伴有眼外延伸的葡萄膜黑色素瘤进行性视力丧失1例报告。

IF 0.7 Q3 MEDICINE, GENERAL & INTERNAL
Ana Paula F C Tupynambá, Heloisa Lima Heller, Maria Fernanda L Britto, Isabella F Macedo, José A G Torres Junior, Valéria L C Borges, Ana Beatriz C Vieira, Renata Batista Ostrowski, Gustavo Henrique Soares Takano, Leonardo C G B Oliveira
{"title":"伴有眼外延伸的葡萄膜黑色素瘤进行性视力丧失1例报告。","authors":"Ana Paula F C Tupynambá, Heloisa Lima Heller, Maria Fernanda L Britto, Isabella F Macedo, José A G Torres Junior, Valéria L C Borges, Ana Beatriz C Vieira, Renata Batista Ostrowski, Gustavo Henrique Soares Takano, Leonardo C G B Oliveira","doi":"10.12659/AJCR.947979","DOIUrl":null,"url":null,"abstract":"<p><p>BACKGROUND Uveal melanoma is the most common primary intraocular malignancy in adults, often diagnosed late in resource-limited settings. The diagnosis is made through a combination of clinical ophthalmologic examination, B-mode ultrasound, and histopathological study. This report details a case of a 67-year-old woman with progressive vision loss and ocular pain due to an inferomedial uveal melanoma to highlight therapeutic limitations from delayed diagnosis. CASE REPORT A 67-year-old woman presented with 3 years of progressive vision loss, ocular pain, and a pigmented inferomedial lesion in the right eye. Examination revealed light perception vision, intraocular pressure of 38 mmHg, and a conjunctival mass with feeder vessels. Ultrasound showed a large choroidal tumor occupying 70% of the vitreous. Enucleation confirmed a 19-mm-thick mixed-cell uveal melanoma (T4a per American Joint Committee on Cancer 8th edition) with scleral invasion. Postoperative computed tomography (CT) revealed no metastases. CONCLUSIONS Delayed presentation led to enucleation as the only viable treatment. This case underscores the critical need for public awareness, early detection, and effective referral systems of pigmented ocular lesions to preserve vision, expand therapeutic options, and ensure timely access to specialized care.</p>","PeriodicalId":39064,"journal":{"name":"American Journal of Case Reports","volume":"26 ","pages":"e947979"},"PeriodicalIF":0.7000,"publicationDate":"2025-09-11","publicationTypes":"Journal Article","fieldsOfStudy":null,"isOpenAccess":false,"openAccessPdf":"https://www.ncbi.nlm.nih.gov/pmc/articles/PMC12439508/pdf/","citationCount":"0","resultStr":"{\"title\":\"Progressive Vision Loss From Uveal Melanoma with Extraocular Extension: A Case Report.\",\"authors\":\"Ana Paula F C Tupynambá, Heloisa Lima Heller, Maria Fernanda L Britto, Isabella F Macedo, José A G Torres Junior, Valéria L C Borges, Ana Beatriz C Vieira, Renata Batista Ostrowski, Gustavo Henrique Soares Takano, Leonardo C G B Oliveira\",\"doi\":\"10.12659/AJCR.947979\",\"DOIUrl\":null,\"url\":null,\"abstract\":\"<p><p>BACKGROUND Uveal melanoma is the most common primary intraocular malignancy in adults, often diagnosed late in resource-limited settings. The diagnosis is made through a combination of clinical ophthalmologic examination, B-mode ultrasound, and histopathological study. This report details a case of a 67-year-old woman with progressive vision loss and ocular pain due to an inferomedial uveal melanoma to highlight therapeutic limitations from delayed diagnosis. CASE REPORT A 67-year-old woman presented with 3 years of progressive vision loss, ocular pain, and a pigmented inferomedial lesion in the right eye. Examination revealed light perception vision, intraocular pressure of 38 mmHg, and a conjunctival mass with feeder vessels. Ultrasound showed a large choroidal tumor occupying 70% of the vitreous. Enucleation confirmed a 19-mm-thick mixed-cell uveal melanoma (T4a per American Joint Committee on Cancer 8th edition) with scleral invasion. Postoperative computed tomography (CT) revealed no metastases. CONCLUSIONS Delayed presentation led to enucleation as the only viable treatment. This case underscores the critical need for public awareness, early detection, and effective referral systems of pigmented ocular lesions to preserve vision, expand therapeutic options, and ensure timely access to specialized care.</p>\",\"PeriodicalId\":39064,\"journal\":{\"name\":\"American Journal of Case Reports\",\"volume\":\"26 \",\"pages\":\"e947979\"},\"PeriodicalIF\":0.7000,\"publicationDate\":\"2025-09-11\",\"publicationTypes\":\"Journal Article\",\"fieldsOfStudy\":null,\"isOpenAccess\":false,\"openAccessPdf\":\"https://www.ncbi.nlm.nih.gov/pmc/articles/PMC12439508/pdf/\",\"citationCount\":\"0\",\"resultStr\":null,\"platform\":\"Semanticscholar\",\"paperid\":null,\"PeriodicalName\":\"American Journal of Case Reports\",\"FirstCategoryId\":\"1085\",\"ListUrlMain\":\"https://doi.org/10.12659/AJCR.947979\",\"RegionNum\":0,\"RegionCategory\":null,\"ArticlePicture\":[],\"TitleCN\":null,\"AbstractTextCN\":null,\"PMCID\":null,\"EPubDate\":\"\",\"PubModel\":\"\",\"JCR\":\"Q3\",\"JCRName\":\"MEDICINE, GENERAL & INTERNAL\",\"Score\":null,\"Total\":0}","platform":"Semanticscholar","paperid":null,"PeriodicalName":"American Journal of Case Reports","FirstCategoryId":"1085","ListUrlMain":"https://doi.org/10.12659/AJCR.947979","RegionNum":0,"RegionCategory":null,"ArticlePicture":[],"TitleCN":null,"AbstractTextCN":null,"PMCID":null,"EPubDate":"","PubModel":"","JCR":"Q3","JCRName":"MEDICINE, GENERAL & INTERNAL","Score":null,"Total":0}
引用次数: 0

摘要

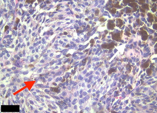
背景:葡萄膜黑色素瘤是成人最常见的原发性眼内恶性肿瘤,通常在资源有限的地区诊断较晚。通过临床眼科检查、b超和组织病理学检查相结合进行诊断。本报告详细介绍了一例67岁女性因内侧葡萄膜间黑色素瘤导致的进行性视力丧失和眼部疼痛,以突出延迟诊断的治疗局限性。病例报告:一名67岁女性,因3年进行性视力丧失、眼部疼痛和右眼内膜间色素性病变而就诊。检查发现光感视力,眼压38 mmHg,结膜肿块伴供血血管。超声显示大脉络膜肿瘤占玻璃体70%。眼球摘除证实为19毫米厚的混合细胞葡萄膜黑色素瘤(T4a /美国癌症联合委员会第8版),伴有巩膜浸润。术后计算机断层扫描(CT)未见转移。结论:延迟表现导致去核是唯一可行的治疗方法。该病例强调了提高公众意识、早期发现和有效的色素性眼部病变转诊系统的迫切需要,以保护视力、扩大治疗选择并确保及时获得专业护理。
本文章由计算机程序翻译,如有差异,请以英文原文为准。

Progressive Vision Loss From Uveal Melanoma with Extraocular Extension: A Case Report.

Progressive Vision Loss From Uveal Melanoma with Extraocular Extension: A Case Report.

Progressive Vision Loss From Uveal Melanoma with Extraocular Extension: A Case Report.

Progressive Vision Loss From Uveal Melanoma with Extraocular Extension: A Case Report.

BACKGROUND Uveal melanoma is the most common primary intraocular malignancy in adults, often diagnosed late in resource-limited settings. The diagnosis is made through a combination of clinical ophthalmologic examination, B-mode ultrasound, and histopathological study. This report details a case of a 67-year-old woman with progressive vision loss and ocular pain due to an inferomedial uveal melanoma to highlight therapeutic limitations from delayed diagnosis. CASE REPORT A 67-year-old woman presented with 3 years of progressive vision loss, ocular pain, and a pigmented inferomedial lesion in the right eye. Examination revealed light perception vision, intraocular pressure of 38 mmHg, and a conjunctival mass with feeder vessels. Ultrasound showed a large choroidal tumor occupying 70% of the vitreous. Enucleation confirmed a 19-mm-thick mixed-cell uveal melanoma (T4a per American Joint Committee on Cancer 8th edition) with scleral invasion. Postoperative computed tomography (CT) revealed no metastases. CONCLUSIONS Delayed presentation led to enucleation as the only viable treatment. This case underscores the critical need for public awareness, early detection, and effective referral systems of pigmented ocular lesions to preserve vision, expand therapeutic options, and ensure timely access to specialized care.

求助全文
通过发布文献求助,成功后即可免费获取论文全文。 去求助
来源期刊
American Journal of Case Reports
American Journal of Case Reports Medicine-Medicine (all)
CiteScore
1.80
自引率
0.00%
发文量
599
期刊介绍: American Journal of Case Reports is an international, peer-reviewed scientific journal that publishes single and series case reports in all medical fields. American Journal of Case Reports is issued on a continuous basis as a primary electronic journal. Print copies of a single article or a set of articles can be ordered on demand.
×
引用
GB/T 7714-2015
复制
MLA
复制
APA
复制
导出至
BibTeX EndNote RefMan NoteFirst NoteExpress
×
提示
您的信息不完整,为了账户安全,请先补充。
现在去补充
×
提示
您因"违规操作"
具体请查看互助需知
我知道了
×
提示
确定
请完成安全验证×
copy
已复制链接
快去分享给好友吧!
我知道了
右上角分享
点击右上角分享
0
联系我们:info@booksci.cn Book学术提供免费学术资源搜索服务,方便国内外学者检索中英文文献。致力于提供最便捷和优质的服务体验。 Copyright © 2023 布克学术 All rights reserved.
京ICP备2023020795号-1
ghs 京公网安备 11010802042870号
Book学术文献互助
Book学术文献互助群
群 号:604180095
Book学术官方微信