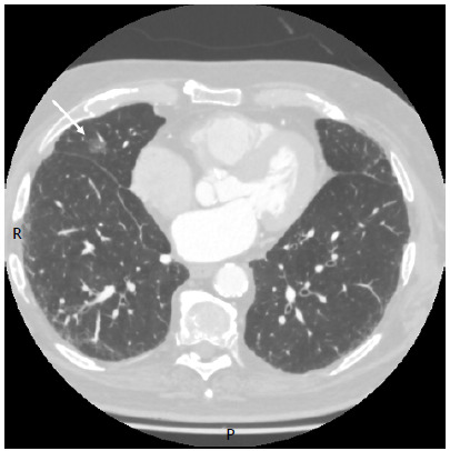
吲哚菁绿与外科止血剂联合使用,作为机器人辅助胸外科手术中减少血流溢出的基准标记物。

IF 3 4区 医学 Q2 RESPIRATORY SYSTEM
Guilherme Falleiros Mendes, Marcelo Froeder Arcuri, Priscila Mina Falsarella, Alberto Rassi Neto, Rodrigo Gobbo Garcia
{"title":"吲哚菁绿与外科止血剂联合使用,作为机器人辅助胸外科手术中减少血流溢出的基准标记物。","authors":"Guilherme Falleiros Mendes, Marcelo Froeder Arcuri, Priscila Mina Falsarella, Alberto Rassi Neto, Rodrigo Gobbo Garcia","doi":"10.36416/1806-3756/e20250090","DOIUrl":null,"url":null,"abstract":"","PeriodicalId":14845,"journal":{"name":"Jornal Brasileiro De Pneumologia","volume":"51 3","pages":"e20250090"},"PeriodicalIF":3.0000,"publicationDate":"2025-09-08","publicationTypes":"Journal Article","fieldsOfStudy":null,"isOpenAccess":false,"openAccessPdf":"https://www.ncbi.nlm.nih.gov/pmc/articles/PMC12401154/pdf/","citationCount":"0","resultStr":"{\"title\":\"Indocyanine green used in association with a surgical hemostatic agent as a fiducial marker to reduce overflow during robot-assisted thoracic surgery.\",\"authors\":\"Guilherme Falleiros Mendes, Marcelo Froeder Arcuri, Priscila Mina Falsarella, Alberto Rassi Neto, Rodrigo Gobbo Garcia\",\"doi\":\"10.36416/1806-3756/e20250090\",\"DOIUrl\":null,\"url\":null,\"abstract\":\"\",\"PeriodicalId\":14845,\"journal\":{\"name\":\"Jornal Brasileiro De Pneumologia\",\"volume\":\"51 3\",\"pages\":\"e20250090\"},\"PeriodicalIF\":3.0000,\"publicationDate\":\"2025-09-08\",\"publicationTypes\":\"Journal Article\",\"fieldsOfStudy\":null,\"isOpenAccess\":false,\"openAccessPdf\":\"https://www.ncbi.nlm.nih.gov/pmc/articles/PMC12401154/pdf/\",\"citationCount\":\"0\",\"resultStr\":null,\"platform\":\"Semanticscholar\",\"paperid\":null,\"PeriodicalName\":\"Jornal Brasileiro De Pneumologia\",\"FirstCategoryId\":\"3\",\"ListUrlMain\":\"https://doi.org/10.36416/1806-3756/e20250090\",\"RegionNum\":4,\"RegionCategory\":\"医学\",\"ArticlePicture\":[],\"TitleCN\":null,\"AbstractTextCN\":null,\"PMCID\":null,\"EPubDate\":\"\",\"PubModel\":\"\",\"JCR\":\"Q2\",\"JCRName\":\"RESPIRATORY SYSTEM\",\"Score\":null,\"Total\":0}","platform":"Semanticscholar","paperid":null,"PeriodicalName":"Jornal Brasileiro De Pneumologia","FirstCategoryId":"3","ListUrlMain":"https://doi.org/10.36416/1806-3756/e20250090","RegionNum":4,"RegionCategory":"医学","ArticlePicture":[],"TitleCN":null,"AbstractTextCN":null,"PMCID":null,"EPubDate":"","PubModel":"","JCR":"Q2","JCRName":"RESPIRATORY SYSTEM","Score":null,"Total":0}
引用次数: 0

摘要

本文章由计算机程序翻译,如有差异,请以英文原文为准。

Indocyanine green used in association with a surgical hemostatic agent as a fiducial marker to reduce overflow during robot-assisted thoracic surgery.

Indocyanine green used in association with a surgical hemostatic agent as a fiducial marker to reduce overflow during robot-assisted thoracic surgery.

Indocyanine green used in association with a surgical hemostatic agent as a fiducial marker to reduce overflow during robot-assisted thoracic surgery.
求助全文
通过发布文献求助,成功后即可免费获取论文全文。 去求助
来源期刊
Jornal Brasileiro De Pneumologia
Jornal Brasileiro De Pneumologia RESPIRATORY SYSTEM-
CiteScore
3.50
自引率
14.80%
发文量
118
审稿时长
20 weeks
期刊介绍: The Brazilian Journal of Pulmonology publishes scientific articles that contribute to the improvement of knowledge in the field of the lung diseases and related areas.
×
引用
GB/T 7714-2015
复制
MLA
复制
APA
复制
导出至
BibTeX EndNote RefMan NoteFirst NoteExpress
×
提示
您的信息不完整,为了账户安全,请先补充。
现在去补充
×
提示
您因"违规操作"
具体请查看互助需知
我知道了
×
提示
确定
请完成安全验证×
copy
已复制链接
快去分享给好友吧!
我知道了
右上角分享
点击右上角分享
0
联系我们:info@booksci.cn Book学术提供免费学术资源搜索服务,方便国内外学者检索中英文文献。致力于提供最便捷和优质的服务体验。 Copyright © 2023 布克学术 All rights reserved.
京ICP备2023020795号-1
ghs 京公网安备 11010802042870号
Book学术文献互助
Book学术文献互助群
群 号:604180095
Book学术官方微信