硬膜外血贴片治疗小儿脑脊液漏致硬膜下血肿:说明性病例。

Ryan S Chung, Lacin Koro, Benjamin Best, Virendra R Desai
{"title":"硬膜外血贴片治疗小儿脑脊液漏致硬膜下血肿:说明性病例。","authors":"Ryan S Chung, Lacin Koro, Benjamin Best, Virendra R Desai","doi":"10.3171/CASE25254","DOIUrl":null,"url":null,"abstract":"<p><strong>Background: </strong>Intracranial hypotension (IH) is a secondary headache syndrome that can result from spontaneous or iatrogenic CSF leaks. Subdural hematomas (SDHs) are a particularly dangerous sequela of IH. Although epidural blood patch (EBP) is a recognized treatment for IH, its use in pediatric patients with SDH as a solitary intervention has not been reported.</p><p><strong>Observations: </strong>An 11-year-old male with newly diagnosed acute myeloid leukemia developed persistent, postural headaches following a lumbar puncture performed for diagnostic and therapeutic purposes. Initial imaging revealed a moderate left-sided SDH with midline shift, yet MRI of the lumbar spine failed to demonstrate an obvious CSF leak. Conservative management did not alleviate symptoms. Given the clinical picture of low CSF pressure, an EBP was administered, resulting in immediate headache improvement and subsequent radiographic evidence of SDH resolution.</p><p><strong>Lessons: </strong>This case underscores the importance of maintaining a high index of suspicion for IH in pediatric patients with postural headaches after lumbar puncture, even when imaging is inconclusive. EBP can be a safe and effective intervention, potentially preventing further complications and clinical deterioration in this vulnerable population. https://thejns.org/doi/10.3171/CASE25254.</p>","PeriodicalId":94098,"journal":{"name":"Journal of neurosurgery. Case lessons","volume":"10 10","pages":""},"PeriodicalIF":0.0000,"publicationDate":"2025-09-08","publicationTypes":"Journal Article","fieldsOfStudy":null,"isOpenAccess":false,"openAccessPdf":"https://www.ncbi.nlm.nih.gov/pmc/articles/PMC12416323/pdf/","citationCount":"0","resultStr":"{\"title\":\"Epidural blood patch for cerebrospinal fluid leak-induced subdural hematoma in a pediatric patient: illustrative case.\",\"authors\":\"Ryan S Chung, Lacin Koro, Benjamin Best, Virendra R Desai\",\"doi\":\"10.3171/CASE25254\",\"DOIUrl\":null,\"url\":null,\"abstract\":\"<p><strong>Background: </strong>Intracranial hypotension (IH) is a secondary headache syndrome that can result from spontaneous or iatrogenic CSF leaks. Subdural hematomas (SDHs) are a particularly dangerous sequela of IH. Although epidural blood patch (EBP) is a recognized treatment for IH, its use in pediatric patients with SDH as a solitary intervention has not been reported.</p><p><strong>Observations: </strong>An 11-year-old male with newly diagnosed acute myeloid leukemia developed persistent, postural headaches following a lumbar puncture performed for diagnostic and therapeutic purposes. Initial imaging revealed a moderate left-sided SDH with midline shift, yet MRI of the lumbar spine failed to demonstrate an obvious CSF leak. Conservative management did not alleviate symptoms. Given the clinical picture of low CSF pressure, an EBP was administered, resulting in immediate headache improvement and subsequent radiographic evidence of SDH resolution.</p><p><strong>Lessons: </strong>This case underscores the importance of maintaining a high index of suspicion for IH in pediatric patients with postural headaches after lumbar puncture, even when imaging is inconclusive. EBP can be a safe and effective intervention, potentially preventing further complications and clinical deterioration in this vulnerable population. https://thejns.org/doi/10.3171/CASE25254.</p>\",\"PeriodicalId\":94098,\"journal\":{\"name\":\"Journal of neurosurgery. Case lessons\",\"volume\":\"10 10\",\"pages\":\"\"},\"PeriodicalIF\":0.0000,\"publicationDate\":\"2025-09-08\",\"publicationTypes\":\"Journal Article\",\"fieldsOfStudy\":null,\"isOpenAccess\":false,\"openAccessPdf\":\"https://www.ncbi.nlm.nih.gov/pmc/articles/PMC12416323/pdf/\",\"citationCount\":\"0\",\"resultStr\":null,\"platform\":\"Semanticscholar\",\"paperid\":null,\"PeriodicalName\":\"Journal of neurosurgery. Case lessons\",\"FirstCategoryId\":\"1085\",\"ListUrlMain\":\"https://doi.org/10.3171/CASE25254\",\"RegionNum\":0,\"RegionCategory\":null,\"ArticlePicture\":[],\"TitleCN\":null,\"AbstractTextCN\":null,\"PMCID\":null,\"EPubDate\":\"\",\"PubModel\":\"\",\"JCR\":\"\",\"JCRName\":\"\",\"Score\":null,\"Total\":0}","platform":"Semanticscholar","paperid":null,"PeriodicalName":"Journal of neurosurgery. Case lessons","FirstCategoryId":"1085","ListUrlMain":"https://doi.org/10.3171/CASE25254","RegionNum":0,"RegionCategory":null,"ArticlePicture":[],"TitleCN":null,"AbstractTextCN":null,"PMCID":null,"EPubDate":"","PubModel":"","JCR":"","JCRName":"","Score":null,"Total":0}
引用次数: 0

摘要

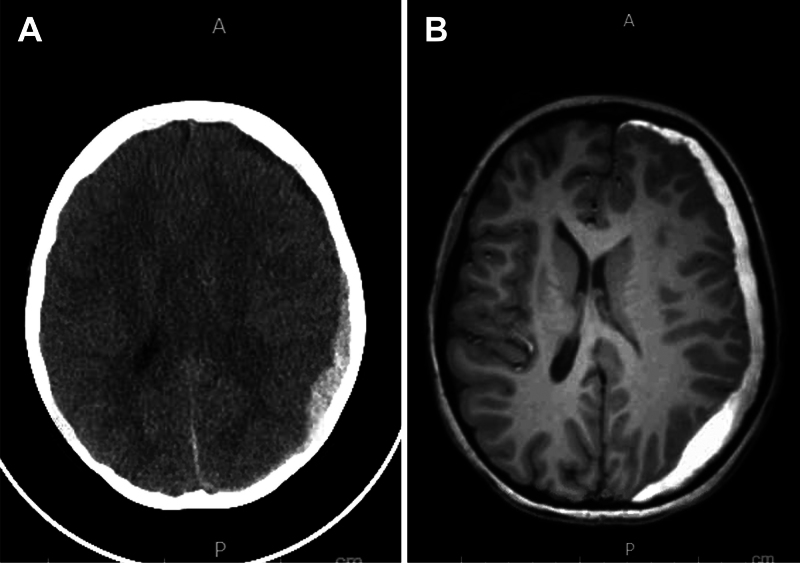
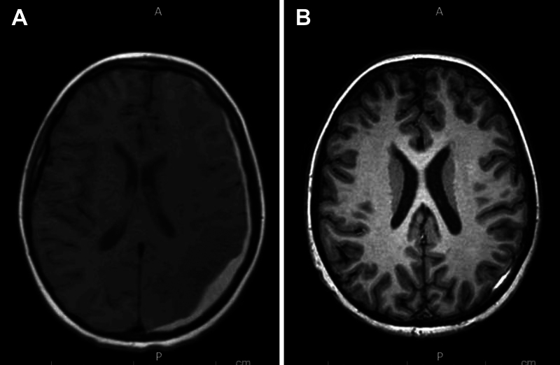
背景:颅内低血压(IH)是一种继发性头痛综合征,可由自发性或医源性脑脊液泄漏引起。硬膜下血肿(sdh)是IH特别危险的后遗症。尽管硬膜外血液贴片(EBP)是一种公认的IH治疗方法,但其在SDH患儿中的单独干预尚未见报道。观察:一名新近诊断为急性髓性白血病的11岁男性患者在进行诊断和治疗目的的腰椎穿刺后出现了持续的体位性头痛。初步影像学显示中度左侧SDH伴中线移位,但腰椎MRI未能显示明显的脑脊液泄漏。保守治疗并未缓解症状。考虑到脑脊液低压的临床表现,给予EBP治疗,导致头痛立即改善,随后的放射学证据表明SDH消退。经验教训:本病例强调了在腰椎穿刺后出现体位性头痛的儿童患者中,即使在影像学不确定的情况下,对IH保持高度怀疑的重要性。EBP是一种安全有效的干预措施,可以潜在地预防这一弱势群体的进一步并发症和临床恶化。https://thejns.org/doi/10.3171/CASE25254。
本文章由计算机程序翻译,如有差异,请以英文原文为准。

Epidural blood patch for cerebrospinal fluid leak-induced subdural hematoma in a pediatric patient: illustrative case.

Epidural blood patch for cerebrospinal fluid leak-induced subdural hematoma in a pediatric patient: illustrative case.

Epidural blood patch for cerebrospinal fluid leak-induced subdural hematoma in a pediatric patient: illustrative case.

Epidural blood patch for cerebrospinal fluid leak-induced subdural hematoma in a pediatric patient: illustrative case.

Background: Intracranial hypotension (IH) is a secondary headache syndrome that can result from spontaneous or iatrogenic CSF leaks. Subdural hematomas (SDHs) are a particularly dangerous sequela of IH. Although epidural blood patch (EBP) is a recognized treatment for IH, its use in pediatric patients with SDH as a solitary intervention has not been reported.

Observations: An 11-year-old male with newly diagnosed acute myeloid leukemia developed persistent, postural headaches following a lumbar puncture performed for diagnostic and therapeutic purposes. Initial imaging revealed a moderate left-sided SDH with midline shift, yet MRI of the lumbar spine failed to demonstrate an obvious CSF leak. Conservative management did not alleviate symptoms. Given the clinical picture of low CSF pressure, an EBP was administered, resulting in immediate headache improvement and subsequent radiographic evidence of SDH resolution.

Lessons: This case underscores the importance of maintaining a high index of suspicion for IH in pediatric patients with postural headaches after lumbar puncture, even when imaging is inconclusive. EBP can be a safe and effective intervention, potentially preventing further complications and clinical deterioration in this vulnerable population. https://thejns.org/doi/10.3171/CASE25254.

求助全文
通过发布文献求助,成功后即可免费获取论文全文。 去求助
来源期刊
CiteScore
0.40
自引率
0.00%
发文量
0
×
引用
GB/T 7714-2015
复制
MLA
复制
APA
复制
导出至
BibTeX EndNote RefMan NoteFirst NoteExpress
×
提示
您的信息不完整,为了账户安全,请先补充。
现在去补充
×
提示
您因"违规操作"
具体请查看互助需知
我知道了
×
提示
确定
请完成安全验证×
copy
已复制链接
快去分享给好友吧!
我知道了
右上角分享
点击右上角分享
0
联系我们:info@booksci.cn Book学术提供免费学术资源搜索服务,方便国内外学者检索中英文文献。致力于提供最便捷和优质的服务体验。 Copyright © 2023 布克学术 All rights reserved.
京ICP备2023020795号-1
ghs 京公网安备 11010802042870号
Book学术文献互助
Book学术文献互助群
群 号:604180095
Book学术官方微信