青少年特发性脊柱侧凸的影像学报告:放射科医生的报告和外科医生的评估是否存在差异?

IF 2 4区 医学 Q2 PEDIATRICS
Paediatrics & child health Pub Date : 2025-02-25 eCollection Date: 2025-08-01 DOI:10.1093/pch/pxae113
Kara Sidhu, Marina Rosa Filezio, Vishwajeet Singh, Manjot Birk, David Parsons
{"title":"青少年特发性脊柱侧凸的影像学报告:放射科医生的报告和外科医生的评估是否存在差异?","authors":"Kara Sidhu, Marina Rosa Filezio, Vishwajeet Singh, Manjot Birk, David Parsons","doi":"10.1093/pch/pxae113","DOIUrl":null,"url":null,"abstract":"<p><strong>Objectives: </strong>Cobb angle is a standard method for quantification of scoliosis in adolescent idiopathic scoliosis to guide treatment decisions. Precise and timely curve detection can ensure early referrals, amenable for bracing. Radiology reports serve as a guiding tool for family physicians to expedite specialist referrals. Therefore, accurate and reliable measurement of Cobb angle at the community level is crucial. This retrospective study investigated the agreement in Cobb angle measurement between radiologists and spine surgeons.</p><p><strong>Methods: </strong>Eighty radiographic reports (Cobb angle, Risser stage, and end vertebrae selection) completed by radiologists and spine surgeons were compared. To assess interrater reliability, interclass correlation coefficients (ICC) with 95% confidence intervals (CIs) were computed. ICC < 0.70, 0.70 to 0.79, 0.80 to 89, and 0.9 to 0.99 were considered poor, fair, good, and excellent reliability, respectively. All radiographs were assessed for quality.</p><p><strong>Results: </strong>The agreement between spine surgeons and radiologists was poor (ICC = 0.65, 95% CI: 0.13 to 0.97). The agreement between spine surgeons and community radiologists was poor (ICC = 0.45, 95% CI: 0.17 to 0.66). Risser stage was not reported in 56 of the 80 reports. ICC between spine surgeons and radiologists for the Risser stage was poor (ICC = 0.625, 95% CI: 0.325 to 0.794). For end vertebrae identification, there was absolute agreement of end vertebrae identification in 23 of the 80 scans.</p><p><strong>Conclusions: </strong>This study demonstrated a significant disagreement in scoliosis measurement between radiologists and spine surgeons, which significantly impacts appropriateness of referrals. Methods to improve triaging using allied health professional (i.e., nurse practitioners) may help ensure that patients presenting with scoliosis are referred in a timely manner.</p>","PeriodicalId":19730,"journal":{"name":"Paediatrics & child health","volume":"30 5","pages":"390-394"},"PeriodicalIF":2.0000,"publicationDate":"2025-02-25","publicationTypes":"Journal Article","fieldsOfStudy":null,"isOpenAccess":false,"openAccessPdf":"https://www.ncbi.nlm.nih.gov/pmc/articles/PMC12408468/pdf/","citationCount":"0","resultStr":"{\"title\":\"Radiographic reporting in adolescent idiopathic scoliosis: Is there a discrepancy comparing radiologists' reports and surgeons' assessments?\",\"authors\":\"Kara Sidhu, Marina Rosa Filezio, Vishwajeet Singh, Manjot Birk, David Parsons\",\"doi\":\"10.1093/pch/pxae113\",\"DOIUrl\":null,\"url\":null,\"abstract\":\"<p><strong>Objectives: </strong>Cobb angle is a standard method for quantification of scoliosis in adolescent idiopathic scoliosis to guide treatment decisions. Precise and timely curve detection can ensure early referrals, amenable for bracing. Radiology reports serve as a guiding tool for family physicians to expedite specialist referrals. Therefore, accurate and reliable measurement of Cobb angle at the community level is crucial. This retrospective study investigated the agreement in Cobb angle measurement between radiologists and spine surgeons.</p><p><strong>Methods: </strong>Eighty radiographic reports (Cobb angle, Risser stage, and end vertebrae selection) completed by radiologists and spine surgeons were compared. To assess interrater reliability, interclass correlation coefficients (ICC) with 95% confidence intervals (CIs) were computed. ICC < 0.70, 0.70 to 0.79, 0.80 to 89, and 0.9 to 0.99 were considered poor, fair, good, and excellent reliability, respectively. All radiographs were assessed for quality.</p><p><strong>Results: </strong>The agreement between spine surgeons and radiologists was poor (ICC = 0.65, 95% CI: 0.13 to 0.97). The agreement between spine surgeons and community radiologists was poor (ICC = 0.45, 95% CI: 0.17 to 0.66). Risser stage was not reported in 56 of the 80 reports. ICC between spine surgeons and radiologists for the Risser stage was poor (ICC = 0.625, 95% CI: 0.325 to 0.794). For end vertebrae identification, there was absolute agreement of end vertebrae identification in 23 of the 80 scans.</p><p><strong>Conclusions: </strong>This study demonstrated a significant disagreement in scoliosis measurement between radiologists and spine surgeons, which significantly impacts appropriateness of referrals. Methods to improve triaging using allied health professional (i.e., nurse practitioners) may help ensure that patients presenting with scoliosis are referred in a timely manner.</p>\",\"PeriodicalId\":19730,\"journal\":{\"name\":\"Paediatrics & child health\",\"volume\":\"30 5\",\"pages\":\"390-394\"},\"PeriodicalIF\":2.0000,\"publicationDate\":\"2025-02-25\",\"publicationTypes\":\"Journal Article\",\"fieldsOfStudy\":null,\"isOpenAccess\":false,\"openAccessPdf\":\"https://www.ncbi.nlm.nih.gov/pmc/articles/PMC12408468/pdf/\",\"citationCount\":\"0\",\"resultStr\":null,\"platform\":\"Semanticscholar\",\"paperid\":null,\"PeriodicalName\":\"Paediatrics & child health\",\"FirstCategoryId\":\"3\",\"ListUrlMain\":\"https://doi.org/10.1093/pch/pxae113\",\"RegionNum\":4,\"RegionCategory\":\"医学\",\"ArticlePicture\":[],\"TitleCN\":null,\"AbstractTextCN\":null,\"PMCID\":null,\"EPubDate\":\"2025/8/1 0:00:00\",\"PubModel\":\"eCollection\",\"JCR\":\"Q2\",\"JCRName\":\"PEDIATRICS\",\"Score\":null,\"Total\":0}","platform":"Semanticscholar","paperid":null,"PeriodicalName":"Paediatrics & child health","FirstCategoryId":"3","ListUrlMain":"https://doi.org/10.1093/pch/pxae113","RegionNum":4,"RegionCategory":"医学","ArticlePicture":[],"TitleCN":null,"AbstractTextCN":null,"PMCID":null,"EPubDate":"2025/8/1 0:00:00","PubModel":"eCollection","JCR":"Q2","JCRName":"PEDIATRICS","Score":null,"Total":0}
引用次数: 0

摘要

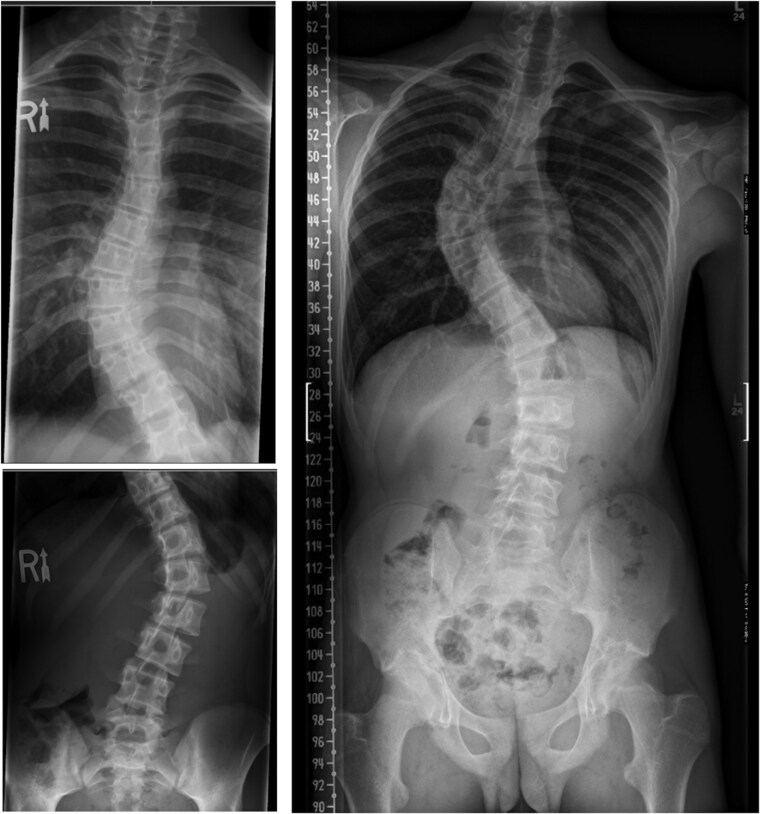
目的:Cobb角是青少年特发性脊柱侧凸量化的标准方法,以指导治疗决策。准确、及时的曲线检测,保证早期转诊,便于支撑。放射学报告可作为家庭医生加快专科转诊的指导工具。因此,在社区层面准确、可靠地测量科布角是至关重要的。本回顾性研究调查了放射科医生和脊柱外科医生在科布角测量方面的一致性。方法:比较放射科医生和脊柱外科医生完成的80份影像学报告(Cobb角、Risser分期和椎体末端选择)。为了评估类间信度,计算了95%置信区间(ci)的类间相关系数(ICC)。ICC结果:脊柱外科医生和放射科医生之间的一致性较差(ICC = 0.65, 95% CI: 0.13 ~ 0.97)。脊柱外科医生和社区放射科医生之间的一致性很差(ICC = 0.45, 95% CI: 0.17 ~ 0.66)。80例报告中有56例未报告Risser阶段。脊柱外科医生和放射科医生在Risser期的ICC较差(ICC = 0.625, 95% CI: 0.325 ~ 0.794)。对于末梢椎骨鉴定,80次扫描中有23次的末梢椎骨鉴定完全一致。结论:本研究表明放射科医生和脊柱外科医生在脊柱侧凸测量方面存在显著差异,这显著影响了转诊的适当性。使用联合医疗专业人员(即执业护士)改进分诊的方法可能有助于确保出现脊柱侧凸的患者及时转诊。
本文章由计算机程序翻译,如有差异,请以英文原文为准。

Radiographic reporting in adolescent idiopathic scoliosis: Is there a discrepancy comparing radiologists' reports and surgeons' assessments?

Radiographic reporting in adolescent idiopathic scoliosis: Is there a discrepancy comparing radiologists' reports and surgeons' assessments?

Objectives: Cobb angle is a standard method for quantification of scoliosis in adolescent idiopathic scoliosis to guide treatment decisions. Precise and timely curve detection can ensure early referrals, amenable for bracing. Radiology reports serve as a guiding tool for family physicians to expedite specialist referrals. Therefore, accurate and reliable measurement of Cobb angle at the community level is crucial. This retrospective study investigated the agreement in Cobb angle measurement between radiologists and spine surgeons.

Methods: Eighty radiographic reports (Cobb angle, Risser stage, and end vertebrae selection) completed by radiologists and spine surgeons were compared. To assess interrater reliability, interclass correlation coefficients (ICC) with 95% confidence intervals (CIs) were computed. ICC < 0.70, 0.70 to 0.79, 0.80 to 89, and 0.9 to 0.99 were considered poor, fair, good, and excellent reliability, respectively. All radiographs were assessed for quality.

Results: The agreement between spine surgeons and radiologists was poor (ICC = 0.65, 95% CI: 0.13 to 0.97). The agreement between spine surgeons and community radiologists was poor (ICC = 0.45, 95% CI: 0.17 to 0.66). Risser stage was not reported in 56 of the 80 reports. ICC between spine surgeons and radiologists for the Risser stage was poor (ICC = 0.625, 95% CI: 0.325 to 0.794). For end vertebrae identification, there was absolute agreement of end vertebrae identification in 23 of the 80 scans.

Conclusions: This study demonstrated a significant disagreement in scoliosis measurement between radiologists and spine surgeons, which significantly impacts appropriateness of referrals. Methods to improve triaging using allied health professional (i.e., nurse practitioners) may help ensure that patients presenting with scoliosis are referred in a timely manner.

求助全文
通过发布文献求助,成功后即可免费获取论文全文。 去求助
来源期刊
Paediatrics & child health
Paediatrics & child health 医学-小儿科
CiteScore
2.10
自引率
5.30%
发文量
208
审稿时长
>12 weeks
期刊介绍: Paediatrics & Child Health (PCH) is the official journal of the Canadian Paediatric Society, and the only peer-reviewed paediatric journal in Canada. Its mission is to advocate for the health and well-being of all Canadian children and youth and to educate child and youth health professionals across the country. PCH reaches 8,000 paediatricians, family physicians and other child and youth health professionals, as well as ministers and officials in various levels of government who are involved with child and youth health policy in Canada.
×
引用
GB/T 7714-2015
复制
MLA
复制
APA
复制
导出至
BibTeX EndNote RefMan NoteFirst NoteExpress
×
提示
您的信息不完整,为了账户安全,请先补充。
现在去补充
×
提示
您因"违规操作"
具体请查看互助需知
我知道了
×
提示
确定
请完成安全验证×
copy
已复制链接
快去分享给好友吧!
我知道了
右上角分享
点击右上角分享
0
联系我们:info@booksci.cn Book学术提供免费学术资源搜索服务,方便国内外学者检索中英文文献。致力于提供最便捷和优质的服务体验。 Copyright © 2023 布克学术 All rights reserved.
京ICP备2023020795号-1
ghs 京公网安备 11010802042870号
Book学术文献互助
Book学术文献互助群
群 号:604180095
Book学术官方微信