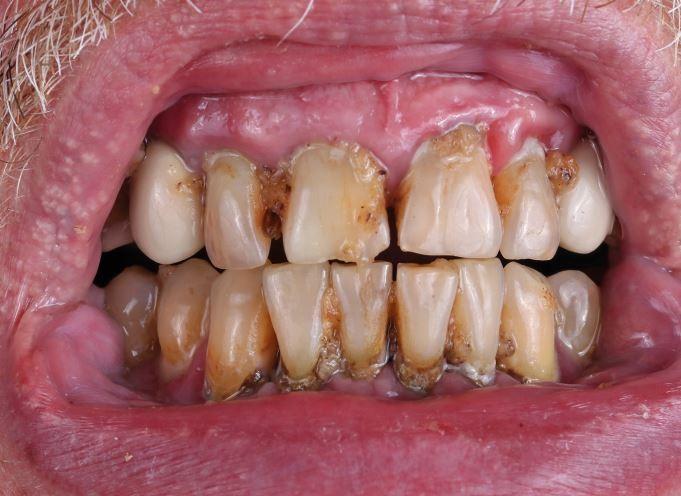
不要拐弯抹角——腐烂的微笑和无声的痛苦

IF 2.3 4区 医学 Q2 DENTISTRY, ORAL SURGERY & MEDICINE
Arun S
{"title":"不要拐弯抹角——腐烂的微笑和无声的痛苦","authors":"Arun S","doi":"10.1038/s41415-025-9182-5","DOIUrl":null,"url":null,"abstract":"","PeriodicalId":9229,"journal":{"name":"British Dental Journal","volume":"239 5","pages":"323-323"},"PeriodicalIF":2.3000,"publicationDate":"2025-09-12","publicationTypes":"Journal Article","fieldsOfStudy":null,"isOpenAccess":false,"openAccessPdf":"","citationCount":"0","resultStr":"{\"title\":\"Don't meth around - rotten smiles and silent pain\",\"authors\":\"Arun S\",\"doi\":\"10.1038/s41415-025-9182-5\",\"DOIUrl\":null,\"url\":null,\"abstract\":\"\",\"PeriodicalId\":9229,\"journal\":{\"name\":\"British Dental Journal\",\"volume\":\"239 5\",\"pages\":\"323-323\"},\"PeriodicalIF\":2.3000,\"publicationDate\":\"2025-09-12\",\"publicationTypes\":\"Journal Article\",\"fieldsOfStudy\":null,\"isOpenAccess\":false,\"openAccessPdf\":\"\",\"citationCount\":\"0\",\"resultStr\":null,\"platform\":\"Semanticscholar\",\"paperid\":null,\"PeriodicalName\":\"British Dental Journal\",\"FirstCategoryId\":\"3\",\"ListUrlMain\":\"https://www.nature.com/articles/s41415-025-9182-5\",\"RegionNum\":4,\"RegionCategory\":\"医学\",\"ArticlePicture\":[],\"TitleCN\":null,\"AbstractTextCN\":null,\"PMCID\":null,\"EPubDate\":\"\",\"PubModel\":\"\",\"JCR\":\"Q2\",\"JCRName\":\"DENTISTRY, ORAL SURGERY & MEDICINE\",\"Score\":null,\"Total\":0}","platform":"Semanticscholar","paperid":null,"PeriodicalName":"British Dental Journal","FirstCategoryId":"3","ListUrlMain":"https://www.nature.com/articles/s41415-025-9182-5","RegionNum":4,"RegionCategory":"医学","ArticlePicture":[],"TitleCN":null,"AbstractTextCN":null,"PMCID":null,"EPubDate":"","PubModel":"","JCR":"Q2","JCRName":"DENTISTRY, ORAL SURGERY & MEDICINE","Score":null,"Total":0}
引用次数: 0

摘要

本文章由计算机程序翻译,如有差异,请以英文原文为准。

Don't meth around - rotten smiles and silent pain

Don't meth around - rotten smiles and silent pain
求助全文
通过发布文献求助,成功后即可免费获取论文全文。 去求助
来源期刊
British Dental Journal
British Dental Journal 医学-牙科与口腔外科
CiteScore
3.10
自引率
15.40%
发文量
1096
审稿时长
4-8 weeks
期刊介绍: The role of the BDJ is to inform its readers of ideas, opinions, developments and key issues in dentistry - clinical, practical and scientific - stimulating interest, debate and discussion amongst dentists of all disciplines. All papers published in the BDJ are subject to rigorous peer review.
×
引用
GB/T 7714-2015
复制
MLA
复制
APA
复制
导出至
BibTeX EndNote RefMan NoteFirst NoteExpress
×
提示
您的信息不完整,为了账户安全,请先补充。
现在去补充
×
提示
您因"违规操作"
具体请查看互助需知
我知道了
×
提示
确定
请完成安全验证×
copy
已复制链接
快去分享给好友吧!
我知道了
右上角分享
点击右上角分享
0
联系我们:info@booksci.cn Book学术提供免费学术资源搜索服务,方便国内外学者检索中英文文献。致力于提供最便捷和优质的服务体验。 Copyright © 2023 布克学术 All rights reserved.
京ICP备2023020795号-1
ghs 京公网安备 11010802042870号
Book学术文献互助
Book学术文献互助群
群 号:604180095
Book学术官方微信