间变性淋巴瘤激酶阳性原发性中枢神经系统间变性大细胞淋巴瘤1例:说明性病例。

Duygu Dolen Burak, Cafer Ikbal Gulsever, Alperen Poyraz, Gokcen Unverengil, Gulcin Yegen, Gulcan Erbas, Tugrul Cem Unal, Altay Sencer
{"title":"间变性淋巴瘤激酶阳性原发性中枢神经系统间变性大细胞淋巴瘤1例:说明性病例。","authors":"Duygu Dolen Burak, Cafer Ikbal Gulsever, Alperen Poyraz, Gokcen Unverengil, Gulcin Yegen, Gulcan Erbas, Tugrul Cem Unal, Altay Sencer","doi":"10.3171/CASE25522","DOIUrl":null,"url":null,"abstract":"<p><strong>Background: </strong>Anaplastic lymphoma kinase (ALK)-positive primary CNS anaplastic large cell lymphoma (ALCL) is an extremely rare pediatric malignancy. Its radiological appearance often mimics infectious or glial lesions, complicating diagnosis and delaying treatment.</p><p><strong>Observations: </strong>The authors report the case of a 10-year-old immunocompetent female who presented with absence seizures and vomiting. Brain MRI revealed a left frontal lesion with peripheral contrast enhancement and diffusion restriction, suggestive of a cerebral abscess. She was started on antibiotics and underwent resection. Histopathology confirmed ALK-positive primary CNS ALCL. The patient was treated with NHL-BFM (non-Hodgkin lymphoma-Berlin-Frankfurt-Münster) chemotherapy, the ALK inhibitor lorlatinib, and focal cranial radiotherapy (18 Gy/22 fractions). She remains in complete remission at 18 months. A systematic review of 15 pediatric ALK-positive CNS ALCL cases revealed male predominance, supratentorial location, and inconsistent treatment protocols. Methotrexate-based chemotherapy was most common treatment; the role of radiotherapy and surgery varied.</p><p><strong>Lessons: </strong>ALK-positive primary CNS ALCL should be considered in the differential diagnosis of pediatric intracranial masses with atypical imaging. Early histological confirmation is essential. While chemotherapy remains central to treatment, targeted therapies and radiation-sparing approaches require further investigation to improve outcomes and reduce long-term morbidity in children. https://thejns.org/doi/10.3171/CASE25522.</p>","PeriodicalId":94098,"journal":{"name":"Journal of neurosurgery. Case lessons","volume":"10 10","pages":""},"PeriodicalIF":0.0000,"publicationDate":"2025-09-08","publicationTypes":"Journal Article","fieldsOfStudy":null,"isOpenAccess":false,"openAccessPdf":"https://www.ncbi.nlm.nih.gov/pmc/articles/PMC12416325/pdf/","citationCount":"0","resultStr":"{\"title\":\"Anaplastic lymphoma kinase-positive primary CNS anaplastic large cell lymphoma in a pediatric patient: illustrative case.\",\"authors\":\"Duygu Dolen Burak, Cafer Ikbal Gulsever, Alperen Poyraz, Gokcen Unverengil, Gulcin Yegen, Gulcan Erbas, Tugrul Cem Unal, Altay Sencer\",\"doi\":\"10.3171/CASE25522\",\"DOIUrl\":null,\"url\":null,\"abstract\":\"<p><strong>Background: </strong>Anaplastic lymphoma kinase (ALK)-positive primary CNS anaplastic large cell lymphoma (ALCL) is an extremely rare pediatric malignancy. Its radiological appearance often mimics infectious or glial lesions, complicating diagnosis and delaying treatment.</p><p><strong>Observations: </strong>The authors report the case of a 10-year-old immunocompetent female who presented with absence seizures and vomiting. Brain MRI revealed a left frontal lesion with peripheral contrast enhancement and diffusion restriction, suggestive of a cerebral abscess. She was started on antibiotics and underwent resection. Histopathology confirmed ALK-positive primary CNS ALCL. The patient was treated with NHL-BFM (non-Hodgkin lymphoma-Berlin-Frankfurt-Münster) chemotherapy, the ALK inhibitor lorlatinib, and focal cranial radiotherapy (18 Gy/22 fractions). She remains in complete remission at 18 months. A systematic review of 15 pediatric ALK-positive CNS ALCL cases revealed male predominance, supratentorial location, and inconsistent treatment protocols. Methotrexate-based chemotherapy was most common treatment; the role of radiotherapy and surgery varied.</p><p><strong>Lessons: </strong>ALK-positive primary CNS ALCL should be considered in the differential diagnosis of pediatric intracranial masses with atypical imaging. Early histological confirmation is essential. While chemotherapy remains central to treatment, targeted therapies and radiation-sparing approaches require further investigation to improve outcomes and reduce long-term morbidity in children. https://thejns.org/doi/10.3171/CASE25522.</p>\",\"PeriodicalId\":94098,\"journal\":{\"name\":\"Journal of neurosurgery. Case lessons\",\"volume\":\"10 10\",\"pages\":\"\"},\"PeriodicalIF\":0.0000,\"publicationDate\":\"2025-09-08\",\"publicationTypes\":\"Journal Article\",\"fieldsOfStudy\":null,\"isOpenAccess\":false,\"openAccessPdf\":\"https://www.ncbi.nlm.nih.gov/pmc/articles/PMC12416325/pdf/\",\"citationCount\":\"0\",\"resultStr\":null,\"platform\":\"Semanticscholar\",\"paperid\":null,\"PeriodicalName\":\"Journal of neurosurgery. Case lessons\",\"FirstCategoryId\":\"1085\",\"ListUrlMain\":\"https://doi.org/10.3171/CASE25522\",\"RegionNum\":0,\"RegionCategory\":null,\"ArticlePicture\":[],\"TitleCN\":null,\"AbstractTextCN\":null,\"PMCID\":null,\"EPubDate\":\"\",\"PubModel\":\"\",\"JCR\":\"\",\"JCRName\":\"\",\"Score\":null,\"Total\":0}","platform":"Semanticscholar","paperid":null,"PeriodicalName":"Journal of neurosurgery. Case lessons","FirstCategoryId":"1085","ListUrlMain":"https://doi.org/10.3171/CASE25522","RegionNum":0,"RegionCategory":null,"ArticlePicture":[],"TitleCN":null,"AbstractTextCN":null,"PMCID":null,"EPubDate":"","PubModel":"","JCR":"","JCRName":"","Score":null,"Total":0}
引用次数: 0

摘要

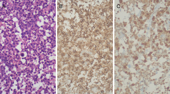
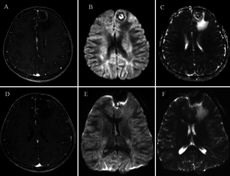
背景:间变性淋巴瘤激酶(ALK)阳性的原发性中枢神经系统间变性大细胞淋巴瘤(ALCL)是一种极为罕见的儿童恶性肿瘤。其影像学表现常与感染性或神经胶质病变相似,使诊断复杂化,延误治疗。观察:作者报告的情况下,一个10岁的免疫功能正常的女性谁提出缺席癫痫发作和呕吐。脑MRI显示左额叶病变,周围增强,扩散受限,提示脑脓肿。她开始服用抗生素并接受了切除手术。组织病理学证实alk阳性原发性中枢神经系统ALCL。患者接受NHL-BFM(非霍奇金淋巴瘤-柏林-法兰克福- nster)化疗、ALK抑制剂lorlatinib和局灶性颅脑放疗(18 Gy/22分数)。她在18个月后仍处于完全缓解状态。对15例小儿alk阳性中枢神经系统ALCL病例的系统回顾显示男性优势,幕上位置和不一致的治疗方案。以甲氨蝶呤为基础的化疗是最常见的治疗方法;放疗和手术的作用各不相同。结论:alk阳性的原发性中枢神经系统ALCL在小儿颅内肿块非典型影像学鉴别诊断中应予以考虑。早期组织学确认是必要的。虽然化疗仍然是治疗的核心,但靶向治疗和节省辐射的方法需要进一步研究,以改善结果并降低儿童的长期发病率。https://thejns.org/doi/10.3171/CASE25522。
本文章由计算机程序翻译,如有差异,请以英文原文为准。

Anaplastic lymphoma kinase-positive primary CNS anaplastic large cell lymphoma in a pediatric patient: illustrative case.

Anaplastic lymphoma kinase-positive primary CNS anaplastic large cell lymphoma in a pediatric patient: illustrative case.

Anaplastic lymphoma kinase-positive primary CNS anaplastic large cell lymphoma in a pediatric patient: illustrative case.

Anaplastic lymphoma kinase-positive primary CNS anaplastic large cell lymphoma in a pediatric patient: illustrative case.

Background: Anaplastic lymphoma kinase (ALK)-positive primary CNS anaplastic large cell lymphoma (ALCL) is an extremely rare pediatric malignancy. Its radiological appearance often mimics infectious or glial lesions, complicating diagnosis and delaying treatment.

Observations: The authors report the case of a 10-year-old immunocompetent female who presented with absence seizures and vomiting. Brain MRI revealed a left frontal lesion with peripheral contrast enhancement and diffusion restriction, suggestive of a cerebral abscess. She was started on antibiotics and underwent resection. Histopathology confirmed ALK-positive primary CNS ALCL. The patient was treated with NHL-BFM (non-Hodgkin lymphoma-Berlin-Frankfurt-Münster) chemotherapy, the ALK inhibitor lorlatinib, and focal cranial radiotherapy (18 Gy/22 fractions). She remains in complete remission at 18 months. A systematic review of 15 pediatric ALK-positive CNS ALCL cases revealed male predominance, supratentorial location, and inconsistent treatment protocols. Methotrexate-based chemotherapy was most common treatment; the role of radiotherapy and surgery varied.

Lessons: ALK-positive primary CNS ALCL should be considered in the differential diagnosis of pediatric intracranial masses with atypical imaging. Early histological confirmation is essential. While chemotherapy remains central to treatment, targeted therapies and radiation-sparing approaches require further investigation to improve outcomes and reduce long-term morbidity in children. https://thejns.org/doi/10.3171/CASE25522.

求助全文
通过发布文献求助,成功后即可免费获取论文全文。 去求助
来源期刊
CiteScore
0.40
自引率
0.00%
发文量
0
×
引用
GB/T 7714-2015
复制
MLA
复制
APA
复制
导出至
BibTeX EndNote RefMan NoteFirst NoteExpress
×
提示
您的信息不完整,为了账户安全,请先补充。
现在去补充
×
提示
您因"违规操作"
具体请查看互助需知
我知道了
×
提示
确定
请完成安全验证×
copy
已复制链接
快去分享给好友吧!
我知道了
右上角分享
点击右上角分享
0
联系我们:info@booksci.cn Book学术提供免费学术资源搜索服务,方便国内外学者检索中英文文献。致力于提供最便捷和优质的服务体验。 Copyright © 2023 布克学术 All rights reserved.
京ICP备2023020795号-1
ghs 京公网安备 11010802042870号
Book学术文献互助
Book学术文献互助群
群 号:604180095
Book学术官方微信