimensional perspective of the mediastinum, which led to the identification of a retrocardiac mediastinal mass that might have otherwise gone undetected. This highlights the importance of integrating multimodality imaging techniques to improve diagnostic accuracy and guide effective treatment strategies.</p>\",\"PeriodicalId\":11910,\"journal\":{\"name\":\"European Heart Journal: Case Reports\",\"volume\":\"9 9\",\"pages\":\"ytaf408\"},\"PeriodicalIF\":0.8000,\"publicationDate\":\"2025-08-21\",\"publicationTypes\":\"Journal Article\",\"fieldsOfStudy\":null,\"isOpenAccess\":false,\"openAccessPdf\":\"https://www.ncbi.nlm.nih.gov/pmc/articles/PMC12418945/pdf/\",\"citationCount\":\"0\",\"resultStr\":null,\"platform\":\"Semanticscholar\",\"paperid\":null,\"PeriodicalName\":\"European Heart Journal: Case Reports\",\"FirstCategoryId\":\"1085\",\"ListUrlMain\":\"https://doi.org/10.1093/ehjcr/ytaf408\",\"RegionNum\":0,\"RegionCategory\":null,\"ArticlePicture\":[],\"TitleCN\":null,\"AbstractTextCN\":null,\"PMCID\":null,\"EPubDate\":\"2025/9/1 0:00:00\",\"PubModel\":\"eCollection\",\"JCR\":\"Q4\",\"JCRName\":\"CARDIAC & CARDIOVASCULAR SYSTEMS\",\"Score\":null,\"Total\":0}","platform":"Semanticscholar","paperid":null,"PeriodicalName":"European Heart Journal: Case Reports","FirstCategoryId":"1085","ListUrlMain":"https://doi.org/10.1093/ehjcr/ytaf408","RegionNum":0,"RegionCategory":null,"ArticlePicture":[],"TitleCN":null,"AbstractTextCN":null,"PMCID":null,"EPubDate":"2025/9/1 0:00:00","PubModel":"eCollection","JCR":"Q4","JCRName":"CARDIAC & CARDIOVASCULAR SYSTEMS","Score":null,"Total":0}
引用次数: 0

摘要

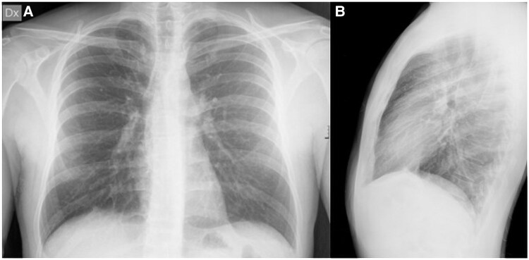
背景:弥散性组织胞浆菌病是一种由荚膜组织胞浆菌引起的严重真菌感染,主要影响免疫功能低下的个体,可导致肺、肝、脾等多器官广泛感染。早期诊断和治疗是有效治疗的关键。病例总结:我们在此报告一例33岁男性患者,他从中美洲热带地区旅行回来后,以发烧和胸痛就诊于急诊科。初步检查显示高敏肌钙蛋白T (Hs-TnT)水平升高,提示心脏可能受累,但心电图和胸片检查正常。超声心动图发现室间隔运动不足和少量心包积液。心脏磁共振(CMR)显示左心室功能正常,心包少量积液,但肺部和纵隔也有肿块,经计算机断层扫描证实。活检,组织学显示播散性组织胞浆菌病。患者接受抗真菌药物治疗,两周后出院,在门诊继续抗真菌治疗18个月。随访影像显示肿块明显缩小。患者无症状,无需进一步治疗。讨论:在本病例报告中,我们强调多模态成像方法在诊断心脏炎症性疾病中的重要作用。CMR至关重要,它提供了纵隔的三维视角,这导致了心脏后纵隔肿块的识别,否则可能不会被发现。这突出了整合多模态成像技术以提高诊断准确性和指导有效治疗策略的重要性。
本文章由计算机程序翻译,如有差异,请以英文原文为准。

Cardiac magnetic resonance as the key to uncovering unusual disseminated histoplasmosis: a case report.

Cardiac magnetic resonance as the key to uncovering unusual disseminated histoplasmosis: a case report.

Cardiac magnetic resonance as the key to uncovering unusual disseminated histoplasmosis: a case report.

Cardiac magnetic resonance as the key to uncovering unusual disseminated histoplasmosis: a case report.

Background: Disseminated histoplasmosis is a severe fungal infection caused by Histoplasma capsulatum which primarily affects immunocompromised individuals, leading to widespread infection in multiple organs such as lungs, liver, and spleen. Early diagnosis and treatment are crucial for effective management.

Case summary: We herein report the case of a 33-year-old male patient who presented to the Emergency Department with fever and chest pain after returning from a journey from a tropical region in Centre America. Initial tests showed elevated high-sensitivity troponin T (Hs-TnT) levels, suggesting possible cardiac involvement, but EKG and chest X-ray were normal. Echocardiography detected hypokinesis of the interventricular septum and a small pericardial effusion. Cardiac magnetic resonance (CMR) showed left ventricular function at lower normal limits and a small pericardial effusion, but also masses in the lungs and mediastinum, confirmed by computed tomography. Biopsy was performed, and histology revealed disseminated histoplasmosis. The patient was treated with antifungals and was discharged after two weeks, continuing antifungal administration in the outpatient clinic for 18 months. Follow-up imaging showed significant reduction of the masses. The patient remained asymptomatic with no further treatment needed.

Discussion: In this case report, we emphasize the essential role of a multimodal imaging approach in diagnosing cardiac inflammatory diseases. CMR was pivotal providing a three-dimensional perspective of the mediastinum, which led to the identification of a retrocardiac mediastinal mass that might have otherwise gone undetected. This highlights the importance of integrating multimodality imaging techniques to improve diagnostic accuracy and guide effective treatment strategies.

求助全文
通过发布文献求助,成功后即可免费获取论文全文。 去求助
来源期刊
European Heart Journal: Case Reports
European Heart Journal: Case Reports Medicine-Cardiology and Cardiovascular Medicine
CiteScore
1.30
自引率
10.00%
发文量
451
审稿时长
14 weeks
×
引用
GB/T 7714-2015
复制
MLA
复制
APA
复制
导出至
BibTeX EndNote RefMan NoteFirst NoteExpress
×
提示
您的信息不完整,为了账户安全,请先补充。
现在去补充
×
提示
您因"违规操作"
具体请查看互助需知
我知道了
×
提示
确定
请完成安全验证×
copy
已复制链接
快去分享给好友吧!
我知道了
右上角分享
点击右上角分享
0
联系我们:info@booksci.cn Book学术提供免费学术资源搜索服务,方便国内外学者检索中英文文献。致力于提供最便捷和优质的服务体验。 Copyright © 2023 布克学术 All rights reserved.
京ICP备2023020795号-1
ghs 京公网安备 11010802042870号
Book学术文献互助
Book学术文献互助群
群 号:604180095
Book学术官方微信