基于rap1的重组侧流免疫分析法的开发和验证,用于哈萨克斯坦牛巴贝虫病的快速血清诊断。

IF 2 Q2 AGRICULTURE, DAIRY & ANIMAL SCIENCE
Veterinary World Pub Date : 2025-07-01 Epub Date: 2025-07-11 DOI:10.14202/vetworld.2025.1881-1890
Kanatbek Mukantayev, Zhansaya Adish, Darkhan Kanayev, Laura Tokhtarova, Bisultan Abirbekov, Yergali Abduraimov, Aralbek Rsaliyev, Kanat Tursunov
{"title":"基于rap1的重组侧流免疫分析法的开发和验证,用于哈萨克斯坦牛巴贝虫病的快速血清诊断。","authors":"Kanatbek Mukantayev, Zhansaya Adish, Darkhan Kanayev, Laura Tokhtarova, Bisultan Abirbekov, Yergali Abduraimov, Aralbek Rsaliyev, Kanat Tursunov","doi":"10.14202/vetworld.2025.1881-1890","DOIUrl":null,"url":null,"abstract":"<p><strong>Background and aim: </strong>Bovine babesiosis, caused by <i>Babesia bovis</i>, poses significant economic challenges to Kazakhstan's cattle industry. Early and accurate detection is crucial for interrupting transmission cycles, particularly in regions lacking advanced diagnostic infrastructure. This study aimed to develop a rapid lateral flow immunoassay (LFIA) using a recombinant C-terminal fragment of the recombinant rhoptry-associated protein 1 (rRap1) antigen for the serodiagnosis of bovine babesiosis.</p><p><strong>Materials and methods: </strong>A C-terminal fragment (amino acids 345-480) of the <i>B. bovis</i> <i>Rap1</i> gene was codon optimized and expressed in <i>Escherichia coli</i>. The recombinant protein was purified using metal-affinity chromatography and validated through sodium dodecyl sulfate polyacrylamide gel electrophoresis, Western blotting, and nanoflow liquid chromatography-tandem mass spectrometry. A diagnostic evaluation was performed using enzyme-linked immunosorbent assay (ELISA) and LFIA on sera from 102 uninfected and 15 infected cattle, all of which had been pre-tested using polymerase chain reaction. Colloidal gold-protein G conjugates were prepared for LFIA, and test conditions were optimized for antigen concentration and serum dilution. Assay performance was compared with previously published LFIAs.</p><p><strong>Results: </strong>A 21-kDa rRap1 protein was successfully expressed and demonstrated high specificity to positive control sera. ELISA and LFIA both detected antibodies in 13 of 15 infected samples (sensitivity 86.6%). Specificity was 90.1% for ELISA and 88.2% for LFIA. Receiver operating characteristic analysis showed an area under the curve of 0.83, and Cohen's Kappa indicated fair-to-moderate agreement between ELISA and LFIA. The LFIA exhibited comparable performance to assays based on merozoite surface antigen 1 or spherical body protein antigens, marking the first successful use of a <i>B. bovis</i> Rap1 C-terminal fragment for LFIA-based field diagnostics in Kazakhstan.</p><p><strong>Conclusion: </strong>The developed rRap1-based LFIA is a promising, field-deployable diagnostic tool for bovine babesiosis, offering rapid results without the need for laboratory equipment. Despite slightly lower sensitivity than ELISA, its simplicity, cost-effectiveness, and specificity support its use in large-scale epidemiological surveillance. Further validation in diverse field conditions and cattle populations is recommended to refine sensitivity and broaden applicability.</p>","PeriodicalId":23587,"journal":{"name":"Veterinary World","volume":"18 7","pages":"1881-1890"},"PeriodicalIF":2.0000,"publicationDate":"2025-07-01","publicationTypes":"Journal Article","fieldsOfStudy":null,"isOpenAccess":false,"openAccessPdf":"https://www.ncbi.nlm.nih.gov/pmc/articles/PMC12415140/pdf/","citationCount":"0","resultStr":"{\"title\":\"Development and validation of a recombinant Rap1-based lateral flow immunoassay for rapid serodiagnosis of bovine babesiosis in Kazakhstan.\",\"authors\":\"Kanatbek Mukantayev, Zhansaya Adish, Darkhan Kanayev, Laura Tokhtarova, Bisultan Abirbekov, Yergali Abduraimov, Aralbek Rsaliyev, Kanat Tursunov\",\"doi\":\"10.14202/vetworld.2025.1881-1890\",\"DOIUrl\":null,\"url\":null,\"abstract\":\"<p><strong>Background and aim: </strong>Bovine babesiosis, caused by <i>Babesia bovis</i>, poses significant economic challenges to Kazakhstan's cattle industry. Early and accurate detection is crucial for interrupting transmission cycles, particularly in regions lacking advanced diagnostic infrastructure. This study aimed to develop a rapid lateral flow immunoassay (LFIA) using a recombinant C-terminal fragment of the recombinant rhoptry-associated protein 1 (rRap1) antigen for the serodiagnosis of bovine babesiosis.</p><p><strong>Materials and methods: </strong>A C-terminal fragment (amino acids 345-480) of the <i>B. bovis</i> <i>Rap1</i> gene was codon optimized and expressed in <i>Escherichia coli</i>. The recombinant protein was purified using metal-affinity chromatography and validated through sodium dodecyl sulfate polyacrylamide gel electrophoresis, Western blotting, and nanoflow liquid chromatography-tandem mass spectrometry. A diagnostic evaluation was performed using enzyme-linked immunosorbent assay (ELISA) and LFIA on sera from 102 uninfected and 15 infected cattle, all of which had been pre-tested using polymerase chain reaction. Colloidal gold-protein G conjugates were prepared for LFIA, and test conditions were optimized for antigen concentration and serum dilution. Assay performance was compared with previously published LFIAs.</p><p><strong>Results: </strong>A 21-kDa rRap1 protein was successfully expressed and demonstrated high specificity to positive control sera. ELISA and LFIA both detected antibodies in 13 of 15 infected samples (sensitivity 86.6%). Specificity was 90.1% for ELISA and 88.2% for LFIA. Receiver operating characteristic analysis showed an area under the curve of 0.83, and Cohen's Kappa indicated fair-to-moderate agreement between ELISA and LFIA. The LFIA exhibited comparable performance to assays based on merozoite surface antigen 1 or spherical body protein antigens, marking the first successful use of a <i>B. bovis</i> Rap1 C-terminal fragment for LFIA-based field diagnostics in Kazakhstan.</p><p><strong>Conclusion: </strong>The developed rRap1-based LFIA is a promising, field-deployable diagnostic tool for bovine babesiosis, offering rapid results without the need for laboratory equipment. Despite slightly lower sensitivity than ELISA, its simplicity, cost-effectiveness, and specificity support its use in large-scale epidemiological surveillance. Further validation in diverse field conditions and cattle populations is recommended to refine sensitivity and broaden applicability.</p>\",\"PeriodicalId\":23587,\"journal\":{\"name\":\"Veterinary World\",\"volume\":\"18 7\",\"pages\":\"1881-1890\"},\"PeriodicalIF\":2.0000,\"publicationDate\":\"2025-07-01\",\"publicationTypes\":\"Journal Article\",\"fieldsOfStudy\":null,\"isOpenAccess\":false,\"openAccessPdf\":\"https://www.ncbi.nlm.nih.gov/pmc/articles/PMC12415140/pdf/\",\"citationCount\":\"0\",\"resultStr\":null,\"platform\":\"Semanticscholar\",\"paperid\":null,\"PeriodicalName\":\"Veterinary World\",\"FirstCategoryId\":\"1085\",\"ListUrlMain\":\"https://doi.org/10.14202/vetworld.2025.1881-1890\",\"RegionNum\":0,\"RegionCategory\":null,\"ArticlePicture\":[],\"TitleCN\":null,\"AbstractTextCN\":null,\"PMCID\":null,\"EPubDate\":\"2025/7/11 0:00:00\",\"PubModel\":\"Epub\",\"JCR\":\"Q2\",\"JCRName\":\"AGRICULTURE, DAIRY & ANIMAL SCIENCE\",\"Score\":null,\"Total\":0}","platform":"Semanticscholar","paperid":null,"PeriodicalName":"Veterinary World","FirstCategoryId":"1085","ListUrlMain":"https://doi.org/10.14202/vetworld.2025.1881-1890","RegionNum":0,"RegionCategory":null,"ArticlePicture":[],"TitleCN":null,"AbstractTextCN":null,"PMCID":null,"EPubDate":"2025/7/11 0:00:00","PubModel":"Epub","JCR":"Q2","JCRName":"AGRICULTURE, DAIRY & ANIMAL SCIENCE","Score":null,"Total":0}
引用次数: 0

摘要

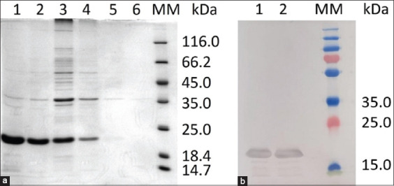
背景和目的:由牛巴贝斯虫引起的牛巴贝斯虫病对哈萨克斯坦的养牛业构成了重大的经济挑战。早期和准确的检测对于中断传播周期至关重要,特别是在缺乏先进诊断基础设施的地区。本研究旨在建立一种快速侧流免疫分析法(LFIA),利用重组猪瘟相关蛋白1 (rRap1)抗原的重组c端片段进行牛巴贝斯虫病的血清诊断。材料与方法:对牛b Rap1基因c端片段(氨基酸345 ~ 480)进行密码子优化,并在大肠杆菌中表达。重组蛋白采用金属亲和层析纯化,并通过十二烷基硫酸钠聚丙烯酰胺凝胶电泳、Western blotting和纳米流液相色谱-串联质谱法进行验证。采用酶联免疫吸附试验(ELISA)和LFIA对102头未感染牛和15头感染牛的血清进行诊断评估,所有牛均采用聚合酶链反应进行预检测。制备了胶体金-蛋白G偶联物,并对抗原浓度和血清稀释度进行了优化。测定性能与先前发表的LFIAs进行了比较。结果:成功表达了一个21 kda的rRap1蛋白,并对阳性对照血清具有高特异性。ELISA和LFIA在15份感染样本中均检测到13份抗体,敏感性为86.6%。ELISA特异性为90.1%,LFIA特异性为88.2%。受试者工作特征分析显示曲线下面积为0.83,Cohen’s Kappa表明ELISA和LFIA之间的一致性中等。LFIA表现出与基于merozoite表面抗原1或球体蛋白抗原的检测相当的性能,标志着在哈萨克斯坦首次成功使用牛B. Rap1 c端片段进行基于LFIA的现场诊断。结论:所开发的基于rrap1的LFIA是一种有前途的、可现场部署的牛巴贝斯虫病诊断工具,无需实验室设备即可提供快速结果。尽管灵敏度略低于ELISA,但其简便、成本效益和特异性支持其在大规模流行病学监测中的应用。建议在不同的野外条件和牛群中进一步验证,以提高灵敏度和扩大适用性。
本文章由计算机程序翻译,如有差异,请以英文原文为准。

Development and validation of a recombinant Rap1-based lateral flow immunoassay for rapid serodiagnosis of bovine babesiosis in Kazakhstan.

Development and validation of a recombinant Rap1-based lateral flow immunoassay for rapid serodiagnosis of bovine babesiosis in Kazakhstan.

Development and validation of a recombinant Rap1-based lateral flow immunoassay for rapid serodiagnosis of bovine babesiosis in Kazakhstan.

Development and validation of a recombinant Rap1-based lateral flow immunoassay for rapid serodiagnosis of bovine babesiosis in Kazakhstan.

Background and aim: Bovine babesiosis, caused by Babesia bovis, poses significant economic challenges to Kazakhstan's cattle industry. Early and accurate detection is crucial for interrupting transmission cycles, particularly in regions lacking advanced diagnostic infrastructure. This study aimed to develop a rapid lateral flow immunoassay (LFIA) using a recombinant C-terminal fragment of the recombinant rhoptry-associated protein 1 (rRap1) antigen for the serodiagnosis of bovine babesiosis.

Materials and methods: A C-terminal fragment (amino acids 345-480) of the B. bovis Rap1 gene was codon optimized and expressed in Escherichia coli. The recombinant protein was purified using metal-affinity chromatography and validated through sodium dodecyl sulfate polyacrylamide gel electrophoresis, Western blotting, and nanoflow liquid chromatography-tandem mass spectrometry. A diagnostic evaluation was performed using enzyme-linked immunosorbent assay (ELISA) and LFIA on sera from 102 uninfected and 15 infected cattle, all of which had been pre-tested using polymerase chain reaction. Colloidal gold-protein G conjugates were prepared for LFIA, and test conditions were optimized for antigen concentration and serum dilution. Assay performance was compared with previously published LFIAs.

Results: A 21-kDa rRap1 protein was successfully expressed and demonstrated high specificity to positive control sera. ELISA and LFIA both detected antibodies in 13 of 15 infected samples (sensitivity 86.6%). Specificity was 90.1% for ELISA and 88.2% for LFIA. Receiver operating characteristic analysis showed an area under the curve of 0.83, and Cohen's Kappa indicated fair-to-moderate agreement between ELISA and LFIA. The LFIA exhibited comparable performance to assays based on merozoite surface antigen 1 or spherical body protein antigens, marking the first successful use of a B. bovis Rap1 C-terminal fragment for LFIA-based field diagnostics in Kazakhstan.

Conclusion: The developed rRap1-based LFIA is a promising, field-deployable diagnostic tool for bovine babesiosis, offering rapid results without the need for laboratory equipment. Despite slightly lower sensitivity than ELISA, its simplicity, cost-effectiveness, and specificity support its use in large-scale epidemiological surveillance. Further validation in diverse field conditions and cattle populations is recommended to refine sensitivity and broaden applicability.

求助全文
通过发布文献求助,成功后即可免费获取论文全文。 去求助
来源期刊
Veterinary World
Veterinary World Multiple-
CiteScore
3.60
自引率
12.50%
发文量
317
审稿时长
16 weeks
期刊介绍: Veterinary World publishes high quality papers focusing on Veterinary and Animal Science. The fields of study are bacteriology, parasitology, pathology, virology, immunology, mycology, public health, biotechnology, meat science, fish diseases, nutrition, gynecology, genetics, wildlife, laboratory animals, animal models of human infections, prion diseases and epidemiology. Studies on zoonotic and emerging infections are highly appreciated. Review articles are highly appreciated. All articles published by Veterinary World are made freely and permanently accessible online. All articles to Veterinary World are posted online immediately as they are ready for publication.
×
引用
GB/T 7714-2015
复制
MLA
复制
APA
复制
导出至
BibTeX EndNote RefMan NoteFirst NoteExpress
×
提示
您的信息不完整,为了账户安全,请先补充。
现在去补充
×
提示
您因"违规操作"
具体请查看互助需知
我知道了
×
提示
确定
请完成安全验证×
copy
已复制链接
快去分享给好友吧!
我知道了
右上角分享
点击右上角分享
0
联系我们:info@booksci.cn Book学术提供免费学术资源搜索服务,方便国内外学者检索中英文文献。致力于提供最便捷和优质的服务体验。 Copyright © 2023 布克学术 All rights reserved.
京ICP备2023020795号-1
ghs 京公网安备 11010802042870号
Book学术文献互助
Book学术文献互助群
群 号:604180095
Book学术官方微信