肠准备期间车前草过量导致肠肺病。

IF 0.5 Q4 GASTROENTEROLOGY & HEPATOLOGY
ACG Case Reports Journal Pub Date : 2025-09-10 eCollection Date: 2025-09-01 DOI:10.14309/crj.0000000000001820
Parker Penny, Steven Lorch
{"title":"肠准备期间车前草过量导致肠肺病。","authors":"Parker Penny, Steven Lorch","doi":"10.14309/crj.0000000000001820","DOIUrl":null,"url":null,"abstract":"<p><p>Bowel preparation for colonoscopy can lead to severe complications if mismanaged. We present a case of a 53-year-old man who developed small bowel obstruction and pneumatosis intestinalis due to a medication error, confusing polyethylene glycol with psyllium. While generally safe, psyllium is known to cause obstruction if ingested in large quantities. While the patient responded well to conservative treatment, this case demonstrates a serious complication of laxative misuse. Clear patient education is essential for the safety and efficacy of bowel preparation before colonoscopy.</p>","PeriodicalId":7394,"journal":{"name":"ACG Case Reports Journal","volume":"12 9","pages":"e01820"},"PeriodicalIF":0.5000,"publicationDate":"2025-09-10","publicationTypes":"Journal Article","fieldsOfStudy":null,"isOpenAccess":false,"openAccessPdf":"https://www.ncbi.nlm.nih.gov/pmc/articles/PMC12422764/pdf/","citationCount":"0","resultStr":"{\"title\":\"Psyllium Overdose During Bowel Preparation Leading to Pneumatosis Intestinalis.\",\"authors\":\"Parker Penny, Steven Lorch\",\"doi\":\"10.14309/crj.0000000000001820\",\"DOIUrl\":null,\"url\":null,\"abstract\":\"<p><p>Bowel preparation for colonoscopy can lead to severe complications if mismanaged. We present a case of a 53-year-old man who developed small bowel obstruction and pneumatosis intestinalis due to a medication error, confusing polyethylene glycol with psyllium. While generally safe, psyllium is known to cause obstruction if ingested in large quantities. While the patient responded well to conservative treatment, this case demonstrates a serious complication of laxative misuse. Clear patient education is essential for the safety and efficacy of bowel preparation before colonoscopy.</p>\",\"PeriodicalId\":7394,\"journal\":{\"name\":\"ACG Case Reports Journal\",\"volume\":\"12 9\",\"pages\":\"e01820\"},\"PeriodicalIF\":0.5000,\"publicationDate\":\"2025-09-10\",\"publicationTypes\":\"Journal Article\",\"fieldsOfStudy\":null,\"isOpenAccess\":false,\"openAccessPdf\":\"https://www.ncbi.nlm.nih.gov/pmc/articles/PMC12422764/pdf/\",\"citationCount\":\"0\",\"resultStr\":null,\"platform\":\"Semanticscholar\",\"paperid\":null,\"PeriodicalName\":\"ACG Case Reports Journal\",\"FirstCategoryId\":\"1085\",\"ListUrlMain\":\"https://doi.org/10.14309/crj.0000000000001820\",\"RegionNum\":0,\"RegionCategory\":null,\"ArticlePicture\":[],\"TitleCN\":null,\"AbstractTextCN\":null,\"PMCID\":null,\"EPubDate\":\"2025/9/1 0:00:00\",\"PubModel\":\"eCollection\",\"JCR\":\"Q4\",\"JCRName\":\"GASTROENTEROLOGY & HEPATOLOGY\",\"Score\":null,\"Total\":0}","platform":"Semanticscholar","paperid":null,"PeriodicalName":"ACG Case Reports Journal","FirstCategoryId":"1085","ListUrlMain":"https://doi.org/10.14309/crj.0000000000001820","RegionNum":0,"RegionCategory":null,"ArticlePicture":[],"TitleCN":null,"AbstractTextCN":null,"PMCID":null,"EPubDate":"2025/9/1 0:00:00","PubModel":"eCollection","JCR":"Q4","JCRName":"GASTROENTEROLOGY & HEPATOLOGY","Score":null,"Total":0}
引用次数: 0

摘要

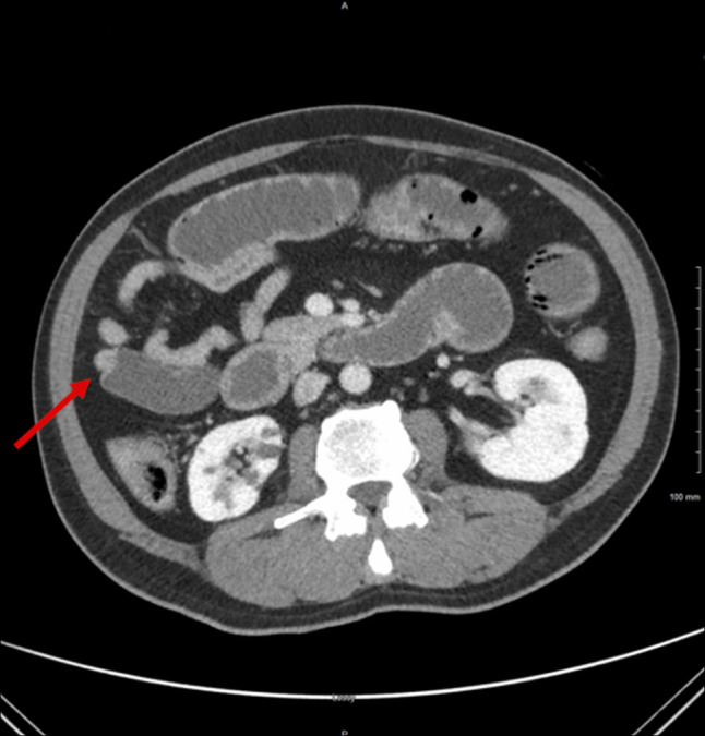
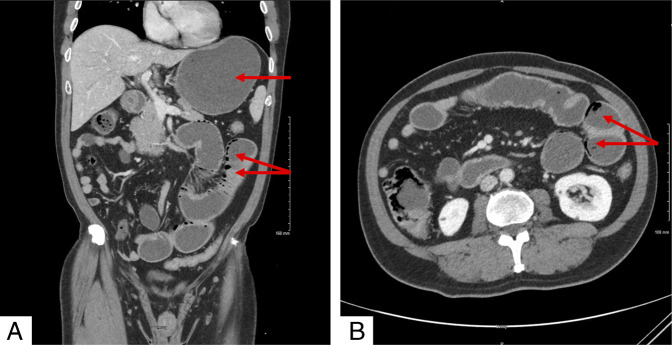
如果处理不当,结肠镜检查前的肠道准备会导致严重的并发症。我们报告一个53岁的男性病例,由于用药错误,将聚乙二醇与车前草混淆,导致小肠梗阻和肠肺病。虽然车前草通常是安全的,但如果大量摄入会引起梗阻。虽然患者对保守治疗反应良好,但本病例显示了泻药滥用的严重并发症。明确的患者教育对于结肠镜检查前肠道准备的安全性和有效性至关重要。
本文章由计算机程序翻译,如有差异,请以英文原文为准。

Psyllium Overdose During Bowel Preparation Leading to Pneumatosis Intestinalis.

Psyllium Overdose During Bowel Preparation Leading to Pneumatosis Intestinalis.

Psyllium Overdose During Bowel Preparation Leading to Pneumatosis Intestinalis.

Bowel preparation for colonoscopy can lead to severe complications if mismanaged. We present a case of a 53-year-old man who developed small bowel obstruction and pneumatosis intestinalis due to a medication error, confusing polyethylene glycol with psyllium. While generally safe, psyllium is known to cause obstruction if ingested in large quantities. While the patient responded well to conservative treatment, this case demonstrates a serious complication of laxative misuse. Clear patient education is essential for the safety and efficacy of bowel preparation before colonoscopy.

求助全文
通过发布文献求助,成功后即可免费获取论文全文。 去求助
来源期刊
ACG Case Reports Journal
ACG Case Reports Journal GASTROENTEROLOGY & HEPATOLOGY-
自引率
14.30%
发文量
170
审稿时长
12 weeks
期刊介绍: ACG Case Reports Journal is a peer-reviewed, open-access publication that provides GI and hepatology fellows, private practice clinicians, and other healthcare providers an opportunity to share interesting case reports with their peers and with leaders in the field. ACG Case Reports Journal publishes case reports, images, videos and letters to the editor in all topics of gastroenterology and hepatology, including: Biliary Colon Endoscopy Esophagus Functional Bowel Disorders Inflammatory Bowel Disease Liver Nutrition and Obesity Pancreas Pathology Pediatric Small Bowel Stomach.
×
引用
GB/T 7714-2015
复制
MLA
复制
APA
复制
导出至
BibTeX EndNote RefMan NoteFirst NoteExpress
×
提示
您的信息不完整,为了账户安全,请先补充。
现在去补充
×
提示
您因"违规操作"
具体请查看互助需知
我知道了
×
提示
确定
请完成安全验证×
copy
已复制链接
快去分享给好友吧!
我知道了
右上角分享
点击右上角分享
0
联系我们:info@booksci.cn Book学术提供免费学术资源搜索服务,方便国内外学者检索中英文文献。致力于提供最便捷和优质的服务体验。 Copyright © 2023 布克学术 All rights reserved.
京ICP备2023020795号-1
ghs 京公网安备 11010802042870号
Book学术文献互助
Book学术文献互助群
群 号:604180095
Book学术官方微信