长崎氏性欲低下引起口周皮肤感染:一例易误诊的罕见病例。

IF 2.9 3区 医学 Q2 INFECTIOUS DISEASES
Infection and Drug Resistance Pub Date : 2025-09-02 eCollection Date: 2025-01-01 DOI:10.2147/IDR.S514483
Kaisu Pan, Danxia Lu, Weixuan Wu, Ping Luo, Liuwei Liao, Dong Liang, Wanqing Liao, Cunwei Cao, Dongyan Zheng
{"title":"长崎氏性欲低下引起口周皮肤感染:一例易误诊的罕见病例。","authors":"Kaisu Pan, Danxia Lu, Weixuan Wu, Ping Luo, Liuwei Liao, Dong Liang, Wanqing Liao, Cunwei Cao, Dongyan Zheng","doi":"10.2147/IDR.S514483","DOIUrl":null,"url":null,"abstract":"<p><p>Cutaneous cryptococcosis is rarely caused by <i>Naganishia albidus</i>, especially in immunocompetent individuals. We report a unique case of perioral cutaneous infection in a 37-year-old male with scattered erythematous, pruritic, and scaly lesions lasting over a month. Initial clinical presentation mimicked common dermatological conditions, leading to potential misdiagnosis. Diagnosis was confirmed through fungal culture, fluorescence microscopy, MALDI-TOF mass spectrometry and molecular identification. The patient was successfully treated with oral itraconazole and topical fluconazole cream for six weeks. This case underscores the importance of considering rare fungal infections in atypical presentations to prevent misdiagnosis and delays in treatment.</p>","PeriodicalId":13577,"journal":{"name":"Infection and Drug Resistance","volume":"18 ","pages":"4615-4620"},"PeriodicalIF":2.9000,"publicationDate":"2025-09-02","publicationTypes":"Journal Article","fieldsOfStudy":null,"isOpenAccess":false,"openAccessPdf":"https://www.ncbi.nlm.nih.gov/pmc/articles/PMC12413825/pdf/","citationCount":"0","resultStr":"{\"title\":\"<i>Naganishia albidus</i> Causing Perioral Cutaneous Infection: A Rare Case Easily Misdiagnosed.\",\"authors\":\"Kaisu Pan, Danxia Lu, Weixuan Wu, Ping Luo, Liuwei Liao, Dong Liang, Wanqing Liao, Cunwei Cao, Dongyan Zheng\",\"doi\":\"10.2147/IDR.S514483\",\"DOIUrl\":null,\"url\":null,\"abstract\":\"<p><p>Cutaneous cryptococcosis is rarely caused by <i>Naganishia albidus</i>, especially in immunocompetent individuals. We report a unique case of perioral cutaneous infection in a 37-year-old male with scattered erythematous, pruritic, and scaly lesions lasting over a month. Initial clinical presentation mimicked common dermatological conditions, leading to potential misdiagnosis. Diagnosis was confirmed through fungal culture, fluorescence microscopy, MALDI-TOF mass spectrometry and molecular identification. The patient was successfully treated with oral itraconazole and topical fluconazole cream for six weeks. This case underscores the importance of considering rare fungal infections in atypical presentations to prevent misdiagnosis and delays in treatment.</p>\",\"PeriodicalId\":13577,\"journal\":{\"name\":\"Infection and Drug Resistance\",\"volume\":\"18 \",\"pages\":\"4615-4620\"},\"PeriodicalIF\":2.9000,\"publicationDate\":\"2025-09-02\",\"publicationTypes\":\"Journal Article\",\"fieldsOfStudy\":null,\"isOpenAccess\":false,\"openAccessPdf\":\"https://www.ncbi.nlm.nih.gov/pmc/articles/PMC12413825/pdf/\",\"citationCount\":\"0\",\"resultStr\":null,\"platform\":\"Semanticscholar\",\"paperid\":null,\"PeriodicalName\":\"Infection and Drug Resistance\",\"FirstCategoryId\":\"3\",\"ListUrlMain\":\"https://doi.org/10.2147/IDR.S514483\",\"RegionNum\":3,\"RegionCategory\":\"医学\",\"ArticlePicture\":[],\"TitleCN\":null,\"AbstractTextCN\":null,\"PMCID\":null,\"EPubDate\":\"2025/1/1 0:00:00\",\"PubModel\":\"eCollection\",\"JCR\":\"Q2\",\"JCRName\":\"INFECTIOUS DISEASES\",\"Score\":null,\"Total\":0}","platform":"Semanticscholar","paperid":null,"PeriodicalName":"Infection and Drug Resistance","FirstCategoryId":"3","ListUrlMain":"https://doi.org/10.2147/IDR.S514483","RegionNum":3,"RegionCategory":"医学","ArticlePicture":[],"TitleCN":null,"AbstractTextCN":null,"PMCID":null,"EPubDate":"2025/1/1 0:00:00","PubModel":"eCollection","JCR":"Q2","JCRName":"INFECTIOUS DISEASES","Score":null,"Total":0}
引用次数: 0

摘要

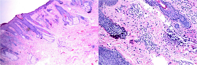
皮肤隐球菌病是很少引起的Naganishia albidus,特别是在免疫能力强的个体。我们报告一个独特的病例口周皮肤感染在一个37岁的男性分散红斑,瘙痒,鳞状病变持续一个多月。最初的临床表现模仿常见的皮肤病,导致潜在的误诊。通过真菌培养、荧光显微镜、MALDI-TOF质谱和分子鉴定证实诊断。患者口服伊曲康唑和局部氟康唑乳膏治疗6周,治疗成功。这个病例强调了考虑罕见真菌感染在非典型表现的重要性,以防止误诊和延误治疗。
本文章由计算机程序翻译,如有差异,请以英文原文为准。

<i>Naganishia albidus</i> Causing Perioral Cutaneous Infection: A Rare Case Easily Misdiagnosed.

<i>Naganishia albidus</i> Causing Perioral Cutaneous Infection: A Rare Case Easily Misdiagnosed.

<i>Naganishia albidus</i> Causing Perioral Cutaneous Infection: A Rare Case Easily Misdiagnosed.

Naganishia albidus Causing Perioral Cutaneous Infection: A Rare Case Easily Misdiagnosed.

Cutaneous cryptococcosis is rarely caused by Naganishia albidus, especially in immunocompetent individuals. We report a unique case of perioral cutaneous infection in a 37-year-old male with scattered erythematous, pruritic, and scaly lesions lasting over a month. Initial clinical presentation mimicked common dermatological conditions, leading to potential misdiagnosis. Diagnosis was confirmed through fungal culture, fluorescence microscopy, MALDI-TOF mass spectrometry and molecular identification. The patient was successfully treated with oral itraconazole and topical fluconazole cream for six weeks. This case underscores the importance of considering rare fungal infections in atypical presentations to prevent misdiagnosis and delays in treatment.

求助全文
通过发布文献求助,成功后即可免费获取论文全文。 去求助
来源期刊
Infection and Drug Resistance
Infection and Drug Resistance Medicine-Pharmacology (medical)
CiteScore
5.60
自引率
7.70%
发文量
826
审稿时长
16 weeks
期刊介绍: About Journal Editors Peer Reviewers Articles Article Publishing Charges Aims and Scope Call For Papers ISSN: 1178-6973 Editor-in-Chief: Professor Suresh Antony An international, peer-reviewed, open access journal that focuses on the optimal treatment of infection (bacterial, fungal and viral) and the development and institution of preventative strategies to minimize the development and spread of resistance.
×
引用
GB/T 7714-2015
复制
MLA
复制
APA
复制
导出至
BibTeX EndNote RefMan NoteFirst NoteExpress
×
提示
您的信息不完整,为了账户安全,请先补充。
现在去补充
×
提示
您因"违规操作"
具体请查看互助需知
我知道了
×
提示
确定
请完成安全验证×
copy
已复制链接
快去分享给好友吧!
我知道了
右上角分享
点击右上角分享
0
联系我们:info@booksci.cn Book学术提供免费学术资源搜索服务,方便国内外学者检索中英文文献。致力于提供最便捷和优质的服务体验。 Copyright © 2023 布克学术 All rights reserved.
京ICP备2023020795号-1
ghs 京公网安备 11010802042870号
Book学术文献互助
Book学术文献互助群
群 号:604180095
Book学术官方微信