围绝经期妇女子宫附件空化畸形一例报告及文献复习。

IF 1.5 4区 医学 Q4 MEDICINE, RESEARCH & EXPERIMENTAL
Journal of International Medical Research Pub Date : 2025-09-01 Epub Date: 2025-09-08 DOI:10.1177/03000605251372459
Yuan Zhang, Hanxue Lv, Congjie Lin, Hua Liu
{"title":"围绝经期妇女子宫附件空化畸形一例报告及文献复习。","authors":"Yuan Zhang, Hanxue Lv, Congjie Lin, Hua Liu","doi":"10.1177/03000605251372459","DOIUrl":null,"url":null,"abstract":"<p><p>Accessory cavitated uterine malformation is a rare congenital anomaly of Müllerian duct development that typically affects younger women of reproductive age. The most common symptoms include chronic cyclic pelvic pain and severe dysmenorrhea, although diagnosis is frequently delayed owing to its rarity, multiple differential diagnoses, and low patient awareness. This report describes the case of a perimenopausal woman with accessory cavitated uterine malformation. The patient exhibited a palpable mass in the right lower abdomen without notable chronic pelvic pain or dysmenorrhea. It was initially misdiagnosed as an adnexal cyst in the right region based on ultrasound imaging, and laparoscopic exploration revealed a mass in the uterine corpus, leading to a revised diagnosis of accessory cavitated uterine malformation, which was confirmed through intraoperative findings and histopathological examination. The postoperative outcomes were favorable. This case underscores the diagnostic challenges of accessory cavitated uterine malformation, given the limited research on its pathogenesis and the absence of distinctive diagnostic markers. Imaging and histopathology are essential for an accurate diagnosis. Surgical intervention, especially laparoscopy, remains the preferred treatment, with excision typically resulting in a favorable postoperative prognosis.</p>","PeriodicalId":16129,"journal":{"name":"Journal of International Medical Research","volume":"53 9","pages":"3000605251372459"},"PeriodicalIF":1.5000,"publicationDate":"2025-09-01","publicationTypes":"Journal Article","fieldsOfStudy":null,"isOpenAccess":false,"openAccessPdf":"https://www.ncbi.nlm.nih.gov/pmc/articles/PMC12417653/pdf/","citationCount":"0","resultStr":"{\"title\":\"Accessory cavitated uterine malformation in a perimenopausal woman: Case report and literature review.\",\"authors\":\"Yuan Zhang, Hanxue Lv, Congjie Lin, Hua Liu\",\"doi\":\"10.1177/03000605251372459\",\"DOIUrl\":null,\"url\":null,\"abstract\":\"<p><p>Accessory cavitated uterine malformation is a rare congenital anomaly of Müllerian duct development that typically affects younger women of reproductive age. The most common symptoms include chronic cyclic pelvic pain and severe dysmenorrhea, although diagnosis is frequently delayed owing to its rarity, multiple differential diagnoses, and low patient awareness. This report describes the case of a perimenopausal woman with accessory cavitated uterine malformation. The patient exhibited a palpable mass in the right lower abdomen without notable chronic pelvic pain or dysmenorrhea. It was initially misdiagnosed as an adnexal cyst in the right region based on ultrasound imaging, and laparoscopic exploration revealed a mass in the uterine corpus, leading to a revised diagnosis of accessory cavitated uterine malformation, which was confirmed through intraoperative findings and histopathological examination. The postoperative outcomes were favorable. This case underscores the diagnostic challenges of accessory cavitated uterine malformation, given the limited research on its pathogenesis and the absence of distinctive diagnostic markers. Imaging and histopathology are essential for an accurate diagnosis. Surgical intervention, especially laparoscopy, remains the preferred treatment, with excision typically resulting in a favorable postoperative prognosis.</p>\",\"PeriodicalId\":16129,\"journal\":{\"name\":\"Journal of International Medical Research\",\"volume\":\"53 9\",\"pages\":\"3000605251372459\"},\"PeriodicalIF\":1.5000,\"publicationDate\":\"2025-09-01\",\"publicationTypes\":\"Journal Article\",\"fieldsOfStudy\":null,\"isOpenAccess\":false,\"openAccessPdf\":\"https://www.ncbi.nlm.nih.gov/pmc/articles/PMC12417653/pdf/\",\"citationCount\":\"0\",\"resultStr\":null,\"platform\":\"Semanticscholar\",\"paperid\":null,\"PeriodicalName\":\"Journal of International Medical Research\",\"FirstCategoryId\":\"3\",\"ListUrlMain\":\"https://doi.org/10.1177/03000605251372459\",\"RegionNum\":4,\"RegionCategory\":\"医学\",\"ArticlePicture\":[],\"TitleCN\":null,\"AbstractTextCN\":null,\"PMCID\":null,\"EPubDate\":\"2025/9/8 0:00:00\",\"PubModel\":\"Epub\",\"JCR\":\"Q4\",\"JCRName\":\"MEDICINE, RESEARCH & EXPERIMENTAL\",\"Score\":null,\"Total\":0}","platform":"Semanticscholar","paperid":null,"PeriodicalName":"Journal of International Medical Research","FirstCategoryId":"3","ListUrlMain":"https://doi.org/10.1177/03000605251372459","RegionNum":4,"RegionCategory":"医学","ArticlePicture":[],"TitleCN":null,"AbstractTextCN":null,"PMCID":null,"EPubDate":"2025/9/8 0:00:00","PubModel":"Epub","JCR":"Q4","JCRName":"MEDICINE, RESEARCH & EXPERIMENTAL","Score":null,"Total":0}
引用次数: 0

摘要

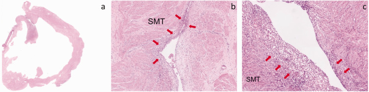
副空腔性子宫畸形是一种罕见的先天性勒氏管发育异常,通常影响年轻育龄妇女。最常见的症状包括慢性周期性骨盆疼痛和严重痛经,但由于其罕见、多次鉴别诊断和患者认知度低,诊断经常被延误。本报告描述的情况下,围绝经期妇女辅助空腔子宫畸形。患者右下腹可触及肿块,无明显的慢性盆腔疼痛或痛经。超声影像初步误诊为右侧附件囊肿,腹腔镜探查发现子宫体内肿块,修改诊断为附件空化子宫畸形,经术中表现及组织病理学检查证实。术后结果良好。鉴于对其发病机制的研究有限且缺乏独特的诊断标志物,本病例强调了附件空化子宫畸形的诊断挑战。影像学和组织病理学对准确诊断至关重要。手术干预,特别是腹腔镜手术,仍然是首选的治疗方法,手术切除通常会导致良好的术后预后。
本文章由计算机程序翻译,如有差异,请以英文原文为准。

Accessory cavitated uterine malformation in a perimenopausal woman: Case report and literature review.

Accessory cavitated uterine malformation in a perimenopausal woman: Case report and literature review.

Accessory cavitated uterine malformation in a perimenopausal woman: Case report and literature review.

Accessory cavitated uterine malformation in a perimenopausal woman: Case report and literature review.

Accessory cavitated uterine malformation is a rare congenital anomaly of Müllerian duct development that typically affects younger women of reproductive age. The most common symptoms include chronic cyclic pelvic pain and severe dysmenorrhea, although diagnosis is frequently delayed owing to its rarity, multiple differential diagnoses, and low patient awareness. This report describes the case of a perimenopausal woman with accessory cavitated uterine malformation. The patient exhibited a palpable mass in the right lower abdomen without notable chronic pelvic pain or dysmenorrhea. It was initially misdiagnosed as an adnexal cyst in the right region based on ultrasound imaging, and laparoscopic exploration revealed a mass in the uterine corpus, leading to a revised diagnosis of accessory cavitated uterine malformation, which was confirmed through intraoperative findings and histopathological examination. The postoperative outcomes were favorable. This case underscores the diagnostic challenges of accessory cavitated uterine malformation, given the limited research on its pathogenesis and the absence of distinctive diagnostic markers. Imaging and histopathology are essential for an accurate diagnosis. Surgical intervention, especially laparoscopy, remains the preferred treatment, with excision typically resulting in a favorable postoperative prognosis.

求助全文
通过发布文献求助,成功后即可免费获取论文全文。 去求助
来源期刊
CiteScore
3.20
自引率
0.00%
发文量
555
审稿时长
1 months
期刊介绍: _Journal of International Medical Research_ is a leading international journal for rapid publication of original medical, pre-clinical and clinical research, reviews, preliminary and pilot studies on a page charge basis. As a service to authors, every article accepted by peer review will be given a full technical edit to make papers as accessible and readable to the international medical community as rapidly as possible. Once the technical edit queries have been answered to the satisfaction of the journal, the paper will be published and made available freely to everyone under a creative commons licence. Symposium proceedings, summaries of presentations or collections of medical, pre-clinical or clinical data on a specific topic are welcome for publication as supplements. Print ISSN: 0300-0605
×
引用
GB/T 7714-2015
复制
MLA
复制
APA
复制
导出至
BibTeX EndNote RefMan NoteFirst NoteExpress
×
提示
您的信息不完整,为了账户安全,请先补充。
现在去补充
×
提示
您因"违规操作"
具体请查看互助需知
我知道了
×
提示
确定
请完成安全验证×
copy
已复制链接
快去分享给好友吧!
我知道了
右上角分享
点击右上角分享
0
联系我们:info@booksci.cn Book学术提供免费学术资源搜索服务,方便国内外学者检索中英文文献。致力于提供最便捷和优质的服务体验。 Copyright © 2023 布克学术 All rights reserved.
京ICP备2023020795号-1
ghs 京公网安备 11010802042870号
Book学术文献互助
Book学术文献互助群
群 号:604180095
Book学术官方微信