脑脊液置换联合鞘内注射抗生素治疗重症肺炎克雷伯菌颅内感染1例

IF 2.9 3区 医学 Q2 INFECTIOUS DISEASES
Infection and Drug Resistance Pub Date : 2025-09-04 eCollection Date: 2025-01-01 DOI:10.2147/IDR.S546360
Hong Wei, Lifan Xu, Lu Li, Yong Shen, Sijie Yu, Haiyan Huang, Xin Huang
{"title":"脑脊液置换联合鞘内注射抗生素治疗重症肺炎克雷伯菌颅内感染1例","authors":"Hong Wei, Lifan Xu, Lu Li, Yong Shen, Sijie Yu, Haiyan Huang, Xin Huang","doi":"10.2147/IDR.S546360","DOIUrl":null,"url":null,"abstract":"<p><p>Hypervirulent <i>Klebsiella pneumoniae</i> is a recently identified pathotype characterized by high virulence and rapid dissemination. It is associated with invasive infections at multiple anatomical sites, including liver abscesses, necrotizing fasciitis, meningitis, myositis, and endophthalmitis. It has emerged as a significant threat to public health due to its aggressive clinical course and high mortality rate. This case presents a 63-year-old female diabetic patient who developed lung abscess, liver abscess, and bacterial meningitis. Typical clinical manifestations confirmed through imaging, microbiological culture analysis, and whole-genome sequencing (ST65-K1) revealed Hypervirulent <i>Klebsiella pneumoniae</i> infection. The patient was comatose with purulent cerebrospinal fluid and obstructed drainage. Such severe cases of Hypervirulent <i>Klebsiella pneumoniae</i> intracranial infection are extremely rare. Early cerebrospinal fluid exchange, combined with intrathecal amikacin injection, was initiated. After one month of active treatment, the patient exhibited improved clinical outcomes and was subsequently discharged. This case highlights that patients with diabetes, particularly those presenting with high-risk comorbidities, are predisposed to developing triggering factors for <i>Klebsiella pneumoniae</i> invasive syndrome <i>Klebsiella pneumoniae</i> invasive syndrome. Early identification and implementation of individualized cerebrospinal fluid exchange therapy combined with intrathecal antibiotic therapy in critically ill meningitis patients infected with <i>Klebsiella pneumoniae</i> invasive syndrome are pivotal for improving prognosis. Collectively, these findings provide novel insights and a valuable framework for developing future therapeutically efficacious strategies for the management of Hypervirulent <i>Klebsiella pneumoniae</i>. However, this regimen does not standard-of-care, and further evidence is required to establish its safety and clinical effectiveness.</p>","PeriodicalId":13577,"journal":{"name":"Infection and Drug Resistance","volume":"18 ","pages":"4723-4730"},"PeriodicalIF":2.9000,"publicationDate":"2025-09-04","publicationTypes":"Journal Article","fieldsOfStudy":null,"isOpenAccess":false,"openAccessPdf":"https://www.ncbi.nlm.nih.gov/pmc/articles/PMC12416389/pdf/","citationCount":"0","resultStr":"{\"title\":\"Cerebrospinal Fluid Exchange Combined with Intrathecal Antibiotic Injection for the Management of Severe Intracranial Infection Caused by Hypervirulent <i>Klebsiella pneumoniae</i>: A Case Report.\",\"authors\":\"Hong Wei, Lifan Xu, Lu Li, Yong Shen, Sijie Yu, Haiyan Huang, Xin Huang\",\"doi\":\"10.2147/IDR.S546360\",\"DOIUrl\":null,\"url\":null,\"abstract\":\"<p><p>Hypervirulent <i>Klebsiella pneumoniae</i> is a recently identified pathotype characterized by high virulence and rapid dissemination. It is associated with invasive infections at multiple anatomical sites, including liver abscesses, necrotizing fasciitis, meningitis, myositis, and endophthalmitis. It has emerged as a significant threat to public health due to its aggressive clinical course and high mortality rate. This case presents a 63-year-old female diabetic patient who developed lung abscess, liver abscess, and bacterial meningitis. Typical clinical manifestations confirmed through imaging, microbiological culture analysis, and whole-genome sequencing (ST65-K1) revealed Hypervirulent <i>Klebsiella pneumoniae</i> infection. The patient was comatose with purulent cerebrospinal fluid and obstructed drainage. Such severe cases of Hypervirulent <i>Klebsiella pneumoniae</i> intracranial infection are extremely rare. Early cerebrospinal fluid exchange, combined with intrathecal amikacin injection, was initiated. After one month of active treatment, the patient exhibited improved clinical outcomes and was subsequently discharged. This case highlights that patients with diabetes, particularly those presenting with high-risk comorbidities, are predisposed to developing triggering factors for <i>Klebsiella pneumoniae</i> invasive syndrome <i>Klebsiella pneumoniae</i> invasive syndrome. Early identification and implementation of individualized cerebrospinal fluid exchange therapy combined with intrathecal antibiotic therapy in critically ill meningitis patients infected with <i>Klebsiella pneumoniae</i> invasive syndrome are pivotal for improving prognosis. Collectively, these findings provide novel insights and a valuable framework for developing future therapeutically efficacious strategies for the management of Hypervirulent <i>Klebsiella pneumoniae</i>. However, this regimen does not standard-of-care, and further evidence is required to establish its safety and clinical effectiveness.</p>\",\"PeriodicalId\":13577,\"journal\":{\"name\":\"Infection and Drug Resistance\",\"volume\":\"18 \",\"pages\":\"4723-4730\"},\"PeriodicalIF\":2.9000,\"publicationDate\":\"2025-09-04\",\"publicationTypes\":\"Journal Article\",\"fieldsOfStudy\":null,\"isOpenAccess\":false,\"openAccessPdf\":\"https://www.ncbi.nlm.nih.gov/pmc/articles/PMC12416389/pdf/\",\"citationCount\":\"0\",\"resultStr\":null,\"platform\":\"Semanticscholar\",\"paperid\":null,\"PeriodicalName\":\"Infection and Drug Resistance\",\"FirstCategoryId\":\"3\",\"ListUrlMain\":\"https://doi.org/10.2147/IDR.S546360\",\"RegionNum\":3,\"RegionCategory\":\"医学\",\"ArticlePicture\":[],\"TitleCN\":null,\"AbstractTextCN\":null,\"PMCID\":null,\"EPubDate\":\"2025/1/1 0:00:00\",\"PubModel\":\"eCollection\",\"JCR\":\"Q2\",\"JCRName\":\"INFECTIOUS DISEASES\",\"Score\":null,\"Total\":0}","platform":"Semanticscholar","paperid":null,"PeriodicalName":"Infection and Drug Resistance","FirstCategoryId":"3","ListUrlMain":"https://doi.org/10.2147/IDR.S546360","RegionNum":3,"RegionCategory":"医学","ArticlePicture":[],"TitleCN":null,"AbstractTextCN":null,"PMCID":null,"EPubDate":"2025/1/1 0:00:00","PubModel":"eCollection","JCR":"Q2","JCRName":"INFECTIOUS DISEASES","Score":null,"Total":0}
引用次数: 0

摘要

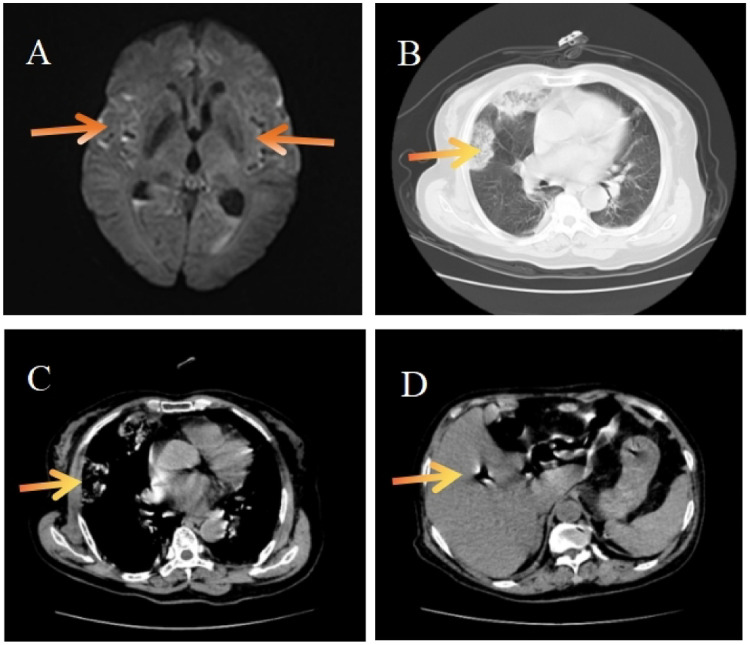
高毒力肺炎克雷伯菌是最近发现的一种病型,其特点是高毒力和快速传播。它与多个解剖部位的侵袭性感染有关,包括肝脓肿、坏死性筋膜炎、脑膜炎、肌炎和眼内炎。由于其临床病程凶猛,死亡率高,它已成为对公众健康的重大威胁。本病例为63岁女性糖尿病患者,并发肺脓肿、肝脓肿及细菌性脑膜炎。通过影像学、微生物培养分析和全基因组测序(ST65-K1)证实的典型临床表现为高毒力肺炎克雷伯菌感染。患者昏迷,脑脊液化脓,引流不通畅。这种严重的高毒力肺炎克雷伯菌颅内感染病例极为罕见。开始早期脑脊液交换,联合鞘内注射阿米卡星。经过一个月的积极治疗,患者表现出改善的临床结果,随后出院。该病例强调,糖尿病患者,特别是那些有高危合并症的患者,易发生肺炎克雷伯氏菌侵袭性综合征的触发因素。肺炎克雷伯菌侵袭综合征重症脑膜炎患者早期识别并实施个体化脑脊液置换治疗联合鞘内抗生素治疗是改善预后的关键。总的来说,这些发现提供了新的见解和有价值的框架,为制定未来治疗高致病性肺炎克雷伯菌的有效策略。然而,该方案不是标准治疗,需要进一步的证据来确定其安全性和临床有效性。
本文章由计算机程序翻译,如有差异,请以英文原文为准。

Cerebrospinal Fluid Exchange Combined with Intrathecal Antibiotic Injection for the Management of Severe Intracranial Infection Caused by Hypervirulent <i>Klebsiella pneumoniae</i>: A Case Report.

Cerebrospinal Fluid Exchange Combined with Intrathecal Antibiotic Injection for the Management of Severe Intracranial Infection Caused by Hypervirulent <i>Klebsiella pneumoniae</i>: A Case Report.

Cerebrospinal Fluid Exchange Combined with Intrathecal Antibiotic Injection for the Management of Severe Intracranial Infection Caused by Hypervirulent <i>Klebsiella pneumoniae</i>: A Case Report.

Cerebrospinal Fluid Exchange Combined with Intrathecal Antibiotic Injection for the Management of Severe Intracranial Infection Caused by Hypervirulent Klebsiella pneumoniae: A Case Report.

Hypervirulent Klebsiella pneumoniae is a recently identified pathotype characterized by high virulence and rapid dissemination. It is associated with invasive infections at multiple anatomical sites, including liver abscesses, necrotizing fasciitis, meningitis, myositis, and endophthalmitis. It has emerged as a significant threat to public health due to its aggressive clinical course and high mortality rate. This case presents a 63-year-old female diabetic patient who developed lung abscess, liver abscess, and bacterial meningitis. Typical clinical manifestations confirmed through imaging, microbiological culture analysis, and whole-genome sequencing (ST65-K1) revealed Hypervirulent Klebsiella pneumoniae infection. The patient was comatose with purulent cerebrospinal fluid and obstructed drainage. Such severe cases of Hypervirulent Klebsiella pneumoniae intracranial infection are extremely rare. Early cerebrospinal fluid exchange, combined with intrathecal amikacin injection, was initiated. After one month of active treatment, the patient exhibited improved clinical outcomes and was subsequently discharged. This case highlights that patients with diabetes, particularly those presenting with high-risk comorbidities, are predisposed to developing triggering factors for Klebsiella pneumoniae invasive syndrome Klebsiella pneumoniae invasive syndrome. Early identification and implementation of individualized cerebrospinal fluid exchange therapy combined with intrathecal antibiotic therapy in critically ill meningitis patients infected with Klebsiella pneumoniae invasive syndrome are pivotal for improving prognosis. Collectively, these findings provide novel insights and a valuable framework for developing future therapeutically efficacious strategies for the management of Hypervirulent Klebsiella pneumoniae. However, this regimen does not standard-of-care, and further evidence is required to establish its safety and clinical effectiveness.

求助全文
通过发布文献求助,成功后即可免费获取论文全文。 去求助
来源期刊
Infection and Drug Resistance
Infection and Drug Resistance Medicine-Pharmacology (medical)
CiteScore
5.60
自引率
7.70%
发文量
826
审稿时长
16 weeks
期刊介绍: About Journal Editors Peer Reviewers Articles Article Publishing Charges Aims and Scope Call For Papers ISSN: 1178-6973 Editor-in-Chief: Professor Suresh Antony An international, peer-reviewed, open access journal that focuses on the optimal treatment of infection (bacterial, fungal and viral) and the development and institution of preventative strategies to minimize the development and spread of resistance.
×
引用
GB/T 7714-2015
复制
MLA
复制
APA
复制
导出至
BibTeX EndNote RefMan NoteFirst NoteExpress
×
提示
您的信息不完整,为了账户安全,请先补充。
现在去补充
×
提示
您因"违规操作"
具体请查看互助需知
我知道了
×
提示
确定
请完成安全验证×
copy
已复制链接
快去分享给好友吧!
我知道了
右上角分享
点击右上角分享
0
联系我们:info@booksci.cn Book学术提供免费学术资源搜索服务,方便国内外学者检索中英文文献。致力于提供最便捷和优质的服务体验。 Copyright © 2023 布克学术 All rights reserved.
京ICP备2023020795号-1
ghs 京公网安备 11010802042870号
Book学术文献互助
Book学术文献互助群
群 号:604180095
Book学术官方微信