布加替尼治疗患者单侧囊性和大泡性肺改变:一例报告。

Korean journal of clinical oncology Pub Date : 2025-08-01 Epub Date: 2025-08-31 DOI:10.14216/kjco.25332
Anuradha Nalika Godallage, Pradeesh Sivapalan, Vladmira Horvat, Simon Trøster, Shailesh Kolekar
{"title":"布加替尼治疗患者单侧囊性和大泡性肺改变:一例报告。","authors":"Anuradha Nalika Godallage, Pradeesh Sivapalan, Vladmira Horvat, Simon Trøster, Shailesh Kolekar","doi":"10.14216/kjco.25332","DOIUrl":null,"url":null,"abstract":"<p><p>Approximately 3% to 5% of individuals with oncogenic rearrangements in the anaplastic lymphoma kinase (ALK) gene develop non-small cell lung cancer (NSCLC). Brigatinib, a potent next-generation ALK tyrosine kinase inhibitor (TKI), has demonstrated significant systemic and intracranial responses, as well as improved progression-free survival, with an acceptable safety profile. According to European Society for Medical Oncology guidelines patients with ALK translocation and performance status 0-3 can be offered 1st line treatment with TKI (brigatinib, alectinib, or lorlatinib). To our knowledge, this is the first reported case of cystic or bullous changes in the lungs following incremental dosing of brigatinib. Here, we describe a 37-year-old male, a never-smoker, who developed progressively diffuse cystic changes in the lung parenchyma while receiving brigatinib treatment for NSCLC with intrapulmonary metastases. Clinicians should remain vigilant for this potential atypical pulmonary adverse effect, including the possibility of cystic or bullous transformations in the lung parenchyma.</p>","PeriodicalId":74045,"journal":{"name":"Korean journal of clinical oncology","volume":"21 2","pages":"105-108"},"PeriodicalIF":0.0000,"publicationDate":"2025-08-01","publicationTypes":"Journal Article","fieldsOfStudy":null,"isOpenAccess":false,"openAccessPdf":"https://www.ncbi.nlm.nih.gov/pmc/articles/PMC12415422/pdf/","citationCount":"0","resultStr":"{\"title\":\"Unilateral cystic and bullous lung changes in a patient treated with brigatinib: a case report.\",\"authors\":\"Anuradha Nalika Godallage, Pradeesh Sivapalan, Vladmira Horvat, Simon Trøster, Shailesh Kolekar\",\"doi\":\"10.14216/kjco.25332\",\"DOIUrl\":null,\"url\":null,\"abstract\":\"<p><p>Approximately 3% to 5% of individuals with oncogenic rearrangements in the anaplastic lymphoma kinase (ALK) gene develop non-small cell lung cancer (NSCLC). Brigatinib, a potent next-generation ALK tyrosine kinase inhibitor (TKI), has demonstrated significant systemic and intracranial responses, as well as improved progression-free survival, with an acceptable safety profile. According to European Society for Medical Oncology guidelines patients with ALK translocation and performance status 0-3 can be offered 1st line treatment with TKI (brigatinib, alectinib, or lorlatinib). To our knowledge, this is the first reported case of cystic or bullous changes in the lungs following incremental dosing of brigatinib. Here, we describe a 37-year-old male, a never-smoker, who developed progressively diffuse cystic changes in the lung parenchyma while receiving brigatinib treatment for NSCLC with intrapulmonary metastases. Clinicians should remain vigilant for this potential atypical pulmonary adverse effect, including the possibility of cystic or bullous transformations in the lung parenchyma.</p>\",\"PeriodicalId\":74045,\"journal\":{\"name\":\"Korean journal of clinical oncology\",\"volume\":\"21 2\",\"pages\":\"105-108\"},\"PeriodicalIF\":0.0000,\"publicationDate\":\"2025-08-01\",\"publicationTypes\":\"Journal Article\",\"fieldsOfStudy\":null,\"isOpenAccess\":false,\"openAccessPdf\":\"https://www.ncbi.nlm.nih.gov/pmc/articles/PMC12415422/pdf/\",\"citationCount\":\"0\",\"resultStr\":null,\"platform\":\"Semanticscholar\",\"paperid\":null,\"PeriodicalName\":\"Korean journal of clinical oncology\",\"FirstCategoryId\":\"1085\",\"ListUrlMain\":\"https://doi.org/10.14216/kjco.25332\",\"RegionNum\":0,\"RegionCategory\":null,\"ArticlePicture\":[],\"TitleCN\":null,\"AbstractTextCN\":null,\"PMCID\":null,\"EPubDate\":\"2025/8/31 0:00:00\",\"PubModel\":\"Epub\",\"JCR\":\"\",\"JCRName\":\"\",\"Score\":null,\"Total\":0}","platform":"Semanticscholar","paperid":null,"PeriodicalName":"Korean journal of clinical oncology","FirstCategoryId":"1085","ListUrlMain":"https://doi.org/10.14216/kjco.25332","RegionNum":0,"RegionCategory":null,"ArticlePicture":[],"TitleCN":null,"AbstractTextCN":null,"PMCID":null,"EPubDate":"2025/8/31 0:00:00","PubModel":"Epub","JCR":"","JCRName":"","Score":null,"Total":0}
引用次数: 0

摘要

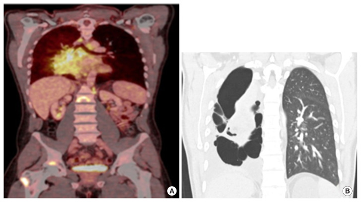
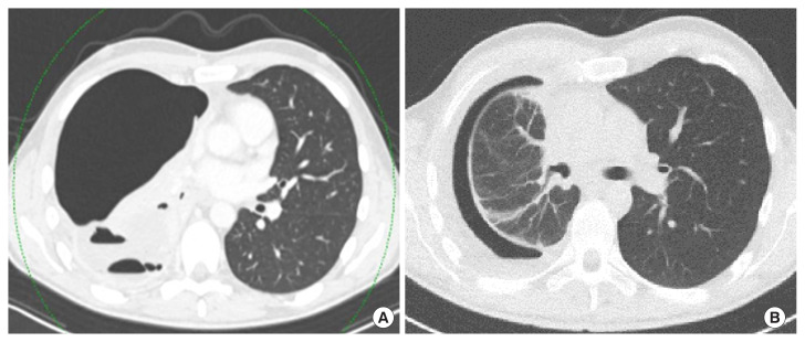
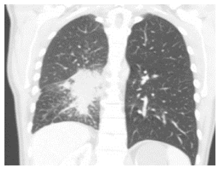
约3%至5%的间变性淋巴瘤激酶(ALK)基因发生致癌重排的个体发展为非小细胞肺癌(NSCLC)。Brigatinib是一种有效的下一代ALK酪氨酸激酶抑制剂(TKI),已显示出显着的全身和颅内反应,以及改善的无进展生存期,具有可接受的安全性。根据欧洲肿瘤医学学会指南,ALK易位和性能状态为0-3的患者可以接受TKI(布加替尼、阿勒替尼或氯拉替尼)一线治疗。据我们所知,这是第一例布加替尼增加剂量后肺部出现囊性或大泡性变化的报道。在这里,我们描述了一个37岁的男性,从不吸烟,在接受布加替尼治疗肺内转移的非小细胞肺癌时,肺实质出现渐进性弥漫性囊性改变。临床医生应该对这种潜在的非典型肺不良反应保持警惕,包括肺实质囊性或大泡性转化的可能性。
本文章由计算机程序翻译,如有差异,请以英文原文为准。

Unilateral cystic and bullous lung changes in a patient treated with brigatinib: a case report.

Unilateral cystic and bullous lung changes in a patient treated with brigatinib: a case report.

Unilateral cystic and bullous lung changes in a patient treated with brigatinib: a case report.

Unilateral cystic and bullous lung changes in a patient treated with brigatinib: a case report.

Approximately 3% to 5% of individuals with oncogenic rearrangements in the anaplastic lymphoma kinase (ALK) gene develop non-small cell lung cancer (NSCLC). Brigatinib, a potent next-generation ALK tyrosine kinase inhibitor (TKI), has demonstrated significant systemic and intracranial responses, as well as improved progression-free survival, with an acceptable safety profile. According to European Society for Medical Oncology guidelines patients with ALK translocation and performance status 0-3 can be offered 1st line treatment with TKI (brigatinib, alectinib, or lorlatinib). To our knowledge, this is the first reported case of cystic or bullous changes in the lungs following incremental dosing of brigatinib. Here, we describe a 37-year-old male, a never-smoker, who developed progressively diffuse cystic changes in the lung parenchyma while receiving brigatinib treatment for NSCLC with intrapulmonary metastases. Clinicians should remain vigilant for this potential atypical pulmonary adverse effect, including the possibility of cystic or bullous transformations in the lung parenchyma.

求助全文
通过发布文献求助,成功后即可免费获取论文全文。 去求助
来源期刊
自引率
0.00%
发文量
0
×
引用
GB/T 7714-2015
复制
MLA
复制
APA
复制
导出至
BibTeX EndNote RefMan NoteFirst NoteExpress
×
提示
您的信息不完整,为了账户安全,请先补充。
现在去补充
×
提示
您因"违规操作"
具体请查看互助需知
我知道了
×
提示
确定
请完成安全验证×
copy
已复制链接
快去分享给好友吧!
我知道了
右上角分享
点击右上角分享
0
联系我们:info@booksci.cn Book学术提供免费学术资源搜索服务,方便国内外学者检索中英文文献。致力于提供最便捷和优质的服务体验。 Copyright © 2023 布克学术 All rights reserved.
京ICP备2023020795号-1
ghs 京公网安备 11010802042870号
Book学术文献互助
Book学术文献互助群
群 号:604180095
Book学术官方微信