空腹高脂血症驴群脂肪厚度和肝脏回声特性的超声测量作为脂肪动员指标。

IF 2.6 2区 农林科学 Q1 VETERINARY SCIENCES
Abeer Abd El-Wares Mahmoud, Hanan Kamal Elsayed, Hussein Awad Hussein
{"title":"空腹高脂血症驴群脂肪厚度和肝脏回声特性的超声测量作为脂肪动员指标。","authors":"Abeer Abd El-Wares Mahmoud, Hanan Kamal Elsayed, Hussein Awad Hussein","doi":"10.1186/s12917-025-04999-z","DOIUrl":null,"url":null,"abstract":"<p><strong>Background: </strong>Disturbances in lipid metabolism are usually associated with hyperlipidemia, which is commonly observed in donkeys with inappetence or anorexia. The diagnostic utility of ultrasound measurements of croup fat thickness (CFT) and relative liver echogenicity for lipomobilization in donkeys with fasting-induced hyperlipidemia was investigated. A prospective observational control study involving 25 donkeys was conducted, and the animals were randomly assigned to a fasting group (FG, n = 20) and a control group (CG, n = 5). In the FG, the experiment period (10 days) consisted of two stages, the fasting stage (4 days) and the post-fasting stage (6 days).</p><p><strong>Results: </strong>On six occasions, the following were evaluated: body weight (BW), body condition score (BCS), ultrasound subcutaneous CFT, ultrasound gluteal muscle thickness, liver ultrasonography, and blood metabolites. The ultrasound CFT was significantly reduced at 4 days of fasting (P < 0.05). Donkeys with ≥ 7 mm of CFT before fasting were 6 times more likely to develop hyperlipidemia post-fasting (P < 0.01). Hepatic ultrasonography showed no hepatomegaly. Decrements of the portal vein (PV) diameter were noticed during fasting. The hepatic relative echogenicity (RE) significantly increased after 4 days of fasting, and then decreased after fasting (P < 0.05). The RE of ≥ 78 is a critical threshold for diagnosing hyperlipidemia (P < 0.001). The serum concentrations of triglycerides, total cholesterol, very low-density lipoproteins, high-density lipoproteins, and low-density lipoproteins peaked at 4 days of fasting (P < 0.05). The serum concentrations of FFA increased during fasting (P < 0.05) and then dropped after fasting.</p><p><strong>Conclusion: </strong>Fasting-induced hyperlipidemia is associated with reductions in CFT with concurrent increased RE, suggesting lipomobilization. CFT and RE could be used as diagnostic tools for hyperlipidemia. Reversible variations in serum metabolites could be noticed in donkeys as complications of fasting-induced hyperlipidemia; therefore, therapy may be unnecessary especially in less severe cases.</p>","PeriodicalId":9041,"journal":{"name":"BMC Veterinary Research","volume":"21 1","pages":"534"},"PeriodicalIF":2.6000,"publicationDate":"2025-09-09","publicationTypes":"Journal Article","fieldsOfStudy":null,"isOpenAccess":false,"openAccessPdf":"https://www.ncbi.nlm.nih.gov/pmc/articles/PMC12418618/pdf/","citationCount":"0","resultStr":"{\"title\":\"Ultrasound measurements of croup fat thickness and liver echogenicity as indicators for lipomobilization in donkeys (Equus Africanus asinus) with fasting-induced hyperlipidemia.\",\"authors\":\"Abeer Abd El-Wares Mahmoud, Hanan Kamal Elsayed, Hussein Awad Hussein\",\"doi\":\"10.1186/s12917-025-04999-z\",\"DOIUrl\":null,\"url\":null,\"abstract\":\"<p><strong>Background: </strong>Disturbances in lipid metabolism are usually associated with hyperlipidemia, which is commonly observed in donkeys with inappetence or anorexia. The diagnostic utility of ultrasound measurements of croup fat thickness (CFT) and relative liver echogenicity for lipomobilization in donkeys with fasting-induced hyperlipidemia was investigated. A prospective observational control study involving 25 donkeys was conducted, and the animals were randomly assigned to a fasting group (FG, n = 20) and a control group (CG, n = 5). In the FG, the experiment period (10 days) consisted of two stages, the fasting stage (4 days) and the post-fasting stage (6 days).</p><p><strong>Results: </strong>On six occasions, the following were evaluated: body weight (BW), body condition score (BCS), ultrasound subcutaneous CFT, ultrasound gluteal muscle thickness, liver ultrasonography, and blood metabolites. The ultrasound CFT was significantly reduced at 4 days of fasting (P < 0.05). Donkeys with ≥ 7 mm of CFT before fasting were 6 times more likely to develop hyperlipidemia post-fasting (P < 0.01). Hepatic ultrasonography showed no hepatomegaly. Decrements of the portal vein (PV) diameter were noticed during fasting. The hepatic relative echogenicity (RE) significantly increased after 4 days of fasting, and then decreased after fasting (P < 0.05). The RE of ≥ 78 is a critical threshold for diagnosing hyperlipidemia (P < 0.001). The serum concentrations of triglycerides, total cholesterol, very low-density lipoproteins, high-density lipoproteins, and low-density lipoproteins peaked at 4 days of fasting (P < 0.05). The serum concentrations of FFA increased during fasting (P < 0.05) and then dropped after fasting.</p><p><strong>Conclusion: </strong>Fasting-induced hyperlipidemia is associated with reductions in CFT with concurrent increased RE, suggesting lipomobilization. CFT and RE could be used as diagnostic tools for hyperlipidemia. Reversible variations in serum metabolites could be noticed in donkeys as complications of fasting-induced hyperlipidemia; therefore, therapy may be unnecessary especially in less severe cases.</p>\",\"PeriodicalId\":9041,\"journal\":{\"name\":\"BMC Veterinary Research\",\"volume\":\"21 1\",\"pages\":\"534\"},\"PeriodicalIF\":2.6000,\"publicationDate\":\"2025-09-09\",\"publicationTypes\":\"Journal Article\",\"fieldsOfStudy\":null,\"isOpenAccess\":false,\"openAccessPdf\":\"https://www.ncbi.nlm.nih.gov/pmc/articles/PMC12418618/pdf/\",\"citationCount\":\"0\",\"resultStr\":null,\"platform\":\"Semanticscholar\",\"paperid\":null,\"PeriodicalName\":\"BMC Veterinary Research\",\"FirstCategoryId\":\"97\",\"ListUrlMain\":\"https://doi.org/10.1186/s12917-025-04999-z\",\"RegionNum\":2,\"RegionCategory\":\"农林科学\",\"ArticlePicture\":[],\"TitleCN\":null,\"AbstractTextCN\":null,\"PMCID\":null,\"EPubDate\":\"\",\"PubModel\":\"\",\"JCR\":\"Q1\",\"JCRName\":\"VETERINARY SCIENCES\",\"Score\":null,\"Total\":0}","platform":"Semanticscholar","paperid":null,"PeriodicalName":"BMC Veterinary Research","FirstCategoryId":"97","ListUrlMain":"https://doi.org/10.1186/s12917-025-04999-z","RegionNum":2,"RegionCategory":"农林科学","ArticlePicture":[],"TitleCN":null,"AbstractTextCN":null,"PMCID":null,"EPubDate":"","PubModel":"","JCR":"Q1","JCRName":"VETERINARY SCIENCES","Score":null,"Total":0}
引用次数: 0

摘要

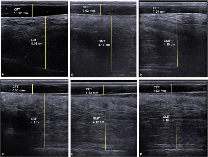
背景:脂质代谢紊乱通常与高脂血症有关,高脂血症常见于食欲不振或厌食症的驴。研究了超声测量群脂肪厚度(CFT)和肝脏相对回声对空腹高脂血症驴脂肪动员的诊断价值。采用前瞻性观察性对照研究,选取25头驴,随机分为禁食组(FG, n = 20)和对照组(CG, n = 5)。试验期(10 d)分为禁食期(4 d)和禁食后期(6 d)两个阶段。结果:6次评估:体重(BW)、身体状况评分(BCS)、超声皮下CFT、超声臀肌厚度、肝脏超声和血液代谢物。结论:空腹引起的高脂血症与CFT降低同时伴有RE升高有关,提示脂质动员。CFT和RE可作为高脂血症的诊断工具。驴血清代谢物的可逆性变化可被视为空腹高脂血症的并发症;因此,治疗可能是不必要的,特别是在不太严重的情况下。
本文章由计算机程序翻译,如有差异,请以英文原文为准。

Ultrasound measurements of croup fat thickness and liver echogenicity as indicators for lipomobilization in donkeys (Equus Africanus asinus) with fasting-induced hyperlipidemia.

Ultrasound measurements of croup fat thickness and liver echogenicity as indicators for lipomobilization in donkeys (Equus Africanus asinus) with fasting-induced hyperlipidemia.

Ultrasound measurements of croup fat thickness and liver echogenicity as indicators for lipomobilization in donkeys (Equus Africanus asinus) with fasting-induced hyperlipidemia.

Ultrasound measurements of croup fat thickness and liver echogenicity as indicators for lipomobilization in donkeys (Equus Africanus asinus) with fasting-induced hyperlipidemia.

Background: Disturbances in lipid metabolism are usually associated with hyperlipidemia, which is commonly observed in donkeys with inappetence or anorexia. The diagnostic utility of ultrasound measurements of croup fat thickness (CFT) and relative liver echogenicity for lipomobilization in donkeys with fasting-induced hyperlipidemia was investigated. A prospective observational control study involving 25 donkeys was conducted, and the animals were randomly assigned to a fasting group (FG, n = 20) and a control group (CG, n = 5). In the FG, the experiment period (10 days) consisted of two stages, the fasting stage (4 days) and the post-fasting stage (6 days).

Results: On six occasions, the following were evaluated: body weight (BW), body condition score (BCS), ultrasound subcutaneous CFT, ultrasound gluteal muscle thickness, liver ultrasonography, and blood metabolites. The ultrasound CFT was significantly reduced at 4 days of fasting (P < 0.05). Donkeys with ≥ 7 mm of CFT before fasting were 6 times more likely to develop hyperlipidemia post-fasting (P < 0.01). Hepatic ultrasonography showed no hepatomegaly. Decrements of the portal vein (PV) diameter were noticed during fasting. The hepatic relative echogenicity (RE) significantly increased after 4 days of fasting, and then decreased after fasting (P < 0.05). The RE of ≥ 78 is a critical threshold for diagnosing hyperlipidemia (P < 0.001). The serum concentrations of triglycerides, total cholesterol, very low-density lipoproteins, high-density lipoproteins, and low-density lipoproteins peaked at 4 days of fasting (P < 0.05). The serum concentrations of FFA increased during fasting (P < 0.05) and then dropped after fasting.

Conclusion: Fasting-induced hyperlipidemia is associated with reductions in CFT with concurrent increased RE, suggesting lipomobilization. CFT and RE could be used as diagnostic tools for hyperlipidemia. Reversible variations in serum metabolites could be noticed in donkeys as complications of fasting-induced hyperlipidemia; therefore, therapy may be unnecessary especially in less severe cases.

求助全文
通过发布文献求助,成功后即可免费获取论文全文。 去求助
来源期刊
BMC Veterinary Research
BMC Veterinary Research VETERINARY SCIENCES-
CiteScore
4.80
自引率
3.80%
发文量
420
审稿时长
3-6 weeks
期刊介绍: BMC Veterinary Research is an open access, peer-reviewed journal that considers articles on all aspects of veterinary science and medicine, including the epidemiology, diagnosis, prevention and treatment of medical conditions of domestic, companion, farm and wild animals, as well as the biomedical processes that underlie their health.
×
引用
GB/T 7714-2015
复制
MLA
复制
APA
复制
导出至
BibTeX EndNote RefMan NoteFirst NoteExpress
×
提示
您的信息不完整,为了账户安全,请先补充。
现在去补充
×
提示
您因"违规操作"
具体请查看互助需知
我知道了
×
提示
确定
请完成安全验证×
copy
已复制链接
快去分享给好友吧!
我知道了
右上角分享
点击右上角分享
0
联系我们:info@booksci.cn Book学术提供免费学术资源搜索服务,方便国内外学者检索中英文文献。致力于提供最便捷和优质的服务体验。 Copyright © 2023 布克学术 All rights reserved.
京ICP备2023020795号-1
ghs 京公网安备 11010802042870号
Book学术文献互助
Book学术文献互助群
群 号:604180095
Book学术官方微信