尿气球菌性脊柱炎1例报告及文献复习。

IF 0.8 Q4 INFECTIOUS DISEASES
Case Reports in Infectious Diseases Pub Date : 2025-08-28 eCollection Date: 2025-01-01 DOI:10.1155/crdi/1569042
Suranthaniy S Sivalingam, Virginie Prendki, Nicolas Garin
{"title":"尿气球菌性脊柱炎1例报告及文献复习。","authors":"Suranthaniy S Sivalingam, Virginie Prendki, Nicolas Garin","doi":"10.1155/crdi/1569042","DOIUrl":null,"url":null,"abstract":"<p><p><b>Background:</b> <i>Aerococcus urinae</i>, a rare human pathogen, mainly causes urinary tract infection, endocarditis, and bacteremia. However, it is rarely the cause of other types of infection such as spondylodiscitis. Invasive <i>A. urinae</i> infection chiefly occurs in older men with underlying urinary tract disorders. The real incidence may be underestimated, as <i>Aerococci</i> grow in a CO2-containing atmosphere, and urine cultures are usually not incubated in this environment. There have been eight case reports of spondylodiscitis due to <i>A. urinae.</i> <b>Material and Methods:</b> We report a 9<sup>th</sup> case occurring in an 80-year-old Caucasian man with lower back pain. The patient had predisposing conditions (diabetes and a history of urological surgery). Spinal MRI showed signs of spondylodiscitis. Two computed tomography-guided biopsies targeting the intervertebral disc and psoas muscle were not diagnostic. One of 10 blood culture bottles grew <i>A. urinae</i>. <b>Results:</b> After worsening of an L2 fracture, and unsuccessful percutaneous sampling procedures, the patient underwent surgical stabilization of T12 to L4 with multiple biopsies. Biopsy cultures grew <i>Aerococcus urinae</i>. Amoxicillin was administered intravenously for 14 days, followed by oral levofloxacin for 3 months. <b>Conclusion:</b> <i>A. urinae</i> should be considered in spondylodiscitis with negative cultures, particularly in older men with diabetes and urological conditions.</p>","PeriodicalId":9608,"journal":{"name":"Case Reports in Infectious Diseases","volume":"2025 ","pages":"1569042"},"PeriodicalIF":0.8000,"publicationDate":"2025-08-28","publicationTypes":"Journal Article","fieldsOfStudy":null,"isOpenAccess":false,"openAccessPdf":"https://www.ncbi.nlm.nih.gov/pmc/articles/PMC12411054/pdf/","citationCount":"0","resultStr":"{\"title\":\"<i>Aerococcus urinae</i> Spondylodiscitis: A Case Report and Review of the Literature.\",\"authors\":\"Suranthaniy S Sivalingam, Virginie Prendki, Nicolas Garin\",\"doi\":\"10.1155/crdi/1569042\",\"DOIUrl\":null,\"url\":null,\"abstract\":\"<p><p><b>Background:</b> <i>Aerococcus urinae</i>, a rare human pathogen, mainly causes urinary tract infection, endocarditis, and bacteremia. However, it is rarely the cause of other types of infection such as spondylodiscitis. Invasive <i>A. urinae</i> infection chiefly occurs in older men with underlying urinary tract disorders. The real incidence may be underestimated, as <i>Aerococci</i> grow in a CO2-containing atmosphere, and urine cultures are usually not incubated in this environment. There have been eight case reports of spondylodiscitis due to <i>A. urinae.</i> <b>Material and Methods:</b> We report a 9<sup>th</sup> case occurring in an 80-year-old Caucasian man with lower back pain. The patient had predisposing conditions (diabetes and a history of urological surgery). Spinal MRI showed signs of spondylodiscitis. Two computed tomography-guided biopsies targeting the intervertebral disc and psoas muscle were not diagnostic. One of 10 blood culture bottles grew <i>A. urinae</i>. <b>Results:</b> After worsening of an L2 fracture, and unsuccessful percutaneous sampling procedures, the patient underwent surgical stabilization of T12 to L4 with multiple biopsies. Biopsy cultures grew <i>Aerococcus urinae</i>. Amoxicillin was administered intravenously for 14 days, followed by oral levofloxacin for 3 months. <b>Conclusion:</b> <i>A. urinae</i> should be considered in spondylodiscitis with negative cultures, particularly in older men with diabetes and urological conditions.</p>\",\"PeriodicalId\":9608,\"journal\":{\"name\":\"Case Reports in Infectious Diseases\",\"volume\":\"2025 \",\"pages\":\"1569042\"},\"PeriodicalIF\":0.8000,\"publicationDate\":\"2025-08-28\",\"publicationTypes\":\"Journal Article\",\"fieldsOfStudy\":null,\"isOpenAccess\":false,\"openAccessPdf\":\"https://www.ncbi.nlm.nih.gov/pmc/articles/PMC12411054/pdf/\",\"citationCount\":\"0\",\"resultStr\":null,\"platform\":\"Semanticscholar\",\"paperid\":null,\"PeriodicalName\":\"Case Reports in Infectious Diseases\",\"FirstCategoryId\":\"1085\",\"ListUrlMain\":\"https://doi.org/10.1155/crdi/1569042\",\"RegionNum\":0,\"RegionCategory\":null,\"ArticlePicture\":[],\"TitleCN\":null,\"AbstractTextCN\":null,\"PMCID\":null,\"EPubDate\":\"2025/1/1 0:00:00\",\"PubModel\":\"eCollection\",\"JCR\":\"Q4\",\"JCRName\":\"INFECTIOUS DISEASES\",\"Score\":null,\"Total\":0}","platform":"Semanticscholar","paperid":null,"PeriodicalName":"Case Reports in Infectious Diseases","FirstCategoryId":"1085","ListUrlMain":"https://doi.org/10.1155/crdi/1569042","RegionNum":0,"RegionCategory":null,"ArticlePicture":[],"TitleCN":null,"AbstractTextCN":null,"PMCID":null,"EPubDate":"2025/1/1 0:00:00","PubModel":"eCollection","JCR":"Q4","JCRName":"INFECTIOUS DISEASES","Score":null,"Total":0}
引用次数: 0

摘要

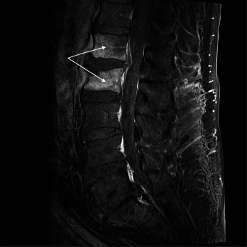
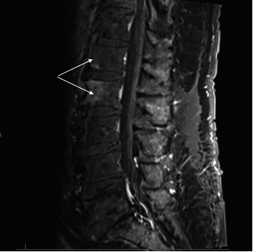
背景:尿气球菌是一种罕见的人类病原体,主要引起尿路感染、心内膜炎和菌血症。然而,它很少引起其他类型的感染,如脊柱炎。侵袭性尿支原体感染主要发生在有泌尿道疾病的老年男性中。实际发病率可能被低估了,因为气球菌生长在含二氧化碳的大气中,而尿液培养物通常不在这种环境中培养。有8例报告脊柱炎由尿单胞杆菌引起。材料和方法:我们报告了第9例发生在80岁的白人男性腰痛。患者有易感因素(糖尿病和泌尿外科手术史)。脊柱MRI显示脊椎椎间盘炎征象。两次针对椎间盘和腰肌的计算机断层引导活检没有诊断。10个血培养瓶中有一个培养出尿支原体。结果:在L2骨折恶化和不成功的经皮取样手术后,患者接受了T12至L4的手术稳定和多次活检。活检培养有尿气球菌。静脉滴注阿莫西林14天,口服左氧氟沙星3个月。结论:对于培养阴性的脊柱炎患者,尤其是有糖尿病和泌尿系统疾病的老年男性,应考虑尿支原体感染。
本文章由计算机程序翻译,如有差异,请以英文原文为准。

<i>Aerococcus urinae</i> Spondylodiscitis: A Case Report and Review of the Literature.

<i>Aerococcus urinae</i> Spondylodiscitis: A Case Report and Review of the Literature.

<i>Aerococcus urinae</i> Spondylodiscitis: A Case Report and Review of the Literature.

Aerococcus urinae Spondylodiscitis: A Case Report and Review of the Literature.

Background: Aerococcus urinae, a rare human pathogen, mainly causes urinary tract infection, endocarditis, and bacteremia. However, it is rarely the cause of other types of infection such as spondylodiscitis. Invasive A. urinae infection chiefly occurs in older men with underlying urinary tract disorders. The real incidence may be underestimated, as Aerococci grow in a CO2-containing atmosphere, and urine cultures are usually not incubated in this environment. There have been eight case reports of spondylodiscitis due to A. urinae. Material and Methods: We report a 9th case occurring in an 80-year-old Caucasian man with lower back pain. The patient had predisposing conditions (diabetes and a history of urological surgery). Spinal MRI showed signs of spondylodiscitis. Two computed tomography-guided biopsies targeting the intervertebral disc and psoas muscle were not diagnostic. One of 10 blood culture bottles grew A. urinae. Results: After worsening of an L2 fracture, and unsuccessful percutaneous sampling procedures, the patient underwent surgical stabilization of T12 to L4 with multiple biopsies. Biopsy cultures grew Aerococcus urinae. Amoxicillin was administered intravenously for 14 days, followed by oral levofloxacin for 3 months. Conclusion: A. urinae should be considered in spondylodiscitis with negative cultures, particularly in older men with diabetes and urological conditions.

求助全文
通过发布文献求助,成功后即可免费获取论文全文。 去求助
来源期刊
自引率
0.00%
发文量
64
审稿时长
13 weeks
×
引用
GB/T 7714-2015
复制
MLA
复制
APA
复制
导出至
BibTeX EndNote RefMan NoteFirst NoteExpress
×
提示
您的信息不完整,为了账户安全,请先补充。
现在去补充
×
提示
您因"违规操作"
具体请查看互助需知
我知道了
×
提示
确定
请完成安全验证×
copy
已复制链接
快去分享给好友吧!
我知道了
右上角分享
点击右上角分享
0
联系我们:info@booksci.cn Book学术提供免费学术资源搜索服务,方便国内外学者检索中英文文献。致力于提供最便捷和优质的服务体验。 Copyright © 2023 布克学术 All rights reserved.
京ICP备2023020795号-1
ghs 京公网安备 11010802042870号
Book学术文献互助
Book学术文献互助群
群 号:604180095
Book学术官方微信