青少年morel - lavallsamade病变:一个在非典型位置诊断和管理的挑战病例报告。

IF 0.7 Q3 MEDICINE, GENERAL & INTERNAL
Brendon C Chou, Jason M Reiter, Myron M Georgei, Peter C Wei, Mariam W Fahim
{"title":"青少年morel - lavallsamade病变:一个在非典型位置诊断和管理的挑战病例报告。","authors":"Brendon C Chou, Jason M Reiter, Myron M Georgei, Peter C Wei, Mariam W Fahim","doi":"10.12659/AJCR.948545","DOIUrl":null,"url":null,"abstract":"<p><p>BACKGROUND Morel-Lavallee lesions (MLLs) are uncommon, closed soft-tissue degloving injuries caused by high-energy trauma that are often missed due to their rarity and delayed presentation, resulting in serious complications. MLLs are particularly missed and underreported in pediatric and adolescent patients. We describe the case of an adolescent MLL occurring in an atypical lesion site at the calf to increase awareness of this diagnosis and associated presentation in this patient group, which can differ from adult presentation and contribute to diagnostic uncertainty that consequently impacts clinical decision-making. CASE REPORT An 18-year-old male presented with pain and worsening swelling in the right lateral calf after sliding into a wall while playing basketball. Magnetic resonance imaging (MRI) demonstrated a fluid collection initially suspected to be a hematoma. Following failed conservative management, a multidisciplinary collaborative approach confirmed a MLL diagnosis and drained the lesion via ultrasound-guided aspiration. While the patient has resumed all normal physical activities, residual swelling and deformity remain under surveillance. CONCLUSIONS Our case highlights the diagnostic and treatment challenges associated with an atypical clinical presentation of a MLL in an adolescent patient with a sports injury to the calf, highlighting the role of imaging and multidisciplinary consultation in timely intervention. Consistent with the limited existing literature on MLLs, early minimally invasive ultrasound-guided aspiration may be beneficial to guide subsequent treatment, but further study and consensus via establishment of standardized pediatric and adolescent management guidelines are necessary to achieve optimal clinical outcomes for this vulnerable patient population.</p>","PeriodicalId":39064,"journal":{"name":"American Journal of Case Reports","volume":"26 ","pages":"e948545"},"PeriodicalIF":0.7000,"publicationDate":"2025-09-08","publicationTypes":"Journal Article","fieldsOfStudy":null,"isOpenAccess":false,"openAccessPdf":"https://www.ncbi.nlm.nih.gov/pmc/articles/PMC12427591/pdf/","citationCount":"0","resultStr":"{\"title\":\"Adolescent Morel-Lavallée Lesions: A Case Report of Challenges in Diagnosis and Management in Atypical Locations.\",\"authors\":\"Brendon C Chou, Jason M Reiter, Myron M Georgei, Peter C Wei, Mariam W Fahim\",\"doi\":\"10.12659/AJCR.948545\",\"DOIUrl\":null,\"url\":null,\"abstract\":\"<p><p>BACKGROUND Morel-Lavallee lesions (MLLs) are uncommon, closed soft-tissue degloving injuries caused by high-energy trauma that are often missed due to their rarity and delayed presentation, resulting in serious complications. MLLs are particularly missed and underreported in pediatric and adolescent patients. We describe the case of an adolescent MLL occurring in an atypical lesion site at the calf to increase awareness of this diagnosis and associated presentation in this patient group, which can differ from adult presentation and contribute to diagnostic uncertainty that consequently impacts clinical decision-making. CASE REPORT An 18-year-old male presented with pain and worsening swelling in the right lateral calf after sliding into a wall while playing basketball. Magnetic resonance imaging (MRI) demonstrated a fluid collection initially suspected to be a hematoma. Following failed conservative management, a multidisciplinary collaborative approach confirmed a MLL diagnosis and drained the lesion via ultrasound-guided aspiration. While the patient has resumed all normal physical activities, residual swelling and deformity remain under surveillance. CONCLUSIONS Our case highlights the diagnostic and treatment challenges associated with an atypical clinical presentation of a MLL in an adolescent patient with a sports injury to the calf, highlighting the role of imaging and multidisciplinary consultation in timely intervention. Consistent with the limited existing literature on MLLs, early minimally invasive ultrasound-guided aspiration may be beneficial to guide subsequent treatment, but further study and consensus via establishment of standardized pediatric and adolescent management guidelines are necessary to achieve optimal clinical outcomes for this vulnerable patient population.</p>\",\"PeriodicalId\":39064,\"journal\":{\"name\":\"American Journal of Case Reports\",\"volume\":\"26 \",\"pages\":\"e948545\"},\"PeriodicalIF\":0.7000,\"publicationDate\":\"2025-09-08\",\"publicationTypes\":\"Journal Article\",\"fieldsOfStudy\":null,\"isOpenAccess\":false,\"openAccessPdf\":\"https://www.ncbi.nlm.nih.gov/pmc/articles/PMC12427591/pdf/\",\"citationCount\":\"0\",\"resultStr\":null,\"platform\":\"Semanticscholar\",\"paperid\":null,\"PeriodicalName\":\"American Journal of Case Reports\",\"FirstCategoryId\":\"1085\",\"ListUrlMain\":\"https://doi.org/10.12659/AJCR.948545\",\"RegionNum\":0,\"RegionCategory\":null,\"ArticlePicture\":[],\"TitleCN\":null,\"AbstractTextCN\":null,\"PMCID\":null,\"EPubDate\":\"\",\"PubModel\":\"\",\"JCR\":\"Q3\",\"JCRName\":\"MEDICINE, GENERAL & INTERNAL\",\"Score\":null,\"Total\":0}","platform":"Semanticscholar","paperid":null,"PeriodicalName":"American Journal of Case Reports","FirstCategoryId":"1085","ListUrlMain":"https://doi.org/10.12659/AJCR.948545","RegionNum":0,"RegionCategory":null,"ArticlePicture":[],"TitleCN":null,"AbstractTextCN":null,"PMCID":null,"EPubDate":"","PubModel":"","JCR":"Q3","JCRName":"MEDICINE, GENERAL & INTERNAL","Score":null,"Total":0}
引用次数: 0

摘要

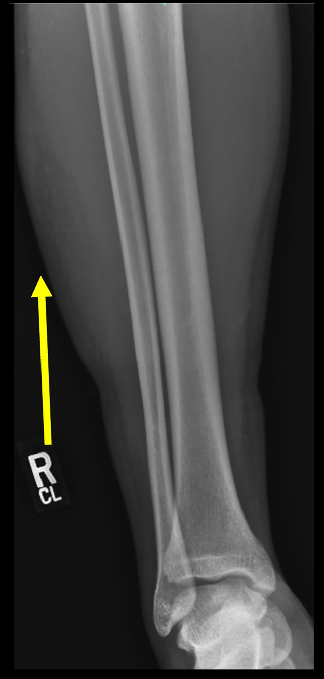
Morel-Lavallee病变(mls)是一种罕见的由高能外伤引起的闭合性软组织脱手套损伤,由于其罕见性和延迟表现而经常被遗漏,导致严重的并发症。在儿童和青少年患者中,mls尤其被遗漏和少报。我们描述了发生在小腿非典型病变部位的青少年MLL病例,以提高对该患者组的诊断和相关表现的认识,这可能不同于成人的表现,并导致诊断的不确定性,从而影响临床决策。病例报告一名18岁男性,在打篮球时滑到墙上,右外侧小腿出现疼痛和日益加重的肿胀。磁共振成像(MRI)显示液体收集最初怀疑是血肿。保守治疗失败后,多学科合作方法确认了MLL诊断,并通过超声引导下的抽吸引流病变。虽然患者已恢复所有正常的身体活动,但仍需对残余的肿胀和畸形进行监测。结论:我们的病例强调了诊断和治疗的挑战与非典型临床表现的MLL的青少年患者与运动损伤的小腿,突出的作用,影像学和多学科咨询在及时干预。与现有有限的mls文献一致,早期微创超声引导下的抽吸可能有利于指导后续治疗,但需要通过建立标准化的儿童和青少年管理指南来进一步研究和达成共识,以实现这一弱势患者群体的最佳临床结果。
本文章由计算机程序翻译,如有差异,请以英文原文为准。

Adolescent Morel-Lavallée Lesions: A Case Report of Challenges in Diagnosis and Management in Atypical Locations.

Adolescent Morel-Lavallée Lesions: A Case Report of Challenges in Diagnosis and Management in Atypical Locations.

Adolescent Morel-Lavallée Lesions: A Case Report of Challenges in Diagnosis and Management in Atypical Locations.

Adolescent Morel-Lavallée Lesions: A Case Report of Challenges in Diagnosis and Management in Atypical Locations.

BACKGROUND Morel-Lavallee lesions (MLLs) are uncommon, closed soft-tissue degloving injuries caused by high-energy trauma that are often missed due to their rarity and delayed presentation, resulting in serious complications. MLLs are particularly missed and underreported in pediatric and adolescent patients. We describe the case of an adolescent MLL occurring in an atypical lesion site at the calf to increase awareness of this diagnosis and associated presentation in this patient group, which can differ from adult presentation and contribute to diagnostic uncertainty that consequently impacts clinical decision-making. CASE REPORT An 18-year-old male presented with pain and worsening swelling in the right lateral calf after sliding into a wall while playing basketball. Magnetic resonance imaging (MRI) demonstrated a fluid collection initially suspected to be a hematoma. Following failed conservative management, a multidisciplinary collaborative approach confirmed a MLL diagnosis and drained the lesion via ultrasound-guided aspiration. While the patient has resumed all normal physical activities, residual swelling and deformity remain under surveillance. CONCLUSIONS Our case highlights the diagnostic and treatment challenges associated with an atypical clinical presentation of a MLL in an adolescent patient with a sports injury to the calf, highlighting the role of imaging and multidisciplinary consultation in timely intervention. Consistent with the limited existing literature on MLLs, early minimally invasive ultrasound-guided aspiration may be beneficial to guide subsequent treatment, but further study and consensus via establishment of standardized pediatric and adolescent management guidelines are necessary to achieve optimal clinical outcomes for this vulnerable patient population.

求助全文
通过发布文献求助,成功后即可免费获取论文全文。 去求助
来源期刊
American Journal of Case Reports
American Journal of Case Reports Medicine-Medicine (all)
CiteScore
1.80
自引率
0.00%
发文量
599
期刊介绍: American Journal of Case Reports is an international, peer-reviewed scientific journal that publishes single and series case reports in all medical fields. American Journal of Case Reports is issued on a continuous basis as a primary electronic journal. Print copies of a single article or a set of articles can be ordered on demand.
×
引用
GB/T 7714-2015
复制
MLA
复制
APA
复制
导出至
BibTeX EndNote RefMan NoteFirst NoteExpress
×
提示
您的信息不完整,为了账户安全,请先补充。
现在去补充
×
提示
您因"违规操作"
具体请查看互助需知
我知道了
×
提示
确定
请完成安全验证×
copy
已复制链接
快去分享给好友吧!
我知道了
右上角分享
点击右上角分享
0
联系我们:info@booksci.cn Book学术提供免费学术资源搜索服务,方便国内外学者检索中英文文献。致力于提供最便捷和优质的服务体验。 Copyright © 2023 布克学术 All rights reserved.
京ICP备2023020795号-1
ghs 京公网安备 11010802042870号
Book学术文献互助
Book学术文献互助群
群 号:604180095
Book学术官方微信