治疗钢丝:用利尚单抗治疗克罗恩病和系统性红斑狼疮

IF 0.5 Q4 GASTROENTEROLOGY & HEPATOLOGY
ACG Case Reports Journal Pub Date : 2025-09-08 eCollection Date: 2025-09-01 DOI:10.14309/crj.0000000000001830
Hamdan AlAwadhi, Muna Almutawa, Sara El Ouali, Zaher Koutoubi, Esat Memisoglu, Ahmad AlDuaij, Rajaie Namas
{"title":"治疗钢丝:用利尚单抗治疗克罗恩病和系统性红斑狼疮","authors":"Hamdan AlAwadhi, Muna Almutawa, Sara El Ouali, Zaher Koutoubi, Esat Memisoglu, Ahmad AlDuaij, Rajaie Namas","doi":"10.14309/crj.0000000000001830","DOIUrl":null,"url":null,"abstract":"<p><p>The coexistence of systemic lupus erythematosus (SLE) and Crohn disease (CD) is rare and presents significant diagnostic and therapeutic challenges due to overlapping clinical, radiologic, and histologic features. We present a 24-year-old woman with SLE, chronic immune thrombocytopenic purpura, and newly diagnosed CD treated with risankizumab, an interleukin-23 inhibitor approved for CD. She achieved complete clinical and radiologic remission of CD without SLE flares over 12 months. To the best of our knowledge, this represents the first documented case of risankizumab successfully used in a patient with SLE and CD. Further research is needed to assess the long-term safety and wider applicability of interleukin-23 inhibitors for this underserved patient population.</p>","PeriodicalId":7394,"journal":{"name":"ACG Case Reports Journal","volume":"12 9","pages":"e01830"},"PeriodicalIF":0.5000,"publicationDate":"2025-09-08","publicationTypes":"Journal Article","fieldsOfStudy":null,"isOpenAccess":false,"openAccessPdf":"https://www.ncbi.nlm.nih.gov/pmc/articles/PMC12417001/pdf/","citationCount":"0","resultStr":"{\"title\":\"A Therapeutic Tightrope: Managing Coexisting Crohn Disease and Systemic Lupus Erythematosus With Risankizumab.\",\"authors\":\"Hamdan AlAwadhi, Muna Almutawa, Sara El Ouali, Zaher Koutoubi, Esat Memisoglu, Ahmad AlDuaij, Rajaie Namas\",\"doi\":\"10.14309/crj.0000000000001830\",\"DOIUrl\":null,\"url\":null,\"abstract\":\"<p><p>The coexistence of systemic lupus erythematosus (SLE) and Crohn disease (CD) is rare and presents significant diagnostic and therapeutic challenges due to overlapping clinical, radiologic, and histologic features. We present a 24-year-old woman with SLE, chronic immune thrombocytopenic purpura, and newly diagnosed CD treated with risankizumab, an interleukin-23 inhibitor approved for CD. She achieved complete clinical and radiologic remission of CD without SLE flares over 12 months. To the best of our knowledge, this represents the first documented case of risankizumab successfully used in a patient with SLE and CD. Further research is needed to assess the long-term safety and wider applicability of interleukin-23 inhibitors for this underserved patient population.</p>\",\"PeriodicalId\":7394,\"journal\":{\"name\":\"ACG Case Reports Journal\",\"volume\":\"12 9\",\"pages\":\"e01830\"},\"PeriodicalIF\":0.5000,\"publicationDate\":\"2025-09-08\",\"publicationTypes\":\"Journal Article\",\"fieldsOfStudy\":null,\"isOpenAccess\":false,\"openAccessPdf\":\"https://www.ncbi.nlm.nih.gov/pmc/articles/PMC12417001/pdf/\",\"citationCount\":\"0\",\"resultStr\":null,\"platform\":\"Semanticscholar\",\"paperid\":null,\"PeriodicalName\":\"ACG Case Reports Journal\",\"FirstCategoryId\":\"1085\",\"ListUrlMain\":\"https://doi.org/10.14309/crj.0000000000001830\",\"RegionNum\":0,\"RegionCategory\":null,\"ArticlePicture\":[],\"TitleCN\":null,\"AbstractTextCN\":null,\"PMCID\":null,\"EPubDate\":\"2025/9/1 0:00:00\",\"PubModel\":\"eCollection\",\"JCR\":\"Q4\",\"JCRName\":\"GASTROENTEROLOGY & HEPATOLOGY\",\"Score\":null,\"Total\":0}","platform":"Semanticscholar","paperid":null,"PeriodicalName":"ACG Case Reports Journal","FirstCategoryId":"1085","ListUrlMain":"https://doi.org/10.14309/crj.0000000000001830","RegionNum":0,"RegionCategory":null,"ArticlePicture":[],"TitleCN":null,"AbstractTextCN":null,"PMCID":null,"EPubDate":"2025/9/1 0:00:00","PubModel":"eCollection","JCR":"Q4","JCRName":"GASTROENTEROLOGY & HEPATOLOGY","Score":null,"Total":0}
引用次数: 0

摘要

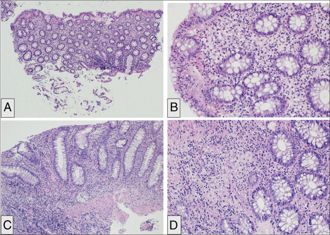
系统性红斑狼疮(SLE)和克罗恩病(CD)共存是罕见的,由于重叠的临床、放射学和组织学特征,给诊断和治疗带来了重大挑战。我们报告了一位24岁的女性,她患有SLE,慢性免疫性血小板减少性紫癜,并新诊断为CD,并接受了批准用于CD的il -23抑制剂risankizumab的治疗。她在12个月内获得了完全的临床和放射学缓解,没有SLE发作。据我们所知,这是首例利桑单抗成功用于SLE和CD患者的病例。需要进一步的研究来评估白介素-23抑制剂对这类治疗不足的患者群体的长期安全性和更广泛的适用性。
本文章由计算机程序翻译,如有差异,请以英文原文为准。

A Therapeutic Tightrope: Managing Coexisting Crohn Disease and Systemic Lupus Erythematosus With Risankizumab.

A Therapeutic Tightrope: Managing Coexisting Crohn Disease and Systemic Lupus Erythematosus With Risankizumab.

A Therapeutic Tightrope: Managing Coexisting Crohn Disease and Systemic Lupus Erythematosus With Risankizumab.

A Therapeutic Tightrope: Managing Coexisting Crohn Disease and Systemic Lupus Erythematosus With Risankizumab.

The coexistence of systemic lupus erythematosus (SLE) and Crohn disease (CD) is rare and presents significant diagnostic and therapeutic challenges due to overlapping clinical, radiologic, and histologic features. We present a 24-year-old woman with SLE, chronic immune thrombocytopenic purpura, and newly diagnosed CD treated with risankizumab, an interleukin-23 inhibitor approved for CD. She achieved complete clinical and radiologic remission of CD without SLE flares over 12 months. To the best of our knowledge, this represents the first documented case of risankizumab successfully used in a patient with SLE and CD. Further research is needed to assess the long-term safety and wider applicability of interleukin-23 inhibitors for this underserved patient population.

求助全文
通过发布文献求助,成功后即可免费获取论文全文。 去求助
来源期刊
ACG Case Reports Journal
ACG Case Reports Journal GASTROENTEROLOGY & HEPATOLOGY-
自引率
14.30%
发文量
170
审稿时长
12 weeks
期刊介绍: ACG Case Reports Journal is a peer-reviewed, open-access publication that provides GI and hepatology fellows, private practice clinicians, and other healthcare providers an opportunity to share interesting case reports with their peers and with leaders in the field. ACG Case Reports Journal publishes case reports, images, videos and letters to the editor in all topics of gastroenterology and hepatology, including: Biliary Colon Endoscopy Esophagus Functional Bowel Disorders Inflammatory Bowel Disease Liver Nutrition and Obesity Pancreas Pathology Pediatric Small Bowel Stomach.
×
引用
GB/T 7714-2015
复制
MLA
复制
APA
复制
导出至
BibTeX EndNote RefMan NoteFirst NoteExpress
×
提示
您的信息不完整,为了账户安全,请先补充。
现在去补充
×
提示
您因"违规操作"
具体请查看互助需知
我知道了
×
提示
确定
请完成安全验证×
copy
已复制链接
快去分享给好友吧!
我知道了
右上角分享
点击右上角分享
0
联系我们:info@booksci.cn Book学术提供免费学术资源搜索服务,方便国内外学者检索中英文文献。致力于提供最便捷和优质的服务体验。 Copyright © 2023 布克学术 All rights reserved.
京ICP备2023020795号-1
ghs 京公网安备 11010802042870号
Book学术文献互助
Book学术文献互助群
群 号:604180095
Book学术官方微信