单钢板与双钢板内固定治疗下颌角骨折:回顾性双中心比较研究。

IF 2.4 2区 医学 Q2 DENTISTRY, ORAL SURGERY & MEDICINE
Andreas Sakkas, Mario Scheurer, Robin Kasper, Marcel Ebeling, Alexander Schramm, Frank Wilde, Bernd Lethaus, Johannes Häfner, Rüdiger Zimmerer, Andreas Naros
{"title":"单钢板与双钢板内固定治疗下颌角骨折:回顾性双中心比较研究。","authors":"Andreas Sakkas, Mario Scheurer, Robin Kasper, Marcel Ebeling, Alexander Schramm, Frank Wilde, Bernd Lethaus, Johannes Häfner, Rüdiger Zimmerer, Andreas Naros","doi":"10.1186/s13005-025-00540-7","DOIUrl":null,"url":null,"abstract":"<p><strong>Background: </strong>The treatment of mandibular angle fractures remains controversial, particularly regarding the method of fixation. The primary aim of this study was to compare surgical outcomes following treatment with 1-plate versus 2-plate fixation across two oral and maxillofacial surgery clinics. The secondary aim was to evaluate associations between patient-, trauma-, and procedure-specific factors with postoperative complications and to identify high-risk patients for secondary osteosynthesis.</p><p><strong>Methods: </strong>In this retrospective two-center cohort study, patients who underwent surgical treatment for mandibular angle fractures via a transoral approach using either 1-plate or 2-plate fixation over a 10-year period were included. Clinic A exclusively performed 1-plate fixation, while clinic B used 2-plate fixation. Demographic, clinical, radiological, and treatment data were analysed. Multivariable analyses were conducted to identify predictors of postoperative complications and secondary osteosynthesis.</p><p><strong>Results: </strong>A total of 253 patients with 264 mandibular angle fractures were included. Violence was the most common mechanism of injury (n = 131; 49.6%). Postoperative complications occurred in 34.6% of the cases at clinic A and 26.8% at clinic B (p < 0.0001). Secondary osteosynthesis was required in 9.4% at clinic A and 7.6% of the cases at clinic B, respectively (p = 0.6547). Multinomial regression analysis identified smoking, diabetes mellitus, patient noncompliance, left-sided mandibular angle fractures, presence of a third molar (M3), partial M3 eruption, vertical depth A of M3 and horizontal impaction class II (Pell and Gregory) as significant predictors of postoperative complications. Logistic regression analysis identified smoking, diabetes mellitus, patient noncompliance, left mandibular angle fractures, mandibular angle und body fractures and presence of third molars as significant predictors of secondary osteosynthesis. As patient age there is an increased tendency for wound infection and plate/screw loosening (p = 0.06). A longer interval between trauma and surgery was associated with a higher risk of postoperative occlusal disturbances (p = 0.06). Patients with a longer duration of postoperative IMF were significantly associated with a higher rate of wound infection and secondary osteosynthesis (p < 0.05).</p><p><strong>Conclusions: </strong>Both 1-plate and 2-plate fixation techniques demonstrated acceptable outcomes. Single-plate fixation offers sufficient stability for most mandibular angle fractures with fewer complications, supporting its use in uncomplicated cases. Double-plate fixation may be reserved for complex cases. Higher complication rates were associated with patient-related and anatomical risk factors. Individualized treatment and further prospective studies are needed to refine surgical strategies.</p>","PeriodicalId":12994,"journal":{"name":"Head & Face Medicine","volume":"21 1","pages":"62"},"PeriodicalIF":2.4000,"publicationDate":"2025-09-09","publicationTypes":"Journal Article","fieldsOfStudy":null,"isOpenAccess":false,"openAccessPdf":"https://www.ncbi.nlm.nih.gov/pmc/articles/PMC12418610/pdf/","citationCount":"0","resultStr":"{\"title\":\"One-plate versus two-plate fixation in the treatment of mandibular angle fractures: a retrospective two-centre comparative study.\",\"authors\":\"Andreas Sakkas, Mario Scheurer, Robin Kasper, Marcel Ebeling, Alexander Schramm, Frank Wilde, Bernd Lethaus, Johannes Häfner, Rüdiger Zimmerer, Andreas Naros\",\"doi\":\"10.1186/s13005-025-00540-7\",\"DOIUrl\":null,\"url\":null,\"abstract\":\"<p><strong>Background: </strong>The treatment of mandibular angle fractures remains controversial, particularly regarding the method of fixation. The primary aim of this study was to compare surgical outcomes following treatment with 1-plate versus 2-plate fixation across two oral and maxillofacial surgery clinics. The secondary aim was to evaluate associations between patient-, trauma-, and procedure-specific factors with postoperative complications and to identify high-risk patients for secondary osteosynthesis.</p><p><strong>Methods: </strong>In this retrospective two-center cohort study, patients who underwent surgical treatment for mandibular angle fractures via a transoral approach using either 1-plate or 2-plate fixation over a 10-year period were included. Clinic A exclusively performed 1-plate fixation, while clinic B used 2-plate fixation. Demographic, clinical, radiological, and treatment data were analysed. Multivariable analyses were conducted to identify predictors of postoperative complications and secondary osteosynthesis.</p><p><strong>Results: </strong>A total of 253 patients with 264 mandibular angle fractures were included. Violence was the most common mechanism of injury (n = 131; 49.6%). Postoperative complications occurred in 34.6% of the cases at clinic A and 26.8% at clinic B (p < 0.0001). Secondary osteosynthesis was required in 9.4% at clinic A and 7.6% of the cases at clinic B, respectively (p = 0.6547). Multinomial regression analysis identified smoking, diabetes mellitus, patient noncompliance, left-sided mandibular angle fractures, presence of a third molar (M3), partial M3 eruption, vertical depth A of M3 and horizontal impaction class II (Pell and Gregory) as significant predictors of postoperative complications. Logistic regression analysis identified smoking, diabetes mellitus, patient noncompliance, left mandibular angle fractures, mandibular angle und body fractures and presence of third molars as significant predictors of secondary osteosynthesis. As patient age there is an increased tendency for wound infection and plate/screw loosening (p = 0.06). A longer interval between trauma and surgery was associated with a higher risk of postoperative occlusal disturbances (p = 0.06). Patients with a longer duration of postoperative IMF were significantly associated with a higher rate of wound infection and secondary osteosynthesis (p < 0.05).</p><p><strong>Conclusions: </strong>Both 1-plate and 2-plate fixation techniques demonstrated acceptable outcomes. Single-plate fixation offers sufficient stability for most mandibular angle fractures with fewer complications, supporting its use in uncomplicated cases. Double-plate fixation may be reserved for complex cases. Higher complication rates were associated with patient-related and anatomical risk factors. Individualized treatment and further prospective studies are needed to refine surgical strategies.</p>\",\"PeriodicalId\":12994,\"journal\":{\"name\":\"Head & Face Medicine\",\"volume\":\"21 1\",\"pages\":\"62\"},\"PeriodicalIF\":2.4000,\"publicationDate\":\"2025-09-09\",\"publicationTypes\":\"Journal Article\",\"fieldsOfStudy\":null,\"isOpenAccess\":false,\"openAccessPdf\":\"https://www.ncbi.nlm.nih.gov/pmc/articles/PMC12418610/pdf/\",\"citationCount\":\"0\",\"resultStr\":null,\"platform\":\"Semanticscholar\",\"paperid\":null,\"PeriodicalName\":\"Head & Face Medicine\",\"FirstCategoryId\":\"3\",\"ListUrlMain\":\"https://doi.org/10.1186/s13005-025-00540-7\",\"RegionNum\":2,\"RegionCategory\":\"医学\",\"ArticlePicture\":[],\"TitleCN\":null,\"AbstractTextCN\":null,\"PMCID\":null,\"EPubDate\":\"\",\"PubModel\":\"\",\"JCR\":\"Q2\",\"JCRName\":\"DENTISTRY, ORAL SURGERY & MEDICINE\",\"Score\":null,\"Total\":0}","platform":"Semanticscholar","paperid":null,"PeriodicalName":"Head & Face Medicine","FirstCategoryId":"3","ListUrlMain":"https://doi.org/10.1186/s13005-025-00540-7","RegionNum":2,"RegionCategory":"医学","ArticlePicture":[],"TitleCN":null,"AbstractTextCN":null,"PMCID":null,"EPubDate":"","PubModel":"","JCR":"Q2","JCRName":"DENTISTRY, ORAL SURGERY & MEDICINE","Score":null,"Total":0}
引用次数: 0

摘要

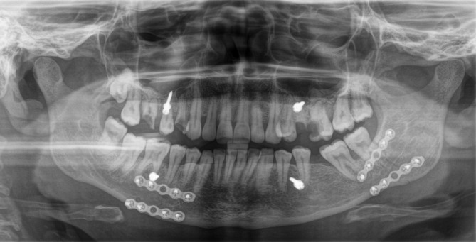
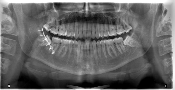
背景:下颌角骨折的治疗仍然存在争议,特别是关于固定方法。本研究的主要目的是比较两家口腔颌面外科诊所采用1钢板与2钢板固定治疗后的手术效果。次要目的是评估患者、创伤和手术特异性因素与术后并发症之间的关系,并确定继发性骨融合术的高危患者。方法:在这项回顾性双中心队列研究中,纳入了10年内经口入路采用1钢板或2钢板固定手术治疗下颌角骨折的患者。A诊所采用单钢板固定,B诊所采用双钢板固定。分析了人口统计学、临床、放射学和治疗数据。进行多变量分析以确定术后并发症和继发性骨植入的预测因素。结果:共纳入253例下颌角骨折264例。暴力是最常见的伤害机制(n = 131; 49.6%)。临床A和临床B的术后并发症发生率分别为34.6%和26.8% (p)。结论:1-钢板和2-钢板固定技术均表现出可接受的结果。单钢板固定为大多数下颌角骨折提供了足够的稳定性,并发症较少,支持在无并发症的病例中使用。双钢板固定可用于复杂病例。较高的并发症发生率与患者相关和解剖危险因素有关。需要个体化治疗和进一步的前瞻性研究来完善手术策略。
本文章由计算机程序翻译,如有差异,请以英文原文为准。

One-plate versus two-plate fixation in the treatment of mandibular angle fractures: a retrospective two-centre comparative study.

One-plate versus two-plate fixation in the treatment of mandibular angle fractures: a retrospective two-centre comparative study.

One-plate versus two-plate fixation in the treatment of mandibular angle fractures: a retrospective two-centre comparative study.

One-plate versus two-plate fixation in the treatment of mandibular angle fractures: a retrospective two-centre comparative study.

Background: The treatment of mandibular angle fractures remains controversial, particularly regarding the method of fixation. The primary aim of this study was to compare surgical outcomes following treatment with 1-plate versus 2-plate fixation across two oral and maxillofacial surgery clinics. The secondary aim was to evaluate associations between patient-, trauma-, and procedure-specific factors with postoperative complications and to identify high-risk patients for secondary osteosynthesis.

Methods: In this retrospective two-center cohort study, patients who underwent surgical treatment for mandibular angle fractures via a transoral approach using either 1-plate or 2-plate fixation over a 10-year period were included. Clinic A exclusively performed 1-plate fixation, while clinic B used 2-plate fixation. Demographic, clinical, radiological, and treatment data were analysed. Multivariable analyses were conducted to identify predictors of postoperative complications and secondary osteosynthesis.

Results: A total of 253 patients with 264 mandibular angle fractures were included. Violence was the most common mechanism of injury (n = 131; 49.6%). Postoperative complications occurred in 34.6% of the cases at clinic A and 26.8% at clinic B (p < 0.0001). Secondary osteosynthesis was required in 9.4% at clinic A and 7.6% of the cases at clinic B, respectively (p = 0.6547). Multinomial regression analysis identified smoking, diabetes mellitus, patient noncompliance, left-sided mandibular angle fractures, presence of a third molar (M3), partial M3 eruption, vertical depth A of M3 and horizontal impaction class II (Pell and Gregory) as significant predictors of postoperative complications. Logistic regression analysis identified smoking, diabetes mellitus, patient noncompliance, left mandibular angle fractures, mandibular angle und body fractures and presence of third molars as significant predictors of secondary osteosynthesis. As patient age there is an increased tendency for wound infection and plate/screw loosening (p = 0.06). A longer interval between trauma and surgery was associated with a higher risk of postoperative occlusal disturbances (p = 0.06). Patients with a longer duration of postoperative IMF were significantly associated with a higher rate of wound infection and secondary osteosynthesis (p < 0.05).

Conclusions: Both 1-plate and 2-plate fixation techniques demonstrated acceptable outcomes. Single-plate fixation offers sufficient stability for most mandibular angle fractures with fewer complications, supporting its use in uncomplicated cases. Double-plate fixation may be reserved for complex cases. Higher complication rates were associated with patient-related and anatomical risk factors. Individualized treatment and further prospective studies are needed to refine surgical strategies.

求助全文
通过发布文献求助,成功后即可免费获取论文全文。 去求助
来源期刊
Head & Face Medicine
Head & Face Medicine DENTISTRY, ORAL SURGERY & MEDICINE-
CiteScore
4.70
自引率
3.30%
发文量
32
审稿时长
>12 weeks
期刊介绍: Head & Face Medicine is a multidisciplinary open access journal that publishes basic and clinical research concerning all aspects of cranial, facial and oral conditions. The journal covers all aspects of cranial, facial and oral diseases and their management. It has been designed as a multidisciplinary journal for clinicians and researchers involved in the diagnostic and therapeutic aspects of diseases which affect the human head and face. The journal is wide-ranging, covering the development, aetiology, epidemiology and therapy of head and face diseases to the basic science that underlies these diseases. Management of head and face diseases includes all aspects of surgical and non-surgical treatments including psychopharmacological therapies.
×
引用
GB/T 7714-2015
复制
MLA
复制
APA
复制
导出至
BibTeX EndNote RefMan NoteFirst NoteExpress
×
提示
您的信息不完整,为了账户安全,请先补充。
现在去补充
×
提示
您因"违规操作"
具体请查看互助需知
我知道了
×
提示
确定
请完成安全验证×
copy
已复制链接
快去分享给好友吧!
我知道了
右上角分享
点击右上角分享
0
联系我们:info@booksci.cn Book学术提供免费学术资源搜索服务,方便国内外学者检索中英文文献。致力于提供最便捷和优质的服务体验。 Copyright © 2023 布克学术 All rights reserved.
京ICP备2023020795号-1
ghs 京公网安备 11010802042870号
Book学术文献互助
Book学术文献互助群
群 号:604180095
Book学术官方微信