mNGS检测6种病原体对1例免疫功能低下ICU重症社区获得性肺炎脓毒症的诊断挑战:1例报告并文献复习

IF 2.9 3区 医学 Q2 INFECTIOUS DISEASES
Infection and Drug Resistance Pub Date : 2025-09-03 eCollection Date: 2025-01-01 DOI:10.2147/IDR.S550784
Junjie Zhao, Junnan Ye
{"title":"mNGS检测6种病原体对1例免疫功能低下ICU重症社区获得性肺炎脓毒症的诊断挑战:1例报告并文献复习","authors":"Junjie Zhao, Junnan Ye","doi":"10.2147/IDR.S550784","DOIUrl":null,"url":null,"abstract":"<p><strong>Introduction: </strong>Severe community-acquired pneumonia (SCAP) in immunocompromised patients is often caused by rare atypical pathogens, which are difficult to detect using conventional microbiological tests (CMTs) and can progress to sepsis in severe cases. Metagenomic next-generation sequencing (mNGS), an emerging pathogen detection technique, enables rapid identification of mixed infections and provides valuable guidance for clinical treatment decisions. SCAP-induced sepsis caused by a six-pathogen co-infection has not been previously reported, but interpretation remains a challenge.</p><p><strong>Case presentation: </strong>This report describes a case of SCAP-induced sepsis detected six pathogens by mNGS in a patient with IgA nephropathy who developed immunosuppression following long-term treatment with rituximab and corticosteroids. Bronchoalveolar lavage fluid (BALF) mNGS detected six pathogens, including <i>Pneumocystis jirovecii, Klebsiella pneumoniae</i>, Primate bocaparvovirus 1, Cytomegalovirus, <i>Elizabethkingia anophelis</i>, and <i>Candida albicans</i>. The patient was admitted to the intensive care unit (ICU) and received a combination of meropenem, trimethoprim-sulfamethoxazole, ganciclovir, piperacillin-tazobactam, and caspofungin. Following appropriate treatment, the patient recovered and was successfully discharged.</p><p><strong>Conclusion: </strong>mNGS offers significant advantages for the diagnosis and identification of mixed infections in immunocompromised patients with SCAP-induced sepsis. It enables clinicians to initiate timely and targeted antimicrobial therapy, which facilitates early recovery, reduces the overuse of broad-spectrum antibiotics, and ultimately improves patient prognosis. Nevertheless, its interpretation requires caution, as distinguishing true pathogens from colonizers or contaminants still relies on clinical correlation and complementary diagnostic methods.</p>","PeriodicalId":13577,"journal":{"name":"Infection and Drug Resistance","volume":"18 ","pages":"4659-4665"},"PeriodicalIF":2.9000,"publicationDate":"2025-09-03","publicationTypes":"Journal Article","fieldsOfStudy":null,"isOpenAccess":false,"openAccessPdf":"https://www.ncbi.nlm.nih.gov/pmc/articles/PMC12415102/pdf/","citationCount":"0","resultStr":"{\"title\":\"Diagnostic Challenges of Six-Pathogen Detected by mNGS in an Immunocompromised ICU Patient with Severe Community-Acquired Pneumonia-Induced Sepsis: A Case Report and Literature Review.\",\"authors\":\"Junjie Zhao, Junnan Ye\",\"doi\":\"10.2147/IDR.S550784\",\"DOIUrl\":null,\"url\":null,\"abstract\":\"<p><strong>Introduction: </strong>Severe community-acquired pneumonia (SCAP) in immunocompromised patients is often caused by rare atypical pathogens, which are difficult to detect using conventional microbiological tests (CMTs) and can progress to sepsis in severe cases. Metagenomic next-generation sequencing (mNGS), an emerging pathogen detection technique, enables rapid identification of mixed infections and provides valuable guidance for clinical treatment decisions. SCAP-induced sepsis caused by a six-pathogen co-infection has not been previously reported, but interpretation remains a challenge.</p><p><strong>Case presentation: </strong>This report describes a case of SCAP-induced sepsis detected six pathogens by mNGS in a patient with IgA nephropathy who developed immunosuppression following long-term treatment with rituximab and corticosteroids. Bronchoalveolar lavage fluid (BALF) mNGS detected six pathogens, including <i>Pneumocystis jirovecii, Klebsiella pneumoniae</i>, Primate bocaparvovirus 1, Cytomegalovirus, <i>Elizabethkingia anophelis</i>, and <i>Candida albicans</i>. The patient was admitted to the intensive care unit (ICU) and received a combination of meropenem, trimethoprim-sulfamethoxazole, ganciclovir, piperacillin-tazobactam, and caspofungin. Following appropriate treatment, the patient recovered and was successfully discharged.</p><p><strong>Conclusion: </strong>mNGS offers significant advantages for the diagnosis and identification of mixed infections in immunocompromised patients with SCAP-induced sepsis. It enables clinicians to initiate timely and targeted antimicrobial therapy, which facilitates early recovery, reduces the overuse of broad-spectrum antibiotics, and ultimately improves patient prognosis. Nevertheless, its interpretation requires caution, as distinguishing true pathogens from colonizers or contaminants still relies on clinical correlation and complementary diagnostic methods.</p>\",\"PeriodicalId\":13577,\"journal\":{\"name\":\"Infection and Drug Resistance\",\"volume\":\"18 \",\"pages\":\"4659-4665\"},\"PeriodicalIF\":2.9000,\"publicationDate\":\"2025-09-03\",\"publicationTypes\":\"Journal Article\",\"fieldsOfStudy\":null,\"isOpenAccess\":false,\"openAccessPdf\":\"https://www.ncbi.nlm.nih.gov/pmc/articles/PMC12415102/pdf/\",\"citationCount\":\"0\",\"resultStr\":null,\"platform\":\"Semanticscholar\",\"paperid\":null,\"PeriodicalName\":\"Infection and Drug Resistance\",\"FirstCategoryId\":\"3\",\"ListUrlMain\":\"https://doi.org/10.2147/IDR.S550784\",\"RegionNum\":3,\"RegionCategory\":\"医学\",\"ArticlePicture\":[],\"TitleCN\":null,\"AbstractTextCN\":null,\"PMCID\":null,\"EPubDate\":\"2025/1/1 0:00:00\",\"PubModel\":\"eCollection\",\"JCR\":\"Q2\",\"JCRName\":\"INFECTIOUS DISEASES\",\"Score\":null,\"Total\":0}","platform":"Semanticscholar","paperid":null,"PeriodicalName":"Infection and Drug Resistance","FirstCategoryId":"3","ListUrlMain":"https://doi.org/10.2147/IDR.S550784","RegionNum":3,"RegionCategory":"医学","ArticlePicture":[],"TitleCN":null,"AbstractTextCN":null,"PMCID":null,"EPubDate":"2025/1/1 0:00:00","PubModel":"eCollection","JCR":"Q2","JCRName":"INFECTIOUS DISEASES","Score":null,"Total":0}
引用次数: 0

摘要

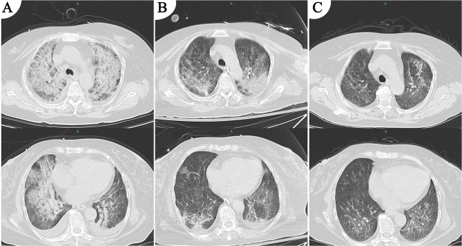
免疫功能低下患者的严重社区获得性肺炎(SCAP)通常是由罕见的非典型病原体引起的,这些非典型病原体很难用传统的微生物试验(CMTs)检测到,在严重的病例中可能发展为败血症。新一代宏基因组测序(mNGS)是一种新兴的病原体检测技术,能够快速识别混合感染,并为临床治疗决策提供有价值的指导。由六种病原体共同感染引起的scap诱导脓毒症以前没有报道,但解释仍然是一个挑战。病例介绍:本报告描述了一例scap诱导的败血症,在长期使用利妥昔单抗和皮质类固醇治疗后出现免疫抑制的IgA肾病患者中,mNGS检测到六种病原体。支气管肺泡灌洗液(BALF) mNGS检测出6种病原菌,分别为吉罗氏肺囊虫、肺炎克雷伯菌、灵长类动物bocaparvovirus 1、巨细胞病毒、按蚊伊丽莎白菌和白色念珠菌。患者入住重症监护病房(ICU),接受美罗培南、甲氧苄氨嘧啶磺胺甲恶唑、更昔洛韦、哌拉西林-他唑巴坦和卡泊芬净联合治疗。经过适当的治疗,患者康复并顺利出院。结论:mNGS对scap致脓毒症免疫功能低下患者混合感染的诊断和鉴定具有显著优势。它使临床医生能够及时启动有针对性的抗菌药物治疗,从而促进早期康复,减少广谱抗生素的过度使用,并最终改善患者预后。然而,它的解释需要谨慎,因为区分真正的病原体与殖民者或污染物仍然依赖于临床相关性和补充诊断方法。
本文章由计算机程序翻译,如有差异,请以英文原文为准。

Diagnostic Challenges of Six-Pathogen Detected by mNGS in an Immunocompromised ICU Patient with Severe Community-Acquired Pneumonia-Induced Sepsis: A Case Report and Literature Review.

Diagnostic Challenges of Six-Pathogen Detected by mNGS in an Immunocompromised ICU Patient with Severe Community-Acquired Pneumonia-Induced Sepsis: A Case Report and Literature Review.

Diagnostic Challenges of Six-Pathogen Detected by mNGS in an Immunocompromised ICU Patient with Severe Community-Acquired Pneumonia-Induced Sepsis: A Case Report and Literature Review.

Diagnostic Challenges of Six-Pathogen Detected by mNGS in an Immunocompromised ICU Patient with Severe Community-Acquired Pneumonia-Induced Sepsis: A Case Report and Literature Review.

Introduction: Severe community-acquired pneumonia (SCAP) in immunocompromised patients is often caused by rare atypical pathogens, which are difficult to detect using conventional microbiological tests (CMTs) and can progress to sepsis in severe cases. Metagenomic next-generation sequencing (mNGS), an emerging pathogen detection technique, enables rapid identification of mixed infections and provides valuable guidance for clinical treatment decisions. SCAP-induced sepsis caused by a six-pathogen co-infection has not been previously reported, but interpretation remains a challenge.

Case presentation: This report describes a case of SCAP-induced sepsis detected six pathogens by mNGS in a patient with IgA nephropathy who developed immunosuppression following long-term treatment with rituximab and corticosteroids. Bronchoalveolar lavage fluid (BALF) mNGS detected six pathogens, including Pneumocystis jirovecii, Klebsiella pneumoniae, Primate bocaparvovirus 1, Cytomegalovirus, Elizabethkingia anophelis, and Candida albicans. The patient was admitted to the intensive care unit (ICU) and received a combination of meropenem, trimethoprim-sulfamethoxazole, ganciclovir, piperacillin-tazobactam, and caspofungin. Following appropriate treatment, the patient recovered and was successfully discharged.

Conclusion: mNGS offers significant advantages for the diagnosis and identification of mixed infections in immunocompromised patients with SCAP-induced sepsis. It enables clinicians to initiate timely and targeted antimicrobial therapy, which facilitates early recovery, reduces the overuse of broad-spectrum antibiotics, and ultimately improves patient prognosis. Nevertheless, its interpretation requires caution, as distinguishing true pathogens from colonizers or contaminants still relies on clinical correlation and complementary diagnostic methods.

求助全文
通过发布文献求助,成功后即可免费获取论文全文。 去求助
来源期刊
Infection and Drug Resistance
Infection and Drug Resistance Medicine-Pharmacology (medical)
CiteScore
5.60
自引率
7.70%
发文量
826
审稿时长
16 weeks
期刊介绍: About Journal Editors Peer Reviewers Articles Article Publishing Charges Aims and Scope Call For Papers ISSN: 1178-6973 Editor-in-Chief: Professor Suresh Antony An international, peer-reviewed, open access journal that focuses on the optimal treatment of infection (bacterial, fungal and viral) and the development and institution of preventative strategies to minimize the development and spread of resistance.
×
引用
GB/T 7714-2015
复制
MLA
复制
APA
复制
导出至
BibTeX EndNote RefMan NoteFirst NoteExpress
×
提示
您的信息不完整,为了账户安全,请先补充。
现在去补充
×
提示
您因"违规操作"
具体请查看互助需知
我知道了
×
提示
确定
请完成安全验证×
copy
已复制链接
快去分享给好友吧!
我知道了
右上角分享
点击右上角分享
0
联系我们:info@booksci.cn Book学术提供免费学术资源搜索服务,方便国内外学者检索中英文文献。致力于提供最便捷和优质的服务体验。 Copyright © 2023 布克学术 All rights reserved.
京ICP备2023020795号-1
ghs 京公网安备 11010802042870号
Book学术文献互助
Book学术文献互助群
群 号:604180095
Book学术官方微信