结节性汗腺瘤的高频超声特征回顾分析。

IF 2 4区 医学 Q2 MEDICINE, GENERAL & INTERNAL
International Journal of General Medicine Pub Date : 2025-09-04 eCollection Date: 2025-01-01 DOI:10.2147/IJGM.S534241
Bin Dong, Hongsheng Xia, Ying Liu, Su Wang, Zhubiao Ye
{"title":"结节性汗腺瘤的高频超声特征回顾分析。","authors":"Bin Dong, Hongsheng Xia, Ying Liu, Su Wang, Zhubiao Ye","doi":"10.2147/IJGM.S534241","DOIUrl":null,"url":null,"abstract":"<p><strong>Background: </strong>Nodular hidradenoma (NH) is a rare benign adnexal tumor originating from sweat glands, often misdiagnosed due to nonspecific clinical manifestations. Ultrasonography (US) plays a critical role in the diagnosis of skin tumors, yet systematic descriptions of its sonographic features remain limited.</p><p><strong>Objective: </strong>This study aims to investigate the very-high-frequency (VHF) characteristics of eccrine nodular hidradenoma (ENH) and establish key imaging criteria to differentiate it from other cutaneous/subcutaneous lesions.</p><p><strong>Methods: </strong>A retrospective analysis was conducted on 32 histopathologically confirmed ENH cases between November 2018 and December 2024. The VHF ultrasound evaluated ENH location, size, shape, margin, boundary, echogenicity, calcification, blood supply, and so on.</p><p><strong>Results: </strong>The VHF features of ENH showed that the maximum diameter of the lesions was about 12.42 ± 7.66 mm. Most lesions revealed predominant craniofacial/limb involvement (62.5%) and almost all lesions (96.9%) demonstrated transdermal extension into subcutaneous tissue. Lesion morphology varied from geometric regularity (87.5%) to irregular lobulation (12.5%), reflecting ENH's structural diversity. Echogenicity patterns were classified as: homogeneous solid hypoechoic architecture (6.2%, 2/32), heterogeneous solid-dominant hypoechogenicity (40.6%, 13/32), mixed echogenicity with solid-cystic components (31.3%, 10/32, solid:cystic ≈1:1), mixed cystic-dominant echogenicity (21.9%, 7/32). Notably, the ultrasound features of inner septa, \"snow falling\" or \"fluid-fluid level\" were observed in some lesions. Additionally, 9.4% (3/32) showed intralesional calcifications and all lesions exhibited posterior acoustic enhancement. Doppler analysis highlighted vascular heterogeneity, with 87.5% (28/32) classified as Adler grade 2-3, correlating histopathologically with vascularized stromal septa.</p><p><strong>Conclusion: </strong>The VHF ultrasound demonstrates characteristic diagnostic features of ENH, including its anatomical predilection, the involved skin layers, heterogeneous internal echogenicity, and distinctive blood flow patterns. These features provide critical indicators for differential diagnosis, establishing VHF ultrasound as a pivotal imaging modality to enhance diagnostic precision and optimize clinical decision-making in dermatologic oncology.</p>","PeriodicalId":14131,"journal":{"name":"International Journal of General Medicine","volume":"18 ","pages":"5127-5135"},"PeriodicalIF":2.0000,"publicationDate":"2025-09-04","publicationTypes":"Journal Article","fieldsOfStudy":null,"isOpenAccess":false,"openAccessPdf":"https://www.ncbi.nlm.nih.gov/pmc/articles/PMC12416390/pdf/","citationCount":"0","resultStr":"{\"title\":\"Very-High-Frequency Ultrasonographic Profiling Characteristics of Nodular Hidradenoma: A Retrospective Analysis.\",\"authors\":\"Bin Dong, Hongsheng Xia, Ying Liu, Su Wang, Zhubiao Ye\",\"doi\":\"10.2147/IJGM.S534241\",\"DOIUrl\":null,\"url\":null,\"abstract\":\"<p><strong>Background: </strong>Nodular hidradenoma (NH) is a rare benign adnexal tumor originating from sweat glands, often misdiagnosed due to nonspecific clinical manifestations. Ultrasonography (US) plays a critical role in the diagnosis of skin tumors, yet systematic descriptions of its sonographic features remain limited.</p><p><strong>Objective: </strong>This study aims to investigate the very-high-frequency (VHF) characteristics of eccrine nodular hidradenoma (ENH) and establish key imaging criteria to differentiate it from other cutaneous/subcutaneous lesions.</p><p><strong>Methods: </strong>A retrospective analysis was conducted on 32 histopathologically confirmed ENH cases between November 2018 and December 2024. The VHF ultrasound evaluated ENH location, size, shape, margin, boundary, echogenicity, calcification, blood supply, and so on.</p><p><strong>Results: </strong>The VHF features of ENH showed that the maximum diameter of the lesions was about 12.42 ± 7.66 mm. Most lesions revealed predominant craniofacial/limb involvement (62.5%) and almost all lesions (96.9%) demonstrated transdermal extension into subcutaneous tissue. Lesion morphology varied from geometric regularity (87.5%) to irregular lobulation (12.5%), reflecting ENH's structural diversity. Echogenicity patterns were classified as: homogeneous solid hypoechoic architecture (6.2%, 2/32), heterogeneous solid-dominant hypoechogenicity (40.6%, 13/32), mixed echogenicity with solid-cystic components (31.3%, 10/32, solid:cystic ≈1:1), mixed cystic-dominant echogenicity (21.9%, 7/32). Notably, the ultrasound features of inner septa, \\\"snow falling\\\" or \\\"fluid-fluid level\\\" were observed in some lesions. Additionally, 9.4% (3/32) showed intralesional calcifications and all lesions exhibited posterior acoustic enhancement. Doppler analysis highlighted vascular heterogeneity, with 87.5% (28/32) classified as Adler grade 2-3, correlating histopathologically with vascularized stromal septa.</p><p><strong>Conclusion: </strong>The VHF ultrasound demonstrates characteristic diagnostic features of ENH, including its anatomical predilection, the involved skin layers, heterogeneous internal echogenicity, and distinctive blood flow patterns. These features provide critical indicators for differential diagnosis, establishing VHF ultrasound as a pivotal imaging modality to enhance diagnostic precision and optimize clinical decision-making in dermatologic oncology.</p>\",\"PeriodicalId\":14131,\"journal\":{\"name\":\"International Journal of General Medicine\",\"volume\":\"18 \",\"pages\":\"5127-5135\"},\"PeriodicalIF\":2.0000,\"publicationDate\":\"2025-09-04\",\"publicationTypes\":\"Journal Article\",\"fieldsOfStudy\":null,\"isOpenAccess\":false,\"openAccessPdf\":\"https://www.ncbi.nlm.nih.gov/pmc/articles/PMC12416390/pdf/\",\"citationCount\":\"0\",\"resultStr\":null,\"platform\":\"Semanticscholar\",\"paperid\":null,\"PeriodicalName\":\"International Journal of General Medicine\",\"FirstCategoryId\":\"3\",\"ListUrlMain\":\"https://doi.org/10.2147/IJGM.S534241\",\"RegionNum\":4,\"RegionCategory\":\"医学\",\"ArticlePicture\":[],\"TitleCN\":null,\"AbstractTextCN\":null,\"PMCID\":null,\"EPubDate\":\"2025/1/1 0:00:00\",\"PubModel\":\"eCollection\",\"JCR\":\"Q2\",\"JCRName\":\"MEDICINE, GENERAL & INTERNAL\",\"Score\":null,\"Total\":0}","platform":"Semanticscholar","paperid":null,"PeriodicalName":"International Journal of General Medicine","FirstCategoryId":"3","ListUrlMain":"https://doi.org/10.2147/IJGM.S534241","RegionNum":4,"RegionCategory":"医学","ArticlePicture":[],"TitleCN":null,"AbstractTextCN":null,"PMCID":null,"EPubDate":"2025/1/1 0:00:00","PubModel":"eCollection","JCR":"Q2","JCRName":"MEDICINE, GENERAL & INTERNAL","Score":null,"Total":0}
引用次数: 0

摘要

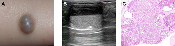
背景:结节性汗腺瘤(NH)是一种罕见的良性附件肿瘤,起源于汗腺,常因临床表现不明确而被误诊。超声检查(US)在皮肤肿瘤的诊断中起着至关重要的作用,但其超声特征的系统描述仍然有限。目的:探讨内分泌结节性hidradenoma (ENH)的甚高频(VHF)特征,建立与其他皮肤/皮下病变鉴别的关键影像学标准。方法:回顾性分析2018年11月至2024年12月32例经组织病理学证实的ENH病例。VHF超声评价ENH的位置、大小、形状、边缘、边界、回声性、钙化、血供等。结果:ENH的VHF特征显示病灶最大直径约为12.42±7.66 mm。大多数病变表现为主要累及颅面/肢体(62.5%),几乎所有病变(96.9%)表现为经皮延伸至皮下组织。病灶形态从几何规则型(87.5%)到不规则分叶型(12.5%)不等,反映了ENH结构的多样性。回声型分为均匀性实性低回声型(6.2%,2/32)、非均匀性实性优势低回声型(40.6%,13/32)、混合实性囊性回声型(31.3%,10/32,实性:囊性≈1:1)、混合囊性优势回声型(21.9%,7/32)。值得注意的是,超声表现为内间隔、“雪落”或“液-液面”。此外,9.4%(3/32)的病变表现为病灶内钙化,所有病变均表现为后路声增强。多普勒分析强调血管异质性,87.5%(28/32)的患者被分类为Adler 2-3级,在组织病理学上与血管化的间质间隔相关。结论:VHF超声表现出ENH的特征性诊断特征,包括解剖偏向性、累及的皮肤层数、内部回声不均匀性和血流特征。这些特征为鉴别诊断提供了关键指标,使甚高频超声成为提高皮肤肿瘤学诊断精度和优化临床决策的关键成像方式。
本文章由计算机程序翻译,如有差异,请以英文原文为准。

Very-High-Frequency Ultrasonographic Profiling Characteristics of Nodular Hidradenoma: A Retrospective Analysis.

Very-High-Frequency Ultrasonographic Profiling Characteristics of Nodular Hidradenoma: A Retrospective Analysis.

Very-High-Frequency Ultrasonographic Profiling Characteristics of Nodular Hidradenoma: A Retrospective Analysis.

Very-High-Frequency Ultrasonographic Profiling Characteristics of Nodular Hidradenoma: A Retrospective Analysis.

Background: Nodular hidradenoma (NH) is a rare benign adnexal tumor originating from sweat glands, often misdiagnosed due to nonspecific clinical manifestations. Ultrasonography (US) plays a critical role in the diagnosis of skin tumors, yet systematic descriptions of its sonographic features remain limited.

Objective: This study aims to investigate the very-high-frequency (VHF) characteristics of eccrine nodular hidradenoma (ENH) and establish key imaging criteria to differentiate it from other cutaneous/subcutaneous lesions.

Methods: A retrospective analysis was conducted on 32 histopathologically confirmed ENH cases between November 2018 and December 2024. The VHF ultrasound evaluated ENH location, size, shape, margin, boundary, echogenicity, calcification, blood supply, and so on.

Results: The VHF features of ENH showed that the maximum diameter of the lesions was about 12.42 ± 7.66 mm. Most lesions revealed predominant craniofacial/limb involvement (62.5%) and almost all lesions (96.9%) demonstrated transdermal extension into subcutaneous tissue. Lesion morphology varied from geometric regularity (87.5%) to irregular lobulation (12.5%), reflecting ENH's structural diversity. Echogenicity patterns were classified as: homogeneous solid hypoechoic architecture (6.2%, 2/32), heterogeneous solid-dominant hypoechogenicity (40.6%, 13/32), mixed echogenicity with solid-cystic components (31.3%, 10/32, solid:cystic ≈1:1), mixed cystic-dominant echogenicity (21.9%, 7/32). Notably, the ultrasound features of inner septa, "snow falling" or "fluid-fluid level" were observed in some lesions. Additionally, 9.4% (3/32) showed intralesional calcifications and all lesions exhibited posterior acoustic enhancement. Doppler analysis highlighted vascular heterogeneity, with 87.5% (28/32) classified as Adler grade 2-3, correlating histopathologically with vascularized stromal septa.

Conclusion: The VHF ultrasound demonstrates characteristic diagnostic features of ENH, including its anatomical predilection, the involved skin layers, heterogeneous internal echogenicity, and distinctive blood flow patterns. These features provide critical indicators for differential diagnosis, establishing VHF ultrasound as a pivotal imaging modality to enhance diagnostic precision and optimize clinical decision-making in dermatologic oncology.

求助全文
通过发布文献求助,成功后即可免费获取论文全文。 去求助
来源期刊
International Journal of General Medicine
International Journal of General Medicine Medicine-General Medicine
自引率
0.00%
发文量
1113
审稿时长
16 weeks
期刊介绍: The International Journal of General Medicine is an international, peer-reviewed, open access journal that focuses on general and internal medicine, pathogenesis, epidemiology, diagnosis, monitoring and treatment protocols. The journal is characterized by the rapid reporting of reviews, original research and clinical studies across all disease areas. A key focus of the journal is the elucidation of disease processes and management protocols resulting in improved outcomes for the patient. Patient perspectives such as satisfaction, quality of life, health literacy and communication and their role in developing new healthcare programs and optimizing clinical outcomes are major areas of interest for the journal. As of 1st April 2019, the International Journal of General Medicine will no longer consider meta-analyses for publication.
×
引用
GB/T 7714-2015
复制
MLA
复制
APA
复制
导出至
BibTeX EndNote RefMan NoteFirst NoteExpress
×
提示
您的信息不完整,为了账户安全,请先补充。
现在去补充
×
提示
您因"违规操作"
具体请查看互助需知
我知道了
×
提示
确定
请完成安全验证×
copy
已复制链接
快去分享给好友吧!
我知道了
右上角分享
点击右上角分享
0
联系我们:info@booksci.cn Book学术提供免费学术资源搜索服务,方便国内外学者检索中英文文献。致力于提供最便捷和优质的服务体验。 Copyright © 2023 布克学术 All rights reserved.
京ICP备2023020795号-1
ghs 京公网安备 11010802042870号
Book学术文献互助
Book学术文献互助群
群 号:604180095
Book学术官方微信