镓-68- pentxaat PET/CT对原发性醛固酮增多症的分型诊断:一篇画报文章。

IF 0.5 Q4 RADIOLOGY, NUCLEAR MEDICINE & MEDICAL IMAGING
Indian Journal of Nuclear Medicine Pub Date : 2025-05-01 Epub Date: 2025-08-07 DOI:10.4103/ijnm.ijnm_151_24
Sunny J Gandhi, Nikitha P Kunder, Sachin Gupta, Rushikesh Kute
{"title":"镓-68- pentxaat PET/CT对原发性醛固酮增多症的分型诊断:一篇画报文章。","authors":"Sunny J Gandhi, Nikitha P Kunder, Sachin Gupta, Rushikesh Kute","doi":"10.4103/ijnm.ijnm_151_24","DOIUrl":null,"url":null,"abstract":"<p><p>Primary aldosteronism (PA) is one of the prevalent causes of secondary hypertension, characterized by the autonomous hypersecretion of aldosterone and concurrent renin inhibition. Clinical and biochemical remission rates for patients with PA achieved through surgery are far higher compared to those achieved through drug treatment; hence, subtyping PA is crucial for identifying patients who will benefit most from surgery. Computed tomography (CT) scan with adrenal protocol and adrenal venous sampling (AVS) is used conventionally for PA subtype classification. CT scans, being structural imaging, cannot provide functional information, while AVS is an invasive, technically challenging method with a limited success rate and a high risk of complications. The C-X-C chemokine receptor type 4 (CXCR4) is overexpressed in aldosterone-producing tissue but is almost negligibly expressed in nonfunctional adenoma. The positron emission tomography tracer 68Ga-pentixafor, a specific ligand for CXCR4, can detect aldosterone-producing adenoma noninvasively, which can guide surgical treatment. The image series below demonstrates the utility and patterns of findings on Ga-68-pentixafor for subtyping PA.</p>","PeriodicalId":45830,"journal":{"name":"Indian Journal of Nuclear Medicine","volume":"40 3","pages":"161-165"},"PeriodicalIF":0.5000,"publicationDate":"2025-05-01","publicationTypes":"Journal Article","fieldsOfStudy":null,"isOpenAccess":false,"openAccessPdf":"https://www.ncbi.nlm.nih.gov/pmc/articles/PMC12416569/pdf/","citationCount":"0","resultStr":"{\"title\":\"Gallium-68-Pentixafor PET/CT for Subtyping Diagnosis of Primary Aldosteronism: A Pictorial Essay.\",\"authors\":\"Sunny J Gandhi, Nikitha P Kunder, Sachin Gupta, Rushikesh Kute\",\"doi\":\"10.4103/ijnm.ijnm_151_24\",\"DOIUrl\":null,\"url\":null,\"abstract\":\"<p><p>Primary aldosteronism (PA) is one of the prevalent causes of secondary hypertension, characterized by the autonomous hypersecretion of aldosterone and concurrent renin inhibition. Clinical and biochemical remission rates for patients with PA achieved through surgery are far higher compared to those achieved through drug treatment; hence, subtyping PA is crucial for identifying patients who will benefit most from surgery. Computed tomography (CT) scan with adrenal protocol and adrenal venous sampling (AVS) is used conventionally for PA subtype classification. CT scans, being structural imaging, cannot provide functional information, while AVS is an invasive, technically challenging method with a limited success rate and a high risk of complications. The C-X-C chemokine receptor type 4 (CXCR4) is overexpressed in aldosterone-producing tissue but is almost negligibly expressed in nonfunctional adenoma. The positron emission tomography tracer 68Ga-pentixafor, a specific ligand for CXCR4, can detect aldosterone-producing adenoma noninvasively, which can guide surgical treatment. The image series below demonstrates the utility and patterns of findings on Ga-68-pentixafor for subtyping PA.</p>\",\"PeriodicalId\":45830,\"journal\":{\"name\":\"Indian Journal of Nuclear Medicine\",\"volume\":\"40 3\",\"pages\":\"161-165\"},\"PeriodicalIF\":0.5000,\"publicationDate\":\"2025-05-01\",\"publicationTypes\":\"Journal Article\",\"fieldsOfStudy\":null,\"isOpenAccess\":false,\"openAccessPdf\":\"https://www.ncbi.nlm.nih.gov/pmc/articles/PMC12416569/pdf/\",\"citationCount\":\"0\",\"resultStr\":null,\"platform\":\"Semanticscholar\",\"paperid\":null,\"PeriodicalName\":\"Indian Journal of Nuclear Medicine\",\"FirstCategoryId\":\"1085\",\"ListUrlMain\":\"https://doi.org/10.4103/ijnm.ijnm_151_24\",\"RegionNum\":0,\"RegionCategory\":null,\"ArticlePicture\":[],\"TitleCN\":null,\"AbstractTextCN\":null,\"PMCID\":null,\"EPubDate\":\"2025/8/7 0:00:00\",\"PubModel\":\"Epub\",\"JCR\":\"Q4\",\"JCRName\":\"RADIOLOGY, NUCLEAR MEDICINE & MEDICAL IMAGING\",\"Score\":null,\"Total\":0}","platform":"Semanticscholar","paperid":null,"PeriodicalName":"Indian Journal of Nuclear Medicine","FirstCategoryId":"1085","ListUrlMain":"https://doi.org/10.4103/ijnm.ijnm_151_24","RegionNum":0,"RegionCategory":null,"ArticlePicture":[],"TitleCN":null,"AbstractTextCN":null,"PMCID":null,"EPubDate":"2025/8/7 0:00:00","PubModel":"Epub","JCR":"Q4","JCRName":"RADIOLOGY, NUCLEAR MEDICINE & MEDICAL IMAGING","Score":null,"Total":0}
引用次数: 0

摘要

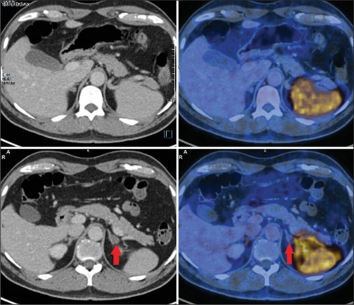
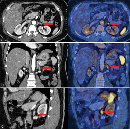
原发性醛固酮增多症(Primary aldosteronism, PA)是继发性高血压的常见病因之一,其特点是醛固酮自主分泌过多,同时肾素抑制。通过手术治疗的PA患者的临床和生化缓解率远高于通过药物治疗的患者;因此,亚型PA对于确定哪些患者将从手术中获益最大至关重要。计算机断层扫描(CT)扫描与肾上腺协议和肾上腺静脉采样(AVS)是常用的PA亚型分类。CT扫描是结构成像,不能提供功能信息,而AVS是一种侵入性的、技术上具有挑战性的方法,成功率有限,并发症风险高。C-X-C趋化因子受体4型(CXCR4)在醛固酮产生组织中过表达,但在无功能腺瘤中的表达几乎可以忽略不计。正电子发射断层扫描示踪剂68ga - pentxafor是CXCR4的特异性配体,可无创检测醛固酮产生性腺瘤,指导手术治疗。下面的图像系列展示了ga -68- pentxafor对PA亚型诊断的效用和结果模式。
本文章由计算机程序翻译,如有差异,请以英文原文为准。

Gallium-68-Pentixafor PET/CT for Subtyping Diagnosis of Primary Aldosteronism: A Pictorial Essay.

Gallium-68-Pentixafor PET/CT for Subtyping Diagnosis of Primary Aldosteronism: A Pictorial Essay.

Gallium-68-Pentixafor PET/CT for Subtyping Diagnosis of Primary Aldosteronism: A Pictorial Essay.

Gallium-68-Pentixafor PET/CT for Subtyping Diagnosis of Primary Aldosteronism: A Pictorial Essay.

Primary aldosteronism (PA) is one of the prevalent causes of secondary hypertension, characterized by the autonomous hypersecretion of aldosterone and concurrent renin inhibition. Clinical and biochemical remission rates for patients with PA achieved through surgery are far higher compared to those achieved through drug treatment; hence, subtyping PA is crucial for identifying patients who will benefit most from surgery. Computed tomography (CT) scan with adrenal protocol and adrenal venous sampling (AVS) is used conventionally for PA subtype classification. CT scans, being structural imaging, cannot provide functional information, while AVS is an invasive, technically challenging method with a limited success rate and a high risk of complications. The C-X-C chemokine receptor type 4 (CXCR4) is overexpressed in aldosterone-producing tissue but is almost negligibly expressed in nonfunctional adenoma. The positron emission tomography tracer 68Ga-pentixafor, a specific ligand for CXCR4, can detect aldosterone-producing adenoma noninvasively, which can guide surgical treatment. The image series below demonstrates the utility and patterns of findings on Ga-68-pentixafor for subtyping PA.

求助全文
通过发布文献求助,成功后即可免费获取论文全文。 去求助
来源期刊
Indian Journal of Nuclear Medicine
Indian Journal of Nuclear Medicine RADIOLOGY, NUCLEAR MEDICINE & MEDICAL IMAGING-
CiteScore
0.70
自引率
0.00%
发文量
46
×
引用
GB/T 7714-2015
复制
MLA
复制
APA
复制
导出至
BibTeX EndNote RefMan NoteFirst NoteExpress
×
提示
您的信息不完整,为了账户安全,请先补充。
现在去补充
×
提示
您因"违规操作"
具体请查看互助需知
我知道了
×
提示
确定
请完成安全验证×
copy
已复制链接
快去分享给好友吧!
我知道了
右上角分享
点击右上角分享
0
联系我们:info@booksci.cn Book学术提供免费学术资源搜索服务,方便国内外学者检索中英文文献。致力于提供最便捷和优质的服务体验。 Copyright © 2023 布克学术 All rights reserved.
京ICP备2023020795号-1
ghs 京公网安备 11010802042870号
Book学术文献互助
Book学术文献互助群
群 号:604180095
Book学术官方微信