表没食子儿茶素没食子酸酯对实验性溃疡性结肠炎大鼠的治疗作用是通过影响炎症和细胞凋亡实现的。

IF 2.2 Q3 GASTROENTEROLOGY & HEPATOLOGY
Annals of Gastroenterology Pub Date : 2025-09-01 Epub Date: 2025-08-11 DOI:10.20524/aog.2025.0985
Abdulrhman M Al-Qarni, Abdulrhman A Eid, Abdulmajeed M Albalawi, Naif S Albalawi, Mohammed A F Elewa, Khalid S Hashem, Mohammed M H Al-Gayyar
{"title":"表没食子儿茶素没食子酸酯对实验性溃疡性结肠炎大鼠的治疗作用是通过影响炎症和细胞凋亡实现的。","authors":"Abdulrhman M Al-Qarni, Abdulrhman A Eid, Abdulmajeed M Albalawi, Naif S Albalawi, Mohammed A F Elewa, Khalid S Hashem, Mohammed M H Al-Gayyar","doi":"10.20524/aog.2025.0985","DOIUrl":null,"url":null,"abstract":"<p><strong>Background: </strong>The potential therapeutic effects of epigallocatechin gallate (EGCG), a compound found in green tea with antioxidant and anti-inflammatory properties, on ulcerative colitis (UC) rats is a significant area of research. This study aimed to investigate the impact of EGCG on inflammation and apoptotic pathways in UC rats.</p><p><strong>Methods: </strong>The study involved inducing UC in rats by administering 2 mL of 4% acetic acid. The UC rats were then treated with 20 mg/kg of EGCG. Colon samples were collected to evaluate gene and protein expression of various factors, including nuclear factor kappa-light-chain-enhancer of activated B cells (NFκB), tumor necrosis factor alpha (TNF-α), sphingosine kinase 1 (SphK1), macrophage inflammatory protein 1-alpha (MIP-1α), B-cell lymphoma 2 (BCL2), and BCL2 associated X (BAX), as well as the activities of caspase-3/8/9. Additionally, colon sections were stained with Masson trichrome to investigate tissue fibrosis.</p><p><strong>Results: </strong>Microscopic examination of rat colonic sections stained with Masson trichrome revealed severe damage to the intestinal glands, marked by widespread hemorrhage and extensive fibrosis. Treatment with EGCG reduced the severity of the damage. Additionally, EGCG decreased the expression of several proinflammatory markers, such as NFκB and TNF-α, as well as SphK1, MIP-1α and BAX, reduced caspase-3/8/9 activity, and increased the expression of BCL2.</p><p><strong>Conclusions: </strong>The protective effects of EGCG against UC experimentally induced in rats are achieved by reducing the expression of inflammatory markers such as NFκB, TNF-α and MIP-1α, inhibiting apoptosis by decreasing the expression of BAX and caspases, and increasing the expression of BCL2.</p>","PeriodicalId":7978,"journal":{"name":"Annals of Gastroenterology","volume":"38 5","pages":"526-536"},"PeriodicalIF":2.2000,"publicationDate":"2025-09-01","publicationTypes":"Journal Article","fieldsOfStudy":null,"isOpenAccess":false,"openAccessPdf":"https://www.ncbi.nlm.nih.gov/pmc/articles/PMC12421355/pdf/","citationCount":"0","resultStr":"{\"title\":\"The therapeutic benefits of epigallocatechin gallate in rats with experimentally induced ulcerative colitis are achieved by influencing inflammation and apoptosis.\",\"authors\":\"Abdulrhman M Al-Qarni, Abdulrhman A Eid, Abdulmajeed M Albalawi, Naif S Albalawi, Mohammed A F Elewa, Khalid S Hashem, Mohammed M H Al-Gayyar\",\"doi\":\"10.20524/aog.2025.0985\",\"DOIUrl\":null,\"url\":null,\"abstract\":\"<p><strong>Background: </strong>The potential therapeutic effects of epigallocatechin gallate (EGCG), a compound found in green tea with antioxidant and anti-inflammatory properties, on ulcerative colitis (UC) rats is a significant area of research. This study aimed to investigate the impact of EGCG on inflammation and apoptotic pathways in UC rats.</p><p><strong>Methods: </strong>The study involved inducing UC in rats by administering 2 mL of 4% acetic acid. The UC rats were then treated with 20 mg/kg of EGCG. Colon samples were collected to evaluate gene and protein expression of various factors, including nuclear factor kappa-light-chain-enhancer of activated B cells (NFκB), tumor necrosis factor alpha (TNF-α), sphingosine kinase 1 (SphK1), macrophage inflammatory protein 1-alpha (MIP-1α), B-cell lymphoma 2 (BCL2), and BCL2 associated X (BAX), as well as the activities of caspase-3/8/9. Additionally, colon sections were stained with Masson trichrome to investigate tissue fibrosis.</p><p><strong>Results: </strong>Microscopic examination of rat colonic sections stained with Masson trichrome revealed severe damage to the intestinal glands, marked by widespread hemorrhage and extensive fibrosis. Treatment with EGCG reduced the severity of the damage. Additionally, EGCG decreased the expression of several proinflammatory markers, such as NFκB and TNF-α, as well as SphK1, MIP-1α and BAX, reduced caspase-3/8/9 activity, and increased the expression of BCL2.</p><p><strong>Conclusions: </strong>The protective effects of EGCG against UC experimentally induced in rats are achieved by reducing the expression of inflammatory markers such as NFκB, TNF-α and MIP-1α, inhibiting apoptosis by decreasing the expression of BAX and caspases, and increasing the expression of BCL2.</p>\",\"PeriodicalId\":7978,\"journal\":{\"name\":\"Annals of Gastroenterology\",\"volume\":\"38 5\",\"pages\":\"526-536\"},\"PeriodicalIF\":2.2000,\"publicationDate\":\"2025-09-01\",\"publicationTypes\":\"Journal Article\",\"fieldsOfStudy\":null,\"isOpenAccess\":false,\"openAccessPdf\":\"https://www.ncbi.nlm.nih.gov/pmc/articles/PMC12421355/pdf/\",\"citationCount\":\"0\",\"resultStr\":null,\"platform\":\"Semanticscholar\",\"paperid\":null,\"PeriodicalName\":\"Annals of Gastroenterology\",\"FirstCategoryId\":\"1085\",\"ListUrlMain\":\"https://doi.org/10.20524/aog.2025.0985\",\"RegionNum\":0,\"RegionCategory\":null,\"ArticlePicture\":[],\"TitleCN\":null,\"AbstractTextCN\":null,\"PMCID\":null,\"EPubDate\":\"2025/8/11 0:00:00\",\"PubModel\":\"Epub\",\"JCR\":\"Q3\",\"JCRName\":\"GASTROENTEROLOGY & HEPATOLOGY\",\"Score\":null,\"Total\":0}","platform":"Semanticscholar","paperid":null,"PeriodicalName":"Annals of Gastroenterology","FirstCategoryId":"1085","ListUrlMain":"https://doi.org/10.20524/aog.2025.0985","RegionNum":0,"RegionCategory":null,"ArticlePicture":[],"TitleCN":null,"AbstractTextCN":null,"PMCID":null,"EPubDate":"2025/8/11 0:00:00","PubModel":"Epub","JCR":"Q3","JCRName":"GASTROENTEROLOGY & HEPATOLOGY","Score":null,"Total":0}
引用次数: 0

摘要

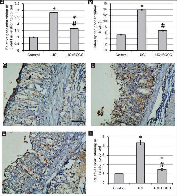
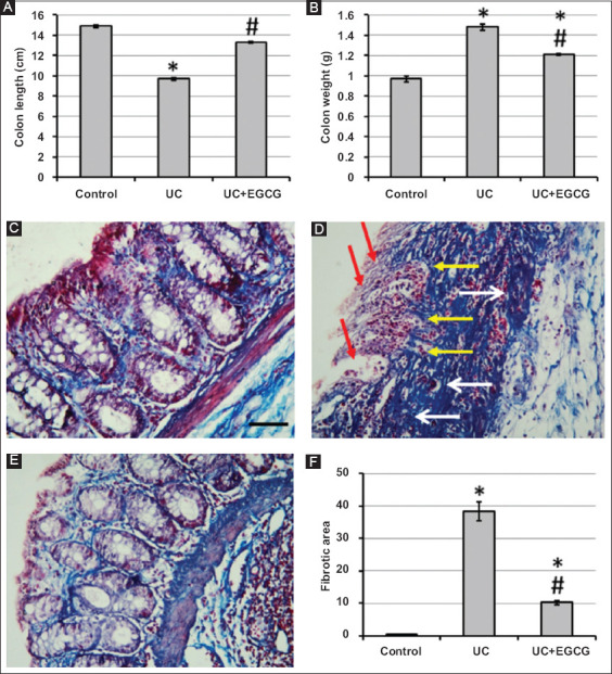
背景:表没食子儿茶素没食子酸酯(EGCG)是一种在绿茶中发现的具有抗氧化和抗炎特性的化合物,对溃疡性结肠炎(UC)大鼠的潜在治疗作用是一个重要的研究领域。本研究旨在探讨EGCG对UC大鼠炎症和凋亡通路的影响。方法:采用4%乙酸2 mL诱导大鼠UC的方法。然后给予20 mg/kg EGCG治疗UC大鼠。收集结肠样本,检测活化B细胞核因子κB轻链增强子(NFκB)、肿瘤坏死因子α (TNF-α)、鞘氨醇激酶1 (SphK1)、巨噬细胞炎症蛋白1 -α (mmp -1α)、B细胞淋巴瘤2 (BCL2)、BCL2相关X (BAX)等因子的基因和蛋白表达,以及caspase-3/8/9的活性。此外,结肠切片用马松三色染色观察组织纤维化。结果:马松三色染色大鼠结肠切片镜检显示肠腺严重损伤,表现为广泛出血和广泛纤维化。用EGCG治疗可以减轻损伤的严重程度。此外,EGCG可降低NFκB、TNF-α、SphK1、MIP-1α、BAX等促炎标志物的表达,降低caspase-3/8/9活性,增加BCL2的表达。结论:EGCG对实验性UC大鼠的保护作用可能是通过降低nf - κ b、TNF-α、MIP-1α等炎症标志物的表达,通过降低BAX、caspases的表达,增加BCL2的表达来抑制细胞凋亡。
本文章由计算机程序翻译,如有差异,请以英文原文为准。

The therapeutic benefits of epigallocatechin gallate in rats with experimentally induced ulcerative colitis are achieved by influencing inflammation and apoptosis.

The therapeutic benefits of epigallocatechin gallate in rats with experimentally induced ulcerative colitis are achieved by influencing inflammation and apoptosis.

The therapeutic benefits of epigallocatechin gallate in rats with experimentally induced ulcerative colitis are achieved by influencing inflammation and apoptosis.

The therapeutic benefits of epigallocatechin gallate in rats with experimentally induced ulcerative colitis are achieved by influencing inflammation and apoptosis.

Background: The potential therapeutic effects of epigallocatechin gallate (EGCG), a compound found in green tea with antioxidant and anti-inflammatory properties, on ulcerative colitis (UC) rats is a significant area of research. This study aimed to investigate the impact of EGCG on inflammation and apoptotic pathways in UC rats.

Methods: The study involved inducing UC in rats by administering 2 mL of 4% acetic acid. The UC rats were then treated with 20 mg/kg of EGCG. Colon samples were collected to evaluate gene and protein expression of various factors, including nuclear factor kappa-light-chain-enhancer of activated B cells (NFκB), tumor necrosis factor alpha (TNF-α), sphingosine kinase 1 (SphK1), macrophage inflammatory protein 1-alpha (MIP-1α), B-cell lymphoma 2 (BCL2), and BCL2 associated X (BAX), as well as the activities of caspase-3/8/9. Additionally, colon sections were stained with Masson trichrome to investigate tissue fibrosis.

Results: Microscopic examination of rat colonic sections stained with Masson trichrome revealed severe damage to the intestinal glands, marked by widespread hemorrhage and extensive fibrosis. Treatment with EGCG reduced the severity of the damage. Additionally, EGCG decreased the expression of several proinflammatory markers, such as NFκB and TNF-α, as well as SphK1, MIP-1α and BAX, reduced caspase-3/8/9 activity, and increased the expression of BCL2.

Conclusions: The protective effects of EGCG against UC experimentally induced in rats are achieved by reducing the expression of inflammatory markers such as NFκB, TNF-α and MIP-1α, inhibiting apoptosis by decreasing the expression of BAX and caspases, and increasing the expression of BCL2.

求助全文
通过发布文献求助,成功后即可免费获取论文全文。 去求助
来源期刊
Annals of Gastroenterology
Annals of Gastroenterology GASTROENTEROLOGY & HEPATOLOGY-
CiteScore
4.30
自引率
0.00%
发文量
58
×
引用
GB/T 7714-2015
复制
MLA
复制
APA
复制
导出至
BibTeX EndNote RefMan NoteFirst NoteExpress
×
提示
您的信息不完整,为了账户安全,请先补充。
现在去补充
×
提示
您因"违规操作"
具体请查看互助需知
我知道了
×
提示
确定
请完成安全验证×
copy
已复制链接
快去分享给好友吧!
我知道了
右上角分享
点击右上角分享
0
联系我们:info@booksci.cn Book学术提供免费学术资源搜索服务,方便国内外学者检索中英文文献。致力于提供最便捷和优质的服务体验。 Copyright © 2023 布克学术 All rights reserved.
京ICP备2023020795号-1
ghs 京公网安备 11010802042870号
Book学术文献互助
Book学术文献互助群
群 号:604180095
Book学术官方微信