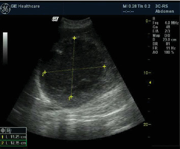
布隆迪一家医院一例疟疾、死产和12 × 11厘米阿米巴肝脓肿的孕妇的处理:一例报告。

IF 0.8 Q4 OBSTETRICS & GYNECOLOGY
Case Reports in Obstetrics and Gynecology Pub Date : 2025-08-30 eCollection Date: 2025-01-01 DOI:10.1155/crog/9403522
Maria Antonietta Castaldi, Salvatore Giovanni Castaldi
{"title":"布隆迪一家医院一例疟疾、死产和12 × 11厘米阿米巴肝脓肿的孕妇的处理:一例报告。","authors":"Maria Antonietta Castaldi, Salvatore Giovanni Castaldi","doi":"10.1155/crog/9403522","DOIUrl":null,"url":null,"abstract":"<p><p><b>Background:</b> Malaria and amoebic infections are considered risk factors for stillbirth and preterm labor, but their coexistence during pregnancy has not been previously reported. <b>Case:</b> We describe the first case of averted maternal mortality with fetal death in utero at 22 weeks' gestation, complicated by both <i>falciparum</i> malaria and hepatic amoebic abscess, in a rural hospital in Burundi. <b>Conclusion:</b> Amoebic liver abscesses are rarely described in pregnancy and, as far as we are aware, never in conjunction with severe malaria: two parasitic infections requiring completely different treatments. We successfully managed this difficult case in a rural context thanks to at least three main factors: staff skills, inventiveness, and advances in ultrasonographic technology.</p>","PeriodicalId":9610,"journal":{"name":"Case Reports in Obstetrics and Gynecology","volume":"2025 ","pages":"9403522"},"PeriodicalIF":0.8000,"publicationDate":"2025-08-30","publicationTypes":"Journal Article","fieldsOfStudy":null,"isOpenAccess":false,"openAccessPdf":"https://www.ncbi.nlm.nih.gov/pmc/articles/PMC12413939/pdf/","citationCount":"0","resultStr":"{\"title\":\"Management of a Pregnant Woman With Malaria, Stillbirth, and a 12 × 11-cm Amoebic Liver Abscess in a Burundian Hospital: A Case Report.\",\"authors\":\"Maria Antonietta Castaldi, Salvatore Giovanni Castaldi\",\"doi\":\"10.1155/crog/9403522\",\"DOIUrl\":null,\"url\":null,\"abstract\":\"<p><p><b>Background:</b> Malaria and amoebic infections are considered risk factors for stillbirth and preterm labor, but their coexistence during pregnancy has not been previously reported. <b>Case:</b> We describe the first case of averted maternal mortality with fetal death in utero at 22 weeks' gestation, complicated by both <i>falciparum</i> malaria and hepatic amoebic abscess, in a rural hospital in Burundi. <b>Conclusion:</b> Amoebic liver abscesses are rarely described in pregnancy and, as far as we are aware, never in conjunction with severe malaria: two parasitic infections requiring completely different treatments. We successfully managed this difficult case in a rural context thanks to at least three main factors: staff skills, inventiveness, and advances in ultrasonographic technology.</p>\",\"PeriodicalId\":9610,\"journal\":{\"name\":\"Case Reports in Obstetrics and Gynecology\",\"volume\":\"2025 \",\"pages\":\"9403522\"},\"PeriodicalIF\":0.8000,\"publicationDate\":\"2025-08-30\",\"publicationTypes\":\"Journal Article\",\"fieldsOfStudy\":null,\"isOpenAccess\":false,\"openAccessPdf\":\"https://www.ncbi.nlm.nih.gov/pmc/articles/PMC12413939/pdf/\",\"citationCount\":\"0\",\"resultStr\":null,\"platform\":\"Semanticscholar\",\"paperid\":null,\"PeriodicalName\":\"Case Reports in Obstetrics and Gynecology\",\"FirstCategoryId\":\"1085\",\"ListUrlMain\":\"https://doi.org/10.1155/crog/9403522\",\"RegionNum\":0,\"RegionCategory\":null,\"ArticlePicture\":[],\"TitleCN\":null,\"AbstractTextCN\":null,\"PMCID\":null,\"EPubDate\":\"2025/1/1 0:00:00\",\"PubModel\":\"eCollection\",\"JCR\":\"Q4\",\"JCRName\":\"OBSTETRICS & GYNECOLOGY\",\"Score\":null,\"Total\":0}","platform":"Semanticscholar","paperid":null,"PeriodicalName":"Case Reports in Obstetrics and Gynecology","FirstCategoryId":"1085","ListUrlMain":"https://doi.org/10.1155/crog/9403522","RegionNum":0,"RegionCategory":null,"ArticlePicture":[],"TitleCN":null,"AbstractTextCN":null,"PMCID":null,"EPubDate":"2025/1/1 0:00:00","PubModel":"eCollection","JCR":"Q4","JCRName":"OBSTETRICS & GYNECOLOGY","Score":null,"Total":0}
引用次数: 0

摘要

背景:疟疾和阿米巴感染被认为是死产和早产的危险因素,但它们在妊娠期间的共存尚未有报道。病例:我们描述了在布隆迪的一家农村医院发生的第一例避免产妇死亡的病例,胎儿在妊娠22周时在子宫内死亡,同时伴有恶性疟疾和肝阿米巴脓肿。结论:阿米巴肝脓肿在妊娠期间很少被描述,据我们所知,从未与严重疟疾合并:两种寄生虫感染需要完全不同的治疗。我们成功地在农村地区处理了这个困难的病例,这至少要归功于三个主要因素:工作人员的技能、创造性和超声技术的进步。
本文章由计算机程序翻译,如有差异,请以英文原文为准。

Management of a Pregnant Woman With Malaria, Stillbirth, and a 12 × 11-cm Amoebic Liver Abscess in a Burundian Hospital: A Case Report.

Management of a Pregnant Woman With Malaria, Stillbirth, and a 12 × 11-cm Amoebic Liver Abscess in a Burundian Hospital: A Case Report.

Background: Malaria and amoebic infections are considered risk factors for stillbirth and preterm labor, but their coexistence during pregnancy has not been previously reported. Case: We describe the first case of averted maternal mortality with fetal death in utero at 22 weeks' gestation, complicated by both falciparum malaria and hepatic amoebic abscess, in a rural hospital in Burundi. Conclusion: Amoebic liver abscesses are rarely described in pregnancy and, as far as we are aware, never in conjunction with severe malaria: two parasitic infections requiring completely different treatments. We successfully managed this difficult case in a rural context thanks to at least three main factors: staff skills, inventiveness, and advances in ultrasonographic technology.

求助全文
通过发布文献求助,成功后即可免费获取论文全文。 去求助
来源期刊
Case Reports in Obstetrics and Gynecology
Case Reports in Obstetrics and Gynecology Medicine-Obstetrics and Gynecology
CiteScore
1.30
自引率
0.00%
发文量
64
审稿时长
12 weeks
×
引用
GB/T 7714-2015
复制
MLA
复制
APA
复制
导出至
BibTeX EndNote RefMan NoteFirst NoteExpress
×
提示
您的信息不完整,为了账户安全,请先补充。
现在去补充
×
提示
您因"违规操作"
具体请查看互助需知
我知道了
×
提示
确定
请完成安全验证×
copy
已复制链接
快去分享给好友吧!
我知道了
右上角分享
点击右上角分享
0
联系我们:info@booksci.cn Book学术提供免费学术资源搜索服务,方便国内外学者检索中英文文献。致力于提供最便捷和优质的服务体验。 Copyright © 2023 布克学术 All rights reserved.
京ICP备2023020795号-1
ghs 京公网安备 11010802042870号
Book学术文献互助
Book学术文献互助群
群 号:604180095
Book学术官方微信