探讨FDG PET-CT在转移性复发骨外肾骨肉瘤中的应用。

IF 0.5 Q4 RADIOLOGY, NUCLEAR MEDICINE & MEDICAL IMAGING
Indian Journal of Nuclear Medicine Pub Date : 2025-05-01 Epub Date: 2025-08-07 DOI:10.4103/ijnm.ijnm_83_22
John Pathak, Dikhra Khan, Shamim Ahmed Shamim, Sambit Sagar, Sameer Rastogi
{"title":"探讨FDG PET-CT在转移性复发骨外肾骨肉瘤中的应用。","authors":"John Pathak, Dikhra Khan, Shamim Ahmed Shamim, Sambit Sagar, Sameer Rastogi","doi":"10.4103/ijnm.ijnm_83_22","DOIUrl":null,"url":null,"abstract":"<p><p>Metastatic renal osteosarcoma is a rare entity. We report a case of a 52-year-old male postright nephrectomy status presented to us with metastatic renal osteosarcoma. 18-fluorine- fluorodeoxyglucose (<sup>18</sup>F-FDG) avid lesions were seen in the right renal bed with extension to adjacent hepatic parenchyma. The patient exhibited a favorable response to 6 cycles of carboplatin and doxorubicin with no FDG avid lesions in the postchemotherapy follow-up scan. On 6-month follow-up scan, scan findings reveal a recurrent lesion at the renal bed region infiltrating psoas muscle and liver metastatic lesion. This case highlights the use of <sup>18</sup>F-FDG positron emission tomography/computed tomography in metastatic recurrent extraskeletal osteosarcoma.</p>","PeriodicalId":45830,"journal":{"name":"Indian Journal of Nuclear Medicine","volume":"40 3","pages":"166-167"},"PeriodicalIF":0.5000,"publicationDate":"2025-05-01","publicationTypes":"Journal Article","fieldsOfStudy":null,"isOpenAccess":false,"openAccessPdf":"https://www.ncbi.nlm.nih.gov/pmc/articles/PMC12416627/pdf/","citationCount":"0","resultStr":"{\"title\":\"Exploring the Utility of FDG PET-CT in Metastatic Recurrent Extra Skeletal Renal Osteosarcoma.\",\"authors\":\"John Pathak, Dikhra Khan, Shamim Ahmed Shamim, Sambit Sagar, Sameer Rastogi\",\"doi\":\"10.4103/ijnm.ijnm_83_22\",\"DOIUrl\":null,\"url\":null,\"abstract\":\"<p><p>Metastatic renal osteosarcoma is a rare entity. We report a case of a 52-year-old male postright nephrectomy status presented to us with metastatic renal osteosarcoma. 18-fluorine- fluorodeoxyglucose (<sup>18</sup>F-FDG) avid lesions were seen in the right renal bed with extension to adjacent hepatic parenchyma. The patient exhibited a favorable response to 6 cycles of carboplatin and doxorubicin with no FDG avid lesions in the postchemotherapy follow-up scan. On 6-month follow-up scan, scan findings reveal a recurrent lesion at the renal bed region infiltrating psoas muscle and liver metastatic lesion. This case highlights the use of <sup>18</sup>F-FDG positron emission tomography/computed tomography in metastatic recurrent extraskeletal osteosarcoma.</p>\",\"PeriodicalId\":45830,\"journal\":{\"name\":\"Indian Journal of Nuclear Medicine\",\"volume\":\"40 3\",\"pages\":\"166-167\"},\"PeriodicalIF\":0.5000,\"publicationDate\":\"2025-05-01\",\"publicationTypes\":\"Journal Article\",\"fieldsOfStudy\":null,\"isOpenAccess\":false,\"openAccessPdf\":\"https://www.ncbi.nlm.nih.gov/pmc/articles/PMC12416627/pdf/\",\"citationCount\":\"0\",\"resultStr\":null,\"platform\":\"Semanticscholar\",\"paperid\":null,\"PeriodicalName\":\"Indian Journal of Nuclear Medicine\",\"FirstCategoryId\":\"1085\",\"ListUrlMain\":\"https://doi.org/10.4103/ijnm.ijnm_83_22\",\"RegionNum\":0,\"RegionCategory\":null,\"ArticlePicture\":[],\"TitleCN\":null,\"AbstractTextCN\":null,\"PMCID\":null,\"EPubDate\":\"2025/8/7 0:00:00\",\"PubModel\":\"Epub\",\"JCR\":\"Q4\",\"JCRName\":\"RADIOLOGY, NUCLEAR MEDICINE & MEDICAL IMAGING\",\"Score\":null,\"Total\":0}","platform":"Semanticscholar","paperid":null,"PeriodicalName":"Indian Journal of Nuclear Medicine","FirstCategoryId":"1085","ListUrlMain":"https://doi.org/10.4103/ijnm.ijnm_83_22","RegionNum":0,"RegionCategory":null,"ArticlePicture":[],"TitleCN":null,"AbstractTextCN":null,"PMCID":null,"EPubDate":"2025/8/7 0:00:00","PubModel":"Epub","JCR":"Q4","JCRName":"RADIOLOGY, NUCLEAR MEDICINE & MEDICAL IMAGING","Score":null,"Total":0}
引用次数: 0

摘要

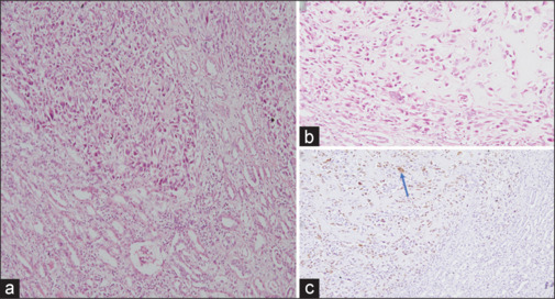
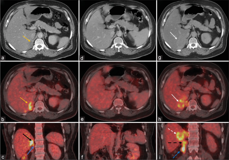
转移性肾骨肉瘤是一种罕见的肿瘤。我们报告一个52岁男性直肾切除术后转移性肾骨肉瘤的病例。18-氟-氟脱氧葡萄糖(18F-FDG)病变可见于右肾床,并扩展到邻近的肝实质。在化疗后随访扫描中,患者对卡铂和阿霉素6个周期的治疗反应良好,无FDG明显病变。在6个月的随访扫描中,扫描结果显示肾床区复发病变浸润腰肌和肝转移灶。本病例强调了18F-FDG正电子发射断层扫描/计算机断层扫描在转移性复发骨外骨肉瘤中的应用。
本文章由计算机程序翻译,如有差异,请以英文原文为准。

Exploring the Utility of FDG PET-CT in Metastatic Recurrent Extra Skeletal Renal Osteosarcoma.

Exploring the Utility of FDG PET-CT in Metastatic Recurrent Extra Skeletal Renal Osteosarcoma.

Exploring the Utility of FDG PET-CT in Metastatic Recurrent Extra Skeletal Renal Osteosarcoma.

Metastatic renal osteosarcoma is a rare entity. We report a case of a 52-year-old male postright nephrectomy status presented to us with metastatic renal osteosarcoma. 18-fluorine- fluorodeoxyglucose (18F-FDG) avid lesions were seen in the right renal bed with extension to adjacent hepatic parenchyma. The patient exhibited a favorable response to 6 cycles of carboplatin and doxorubicin with no FDG avid lesions in the postchemotherapy follow-up scan. On 6-month follow-up scan, scan findings reveal a recurrent lesion at the renal bed region infiltrating psoas muscle and liver metastatic lesion. This case highlights the use of 18F-FDG positron emission tomography/computed tomography in metastatic recurrent extraskeletal osteosarcoma.

求助全文
通过发布文献求助,成功后即可免费获取论文全文。 去求助
来源期刊
Indian Journal of Nuclear Medicine
Indian Journal of Nuclear Medicine RADIOLOGY, NUCLEAR MEDICINE & MEDICAL IMAGING-
CiteScore
0.70
自引率
0.00%
发文量
46
×
引用
GB/T 7714-2015
复制
MLA
复制
APA
复制
导出至
BibTeX EndNote RefMan NoteFirst NoteExpress
×
提示
您的信息不完整,为了账户安全,请先补充。
现在去补充
×
提示
您因"违规操作"
具体请查看互助需知
我知道了
×
提示
确定
请完成安全验证×
copy
已复制链接
快去分享给好友吧!
我知道了
右上角分享
点击右上角分享
0
联系我们:info@booksci.cn Book学术提供免费学术资源搜索服务,方便国内外学者检索中英文文献。致力于提供最便捷和优质的服务体验。 Copyright © 2023 布克学术 All rights reserved.
京ICP备2023020795号-1
ghs 京公网安备 11010802042870号
Book学术文献互助
Book学术文献互助群
群 号:604180095
Book学术官方微信