腔旁金属支架出血风险:脾动脉侵蚀的处理。

IF 0.5 Q4 GASTROENTEROLOGY & HEPATOLOGY
ACG Case Reports Journal Pub Date : 2025-09-08 eCollection Date: 2025-09-01 DOI:10.14309/crj.0000000000001831
Francisca Côrte-Real, Ana Catarina Rego, Ana Rita Silva, Nadine Amaral, Nuno Nunes, José Renato Pereira, And Maria Antónia Duarte
{"title":"腔旁金属支架出血风险:脾动脉侵蚀的处理。","authors":"Francisca Côrte-Real, Ana Catarina Rego, Ana Rita Silva, Nadine Amaral, Nuno Nunes, José Renato Pereira, And Maria Antónia Duarte","doi":"10.14309/crj.0000000000001831","DOIUrl":null,"url":null,"abstract":"<p><p>Lumen-apposing metal stents (LAMS) have been used for drainage of peripancreatic collections, although they may be associated with complications, including bleeding. We report a case of a 49-year-old male patient who developed hematemesis and syncope three and a half weeks after LAMS placement for peripancreatic collection drainage. A computed tomography scan revealed splenic artery erosion by the distal flange of the stent. Splenic artery embolization was performed before LAMS removal, and splenectomy was required 3 days later. The patient remains asymptomatic after two years of follow-up. This case demonstrates an approach to a rare but potentially fatal complication of LAMS.</p>","PeriodicalId":7394,"journal":{"name":"ACG Case Reports Journal","volume":"12 9","pages":"e01831"},"PeriodicalIF":0.5000,"publicationDate":"2025-09-08","publicationTypes":"Journal Article","fieldsOfStudy":null,"isOpenAccess":false,"openAccessPdf":"https://www.ncbi.nlm.nih.gov/pmc/articles/PMC12419255/pdf/","citationCount":"0","resultStr":"{\"title\":\"Lumen-Apposing Metal Stent Bleeding Risk: Management of Splenic Artery Erosion.\",\"authors\":\"Francisca Côrte-Real, Ana Catarina Rego, Ana Rita Silva, Nadine Amaral, Nuno Nunes, José Renato Pereira, And Maria Antónia Duarte\",\"doi\":\"10.14309/crj.0000000000001831\",\"DOIUrl\":null,\"url\":null,\"abstract\":\"<p><p>Lumen-apposing metal stents (LAMS) have been used for drainage of peripancreatic collections, although they may be associated with complications, including bleeding. We report a case of a 49-year-old male patient who developed hematemesis and syncope three and a half weeks after LAMS placement for peripancreatic collection drainage. A computed tomography scan revealed splenic artery erosion by the distal flange of the stent. Splenic artery embolization was performed before LAMS removal, and splenectomy was required 3 days later. The patient remains asymptomatic after two years of follow-up. This case demonstrates an approach to a rare but potentially fatal complication of LAMS.</p>\",\"PeriodicalId\":7394,\"journal\":{\"name\":\"ACG Case Reports Journal\",\"volume\":\"12 9\",\"pages\":\"e01831\"},\"PeriodicalIF\":0.5000,\"publicationDate\":\"2025-09-08\",\"publicationTypes\":\"Journal Article\",\"fieldsOfStudy\":null,\"isOpenAccess\":false,\"openAccessPdf\":\"https://www.ncbi.nlm.nih.gov/pmc/articles/PMC12419255/pdf/\",\"citationCount\":\"0\",\"resultStr\":null,\"platform\":\"Semanticscholar\",\"paperid\":null,\"PeriodicalName\":\"ACG Case Reports Journal\",\"FirstCategoryId\":\"1085\",\"ListUrlMain\":\"https://doi.org/10.14309/crj.0000000000001831\",\"RegionNum\":0,\"RegionCategory\":null,\"ArticlePicture\":[],\"TitleCN\":null,\"AbstractTextCN\":null,\"PMCID\":null,\"EPubDate\":\"2025/9/1 0:00:00\",\"PubModel\":\"eCollection\",\"JCR\":\"Q4\",\"JCRName\":\"GASTROENTEROLOGY & HEPATOLOGY\",\"Score\":null,\"Total\":0}","platform":"Semanticscholar","paperid":null,"PeriodicalName":"ACG Case Reports Journal","FirstCategoryId":"1085","ListUrlMain":"https://doi.org/10.14309/crj.0000000000001831","RegionNum":0,"RegionCategory":null,"ArticlePicture":[],"TitleCN":null,"AbstractTextCN":null,"PMCID":null,"EPubDate":"2025/9/1 0:00:00","PubModel":"eCollection","JCR":"Q4","JCRName":"GASTROENTEROLOGY & HEPATOLOGY","Score":null,"Total":0}
引用次数: 0

摘要

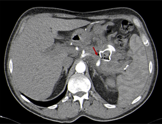
管腔旁置金属支架(LAMS)已被用于胰周收集物的引流,尽管它们可能伴有并发症,包括出血。我们报告一个49岁的男性病人,他出现呕血和晕厥后三周半的LAMS放置胰腺周围收集引流。计算机断层扫描显示脾动脉被支架远端法兰侵蚀。切除LAMS前行脾动脉栓塞术,3天后行脾切除术。患者在两年的随访后仍无症状。本病例展示了一种治疗罕见但可能致命的LAMS并发症的方法。
本文章由计算机程序翻译,如有差异,请以英文原文为准。

Lumen-Apposing Metal Stent Bleeding Risk: Management of Splenic Artery Erosion.

Lumen-Apposing Metal Stent Bleeding Risk: Management of Splenic Artery Erosion.

Lumen-Apposing Metal Stent Bleeding Risk: Management of Splenic Artery Erosion.

Lumen-Apposing Metal Stent Bleeding Risk: Management of Splenic Artery Erosion.

Lumen-apposing metal stents (LAMS) have been used for drainage of peripancreatic collections, although they may be associated with complications, including bleeding. We report a case of a 49-year-old male patient who developed hematemesis and syncope three and a half weeks after LAMS placement for peripancreatic collection drainage. A computed tomography scan revealed splenic artery erosion by the distal flange of the stent. Splenic artery embolization was performed before LAMS removal, and splenectomy was required 3 days later. The patient remains asymptomatic after two years of follow-up. This case demonstrates an approach to a rare but potentially fatal complication of LAMS.

求助全文
通过发布文献求助,成功后即可免费获取论文全文。 去求助
来源期刊
ACG Case Reports Journal
ACG Case Reports Journal GASTROENTEROLOGY & HEPATOLOGY-
自引率
14.30%
发文量
170
审稿时长
12 weeks
期刊介绍: ACG Case Reports Journal is a peer-reviewed, open-access publication that provides GI and hepatology fellows, private practice clinicians, and other healthcare providers an opportunity to share interesting case reports with their peers and with leaders in the field. ACG Case Reports Journal publishes case reports, images, videos and letters to the editor in all topics of gastroenterology and hepatology, including: Biliary Colon Endoscopy Esophagus Functional Bowel Disorders Inflammatory Bowel Disease Liver Nutrition and Obesity Pancreas Pathology Pediatric Small Bowel Stomach.
×
引用
GB/T 7714-2015
复制
MLA
复制
APA
复制
导出至
BibTeX EndNote RefMan NoteFirst NoteExpress
×
提示
您的信息不完整,为了账户安全,请先补充。
现在去补充
×
提示
您因"违规操作"
具体请查看互助需知
我知道了
×
提示
确定
请完成安全验证×
copy
已复制链接
快去分享给好友吧!
我知道了
右上角分享
点击右上角分享
0
联系我们:info@booksci.cn Book学术提供免费学术资源搜索服务,方便国内外学者检索中英文文献。致力于提供最便捷和优质的服务体验。 Copyright © 2023 布克学术 All rights reserved.
京ICP备2023020795号-1
ghs 京公网安备 11010802042870号
Book学术文献互助
Book学术文献互助群
群 号:604180095
Book学术官方微信