输尿管结石致完全双肾右肾上段积水1例。

IF 0.7 Q3 MEDICINE, GENERAL & INTERNAL
Case Reports in Medicine Pub Date : 2025-09-02 eCollection Date: 2025-01-01 DOI:10.1155/carm/3800537
I B G A Mahesvara, I W Suarsana, I B O W Putra
{"title":"输尿管结石致完全双肾右肾上段积水1例。","authors":"I B G A Mahesvara, I W Suarsana, I B O W Putra","doi":"10.1155/carm/3800537","DOIUrl":null,"url":null,"abstract":"<p><p>Duplex kidneys, though relatively uncommon (occurring in 1%-4% of the cases), can pose significant clinical challenges when associated with urinary tract symptoms. Complications requiring intervention include stone formation, urinary obstruction, and reflux disease. We present the case of a 22-year-old male with complete duplex right kidney with upper moiety hydronephrosis due to a distal ureteral stone, diagnosed by ultrasonography and confirmed with intraoperative retrograde pyelography (RPG). Definitive management was achieved via ureteroscopy (URS) lithotripsy.</p>","PeriodicalId":9627,"journal":{"name":"Case Reports in Medicine","volume":"2025 ","pages":"3800537"},"PeriodicalIF":0.7000,"publicationDate":"2025-09-02","publicationTypes":"Journal Article","fieldsOfStudy":null,"isOpenAccess":false,"openAccessPdf":"https://www.ncbi.nlm.nih.gov/pmc/articles/PMC12419908/pdf/","citationCount":"0","resultStr":"{\"title\":\"Complete Duplex Right Kidney With Upper Moiety Hydronephrosis due to Ureteral Stone: A Rare Case.\",\"authors\":\"I B G A Mahesvara, I W Suarsana, I B O W Putra\",\"doi\":\"10.1155/carm/3800537\",\"DOIUrl\":null,\"url\":null,\"abstract\":\"<p><p>Duplex kidneys, though relatively uncommon (occurring in 1%-4% of the cases), can pose significant clinical challenges when associated with urinary tract symptoms. Complications requiring intervention include stone formation, urinary obstruction, and reflux disease. We present the case of a 22-year-old male with complete duplex right kidney with upper moiety hydronephrosis due to a distal ureteral stone, diagnosed by ultrasonography and confirmed with intraoperative retrograde pyelography (RPG). Definitive management was achieved via ureteroscopy (URS) lithotripsy.</p>\",\"PeriodicalId\":9627,\"journal\":{\"name\":\"Case Reports in Medicine\",\"volume\":\"2025 \",\"pages\":\"3800537\"},\"PeriodicalIF\":0.7000,\"publicationDate\":\"2025-09-02\",\"publicationTypes\":\"Journal Article\",\"fieldsOfStudy\":null,\"isOpenAccess\":false,\"openAccessPdf\":\"https://www.ncbi.nlm.nih.gov/pmc/articles/PMC12419908/pdf/\",\"citationCount\":\"0\",\"resultStr\":null,\"platform\":\"Semanticscholar\",\"paperid\":null,\"PeriodicalName\":\"Case Reports in Medicine\",\"FirstCategoryId\":\"1085\",\"ListUrlMain\":\"https://doi.org/10.1155/carm/3800537\",\"RegionNum\":0,\"RegionCategory\":null,\"ArticlePicture\":[],\"TitleCN\":null,\"AbstractTextCN\":null,\"PMCID\":null,\"EPubDate\":\"2025/1/1 0:00:00\",\"PubModel\":\"eCollection\",\"JCR\":\"Q3\",\"JCRName\":\"MEDICINE, GENERAL & INTERNAL\",\"Score\":null,\"Total\":0}","platform":"Semanticscholar","paperid":null,"PeriodicalName":"Case Reports in Medicine","FirstCategoryId":"1085","ListUrlMain":"https://doi.org/10.1155/carm/3800537","RegionNum":0,"RegionCategory":null,"ArticlePicture":[],"TitleCN":null,"AbstractTextCN":null,"PMCID":null,"EPubDate":"2025/1/1 0:00:00","PubModel":"eCollection","JCR":"Q3","JCRName":"MEDICINE, GENERAL & INTERNAL","Score":null,"Total":0}
引用次数: 0

摘要

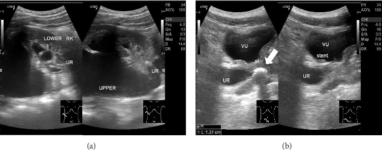
双肾,虽然相对罕见(发生在1%-4%的病例中),但当与尿路症状相关时,可构成重大的临床挑战。需要干预的并发症包括结石形成、尿路梗阻和反流疾病。我们报告一例22岁男性右肾完全双侧伴输尿管远端结石引起的上段肾积水,经超声诊断并术中逆行肾盂造影(RPG)证实。最终通过输尿管镜(URS)碎石术治疗。
本文章由计算机程序翻译,如有差异,请以英文原文为准。

Complete Duplex Right Kidney With Upper Moiety Hydronephrosis due to Ureteral Stone: A Rare Case.

Complete Duplex Right Kidney With Upper Moiety Hydronephrosis due to Ureteral Stone: A Rare Case.

Complete Duplex Right Kidney With Upper Moiety Hydronephrosis due to Ureteral Stone: A Rare Case.

Complete Duplex Right Kidney With Upper Moiety Hydronephrosis due to Ureteral Stone: A Rare Case.

Duplex kidneys, though relatively uncommon (occurring in 1%-4% of the cases), can pose significant clinical challenges when associated with urinary tract symptoms. Complications requiring intervention include stone formation, urinary obstruction, and reflux disease. We present the case of a 22-year-old male with complete duplex right kidney with upper moiety hydronephrosis due to a distal ureteral stone, diagnosed by ultrasonography and confirmed with intraoperative retrograde pyelography (RPG). Definitive management was achieved via ureteroscopy (URS) lithotripsy.

求助全文
通过发布文献求助,成功后即可免费获取论文全文。 去求助
来源期刊
Case Reports in Medicine
Case Reports in Medicine MEDICINE, GENERAL & INTERNAL-
CiteScore
1.70
自引率
0.00%
发文量
53
审稿时长
13 weeks
×
引用
GB/T 7714-2015
复制
MLA
复制
APA
复制
导出至
BibTeX EndNote RefMan NoteFirst NoteExpress
×
提示
您的信息不完整,为了账户安全,请先补充。
现在去补充
×
提示
您因"违规操作"
具体请查看互助需知
我知道了
×
提示
确定
请完成安全验证×
copy
已复制链接
快去分享给好友吧!
我知道了
右上角分享
点击右上角分享
0
联系我们:info@booksci.cn Book学术提供免费学术资源搜索服务,方便国内外学者检索中英文文献。致力于提供最便捷和优质的服务体验。 Copyright © 2023 布克学术 All rights reserved.
京ICP备2023020795号-1
ghs 京公网安备 11010802042870号
Book学术文献互助
Book学术文献互助群
群 号:604180095
Book学术官方微信