布鲁氏菌病。胆道发育不良和壶腹腺癌的罕见病因?

IF 0.5 Q4 GASTROENTEROLOGY & HEPATOLOGY
ACG Case Reports Journal Pub Date : 2025-09-10 eCollection Date: 2025-09-01 DOI:10.14309/crj.0000000000001827
Zachary Vinton, Kevin Wolfe, Sean MacBride, Thomas Heffron, Vimal Jhaveri, Andrea K Sotelo, Mark Rosenblatt, Clark Kulig, Matthew Stotts
{"title":"布鲁氏菌病。胆道发育不良和壶腹腺癌的罕见病因?","authors":"Zachary Vinton, Kevin Wolfe, Sean MacBride, Thomas Heffron, Vimal Jhaveri, Andrea K Sotelo, Mark Rosenblatt, Clark Kulig, Matthew Stotts","doi":"10.14309/crj.0000000000001827","DOIUrl":null,"url":null,"abstract":"<p><p>Brucellosis, a zoonotic bacterial infection often characterized by nonspecific symptoms including fever, night sweats, and weight loss, has a prolonged and recurrent course, often leading to chronic symptoms if inadequately treated. Hepatic involvement is well-documented with manifestations ranging from mild hepatitis to hepatic abscesses and granulomas. However, the association of brucellosis with biliary dysplasia or ampullary adenocarcinoma has not been previously reported in medical literature. We present a 68-year-old man with hepatic granulomatosis due to chronic brucellosis complicated by numerous episodes of ascending cholangitis secondary to choledocholithiasis and common bile duct strictures, with high-grade dysplasia and development of ampullary adenocarcinoma.</p>","PeriodicalId":7394,"journal":{"name":"ACG Case Reports Journal","volume":"12 9","pages":"e01827"},"PeriodicalIF":0.5000,"publicationDate":"2025-09-10","publicationTypes":"Journal Article","fieldsOfStudy":null,"isOpenAccess":false,"openAccessPdf":"https://www.ncbi.nlm.nih.gov/pmc/articles/PMC12422768/pdf/","citationCount":"0","resultStr":"{\"title\":\"Brucellosis. A Rare Cause of Biliary Dysplasia and Ampullary Adenocarcinoma?\",\"authors\":\"Zachary Vinton, Kevin Wolfe, Sean MacBride, Thomas Heffron, Vimal Jhaveri, Andrea K Sotelo, Mark Rosenblatt, Clark Kulig, Matthew Stotts\",\"doi\":\"10.14309/crj.0000000000001827\",\"DOIUrl\":null,\"url\":null,\"abstract\":\"<p><p>Brucellosis, a zoonotic bacterial infection often characterized by nonspecific symptoms including fever, night sweats, and weight loss, has a prolonged and recurrent course, often leading to chronic symptoms if inadequately treated. Hepatic involvement is well-documented with manifestations ranging from mild hepatitis to hepatic abscesses and granulomas. However, the association of brucellosis with biliary dysplasia or ampullary adenocarcinoma has not been previously reported in medical literature. We present a 68-year-old man with hepatic granulomatosis due to chronic brucellosis complicated by numerous episodes of ascending cholangitis secondary to choledocholithiasis and common bile duct strictures, with high-grade dysplasia and development of ampullary adenocarcinoma.</p>\",\"PeriodicalId\":7394,\"journal\":{\"name\":\"ACG Case Reports Journal\",\"volume\":\"12 9\",\"pages\":\"e01827\"},\"PeriodicalIF\":0.5000,\"publicationDate\":\"2025-09-10\",\"publicationTypes\":\"Journal Article\",\"fieldsOfStudy\":null,\"isOpenAccess\":false,\"openAccessPdf\":\"https://www.ncbi.nlm.nih.gov/pmc/articles/PMC12422768/pdf/\",\"citationCount\":\"0\",\"resultStr\":null,\"platform\":\"Semanticscholar\",\"paperid\":null,\"PeriodicalName\":\"ACG Case Reports Journal\",\"FirstCategoryId\":\"1085\",\"ListUrlMain\":\"https://doi.org/10.14309/crj.0000000000001827\",\"RegionNum\":0,\"RegionCategory\":null,\"ArticlePicture\":[],\"TitleCN\":null,\"AbstractTextCN\":null,\"PMCID\":null,\"EPubDate\":\"2025/9/1 0:00:00\",\"PubModel\":\"eCollection\",\"JCR\":\"Q4\",\"JCRName\":\"GASTROENTEROLOGY & HEPATOLOGY\",\"Score\":null,\"Total\":0}","platform":"Semanticscholar","paperid":null,"PeriodicalName":"ACG Case Reports Journal","FirstCategoryId":"1085","ListUrlMain":"https://doi.org/10.14309/crj.0000000000001827","RegionNum":0,"RegionCategory":null,"ArticlePicture":[],"TitleCN":null,"AbstractTextCN":null,"PMCID":null,"EPubDate":"2025/9/1 0:00:00","PubModel":"eCollection","JCR":"Q4","JCRName":"GASTROENTEROLOGY & HEPATOLOGY","Score":null,"Total":0}
引用次数: 0

摘要

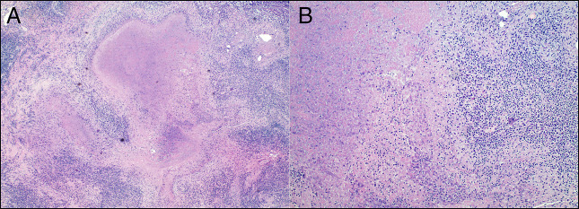
布鲁氏菌病是一种人畜共患性细菌感染,通常以发热、盗汗和体重减轻等非特异性症状为特征,病程延长且反复发作,如果治疗不当,往往导致慢性症状。肝脏受累的证据充分,表现从轻度肝炎到肝脓肿和肉芽肿。然而,布鲁氏菌病与胆道发育不良或壶腹腺癌的关联在以前的医学文献中尚未报道。我们报告一位68岁男性患者,因慢性布鲁氏菌病导致肝脏肉芽肿病,并发多次上升胆管炎,继发于胆总管结石和胆总管狭窄,并伴有高度发育不良和壶腹腺癌。
本文章由计算机程序翻译,如有差异,请以英文原文为准。

Brucellosis. A Rare Cause of Biliary Dysplasia and Ampullary Adenocarcinoma?

Brucellosis. A Rare Cause of Biliary Dysplasia and Ampullary Adenocarcinoma?

Brucellosis, a zoonotic bacterial infection often characterized by nonspecific symptoms including fever, night sweats, and weight loss, has a prolonged and recurrent course, often leading to chronic symptoms if inadequately treated. Hepatic involvement is well-documented with manifestations ranging from mild hepatitis to hepatic abscesses and granulomas. However, the association of brucellosis with biliary dysplasia or ampullary adenocarcinoma has not been previously reported in medical literature. We present a 68-year-old man with hepatic granulomatosis due to chronic brucellosis complicated by numerous episodes of ascending cholangitis secondary to choledocholithiasis and common bile duct strictures, with high-grade dysplasia and development of ampullary adenocarcinoma.

求助全文
通过发布文献求助,成功后即可免费获取论文全文。 去求助
来源期刊
ACG Case Reports Journal
ACG Case Reports Journal GASTROENTEROLOGY & HEPATOLOGY-
自引率
14.30%
发文量
170
审稿时长
12 weeks
期刊介绍: ACG Case Reports Journal is a peer-reviewed, open-access publication that provides GI and hepatology fellows, private practice clinicians, and other healthcare providers an opportunity to share interesting case reports with their peers and with leaders in the field. ACG Case Reports Journal publishes case reports, images, videos and letters to the editor in all topics of gastroenterology and hepatology, including: Biliary Colon Endoscopy Esophagus Functional Bowel Disorders Inflammatory Bowel Disease Liver Nutrition and Obesity Pancreas Pathology Pediatric Small Bowel Stomach.
×
引用
GB/T 7714-2015
复制
MLA
复制
APA
复制
导出至
BibTeX EndNote RefMan NoteFirst NoteExpress
×
提示
您的信息不完整,为了账户安全,请先补充。
现在去补充
×
提示
您因"违规操作"
具体请查看互助需知
我知道了
×
提示
确定
请完成安全验证×
copy
已复制链接
快去分享给好友吧!
我知道了
右上角分享
点击右上角分享
0
联系我们:info@booksci.cn Book学术提供免费学术资源搜索服务,方便国内外学者检索中英文文献。致力于提供最便捷和优质的服务体验。 Copyright © 2023 布克学术 All rights reserved.
京ICP备2023020795号-1
ghs 京公网安备 11010802042870号
Book学术文献互助
Book学术文献互助群
群 号:604180095
Book学术官方微信