出现紧张性症状的迟发性后毒性脑白质病1例报告。

Q4 Medicine
Case Reports in Psychiatry Pub Date : 2025-08-29 eCollection Date: 2025-01-01 DOI:10.1155/crps/9978149
Meredith Bentley, Jordan Gaal, Janice Hostetter, Suzanne Holroyd, John Pickstone, Kelly Melvin
{"title":"出现紧张性症状的迟发性后毒性脑白质病1例报告。","authors":"Meredith Bentley, Jordan Gaal, Janice Hostetter, Suzanne Holroyd, John Pickstone, Kelly Melvin","doi":"10.1155/crps/9978149","DOIUrl":null,"url":null,"abstract":"<p><p>Delayed posthypoxic leukoencephalopathy (DPHL) is a rare diagnosis that may present similarly to other more common neurological conditions, such as catatonia. While often seen with carbon-monoxide poisoning, it can also be due to anoxia due to other causes, such as drug overdose or cardiac arrest. Due to the delayed nature of its symptoms and overlap with other conditions, it can be initially misdiagnosed. We present a 50-year-old female patient with a history of depression who was found unresponsive, hypoxic, and febrile at her home for an unknown amount of time. The initial concern was for sepsis. Initial computed tomography (CT) of the head and magnetic resonance imaging (MRI) of the brain were normal. The patient had rhabdomyolysis with secondary renal failure, shock liver, and acute pancreatitis. Once medically stabilized, her cognition returned to a normal baseline. However, 10 days into her hospitalization, her mental state deteriorated, displaying symptoms of mutism, stupor, staring, decreased oral intake, and perseveration. Catatonia, secondary to a major depressive episode, was suspected. Lorazepam was titrated upward without result. Lack of response to lorazepam prompted a repeat brain MRI, revealing diffuse white matter changes in the frontal, temporal, parietal, and occipital lobes of both hemispheres. A diagnosis of DPHL was made. She was then started on carbidopa/levodopa 25/100 mg with improvement and was discharged to a rehabilitation facility.</p>","PeriodicalId":9631,"journal":{"name":"Case Reports in Psychiatry","volume":"2025 ","pages":"9978149"},"PeriodicalIF":0.0000,"publicationDate":"2025-08-29","publicationTypes":"Journal Article","fieldsOfStudy":null,"isOpenAccess":false,"openAccessPdf":"https://www.ncbi.nlm.nih.gov/pmc/articles/PMC12413270/pdf/","citationCount":"0","resultStr":"{\"title\":\"Delayed Posthypoxic Leukoencephalopathy in a Catatonic-Appearing Patient: A Case Report.\",\"authors\":\"Meredith Bentley, Jordan Gaal, Janice Hostetter, Suzanne Holroyd, John Pickstone, Kelly Melvin\",\"doi\":\"10.1155/crps/9978149\",\"DOIUrl\":null,\"url\":null,\"abstract\":\"<p><p>Delayed posthypoxic leukoencephalopathy (DPHL) is a rare diagnosis that may present similarly to other more common neurological conditions, such as catatonia. While often seen with carbon-monoxide poisoning, it can also be due to anoxia due to other causes, such as drug overdose or cardiac arrest. Due to the delayed nature of its symptoms and overlap with other conditions, it can be initially misdiagnosed. We present a 50-year-old female patient with a history of depression who was found unresponsive, hypoxic, and febrile at her home for an unknown amount of time. The initial concern was for sepsis. Initial computed tomography (CT) of the head and magnetic resonance imaging (MRI) of the brain were normal. The patient had rhabdomyolysis with secondary renal failure, shock liver, and acute pancreatitis. Once medically stabilized, her cognition returned to a normal baseline. However, 10 days into her hospitalization, her mental state deteriorated, displaying symptoms of mutism, stupor, staring, decreased oral intake, and perseveration. Catatonia, secondary to a major depressive episode, was suspected. Lorazepam was titrated upward without result. Lack of response to lorazepam prompted a repeat brain MRI, revealing diffuse white matter changes in the frontal, temporal, parietal, and occipital lobes of both hemispheres. A diagnosis of DPHL was made. She was then started on carbidopa/levodopa 25/100 mg with improvement and was discharged to a rehabilitation facility.</p>\",\"PeriodicalId\":9631,\"journal\":{\"name\":\"Case Reports in Psychiatry\",\"volume\":\"2025 \",\"pages\":\"9978149\"},\"PeriodicalIF\":0.0000,\"publicationDate\":\"2025-08-29\",\"publicationTypes\":\"Journal Article\",\"fieldsOfStudy\":null,\"isOpenAccess\":false,\"openAccessPdf\":\"https://www.ncbi.nlm.nih.gov/pmc/articles/PMC12413270/pdf/\",\"citationCount\":\"0\",\"resultStr\":null,\"platform\":\"Semanticscholar\",\"paperid\":null,\"PeriodicalName\":\"Case Reports in Psychiatry\",\"FirstCategoryId\":\"1085\",\"ListUrlMain\":\"https://doi.org/10.1155/crps/9978149\",\"RegionNum\":0,\"RegionCategory\":null,\"ArticlePicture\":[],\"TitleCN\":null,\"AbstractTextCN\":null,\"PMCID\":null,\"EPubDate\":\"2025/1/1 0:00:00\",\"PubModel\":\"eCollection\",\"JCR\":\"Q4\",\"JCRName\":\"Medicine\",\"Score\":null,\"Total\":0}","platform":"Semanticscholar","paperid":null,"PeriodicalName":"Case Reports in Psychiatry","FirstCategoryId":"1085","ListUrlMain":"https://doi.org/10.1155/crps/9978149","RegionNum":0,"RegionCategory":null,"ArticlePicture":[],"TitleCN":null,"AbstractTextCN":null,"PMCID":null,"EPubDate":"2025/1/1 0:00:00","PubModel":"eCollection","JCR":"Q4","JCRName":"Medicine","Score":null,"Total":0}
引用次数: 0

摘要

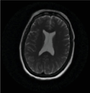
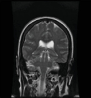
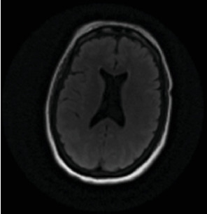
迟发性缺氧后白质脑病(DPHL)是一种罕见的诊断,可能与其他更常见的神经系统疾病(如紧张症)相似。虽然一氧化碳中毒很常见,但也可能是由于其他原因引起的缺氧,如药物过量或心脏骤停。由于其症状的迟发性和与其他疾病的重叠,最初可能被误诊。我们报告一名50岁女性患者,有抑郁史,在家中发现无反应、缺氧和发热,时间不详。最初担心的是败血症。最初的头部计算机断层扫描(CT)和脑部磁共振成像(MRI)正常。患者有横纹肌溶解伴继发性肾衰竭、肝休克和急性胰腺炎。药物稳定后,她的认知能力恢复到正常基线。然而,在住院10天后,她的精神状态恶化,表现为沉默、麻木、凝视、口服摄入量减少和毅力。怀疑继发于重度抑郁发作的紧张症。劳拉西泮向上滴定无结果。劳拉西泮无反应提示再次进行脑部MRI检查,显示双脑额叶、颞叶、顶叶和枕叶弥漫性白质改变。诊断为DPHL。随后,她开始服用卡比多巴/左旋多巴25/100 mg,情况有所改善,并出院至康复机构。
本文章由计算机程序翻译,如有差异,请以英文原文为准。

Delayed Posthypoxic Leukoencephalopathy in a Catatonic-Appearing Patient: A Case Report.

Delayed Posthypoxic Leukoencephalopathy in a Catatonic-Appearing Patient: A Case Report.

Delayed Posthypoxic Leukoencephalopathy in a Catatonic-Appearing Patient: A Case Report.

Delayed Posthypoxic Leukoencephalopathy in a Catatonic-Appearing Patient: A Case Report.

Delayed posthypoxic leukoencephalopathy (DPHL) is a rare diagnosis that may present similarly to other more common neurological conditions, such as catatonia. While often seen with carbon-monoxide poisoning, it can also be due to anoxia due to other causes, such as drug overdose or cardiac arrest. Due to the delayed nature of its symptoms and overlap with other conditions, it can be initially misdiagnosed. We present a 50-year-old female patient with a history of depression who was found unresponsive, hypoxic, and febrile at her home for an unknown amount of time. The initial concern was for sepsis. Initial computed tomography (CT) of the head and magnetic resonance imaging (MRI) of the brain were normal. The patient had rhabdomyolysis with secondary renal failure, shock liver, and acute pancreatitis. Once medically stabilized, her cognition returned to a normal baseline. However, 10 days into her hospitalization, her mental state deteriorated, displaying symptoms of mutism, stupor, staring, decreased oral intake, and perseveration. Catatonia, secondary to a major depressive episode, was suspected. Lorazepam was titrated upward without result. Lack of response to lorazepam prompted a repeat brain MRI, revealing diffuse white matter changes in the frontal, temporal, parietal, and occipital lobes of both hemispheres. A diagnosis of DPHL was made. She was then started on carbidopa/levodopa 25/100 mg with improvement and was discharged to a rehabilitation facility.

求助全文
通过发布文献求助,成功后即可免费获取论文全文。 去求助
来源期刊
Case Reports in Psychiatry
Case Reports in Psychiatry Medicine-Psychiatry and Mental Health
CiteScore
1.00
自引率
0.00%
发文量
49
审稿时长
12 weeks
×
引用
GB/T 7714-2015
复制
MLA
复制
APA
复制
导出至
BibTeX EndNote RefMan NoteFirst NoteExpress
×
提示
您的信息不完整,为了账户安全,请先补充。
现在去补充
×
提示
您因"违规操作"
具体请查看互助需知
我知道了
×
提示
确定
请完成安全验证×
copy
已复制链接
快去分享给好友吧!
我知道了
右上角分享
点击右上角分享
0
联系我们:info@booksci.cn Book学术提供免费学术资源搜索服务,方便国内外学者检索中英文文献。致力于提供最便捷和优质的服务体验。 Copyright © 2023 布克学术 All rights reserved.
京ICP备2023020795号-1
ghs 京公网安备 11010802042870号
Book学术文献互助
Book学术文献互助群
群 号:604180095
Book学术官方微信