用牙周夹板保养牙周受损的牙齿。

IF 2.2 Q2 DENTISTRY, ORAL SURGERY & MEDICINE
International Journal of Dentistry Pub Date : 2025-08-30 eCollection Date: 2025-01-01 DOI:10.1155/ijod/7119673
Janina Golob Deeb, Caroline K Carrico, Anne Miller, Jacqueline Bennett, Amirreza Ghassemi
{"title":"用牙周夹板保养牙周受损的牙齿。","authors":"Janina Golob Deeb, Caroline K Carrico, Anne Miller, Jacqueline Bennett, Amirreza Ghassemi","doi":"10.1155/ijod/7119673","DOIUrl":null,"url":null,"abstract":"<p><p><b>Objective:</b> Periodontal splints offer a noninvasive and inexpensive treatment modality to stabilize mobile teeth. This study evaluated periodontal splints to examine their longevity and long-term stability. <b>Methods:</b> A retrospective chart review was performed for patients who received splints on mandibular or maxillary anterior teeth. Data collected included patient age, gender, indication for splint placement, date of placement, teeth involved, percent bone loss, presence of a pontic, and type of reinforcement. Data were summarized with descriptive statistics. Differences in bone loss were analyzed using <i>t</i>-tests. <b>Results:</b> A total of 154 cases were included in the study. The average patient age was 57.2 and ranged from 17 to 93, with nearly equal rates of males and females (54% vs. 46%). Procedures were performed from 2003 until 2024. The majority were mandibular splints with (20%) or without a pontic (47%). Maxillary splints accounted for 33% of the sample (12% with pontic and 21% without). The nature of the splint was periodontal for 68% (<i>n</i> = 105) of the cases. Trauma accounted for 18% and included incidents with oral piercings and avulsion. Periodontal cases were assessed for bone loss where data were available. The average loss was 76.5% and ranged from 30%to 100%. Bone loss was not significantly associated with the location of the splint (<i>p</i>-value = 0.3690), patient gender (<i>p</i>-value = 0.3391), or use of splint reinforcement (<i>p</i>-value = 0.3548). Only 40% of splints were reinforced. More than half of the cases had a longevity of 10 or more years (<i>n</i> = 82, 55%). <b>Conclusion:</b> Splinting can provide long-term support to mobile teeth and aid in maintaining periodontally compromised teeth. In replacing single anterior teeth, a splint with a pontic can provide a stable provisional prosthesis as an alternative to a temporary removable appliance.</p>","PeriodicalId":13947,"journal":{"name":"International Journal of Dentistry","volume":"2025 ","pages":"7119673"},"PeriodicalIF":2.2000,"publicationDate":"2025-08-30","publicationTypes":"Journal Article","fieldsOfStudy":null,"isOpenAccess":false,"openAccessPdf":"https://www.ncbi.nlm.nih.gov/pmc/articles/PMC12413937/pdf/","citationCount":"0","resultStr":"{\"title\":\"Maintenance of Periodontally Compromised Teeth Using Periodontal Splints.\",\"authors\":\"Janina Golob Deeb, Caroline K Carrico, Anne Miller, Jacqueline Bennett, Amirreza Ghassemi\",\"doi\":\"10.1155/ijod/7119673\",\"DOIUrl\":null,\"url\":null,\"abstract\":\"<p><p><b>Objective:</b> Periodontal splints offer a noninvasive and inexpensive treatment modality to stabilize mobile teeth. This study evaluated periodontal splints to examine their longevity and long-term stability. <b>Methods:</b> A retrospective chart review was performed for patients who received splints on mandibular or maxillary anterior teeth. Data collected included patient age, gender, indication for splint placement, date of placement, teeth involved, percent bone loss, presence of a pontic, and type of reinforcement. Data were summarized with descriptive statistics. Differences in bone loss were analyzed using <i>t</i>-tests. <b>Results:</b> A total of 154 cases were included in the study. The average patient age was 57.2 and ranged from 17 to 93, with nearly equal rates of males and females (54% vs. 46%). Procedures were performed from 2003 until 2024. The majority were mandibular splints with (20%) or without a pontic (47%). Maxillary splints accounted for 33% of the sample (12% with pontic and 21% without). The nature of the splint was periodontal for 68% (<i>n</i> = 105) of the cases. Trauma accounted for 18% and included incidents with oral piercings and avulsion. Periodontal cases were assessed for bone loss where data were available. The average loss was 76.5% and ranged from 30%to 100%. Bone loss was not significantly associated with the location of the splint (<i>p</i>-value = 0.3690), patient gender (<i>p</i>-value = 0.3391), or use of splint reinforcement (<i>p</i>-value = 0.3548). Only 40% of splints were reinforced. More than half of the cases had a longevity of 10 or more years (<i>n</i> = 82, 55%). <b>Conclusion:</b> Splinting can provide long-term support to mobile teeth and aid in maintaining periodontally compromised teeth. In replacing single anterior teeth, a splint with a pontic can provide a stable provisional prosthesis as an alternative to a temporary removable appliance.</p>\",\"PeriodicalId\":13947,\"journal\":{\"name\":\"International Journal of Dentistry\",\"volume\":\"2025 \",\"pages\":\"7119673\"},\"PeriodicalIF\":2.2000,\"publicationDate\":\"2025-08-30\",\"publicationTypes\":\"Journal Article\",\"fieldsOfStudy\":null,\"isOpenAccess\":false,\"openAccessPdf\":\"https://www.ncbi.nlm.nih.gov/pmc/articles/PMC12413937/pdf/\",\"citationCount\":\"0\",\"resultStr\":null,\"platform\":\"Semanticscholar\",\"paperid\":null,\"PeriodicalName\":\"International Journal of Dentistry\",\"FirstCategoryId\":\"1085\",\"ListUrlMain\":\"https://doi.org/10.1155/ijod/7119673\",\"RegionNum\":0,\"RegionCategory\":null,\"ArticlePicture\":[],\"TitleCN\":null,\"AbstractTextCN\":null,\"PMCID\":null,\"EPubDate\":\"2025/1/1 0:00:00\",\"PubModel\":\"eCollection\",\"JCR\":\"Q2\",\"JCRName\":\"DENTISTRY, ORAL SURGERY & MEDICINE\",\"Score\":null,\"Total\":0}","platform":"Semanticscholar","paperid":null,"PeriodicalName":"International Journal of Dentistry","FirstCategoryId":"1085","ListUrlMain":"https://doi.org/10.1155/ijod/7119673","RegionNum":0,"RegionCategory":null,"ArticlePicture":[],"TitleCN":null,"AbstractTextCN":null,"PMCID":null,"EPubDate":"2025/1/1 0:00:00","PubModel":"eCollection","JCR":"Q2","JCRName":"DENTISTRY, ORAL SURGERY & MEDICINE","Score":null,"Total":0}
引用次数: 0

摘要

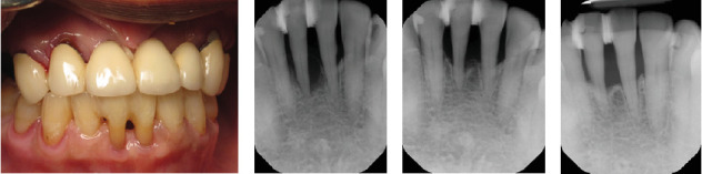
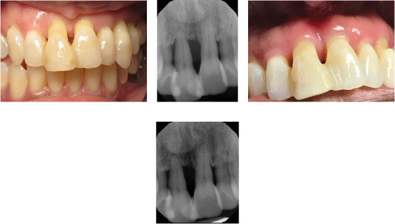
目的:牙周夹板为稳定活动牙提供了一种无创、廉价的治疗方法。本研究评估牙周夹板的使用寿命和长期稳定性。方法:对上颌前牙或下颌前牙接受夹板的患者进行回顾性分析。收集的数据包括患者的年龄、性别、夹板放置的指征、放置的日期、所涉及的牙齿、骨质流失的百分比、桥桥的存在以及加固的类型。数据用描述性统计进行汇总。采用t检验分析骨质流失的差异。结果:本研究共纳入154例。患者平均年龄为57.2岁,年龄范围从17岁到93岁,男性和女性的比例几乎相等(54%对46%)。手术从2003年进行到2024年。大多数是下颌夹板(20%)或没有桥架(47%)。上颌夹板占33%的样本(12%有桥式,21%没有)。68% (n = 105)的病例的夹板是牙周的。创伤占18%,包括口腔穿孔和撕脱。在有资料的情况下,评估牙周病例的骨质流失情况。平均损失为76.5%,从30%到100%不等。骨丢失与夹板的位置(p值= 0.3690)、患者性别(p值= 0.3391)或夹板加固的使用(p值= 0.3548)无显著相关性。只有40%的夹板得到了加固。超过一半的病例的寿命为10年或更长(n = 82,55%)。结论:夹板可为活动牙提供长期支持,有助于牙周受损牙的维持。在替换单个前牙时,带桥托的夹板可以提供稳定的临时假体作为临时可移动矫治器的替代方案。
本文章由计算机程序翻译,如有差异,请以英文原文为准。

Maintenance of Periodontally Compromised Teeth Using Periodontal Splints.

Maintenance of Periodontally Compromised Teeth Using Periodontal Splints.

Maintenance of Periodontally Compromised Teeth Using Periodontal Splints.

Maintenance of Periodontally Compromised Teeth Using Periodontal Splints.

Objective: Periodontal splints offer a noninvasive and inexpensive treatment modality to stabilize mobile teeth. This study evaluated periodontal splints to examine their longevity and long-term stability. Methods: A retrospective chart review was performed for patients who received splints on mandibular or maxillary anterior teeth. Data collected included patient age, gender, indication for splint placement, date of placement, teeth involved, percent bone loss, presence of a pontic, and type of reinforcement. Data were summarized with descriptive statistics. Differences in bone loss were analyzed using t-tests. Results: A total of 154 cases were included in the study. The average patient age was 57.2 and ranged from 17 to 93, with nearly equal rates of males and females (54% vs. 46%). Procedures were performed from 2003 until 2024. The majority were mandibular splints with (20%) or without a pontic (47%). Maxillary splints accounted for 33% of the sample (12% with pontic and 21% without). The nature of the splint was periodontal for 68% (n = 105) of the cases. Trauma accounted for 18% and included incidents with oral piercings and avulsion. Periodontal cases were assessed for bone loss where data were available. The average loss was 76.5% and ranged from 30%to 100%. Bone loss was not significantly associated with the location of the splint (p-value = 0.3690), patient gender (p-value = 0.3391), or use of splint reinforcement (p-value = 0.3548). Only 40% of splints were reinforced. More than half of the cases had a longevity of 10 or more years (n = 82, 55%). Conclusion: Splinting can provide long-term support to mobile teeth and aid in maintaining periodontally compromised teeth. In replacing single anterior teeth, a splint with a pontic can provide a stable provisional prosthesis as an alternative to a temporary removable appliance.

求助全文
通过发布文献求助,成功后即可免费获取论文全文。 去求助
来源期刊
International Journal of Dentistry
International Journal of Dentistry DENTISTRY, ORAL SURGERY & MEDICINE-
CiteScore
3.30
自引率
4.80%
发文量
219
审稿时长
20 weeks
×
引用
GB/T 7714-2015
复制
MLA
复制
APA
复制
导出至
BibTeX EndNote RefMan NoteFirst NoteExpress
×
提示
您的信息不完整,为了账户安全,请先补充。
现在去补充
×
提示
您因"违规操作"
具体请查看互助需知
我知道了
×
提示
确定
请完成安全验证×
copy
已复制链接
快去分享给好友吧!
我知道了
右上角分享
点击右上角分享
0
联系我们:info@booksci.cn Book学术提供免费学术资源搜索服务,方便国内外学者检索中英文文献。致力于提供最便捷和优质的服务体验。 Copyright © 2023 布克学术 All rights reserved.
京ICP备2023020795号-1
ghs 京公网安备 11010802042870号
Book学术文献互助
Book学术文献互助群
群 号:604180095
Book学术官方微信