放疗相关膀胱瘘:腹部症状复发的一个隐藏原因。

IF 0.7 Q3 MEDICINE, GENERAL & INTERNAL
Xiaofeng Ren, Jialin Wu, Shaobin Yang, Yuliang Wang, Yajun Xu, Chuan-Guo Guo
{"title":"放疗相关膀胱瘘:腹部症状复发的一个隐藏原因。","authors":"Xiaofeng Ren, Jialin Wu, Shaobin Yang, Yuliang Wang, Yajun Xu, Chuan-Guo Guo","doi":"10.12659/AJCR.948953","DOIUrl":null,"url":null,"abstract":"<p><p>BACKGROUND Non-traumatic bladder rupture, a rare yet potentially life-threatening condition, can stem from diverse factors such as malignancies, bladder inflammation, or bladder diverticulum rupture. Pelvic radiotherapy, in extremely rare instances, can lead to radiation cystitis and subsequent bladder fistula formation. Patients with such conditions often present with abdominal pain, hematuria, oliguria, and urinary ascites. The diagnosis of radiotherapy-related bladder fistula poses significant challenges, particularly in patients with protracted illnesses and atypical abdominal symptoms, as it can be easily overlooked. CASE REPORT We present the case of a 60-year-old woman who, 14 years following a hysterectomy, bilateral adnexectomy, and radiotherapy for cervical carcinoma, developed recurrent abdominal pain and ascites. Initially, her symptoms were misattributed to gastrointestinal disorders. However, ascites analysis, which revealed markedly elevated creatinine and urea nitrogen levels in the ascitic fluid compared to serum, led to the suspicion of urinary ascites. The definitive diagnosis of an intermittent bladder fistula was confirmed through the instillation of a saline-methylene blue solution via the urinary catheter, which resulted in the drainage of blue ascitic fluid. CONCLUSIONS The diagnosis of vesical fistula is often challenging due to its diverse presentations and the possibility of being overlooked by CT. However, early recognition and appropriate management are crucial to prevent severe complications. This case highlights the importance of considering bladder fistula in the differential diagnosis of unexplained ascites and peritonitis, especially in patients with a history of pelvic radiotherapy or cystoscopic treatment.</p>","PeriodicalId":39064,"journal":{"name":"American Journal of Case Reports","volume":"26 ","pages":"e948953"},"PeriodicalIF":0.7000,"publicationDate":"2025-09-10","publicationTypes":"Journal Article","fieldsOfStudy":null,"isOpenAccess":false,"openAccessPdf":"https://www.ncbi.nlm.nih.gov/pmc/articles/PMC12442326/pdf/","citationCount":"0","resultStr":"{\"title\":\"Radiotherapy-Related Bladder Fistula: A Hidden Cause of Recurrent Abdominal Symptoms.\",\"authors\":\"Xiaofeng Ren, Jialin Wu, Shaobin Yang, Yuliang Wang, Yajun Xu, Chuan-Guo Guo\",\"doi\":\"10.12659/AJCR.948953\",\"DOIUrl\":null,\"url\":null,\"abstract\":\"<p><p>BACKGROUND Non-traumatic bladder rupture, a rare yet potentially life-threatening condition, can stem from diverse factors such as malignancies, bladder inflammation, or bladder diverticulum rupture. Pelvic radiotherapy, in extremely rare instances, can lead to radiation cystitis and subsequent bladder fistula formation. Patients with such conditions often present with abdominal pain, hematuria, oliguria, and urinary ascites. The diagnosis of radiotherapy-related bladder fistula poses significant challenges, particularly in patients with protracted illnesses and atypical abdominal symptoms, as it can be easily overlooked. CASE REPORT We present the case of a 60-year-old woman who, 14 years following a hysterectomy, bilateral adnexectomy, and radiotherapy for cervical carcinoma, developed recurrent abdominal pain and ascites. Initially, her symptoms were misattributed to gastrointestinal disorders. However, ascites analysis, which revealed markedly elevated creatinine and urea nitrogen levels in the ascitic fluid compared to serum, led to the suspicion of urinary ascites. The definitive diagnosis of an intermittent bladder fistula was confirmed through the instillation of a saline-methylene blue solution via the urinary catheter, which resulted in the drainage of blue ascitic fluid. CONCLUSIONS The diagnosis of vesical fistula is often challenging due to its diverse presentations and the possibility of being overlooked by CT. However, early recognition and appropriate management are crucial to prevent severe complications. This case highlights the importance of considering bladder fistula in the differential diagnosis of unexplained ascites and peritonitis, especially in patients with a history of pelvic radiotherapy or cystoscopic treatment.</p>\",\"PeriodicalId\":39064,\"journal\":{\"name\":\"American Journal of Case Reports\",\"volume\":\"26 \",\"pages\":\"e948953\"},\"PeriodicalIF\":0.7000,\"publicationDate\":\"2025-09-10\",\"publicationTypes\":\"Journal Article\",\"fieldsOfStudy\":null,\"isOpenAccess\":false,\"openAccessPdf\":\"https://www.ncbi.nlm.nih.gov/pmc/articles/PMC12442326/pdf/\",\"citationCount\":\"0\",\"resultStr\":null,\"platform\":\"Semanticscholar\",\"paperid\":null,\"PeriodicalName\":\"American Journal of Case Reports\",\"FirstCategoryId\":\"1085\",\"ListUrlMain\":\"https://doi.org/10.12659/AJCR.948953\",\"RegionNum\":0,\"RegionCategory\":null,\"ArticlePicture\":[],\"TitleCN\":null,\"AbstractTextCN\":null,\"PMCID\":null,\"EPubDate\":\"\",\"PubModel\":\"\",\"JCR\":\"Q3\",\"JCRName\":\"MEDICINE, GENERAL & INTERNAL\",\"Score\":null,\"Total\":0}","platform":"Semanticscholar","paperid":null,"PeriodicalName":"American Journal of Case Reports","FirstCategoryId":"1085","ListUrlMain":"https://doi.org/10.12659/AJCR.948953","RegionNum":0,"RegionCategory":null,"ArticlePicture":[],"TitleCN":null,"AbstractTextCN":null,"PMCID":null,"EPubDate":"","PubModel":"","JCR":"Q3","JCRName":"MEDICINE, GENERAL & INTERNAL","Score":null,"Total":0}
引用次数: 0

摘要

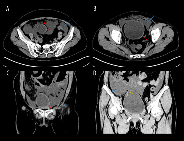
背景:非创伤性膀胱破裂是一种罕见但可能危及生命的疾病,可由多种因素引起,如恶性肿瘤、膀胱炎症或膀胱憩室破裂。盆腔放疗,在极其罕见的情况下,可导致放射性膀胱炎和随后的膀胱瘘形成。此类患者常表现为腹痛、血尿、少尿和尿性腹水。放射治疗相关膀胱瘘的诊断带来了巨大的挑战,特别是在长期疾病和非典型腹部症状的患者中,因为它很容易被忽视。病例报告我们提出一个60岁的妇女,14年后子宫切除术,双侧附件切除术和放疗宫颈癌,发展复发性腹痛和腹水。起初,她的症状被误认为是胃肠道紊乱。然而,腹水分析显示,腹水肌酐和尿素氮水平明显高于血清,导致怀疑尿性腹水。间歇性膀胱瘘的明确诊断是通过通过导尿管滴入盐-亚甲基蓝溶液,导致蓝色腹水的排出。结论膀胱瘘的诊断具有挑战性,其表现多样,且有可能被CT忽视。然而,早期识别和适当的治疗对于预防严重并发症至关重要。本病例强调了在不明原因腹水和腹膜炎的鉴别诊断中考虑膀胱瘘的重要性,特别是有盆腔放疗或膀胱镜治疗史的患者。
本文章由计算机程序翻译,如有差异,请以英文原文为准。

Radiotherapy-Related Bladder Fistula: A Hidden Cause of Recurrent Abdominal Symptoms.

Radiotherapy-Related Bladder Fistula: A Hidden Cause of Recurrent Abdominal Symptoms.

Radiotherapy-Related Bladder Fistula: A Hidden Cause of Recurrent Abdominal Symptoms.

Radiotherapy-Related Bladder Fistula: A Hidden Cause of Recurrent Abdominal Symptoms.

BACKGROUND Non-traumatic bladder rupture, a rare yet potentially life-threatening condition, can stem from diverse factors such as malignancies, bladder inflammation, or bladder diverticulum rupture. Pelvic radiotherapy, in extremely rare instances, can lead to radiation cystitis and subsequent bladder fistula formation. Patients with such conditions often present with abdominal pain, hematuria, oliguria, and urinary ascites. The diagnosis of radiotherapy-related bladder fistula poses significant challenges, particularly in patients with protracted illnesses and atypical abdominal symptoms, as it can be easily overlooked. CASE REPORT We present the case of a 60-year-old woman who, 14 years following a hysterectomy, bilateral adnexectomy, and radiotherapy for cervical carcinoma, developed recurrent abdominal pain and ascites. Initially, her symptoms were misattributed to gastrointestinal disorders. However, ascites analysis, which revealed markedly elevated creatinine and urea nitrogen levels in the ascitic fluid compared to serum, led to the suspicion of urinary ascites. The definitive diagnosis of an intermittent bladder fistula was confirmed through the instillation of a saline-methylene blue solution via the urinary catheter, which resulted in the drainage of blue ascitic fluid. CONCLUSIONS The diagnosis of vesical fistula is often challenging due to its diverse presentations and the possibility of being overlooked by CT. However, early recognition and appropriate management are crucial to prevent severe complications. This case highlights the importance of considering bladder fistula in the differential diagnosis of unexplained ascites and peritonitis, especially in patients with a history of pelvic radiotherapy or cystoscopic treatment.

求助全文
通过发布文献求助,成功后即可免费获取论文全文。 去求助
来源期刊
American Journal of Case Reports
American Journal of Case Reports Medicine-Medicine (all)
CiteScore
1.80
自引率
0.00%
发文量
599
期刊介绍: American Journal of Case Reports is an international, peer-reviewed scientific journal that publishes single and series case reports in all medical fields. American Journal of Case Reports is issued on a continuous basis as a primary electronic journal. Print copies of a single article or a set of articles can be ordered on demand.
×
引用
GB/T 7714-2015
复制
MLA
复制
APA
复制
导出至
BibTeX EndNote RefMan NoteFirst NoteExpress
×
提示
您的信息不完整,为了账户安全,请先补充。
现在去补充
×
提示
您因"违规操作"
具体请查看互助需知
我知道了
×
提示
确定
请完成安全验证×
copy
已复制链接
快去分享给好友吧!
我知道了
右上角分享
点击右上角分享
0
联系我们:info@booksci.cn Book学术提供免费学术资源搜索服务,方便国内外学者检索中英文文献。致力于提供最便捷和优质的服务体验。 Copyright © 2023 布克学术 All rights reserved.
京ICP备2023020795号-1
ghs 京公网安备 11010802042870号
Book学术文献互助
Book学术文献互助群
群 号:604180095
Book学术官方微信