罕见的18f - fdg肾肿大为急性淋巴细胞白血病的首发表现。

IF 0.5 Q4 RADIOLOGY, NUCLEAR MEDICINE & MEDICAL IMAGING
Indian Journal of Nuclear Medicine Pub Date : 2025-05-01 Epub Date: 2025-08-07 DOI:10.4103/ijnm.ijnm_122_24
Vineet Mishra, Prakash Singh, Shiwangi Yadav
{"title":"罕见的18f - fdg肾肿大为急性淋巴细胞白血病的首发表现。","authors":"Vineet Mishra, Prakash Singh, Shiwangi Yadav","doi":"10.4103/ijnm.ijnm_122_24","DOIUrl":null,"url":null,"abstract":"<p><p>Acute lymphoblastic leukaemia (ALL) is a prevalent cause of paediatric leukaemia. Patients with ALL typically exhibit symptoms such as fever, bleeding, weight loss, and bone pain. Blood investigations results predominantly show anaemia and pancytopenia with blast cells in the peripheral smear. While ALL primarily affects the bone marrow, it can also impact nearly every organ. There have been previous reports of extramedullary involvement of multiple organs in cases of ALL. This case represents a rare occurrence of <sup>18</sup>F-fluorodeoxyglucose (FDG) avid symmetrically enlarged kidneys as initial presentation of ALL.</p>","PeriodicalId":45830,"journal":{"name":"Indian Journal of Nuclear Medicine","volume":"40 3","pages":"170-171"},"PeriodicalIF":0.5000,"publicationDate":"2025-05-01","publicationTypes":"Journal Article","fieldsOfStudy":null,"isOpenAccess":false,"openAccessPdf":"https://www.ncbi.nlm.nih.gov/pmc/articles/PMC12416605/pdf/","citationCount":"0","resultStr":"{\"title\":\"A Rare Case of <sup>18</sup>F-FDG-avid Renomegaly as the Initial Presentation of Acute Lymphoblastic Leukemia.\",\"authors\":\"Vineet Mishra, Prakash Singh, Shiwangi Yadav\",\"doi\":\"10.4103/ijnm.ijnm_122_24\",\"DOIUrl\":null,\"url\":null,\"abstract\":\"<p><p>Acute lymphoblastic leukaemia (ALL) is a prevalent cause of paediatric leukaemia. Patients with ALL typically exhibit symptoms such as fever, bleeding, weight loss, and bone pain. Blood investigations results predominantly show anaemia and pancytopenia with blast cells in the peripheral smear. While ALL primarily affects the bone marrow, it can also impact nearly every organ. There have been previous reports of extramedullary involvement of multiple organs in cases of ALL. This case represents a rare occurrence of <sup>18</sup>F-fluorodeoxyglucose (FDG) avid symmetrically enlarged kidneys as initial presentation of ALL.</p>\",\"PeriodicalId\":45830,\"journal\":{\"name\":\"Indian Journal of Nuclear Medicine\",\"volume\":\"40 3\",\"pages\":\"170-171\"},\"PeriodicalIF\":0.5000,\"publicationDate\":\"2025-05-01\",\"publicationTypes\":\"Journal Article\",\"fieldsOfStudy\":null,\"isOpenAccess\":false,\"openAccessPdf\":\"https://www.ncbi.nlm.nih.gov/pmc/articles/PMC12416605/pdf/\",\"citationCount\":\"0\",\"resultStr\":null,\"platform\":\"Semanticscholar\",\"paperid\":null,\"PeriodicalName\":\"Indian Journal of Nuclear Medicine\",\"FirstCategoryId\":\"1085\",\"ListUrlMain\":\"https://doi.org/10.4103/ijnm.ijnm_122_24\",\"RegionNum\":0,\"RegionCategory\":null,\"ArticlePicture\":[],\"TitleCN\":null,\"AbstractTextCN\":null,\"PMCID\":null,\"EPubDate\":\"2025/8/7 0:00:00\",\"PubModel\":\"Epub\",\"JCR\":\"Q4\",\"JCRName\":\"RADIOLOGY, NUCLEAR MEDICINE & MEDICAL IMAGING\",\"Score\":null,\"Total\":0}","platform":"Semanticscholar","paperid":null,"PeriodicalName":"Indian Journal of Nuclear Medicine","FirstCategoryId":"1085","ListUrlMain":"https://doi.org/10.4103/ijnm.ijnm_122_24","RegionNum":0,"RegionCategory":null,"ArticlePicture":[],"TitleCN":null,"AbstractTextCN":null,"PMCID":null,"EPubDate":"2025/8/7 0:00:00","PubModel":"Epub","JCR":"Q4","JCRName":"RADIOLOGY, NUCLEAR MEDICINE & MEDICAL IMAGING","Score":null,"Total":0}
引用次数: 0

摘要

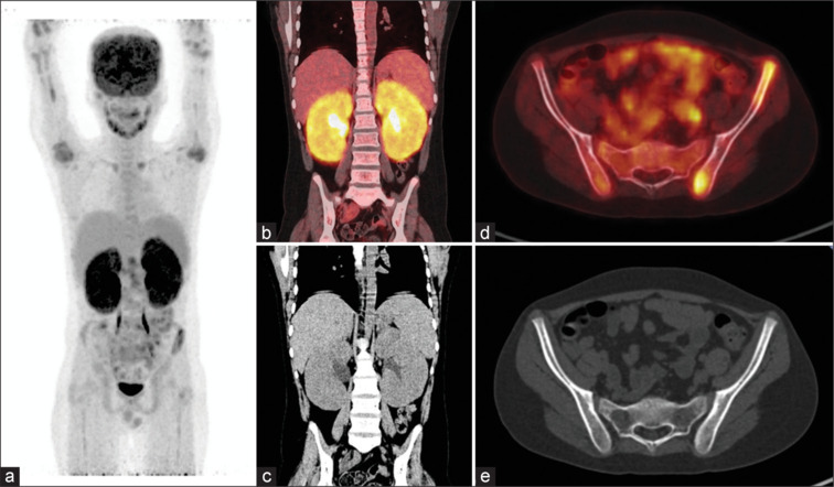
急性淋巴细胞白血病(ALL)是儿童白血病的常见病因。ALL患者通常表现出发热、出血、体重减轻和骨痛等症状。血液检查结果主要显示贫血和全血细胞减少,外周血涂片显示胚细胞。虽然ALL主要影响骨髓,但它也可以影响几乎所有器官。以前有报道急性淋巴细胞白血病的多器官受累于髓外。本病例为罕见的18f -氟脱氧葡萄糖(FDG)伴肾对称肿大的ALL首发表现。
本文章由计算机程序翻译,如有差异,请以英文原文为准。

A Rare Case of <sup>18</sup>F-FDG-avid Renomegaly as the Initial Presentation of Acute Lymphoblastic Leukemia.

A Rare Case of 18F-FDG-avid Renomegaly as the Initial Presentation of Acute Lymphoblastic Leukemia.

Acute lymphoblastic leukaemia (ALL) is a prevalent cause of paediatric leukaemia. Patients with ALL typically exhibit symptoms such as fever, bleeding, weight loss, and bone pain. Blood investigations results predominantly show anaemia and pancytopenia with blast cells in the peripheral smear. While ALL primarily affects the bone marrow, it can also impact nearly every organ. There have been previous reports of extramedullary involvement of multiple organs in cases of ALL. This case represents a rare occurrence of 18F-fluorodeoxyglucose (FDG) avid symmetrically enlarged kidneys as initial presentation of ALL.

求助全文
通过发布文献求助,成功后即可免费获取论文全文。 去求助
来源期刊
Indian Journal of Nuclear Medicine
Indian Journal of Nuclear Medicine RADIOLOGY, NUCLEAR MEDICINE & MEDICAL IMAGING-
CiteScore
0.70
自引率
0.00%
发文量
46
×
引用
GB/T 7714-2015
复制
MLA
复制
APA
复制
导出至
BibTeX EndNote RefMan NoteFirst NoteExpress
×
提示
您的信息不完整,为了账户安全,请先补充。
现在去补充
×
提示
您因"违规操作"
具体请查看互助需知
我知道了
×
提示
确定
请完成安全验证×
copy
已复制链接
快去分享给好友吧!
我知道了
右上角分享
点击右上角分享
0
联系我们:info@booksci.cn Book学术提供免费学术资源搜索服务,方便国内外学者检索中英文文献。致力于提供最便捷和优质的服务体验。 Copyright © 2023 布克学术 All rights reserved.
京ICP备2023020795号-1
ghs 京公网安备 11010802042870号
Book学术文献互助
Book学术文献互助群
群 号:604180095
Book学术官方微信