黏液样梭形细胞肿瘤伴FET::CREB融合模拟脑膜瘤:说明性病例。

Ganesh Phayal, Pragya Rijal, Prisma Rijal, Amrit K Chiluwal
{"title":"黏液样梭形细胞肿瘤伴FET::CREB融合模拟脑膜瘤:说明性病例。","authors":"Ganesh Phayal, Pragya Rijal, Prisma Rijal, Amrit K Chiluwal","doi":"10.3171/CASE25497","DOIUrl":null,"url":null,"abstract":"<p><strong>Background: </strong>Myxoid spindle cell neoplasm and meningioma are two different pathologies that can have similar radiographic findings. Despite their benign radiographic appearance, myxoid spindle cell neoplasms are heterogeneous, prone to recurrence, and associated with high mortality.</p><p><strong>Observations: </strong>The authors present the case of a woman in her late 60s who experienced a witnessed seizure characterized by right arm tonic-clonic movements and subsequent left-sided manifestations. Initial radiographic findings were suggestive of a meningioma, but further investigation revealed a myxoid spindle cell neoplasm with a possible FET::CREB fusion. Pathologically, the tumor expressed desmin, EMA, and CD99, resembling meningiomas histologically.</p><p><strong>Lessons: </strong>The case highlights the diagnostic challenges of this rare tumor and underscores the need for advanced molecular diagnostics such as next-generation sequencing to guide appropriate management. https://thejns.org/doi/10.3171/CASE25497.</p>","PeriodicalId":94098,"journal":{"name":"Journal of neurosurgery. Case lessons","volume":"10 10","pages":""},"PeriodicalIF":0.0000,"publicationDate":"2025-09-08","publicationTypes":"Journal Article","fieldsOfStudy":null,"isOpenAccess":false,"openAccessPdf":"https://www.ncbi.nlm.nih.gov/pmc/articles/PMC12416329/pdf/","citationCount":"0","resultStr":"{\"title\":\"Myxoid spindle cell neoplasm with FET::CREB fusion mimicking meningioma: illustrative case.\",\"authors\":\"Ganesh Phayal, Pragya Rijal, Prisma Rijal, Amrit K Chiluwal\",\"doi\":\"10.3171/CASE25497\",\"DOIUrl\":null,\"url\":null,\"abstract\":\"<p><strong>Background: </strong>Myxoid spindle cell neoplasm and meningioma are two different pathologies that can have similar radiographic findings. Despite their benign radiographic appearance, myxoid spindle cell neoplasms are heterogeneous, prone to recurrence, and associated with high mortality.</p><p><strong>Observations: </strong>The authors present the case of a woman in her late 60s who experienced a witnessed seizure characterized by right arm tonic-clonic movements and subsequent left-sided manifestations. Initial radiographic findings were suggestive of a meningioma, but further investigation revealed a myxoid spindle cell neoplasm with a possible FET::CREB fusion. Pathologically, the tumor expressed desmin, EMA, and CD99, resembling meningiomas histologically.</p><p><strong>Lessons: </strong>The case highlights the diagnostic challenges of this rare tumor and underscores the need for advanced molecular diagnostics such as next-generation sequencing to guide appropriate management. https://thejns.org/doi/10.3171/CASE25497.</p>\",\"PeriodicalId\":94098,\"journal\":{\"name\":\"Journal of neurosurgery. Case lessons\",\"volume\":\"10 10\",\"pages\":\"\"},\"PeriodicalIF\":0.0000,\"publicationDate\":\"2025-09-08\",\"publicationTypes\":\"Journal Article\",\"fieldsOfStudy\":null,\"isOpenAccess\":false,\"openAccessPdf\":\"https://www.ncbi.nlm.nih.gov/pmc/articles/PMC12416329/pdf/\",\"citationCount\":\"0\",\"resultStr\":null,\"platform\":\"Semanticscholar\",\"paperid\":null,\"PeriodicalName\":\"Journal of neurosurgery. Case lessons\",\"FirstCategoryId\":\"1085\",\"ListUrlMain\":\"https://doi.org/10.3171/CASE25497\",\"RegionNum\":0,\"RegionCategory\":null,\"ArticlePicture\":[],\"TitleCN\":null,\"AbstractTextCN\":null,\"PMCID\":null,\"EPubDate\":\"\",\"PubModel\":\"\",\"JCR\":\"\",\"JCRName\":\"\",\"Score\":null,\"Total\":0}","platform":"Semanticscholar","paperid":null,"PeriodicalName":"Journal of neurosurgery. Case lessons","FirstCategoryId":"1085","ListUrlMain":"https://doi.org/10.3171/CASE25497","RegionNum":0,"RegionCategory":null,"ArticlePicture":[],"TitleCN":null,"AbstractTextCN":null,"PMCID":null,"EPubDate":"","PubModel":"","JCR":"","JCRName":"","Score":null,"Total":0}
引用次数: 0

摘要

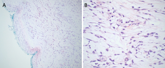
背景:黏液样梭形细胞瘤和脑膜瘤是两种不同的病理,具有相似的影像学表现。尽管其影像学表现为良性,但黏液样梭形细胞肿瘤具有异质性,易复发,死亡率高。观察:作者提出了一个60多岁的妇女,她经历了一次癫痫发作,其特征是右臂强直阵挛运动和随后的左侧表现。最初的x线表现提示为脑膜瘤,但进一步的检查显示为黏液样梭形细胞肿瘤,可能伴有FET::CREB融合。病理上,肿瘤表达desmin、EMA和CD99,组织学上类似脑膜瘤。经验教训:该病例突出了这种罕见肿瘤的诊断挑战,并强调需要先进的分子诊断,如下一代测序,以指导适当的管理。https://thejns.org/doi/10.3171/CASE25497。
本文章由计算机程序翻译,如有差异,请以英文原文为准。

Myxoid spindle cell neoplasm with FET::CREB fusion mimicking meningioma: illustrative case.

Myxoid spindle cell neoplasm with FET::CREB fusion mimicking meningioma: illustrative case.

Myxoid spindle cell neoplasm with FET::CREB fusion mimicking meningioma: illustrative case.

Background: Myxoid spindle cell neoplasm and meningioma are two different pathologies that can have similar radiographic findings. Despite their benign radiographic appearance, myxoid spindle cell neoplasms are heterogeneous, prone to recurrence, and associated with high mortality.

Observations: The authors present the case of a woman in her late 60s who experienced a witnessed seizure characterized by right arm tonic-clonic movements and subsequent left-sided manifestations. Initial radiographic findings were suggestive of a meningioma, but further investigation revealed a myxoid spindle cell neoplasm with a possible FET::CREB fusion. Pathologically, the tumor expressed desmin, EMA, and CD99, resembling meningiomas histologically.

Lessons: The case highlights the diagnostic challenges of this rare tumor and underscores the need for advanced molecular diagnostics such as next-generation sequencing to guide appropriate management. https://thejns.org/doi/10.3171/CASE25497.

求助全文
通过发布文献求助,成功后即可免费获取论文全文。 去求助
来源期刊
CiteScore
0.40
自引率
0.00%
发文量
0
×
引用
GB/T 7714-2015
复制
MLA
复制
APA
复制
导出至
BibTeX EndNote RefMan NoteFirst NoteExpress
×
提示
您的信息不完整,为了账户安全,请先补充。
现在去补充
×
提示
您因"违规操作"
具体请查看互助需知
我知道了
×
提示
确定
请完成安全验证×
copy
已复制链接
快去分享给好友吧!
我知道了
右上角分享
点击右上角分享
0
联系我们:info@booksci.cn Book学术提供免费学术资源搜索服务,方便国内外学者检索中英文文献。致力于提供最便捷和优质的服务体验。 Copyright © 2023 布克学术 All rights reserved.
京ICP备2023020795号-1
ghs 京公网安备 11010802042870号
Book学术文献互助
Book学术文献互助群
群 号:604180095
Book学术官方微信