cppd相关基底压痕伴椎动脉剥离和蛛网膜下腔出血:说明性病例。

Sara Smeets, Thomas Daenekindt, Frank Weyns, Christophe Oosterbos
{"title":"cppd相关基底压痕伴椎动脉剥离和蛛网膜下腔出血:说明性病例。","authors":"Sara Smeets, Thomas Daenekindt, Frank Weyns, Christophe Oosterbos","doi":"10.3171/CASE25332","DOIUrl":null,"url":null,"abstract":"<p><strong>Background: </strong>Calcium pyrophosphate dihydrate (CPPD) deposition disease at the craniocervical junction (CCJ) typically presents with a retro-odontoid pseudotumor. Here, the authors report a case of CPPD-induced basilar impression, causing vertebral artery (VA) dissection and hemorrhage.</p><p><strong>Observations: </strong>A 65-year-old male presented with worsening chronic cervicalgia, occipital headaches, and unstable tandem gait. CT revealed basilar impression with severe atlantoaxial erosion and instability, absent on imaging 8 months prior. MRI showed high-grade CCJ stenosis without myelopathy, due to CPPD. Before treatment could be initiated, the patient was suddenly found unresponsive. CT showed posterior fossa hemorrhage due to VA dissection, with secondary obstructive hydrocephalus. An external ventricular drain was placed, followed by coil VA embolization. After halo vest placement, CCJ alignment was restored and the patient underwent occipitocervical fusion. Following prolonged rehabilitation, he regained independent living without significant neurological sequelae.</p><p><strong>Lessons: </strong>This is the first reported case of VA dissection with posterior fossa hemorrhage secondary to basilar impression due to CPPD. Inflammatory arthritides of the CCJ may cause rapidly progressive atlantoaxial erosion, predisposing one to unstable basilar impression and VA dissection. Awareness of this risk is crucial in the surgical management of inflammatory basilar impression, where preoperative vascular imaging may be warranted in selected cases. https://thejns.org/doi/10.3171/CASE25332.</p>","PeriodicalId":94098,"journal":{"name":"Journal of neurosurgery. Case lessons","volume":"10 10","pages":""},"PeriodicalIF":0.0000,"publicationDate":"2025-09-08","publicationTypes":"Journal Article","fieldsOfStudy":null,"isOpenAccess":false,"openAccessPdf":"https://www.ncbi.nlm.nih.gov/pmc/articles/PMC12416330/pdf/","citationCount":"0","resultStr":"{\"title\":\"CPPD-related basilar impression with vertebral artery dissection and subsequent subarachnoid hemorrhage: illustrative case.\",\"authors\":\"Sara Smeets, Thomas Daenekindt, Frank Weyns, Christophe Oosterbos\",\"doi\":\"10.3171/CASE25332\",\"DOIUrl\":null,\"url\":null,\"abstract\":\"<p><strong>Background: </strong>Calcium pyrophosphate dihydrate (CPPD) deposition disease at the craniocervical junction (CCJ) typically presents with a retro-odontoid pseudotumor. Here, the authors report a case of CPPD-induced basilar impression, causing vertebral artery (VA) dissection and hemorrhage.</p><p><strong>Observations: </strong>A 65-year-old male presented with worsening chronic cervicalgia, occipital headaches, and unstable tandem gait. CT revealed basilar impression with severe atlantoaxial erosion and instability, absent on imaging 8 months prior. MRI showed high-grade CCJ stenosis without myelopathy, due to CPPD. Before treatment could be initiated, the patient was suddenly found unresponsive. CT showed posterior fossa hemorrhage due to VA dissection, with secondary obstructive hydrocephalus. An external ventricular drain was placed, followed by coil VA embolization. After halo vest placement, CCJ alignment was restored and the patient underwent occipitocervical fusion. Following prolonged rehabilitation, he regained independent living without significant neurological sequelae.</p><p><strong>Lessons: </strong>This is the first reported case of VA dissection with posterior fossa hemorrhage secondary to basilar impression due to CPPD. Inflammatory arthritides of the CCJ may cause rapidly progressive atlantoaxial erosion, predisposing one to unstable basilar impression and VA dissection. Awareness of this risk is crucial in the surgical management of inflammatory basilar impression, where preoperative vascular imaging may be warranted in selected cases. https://thejns.org/doi/10.3171/CASE25332.</p>\",\"PeriodicalId\":94098,\"journal\":{\"name\":\"Journal of neurosurgery. Case lessons\",\"volume\":\"10 10\",\"pages\":\"\"},\"PeriodicalIF\":0.0000,\"publicationDate\":\"2025-09-08\",\"publicationTypes\":\"Journal Article\",\"fieldsOfStudy\":null,\"isOpenAccess\":false,\"openAccessPdf\":\"https://www.ncbi.nlm.nih.gov/pmc/articles/PMC12416330/pdf/\",\"citationCount\":\"0\",\"resultStr\":null,\"platform\":\"Semanticscholar\",\"paperid\":null,\"PeriodicalName\":\"Journal of neurosurgery. Case lessons\",\"FirstCategoryId\":\"1085\",\"ListUrlMain\":\"https://doi.org/10.3171/CASE25332\",\"RegionNum\":0,\"RegionCategory\":null,\"ArticlePicture\":[],\"TitleCN\":null,\"AbstractTextCN\":null,\"PMCID\":null,\"EPubDate\":\"\",\"PubModel\":\"\",\"JCR\":\"\",\"JCRName\":\"\",\"Score\":null,\"Total\":0}","platform":"Semanticscholar","paperid":null,"PeriodicalName":"Journal of neurosurgery. Case lessons","FirstCategoryId":"1085","ListUrlMain":"https://doi.org/10.3171/CASE25332","RegionNum":0,"RegionCategory":null,"ArticlePicture":[],"TitleCN":null,"AbstractTextCN":null,"PMCID":null,"EPubDate":"","PubModel":"","JCR":"","JCRName":"","Score":null,"Total":0}
引用次数: 0

摘要

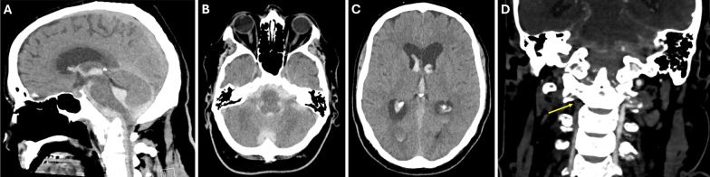
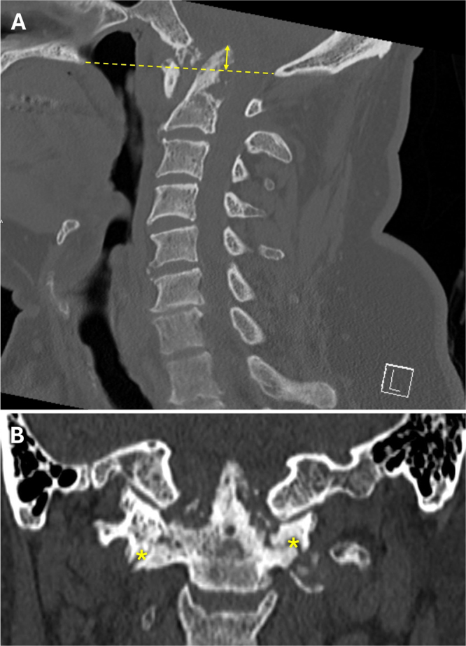
背景:二水合物焦磷酸钙(CPPD)沉积病在颅颈交界处(CCJ)典型表现为齿状后假瘤。在这里,作者报告了一例cppd诱导的基底压痕,导致椎动脉(VA)剥离和出血。观察:65岁男性,表现为慢性颈痛加重、枕部头痛和不稳定的串联步态。CT显示颅底印记伴严重寰枢侵蚀和不稳定,8个月前影像学未见。MRI显示高级别CCJ狭窄,无脊髓病,由CPPD引起。在开始治疗之前,病人突然发现没有反应。CT显示后颅窝出血,并发继发性梗阻性脑积水。放置外脑室引流管,然后进行静脉栓塞术。在halo背心放置后,CCJ对齐恢复,患者接受枕颈融合。经过长期的康复治疗,他恢复了独立生活,没有明显的神经后遗症。经验教训:这是首次报道的由CPPD引起的室间隔夹层合并后窝出血继发于颅底压痕的病例。CCJ的炎症性关节炎可引起快速进行性寰枢侵蚀,易导致基底印模不稳定和VA剥离。意识到这种风险在炎性基底印痕的手术治疗中是至关重要的,在某些情况下,术前血管成像是有必要的。https://thejns.org/doi/10.3171/CASE25332。
本文章由计算机程序翻译,如有差异,请以英文原文为准。

CPPD-related basilar impression with vertebral artery dissection and subsequent subarachnoid hemorrhage: illustrative case.

CPPD-related basilar impression with vertebral artery dissection and subsequent subarachnoid hemorrhage: illustrative case.

CPPD-related basilar impression with vertebral artery dissection and subsequent subarachnoid hemorrhage: illustrative case.

CPPD-related basilar impression with vertebral artery dissection and subsequent subarachnoid hemorrhage: illustrative case.

Background: Calcium pyrophosphate dihydrate (CPPD) deposition disease at the craniocervical junction (CCJ) typically presents with a retro-odontoid pseudotumor. Here, the authors report a case of CPPD-induced basilar impression, causing vertebral artery (VA) dissection and hemorrhage.

Observations: A 65-year-old male presented with worsening chronic cervicalgia, occipital headaches, and unstable tandem gait. CT revealed basilar impression with severe atlantoaxial erosion and instability, absent on imaging 8 months prior. MRI showed high-grade CCJ stenosis without myelopathy, due to CPPD. Before treatment could be initiated, the patient was suddenly found unresponsive. CT showed posterior fossa hemorrhage due to VA dissection, with secondary obstructive hydrocephalus. An external ventricular drain was placed, followed by coil VA embolization. After halo vest placement, CCJ alignment was restored and the patient underwent occipitocervical fusion. Following prolonged rehabilitation, he regained independent living without significant neurological sequelae.

Lessons: This is the first reported case of VA dissection with posterior fossa hemorrhage secondary to basilar impression due to CPPD. Inflammatory arthritides of the CCJ may cause rapidly progressive atlantoaxial erosion, predisposing one to unstable basilar impression and VA dissection. Awareness of this risk is crucial in the surgical management of inflammatory basilar impression, where preoperative vascular imaging may be warranted in selected cases. https://thejns.org/doi/10.3171/CASE25332.

求助全文
通过发布文献求助,成功后即可免费获取论文全文。 去求助
来源期刊
CiteScore
0.40
自引率
0.00%
发文量
0
×
引用
GB/T 7714-2015
复制
MLA
复制
APA
复制
导出至
BibTeX EndNote RefMan NoteFirst NoteExpress
×
提示
您的信息不完整,为了账户安全,请先补充。
现在去补充
×
提示
您因"违规操作"
具体请查看互助需知
我知道了
×
提示
确定
请完成安全验证×
copy
已复制链接
快去分享给好友吧!
我知道了
右上角分享
点击右上角分享
0
联系我们:info@booksci.cn Book学术提供免费学术资源搜索服务,方便国内外学者检索中英文文献。致力于提供最便捷和优质的服务体验。 Copyright © 2023 布克学术 All rights reserved.
京ICP备2023020795号-1
ghs 京公网安备 11010802042870号
Book学术文献互助
Book学术文献互助群
群 号:604180095
Book学术官方微信