成人全身性水痘1例。

IF 2.2 4区 医学 Q3 DERMATOLOGY
Clinical, Cosmetic and Investigational Dermatology Pub Date : 2025-09-04 eCollection Date: 2025-01-01 DOI:10.2147/CCID.S535689
Li Lin, Ruzhi Zhang
{"title":"成人全身性水痘1例。","authors":"Li Lin, Ruzhi Zhang","doi":"10.2147/CCID.S535689","DOIUrl":null,"url":null,"abstract":"<p><p>Severe varicella is relatively rare in adults and may lead to death. Our case report describes a 36-year-old man with generalized papules and vesicles. The diagnosis was severe varicella, tinea cruris and type 2 diabetes. Generalized rash of severe varicella is very rare in clinically. In this patient, three days after the appearance of the rash, the CD4+T/CD8+T ratio increased, as did the serum levels of IFN-γ, TNF-α, and IL-17A, suggesting that the balance of the immune system was disturbed and there was an increased likelihood of viral infection, which may be related to the generalized spread of the lesions. The patient was discharged from the hospital after 2 weeks of antiviral treatment along with hepatoprotective, hypoglycemic and antifungal treatment of the buttocks with the lesions significantly reduced.</p>","PeriodicalId":10447,"journal":{"name":"Clinical, Cosmetic and Investigational Dermatology","volume":"18 ","pages":"2167-2172"},"PeriodicalIF":2.2000,"publicationDate":"2025-09-04","publicationTypes":"Journal Article","fieldsOfStudy":null,"isOpenAccess":false,"openAccessPdf":"https://www.ncbi.nlm.nih.gov/pmc/articles/PMC12417587/pdf/","citationCount":"0","resultStr":"{\"title\":\"A Case of Generalised Varicella in an Adult.\",\"authors\":\"Li Lin, Ruzhi Zhang\",\"doi\":\"10.2147/CCID.S535689\",\"DOIUrl\":null,\"url\":null,\"abstract\":\"<p><p>Severe varicella is relatively rare in adults and may lead to death. Our case report describes a 36-year-old man with generalized papules and vesicles. The diagnosis was severe varicella, tinea cruris and type 2 diabetes. Generalized rash of severe varicella is very rare in clinically. In this patient, three days after the appearance of the rash, the CD4+T/CD8+T ratio increased, as did the serum levels of IFN-γ, TNF-α, and IL-17A, suggesting that the balance of the immune system was disturbed and there was an increased likelihood of viral infection, which may be related to the generalized spread of the lesions. The patient was discharged from the hospital after 2 weeks of antiviral treatment along with hepatoprotective, hypoglycemic and antifungal treatment of the buttocks with the lesions significantly reduced.</p>\",\"PeriodicalId\":10447,\"journal\":{\"name\":\"Clinical, Cosmetic and Investigational Dermatology\",\"volume\":\"18 \",\"pages\":\"2167-2172\"},\"PeriodicalIF\":2.2000,\"publicationDate\":\"2025-09-04\",\"publicationTypes\":\"Journal Article\",\"fieldsOfStudy\":null,\"isOpenAccess\":false,\"openAccessPdf\":\"https://www.ncbi.nlm.nih.gov/pmc/articles/PMC12417587/pdf/\",\"citationCount\":\"0\",\"resultStr\":null,\"platform\":\"Semanticscholar\",\"paperid\":null,\"PeriodicalName\":\"Clinical, Cosmetic and Investigational Dermatology\",\"FirstCategoryId\":\"3\",\"ListUrlMain\":\"https://doi.org/10.2147/CCID.S535689\",\"RegionNum\":4,\"RegionCategory\":\"医学\",\"ArticlePicture\":[],\"TitleCN\":null,\"AbstractTextCN\":null,\"PMCID\":null,\"EPubDate\":\"2025/1/1 0:00:00\",\"PubModel\":\"eCollection\",\"JCR\":\"Q3\",\"JCRName\":\"DERMATOLOGY\",\"Score\":null,\"Total\":0}","platform":"Semanticscholar","paperid":null,"PeriodicalName":"Clinical, Cosmetic and Investigational Dermatology","FirstCategoryId":"3","ListUrlMain":"https://doi.org/10.2147/CCID.S535689","RegionNum":4,"RegionCategory":"医学","ArticlePicture":[],"TitleCN":null,"AbstractTextCN":null,"PMCID":null,"EPubDate":"2025/1/1 0:00:00","PubModel":"eCollection","JCR":"Q3","JCRName":"DERMATOLOGY","Score":null,"Total":0}
引用次数: 0

摘要

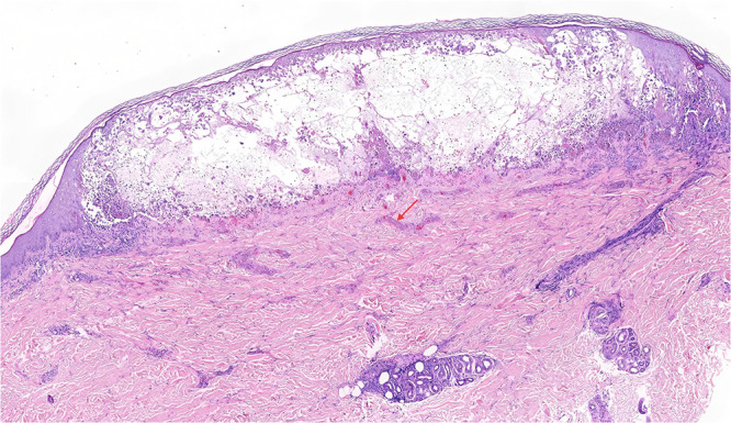
严重水痘在成人中相对罕见,并可能导致死亡。我们的病例报告描述了一个36岁的男性与广泛性丘疹和囊泡。诊断为严重水痘、癣和2型糖尿病。严重水痘的全身性皮疹在临床上是非常罕见的。该患者出现皮疹3天后,CD4+T/CD8+T比值升高,血清中IFN-γ、TNF-α和IL-17A水平升高,提示免疫系统平衡被打乱,病毒感染的可能性增加,这可能与病变的广泛性扩散有关。患者经2周抗病毒治疗及保肝、降糖及臀部抗真菌治疗后出院,病变明显减轻。
本文章由计算机程序翻译,如有差异,请以英文原文为准。

A Case of Generalised Varicella in an Adult.

A Case of Generalised Varicella in an Adult.

A Case of Generalised Varicella in an Adult.

A Case of Generalised Varicella in an Adult.

Severe varicella is relatively rare in adults and may lead to death. Our case report describes a 36-year-old man with generalized papules and vesicles. The diagnosis was severe varicella, tinea cruris and type 2 diabetes. Generalized rash of severe varicella is very rare in clinically. In this patient, three days after the appearance of the rash, the CD4+T/CD8+T ratio increased, as did the serum levels of IFN-γ, TNF-α, and IL-17A, suggesting that the balance of the immune system was disturbed and there was an increased likelihood of viral infection, which may be related to the generalized spread of the lesions. The patient was discharged from the hospital after 2 weeks of antiviral treatment along with hepatoprotective, hypoglycemic and antifungal treatment of the buttocks with the lesions significantly reduced.

求助全文
通过发布文献求助,成功后即可免费获取论文全文。 去求助
来源期刊
CiteScore
2.80
自引率
4.30%
发文量
353
审稿时长
16 weeks
期刊介绍: Clinical, Cosmetic and Investigational Dermatology is an international, peer-reviewed, open access journal that focuses on the latest clinical and experimental research in all aspects of skin disease and cosmetic interventions. Normal and pathological processes in skin development and aging, their modification and treatment, as well as basic research into histology of dermal and dermal structures that provide clinical insights and potential treatment options are key topics for the journal. Patient satisfaction, preference, quality of life, compliance, persistence and their role in developing new management options to optimize outcomes for target conditions constitute major areas of interest. The journal is characterized by the rapid reporting of clinical studies, reviews and original research in skin research and skin care. All areas of dermatology will be covered; contributions will be welcomed from all clinicians and basic science researchers globally.
×
引用
GB/T 7714-2015
复制
MLA
复制
APA
复制
导出至
BibTeX EndNote RefMan NoteFirst NoteExpress
×
提示
您的信息不完整,为了账户安全,请先补充。
现在去补充
×
提示
您因"违规操作"
具体请查看互助需知
我知道了
×
提示
确定
请完成安全验证×
copy
已复制链接
快去分享给好友吧!
我知道了
右上角分享
点击右上角分享
0
联系我们:info@booksci.cn Book学术提供免费学术资源搜索服务,方便国内外学者检索中英文文献。致力于提供最便捷和优质的服务体验。 Copyright © 2023 布克学术 All rights reserved.
京ICP备2023020795号-1
ghs 京公网安备 11010802042870号
Book学术文献互助
Book学术文献互助群
群 号:604180095
Book学术官方微信