羟氯喹对神经节细胞复合体的影响。

IF 1.7 4区 医学 Q3 OPHTHALMOLOGY
Prativa Acharya, Pragati Gautam Adhikari, Ranju Kharel Sitaula, Madhu Thapa
{"title":"羟氯喹对神经节细胞复合体的影响。","authors":"Prativa Acharya, Pragati Gautam Adhikari, Ranju Kharel Sitaula, Madhu Thapa","doi":"10.1186/s12886-025-04247-w","DOIUrl":null,"url":null,"abstract":"<p><strong>Background: </strong>To evaluate the ganglion cell complex thickness in patients taking oral hydroxychloroquine.</p><p><strong>Methods: </strong>In this hospital-based, cross-sectional, non-interventional, comparative study, 87 eyes of 87 patients taking hydroxychloroquine were recruited. All the patients underwent complete ophthalmological evaluation along with dilated fundus examination. Patients were divided into two groups based on the duration of hydroxychloroquine intake: Group 1 (62 patients having duration of hydroxychloroquine intake < 5 years) and Group 2 (25 patients having duration of hydroxychloroquine intake ≥ 5 years). Age and gender-matched healthy volunteers with normal ocular findings were taken as controls. Average, superior, inferior GCC thickness, focal loss volume, and global loss volume were measured by RTvue XR Avanti SD-OCT.</p><p><strong>Results: </strong>The average, superior, and inferior GCC thicknesses were significantly reduced in both Group 1 (< 5 years) and Group 2 (≥ 5 years) as compared to controls (p < 0.001). In Group 1, mean GCC values were 94.70 ± 6.34 μm (average), 94.43 ± 6.28 μm (superior), and 94.74 ± 6.81 μm (inferior), while the corresponding values in controls were 99.79 ± 4.61 μm, 99.38 ± 4.63 μm, and 99.97 ± 4.61 μm. Likewise, FLV and GLV in Group 1 were 1.76 ± 2.5% and 4.07 ± 3.27%, significantly higher than in controls (0.72 ± 0.45% and 1.39 ± 1.1%, respectively; p = 0.002 for FLV, p = 0.001 for GLV). Similarly, in Group 2, mean GCC thicknesses were 92.70 ± 6.39 μm (average), 92.44 ± 5.92 μm (superior), and 93.32 ± 7.25 μm (inferior), all significantly lower than in controls (p < 0.001). While GLV was significantly elevated in Group 2 (4.46 ± 4.42%; p-0.003), the difference in FLV (1.23 ± 1.12%) was not statistically significant compared to controls (p-0.077).</p><p><strong>Conclusion: </strong>The Ganglion Cell Complex thickness was significantly thinner in patients taking hydroxychloroquine along with elevated Focal Loss Volume % and Global Loss Volume %. However, no statistically significant correlation was observed between GCC thickness and duration of hydroxychloroquine use.</p>","PeriodicalId":9058,"journal":{"name":"BMC Ophthalmology","volume":"25 1","pages":"500"},"PeriodicalIF":1.7000,"publicationDate":"2025-09-09","publicationTypes":"Journal Article","fieldsOfStudy":null,"isOpenAccess":false,"openAccessPdf":"https://www.ncbi.nlm.nih.gov/pmc/articles/PMC12418645/pdf/","citationCount":"0","resultStr":"{\"title\":\"Evaluation of ganglion cell complex in patients taking hydroxychloroquine.\",\"authors\":\"Prativa Acharya, Pragati Gautam Adhikari, Ranju Kharel Sitaula, Madhu Thapa\",\"doi\":\"10.1186/s12886-025-04247-w\",\"DOIUrl\":null,\"url\":null,\"abstract\":\"<p><strong>Background: </strong>To evaluate the ganglion cell complex thickness in patients taking oral hydroxychloroquine.</p><p><strong>Methods: </strong>In this hospital-based, cross-sectional, non-interventional, comparative study, 87 eyes of 87 patients taking hydroxychloroquine were recruited. All the patients underwent complete ophthalmological evaluation along with dilated fundus examination. Patients were divided into two groups based on the duration of hydroxychloroquine intake: Group 1 (62 patients having duration of hydroxychloroquine intake < 5 years) and Group 2 (25 patients having duration of hydroxychloroquine intake ≥ 5 years). Age and gender-matched healthy volunteers with normal ocular findings were taken as controls. Average, superior, inferior GCC thickness, focal loss volume, and global loss volume were measured by RTvue XR Avanti SD-OCT.</p><p><strong>Results: </strong>The average, superior, and inferior GCC thicknesses were significantly reduced in both Group 1 (< 5 years) and Group 2 (≥ 5 years) as compared to controls (p < 0.001). In Group 1, mean GCC values were 94.70 ± 6.34 μm (average), 94.43 ± 6.28 μm (superior), and 94.74 ± 6.81 μm (inferior), while the corresponding values in controls were 99.79 ± 4.61 μm, 99.38 ± 4.63 μm, and 99.97 ± 4.61 μm. Likewise, FLV and GLV in Group 1 were 1.76 ± 2.5% and 4.07 ± 3.27%, significantly higher than in controls (0.72 ± 0.45% and 1.39 ± 1.1%, respectively; p = 0.002 for FLV, p = 0.001 for GLV). Similarly, in Group 2, mean GCC thicknesses were 92.70 ± 6.39 μm (average), 92.44 ± 5.92 μm (superior), and 93.32 ± 7.25 μm (inferior), all significantly lower than in controls (p < 0.001). While GLV was significantly elevated in Group 2 (4.46 ± 4.42%; p-0.003), the difference in FLV (1.23 ± 1.12%) was not statistically significant compared to controls (p-0.077).</p><p><strong>Conclusion: </strong>The Ganglion Cell Complex thickness was significantly thinner in patients taking hydroxychloroquine along with elevated Focal Loss Volume % and Global Loss Volume %. However, no statistically significant correlation was observed between GCC thickness and duration of hydroxychloroquine use.</p>\",\"PeriodicalId\":9058,\"journal\":{\"name\":\"BMC Ophthalmology\",\"volume\":\"25 1\",\"pages\":\"500\"},\"PeriodicalIF\":1.7000,\"publicationDate\":\"2025-09-09\",\"publicationTypes\":\"Journal Article\",\"fieldsOfStudy\":null,\"isOpenAccess\":false,\"openAccessPdf\":\"https://www.ncbi.nlm.nih.gov/pmc/articles/PMC12418645/pdf/\",\"citationCount\":\"0\",\"resultStr\":null,\"platform\":\"Semanticscholar\",\"paperid\":null,\"PeriodicalName\":\"BMC Ophthalmology\",\"FirstCategoryId\":\"3\",\"ListUrlMain\":\"https://doi.org/10.1186/s12886-025-04247-w\",\"RegionNum\":4,\"RegionCategory\":\"医学\",\"ArticlePicture\":[],\"TitleCN\":null,\"AbstractTextCN\":null,\"PMCID\":null,\"EPubDate\":\"\",\"PubModel\":\"\",\"JCR\":\"Q3\",\"JCRName\":\"OPHTHALMOLOGY\",\"Score\":null,\"Total\":0}","platform":"Semanticscholar","paperid":null,"PeriodicalName":"BMC Ophthalmology","FirstCategoryId":"3","ListUrlMain":"https://doi.org/10.1186/s12886-025-04247-w","RegionNum":4,"RegionCategory":"医学","ArticlePicture":[],"TitleCN":null,"AbstractTextCN":null,"PMCID":null,"EPubDate":"","PubModel":"","JCR":"Q3","JCRName":"OPHTHALMOLOGY","Score":null,"Total":0}
引用次数: 0

摘要

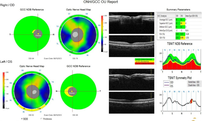
背景:评价口服羟氯喹患者的神经节细胞复合体厚度。方法:采用以医院为基础、横断面、非介入性对照研究,选取87例使用羟氯喹的患者87只眼。所有患者均接受完整的眼科检查及眼底扩张检查。根据患者服用羟氯喹的持续时间将患者分为两组:第一组(62例患者服用羟氯喹的持续时间)结果:第一组患者的平均、上、下GCC厚度均显著降低(结论:服用羟氯喹的患者神经节细胞复合物厚度显著变薄,局灶损失体积%和整体损失体积%均升高。然而,GCC厚度与羟氯喹使用时间之间没有统计学意义的相关性。
本文章由计算机程序翻译,如有差异,请以英文原文为准。

Evaluation of ganglion cell complex in patients taking hydroxychloroquine.

Evaluation of ganglion cell complex in patients taking hydroxychloroquine.

Evaluation of ganglion cell complex in patients taking hydroxychloroquine.

Evaluation of ganglion cell complex in patients taking hydroxychloroquine.

Background: To evaluate the ganglion cell complex thickness in patients taking oral hydroxychloroquine.

Methods: In this hospital-based, cross-sectional, non-interventional, comparative study, 87 eyes of 87 patients taking hydroxychloroquine were recruited. All the patients underwent complete ophthalmological evaluation along with dilated fundus examination. Patients were divided into two groups based on the duration of hydroxychloroquine intake: Group 1 (62 patients having duration of hydroxychloroquine intake < 5 years) and Group 2 (25 patients having duration of hydroxychloroquine intake ≥ 5 years). Age and gender-matched healthy volunteers with normal ocular findings were taken as controls. Average, superior, inferior GCC thickness, focal loss volume, and global loss volume were measured by RTvue XR Avanti SD-OCT.

Results: The average, superior, and inferior GCC thicknesses were significantly reduced in both Group 1 (< 5 years) and Group 2 (≥ 5 years) as compared to controls (p < 0.001). In Group 1, mean GCC values were 94.70 ± 6.34 μm (average), 94.43 ± 6.28 μm (superior), and 94.74 ± 6.81 μm (inferior), while the corresponding values in controls were 99.79 ± 4.61 μm, 99.38 ± 4.63 μm, and 99.97 ± 4.61 μm. Likewise, FLV and GLV in Group 1 were 1.76 ± 2.5% and 4.07 ± 3.27%, significantly higher than in controls (0.72 ± 0.45% and 1.39 ± 1.1%, respectively; p = 0.002 for FLV, p = 0.001 for GLV). Similarly, in Group 2, mean GCC thicknesses were 92.70 ± 6.39 μm (average), 92.44 ± 5.92 μm (superior), and 93.32 ± 7.25 μm (inferior), all significantly lower than in controls (p < 0.001). While GLV was significantly elevated in Group 2 (4.46 ± 4.42%; p-0.003), the difference in FLV (1.23 ± 1.12%) was not statistically significant compared to controls (p-0.077).

Conclusion: The Ganglion Cell Complex thickness was significantly thinner in patients taking hydroxychloroquine along with elevated Focal Loss Volume % and Global Loss Volume %. However, no statistically significant correlation was observed between GCC thickness and duration of hydroxychloroquine use.

求助全文
通过发布文献求助,成功后即可免费获取论文全文。 去求助
来源期刊
BMC Ophthalmology
BMC Ophthalmology OPHTHALMOLOGY-
CiteScore
3.40
自引率
5.00%
发文量
441
审稿时长
6-12 weeks
期刊介绍: BMC Ophthalmology is an open access, peer-reviewed journal that considers articles on all aspects of the prevention, diagnosis and management of eye disorders, as well as related molecular genetics, pathophysiology, and epidemiology.
×
引用
GB/T 7714-2015
复制
MLA
复制
APA
复制
导出至
BibTeX EndNote RefMan NoteFirst NoteExpress
×
提示
您的信息不完整,为了账户安全,请先补充。
现在去补充
×
提示
您因"违规操作"
具体请查看互助需知
我知道了
×
提示
确定
请完成安全验证×
copy
已复制链接
快去分享给好友吧!
我知道了
右上角分享
点击右上角分享
0
联系我们:info@booksci.cn Book学术提供免费学术资源搜索服务,方便国内外学者检索中英文文献。致力于提供最便捷和优质的服务体验。 Copyright © 2023 布克学术 All rights reserved.
京ICP备2023020795号-1
ghs 京公网安备 11010802042870号
Book学术文献互助
Book学术文献互助群
群 号:604180095
Book学术官方微信