肝硬化患者乳糜胸膜及腹膜积液的处理:1例报告及文献复习。

IF 1.5 4区 医学 Q4 MEDICINE, RESEARCH & EXPERIMENTAL
Journal of International Medical Research Pub Date : 2025-09-01 Epub Date: 2025-09-08 DOI:10.1177/03000605251371631
Xuegui Ju, Yaguang Li
{"title":"肝硬化患者乳糜胸膜及腹膜积液的处理:1例报告及文献复习。","authors":"Xuegui Ju, Yaguang Li","doi":"10.1177/03000605251371631","DOIUrl":null,"url":null,"abstract":"<p><p>This case report details the management of a patient with cirrhosis who developed chylous pleural and peritoneal effusions. The patient, with a 28-year history of untreated hepatitis B, presented with dyspnea and cough after traveling to a high-altitude area. Imaging and laboratory tests confirmed the presence of chylous effusions. Treatment included thoracentesis, paracentesis, antibiotics, somatostatin analogs, and supportive care. The patient showed significant improvement and was discharged with no recurrence at follow-up. This case highlights the importance of early diagnosis and conservative management of chylous effusions in cirrhosis, emphasizing the potential role of somatostatin analogs in reducing effusion formation and promoting lymphatic healing.</p>","PeriodicalId":16129,"journal":{"name":"Journal of International Medical Research","volume":"53 9","pages":"3000605251371631"},"PeriodicalIF":1.5000,"publicationDate":"2025-09-01","publicationTypes":"Journal Article","fieldsOfStudy":null,"isOpenAccess":false,"openAccessPdf":"https://www.ncbi.nlm.nih.gov/pmc/articles/PMC12417640/pdf/","citationCount":"0","resultStr":"{\"title\":\"Management of chylous pleural and peritoneal effusions in a cirrhotic patient: A case report and review of literature.\",\"authors\":\"Xuegui Ju, Yaguang Li\",\"doi\":\"10.1177/03000605251371631\",\"DOIUrl\":null,\"url\":null,\"abstract\":\"<p><p>This case report details the management of a patient with cirrhosis who developed chylous pleural and peritoneal effusions. The patient, with a 28-year history of untreated hepatitis B, presented with dyspnea and cough after traveling to a high-altitude area. Imaging and laboratory tests confirmed the presence of chylous effusions. Treatment included thoracentesis, paracentesis, antibiotics, somatostatin analogs, and supportive care. The patient showed significant improvement and was discharged with no recurrence at follow-up. This case highlights the importance of early diagnosis and conservative management of chylous effusions in cirrhosis, emphasizing the potential role of somatostatin analogs in reducing effusion formation and promoting lymphatic healing.</p>\",\"PeriodicalId\":16129,\"journal\":{\"name\":\"Journal of International Medical Research\",\"volume\":\"53 9\",\"pages\":\"3000605251371631\"},\"PeriodicalIF\":1.5000,\"publicationDate\":\"2025-09-01\",\"publicationTypes\":\"Journal Article\",\"fieldsOfStudy\":null,\"isOpenAccess\":false,\"openAccessPdf\":\"https://www.ncbi.nlm.nih.gov/pmc/articles/PMC12417640/pdf/\",\"citationCount\":\"0\",\"resultStr\":null,\"platform\":\"Semanticscholar\",\"paperid\":null,\"PeriodicalName\":\"Journal of International Medical Research\",\"FirstCategoryId\":\"3\",\"ListUrlMain\":\"https://doi.org/10.1177/03000605251371631\",\"RegionNum\":4,\"RegionCategory\":\"医学\",\"ArticlePicture\":[],\"TitleCN\":null,\"AbstractTextCN\":null,\"PMCID\":null,\"EPubDate\":\"2025/9/8 0:00:00\",\"PubModel\":\"Epub\",\"JCR\":\"Q4\",\"JCRName\":\"MEDICINE, RESEARCH & EXPERIMENTAL\",\"Score\":null,\"Total\":0}","platform":"Semanticscholar","paperid":null,"PeriodicalName":"Journal of International Medical Research","FirstCategoryId":"3","ListUrlMain":"https://doi.org/10.1177/03000605251371631","RegionNum":4,"RegionCategory":"医学","ArticlePicture":[],"TitleCN":null,"AbstractTextCN":null,"PMCID":null,"EPubDate":"2025/9/8 0:00:00","PubModel":"Epub","JCR":"Q4","JCRName":"MEDICINE, RESEARCH & EXPERIMENTAL","Score":null,"Total":0}
引用次数: 0

摘要

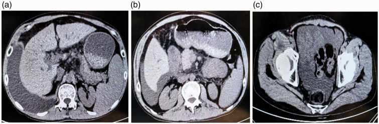
本病例报告详细介绍了肝硬化患者乳糜胸膜和腹膜积液的处理。患者有28年未经治疗的乙肝病史,到高海拔地区旅行后出现呼吸困难和咳嗽。影像学和实验室检查证实有乳糜积液。治疗包括胸腔穿刺、穿刺、抗生素、生长抑素类似物和支持性护理。患者病情明显好转,出院后随访无复发。本病例强调了肝硬化乳糜积液的早期诊断和保守治疗的重要性,强调了生长抑素类似物在减少积液形成和促进淋巴愈合方面的潜在作用。
本文章由计算机程序翻译,如有差异,请以英文原文为准。

Management of chylous pleural and peritoneal effusions in a cirrhotic patient: A case report and review of literature.

Management of chylous pleural and peritoneal effusions in a cirrhotic patient: A case report and review of literature.

Management of chylous pleural and peritoneal effusions in a cirrhotic patient: A case report and review of literature.

Management of chylous pleural and peritoneal effusions in a cirrhotic patient: A case report and review of literature.

This case report details the management of a patient with cirrhosis who developed chylous pleural and peritoneal effusions. The patient, with a 28-year history of untreated hepatitis B, presented with dyspnea and cough after traveling to a high-altitude area. Imaging and laboratory tests confirmed the presence of chylous effusions. Treatment included thoracentesis, paracentesis, antibiotics, somatostatin analogs, and supportive care. The patient showed significant improvement and was discharged with no recurrence at follow-up. This case highlights the importance of early diagnosis and conservative management of chylous effusions in cirrhosis, emphasizing the potential role of somatostatin analogs in reducing effusion formation and promoting lymphatic healing.

求助全文
通过发布文献求助,成功后即可免费获取论文全文。 去求助
来源期刊
CiteScore
3.20
自引率
0.00%
发文量
555
审稿时长
1 months
期刊介绍: _Journal of International Medical Research_ is a leading international journal for rapid publication of original medical, pre-clinical and clinical research, reviews, preliminary and pilot studies on a page charge basis. As a service to authors, every article accepted by peer review will be given a full technical edit to make papers as accessible and readable to the international medical community as rapidly as possible. Once the technical edit queries have been answered to the satisfaction of the journal, the paper will be published and made available freely to everyone under a creative commons licence. Symposium proceedings, summaries of presentations or collections of medical, pre-clinical or clinical data on a specific topic are welcome for publication as supplements. Print ISSN: 0300-0605
×
引用
GB/T 7714-2015
复制
MLA
复制
APA
复制
导出至
BibTeX EndNote RefMan NoteFirst NoteExpress
×
提示
您的信息不完整,为了账户安全,请先补充。
现在去补充
×
提示
您因"违规操作"
具体请查看互助需知
我知道了
×
提示
确定
请完成安全验证×
copy
已复制链接
快去分享给好友吧!
我知道了
右上角分享
点击右上角分享
0
联系我们:info@booksci.cn Book学术提供免费学术资源搜索服务,方便国内外学者检索中英文文献。致力于提供最便捷和优质的服务体验。 Copyright © 2023 布克学术 All rights reserved.
京ICP备2023020795号-1
ghs 京公网安备 11010802042870号
Book学术文献互助
Book学术文献互助群
群 号:604180095
Book学术官方微信