t细胞前淋巴细胞白血病浸润致肾功能衰竭1例。

IF 0.7 Q4 HEMATOLOGY
Case Reports in Hematology Pub Date : 2025-08-29 eCollection Date: 2025-01-01 DOI:10.1155/crh/1402078
Stuart K Gibson, Thomas Davis, Melisa Vazquez, Swe Htet, Eric Wong
{"title":"t细胞前淋巴细胞白血病浸润致肾功能衰竭1例。","authors":"Stuart K Gibson, Thomas Davis, Melisa Vazquez, Swe Htet, Eric Wong","doi":"10.1155/crh/1402078","DOIUrl":null,"url":null,"abstract":"<p><p>T-cell prolymphocytic leukaemia (T-PLL) is an aggressive and rare post-thymic T cell malignancy, highly refractory to conventional cytotoxic chemotherapeutics. While extranodal involvement is common, solid organ invasion is rare. We present the case of a 76-year-old man who developed acute renal failure secondary to T-PLL renal infiltration. On day four of his admission, prior to commencing alemtuzumab, his creatinine rose from 133 μmol/L to 390 μmol/L, with anuria. Renal biopsy demonstrated an infiltrate of monomorphic, mononuclear cells positive for a STAT5B mutation, consistent with T-PLL infiltration. He required haemodialysis, but was treated with pulsed methylprednisolone and alemtuzumab, with excellent renal recovery, although remission was not achieved. This case demonstrates that renal leukaemic infiltration must be considered in T-PLL patients with rapidly progressive renal failure, and that solid organ invasion should not contraindicate timely commencement of T-PLL-directed therapy with alemtuzumab.</p>","PeriodicalId":46307,"journal":{"name":"Case Reports in Hematology","volume":"2025 ","pages":"1402078"},"PeriodicalIF":0.7000,"publicationDate":"2025-08-29","publicationTypes":"Journal Article","fieldsOfStudy":null,"isOpenAccess":false,"openAccessPdf":"https://www.ncbi.nlm.nih.gov/pmc/articles/PMC12413279/pdf/","citationCount":"0","resultStr":"{\"title\":\"A Rare Case of Renal Failure Caused by T-Cell Prolymphocytic Leukaemia Infiltration.\",\"authors\":\"Stuart K Gibson, Thomas Davis, Melisa Vazquez, Swe Htet, Eric Wong\",\"doi\":\"10.1155/crh/1402078\",\"DOIUrl\":null,\"url\":null,\"abstract\":\"<p><p>T-cell prolymphocytic leukaemia (T-PLL) is an aggressive and rare post-thymic T cell malignancy, highly refractory to conventional cytotoxic chemotherapeutics. While extranodal involvement is common, solid organ invasion is rare. We present the case of a 76-year-old man who developed acute renal failure secondary to T-PLL renal infiltration. On day four of his admission, prior to commencing alemtuzumab, his creatinine rose from 133 μmol/L to 390 μmol/L, with anuria. Renal biopsy demonstrated an infiltrate of monomorphic, mononuclear cells positive for a STAT5B mutation, consistent with T-PLL infiltration. He required haemodialysis, but was treated with pulsed methylprednisolone and alemtuzumab, with excellent renal recovery, although remission was not achieved. This case demonstrates that renal leukaemic infiltration must be considered in T-PLL patients with rapidly progressive renal failure, and that solid organ invasion should not contraindicate timely commencement of T-PLL-directed therapy with alemtuzumab.</p>\",\"PeriodicalId\":46307,\"journal\":{\"name\":\"Case Reports in Hematology\",\"volume\":\"2025 \",\"pages\":\"1402078\"},\"PeriodicalIF\":0.7000,\"publicationDate\":\"2025-08-29\",\"publicationTypes\":\"Journal Article\",\"fieldsOfStudy\":null,\"isOpenAccess\":false,\"openAccessPdf\":\"https://www.ncbi.nlm.nih.gov/pmc/articles/PMC12413279/pdf/\",\"citationCount\":\"0\",\"resultStr\":null,\"platform\":\"Semanticscholar\",\"paperid\":null,\"PeriodicalName\":\"Case Reports in Hematology\",\"FirstCategoryId\":\"1085\",\"ListUrlMain\":\"https://doi.org/10.1155/crh/1402078\",\"RegionNum\":0,\"RegionCategory\":null,\"ArticlePicture\":[],\"TitleCN\":null,\"AbstractTextCN\":null,\"PMCID\":null,\"EPubDate\":\"2025/1/1 0:00:00\",\"PubModel\":\"eCollection\",\"JCR\":\"Q4\",\"JCRName\":\"HEMATOLOGY\",\"Score\":null,\"Total\":0}","platform":"Semanticscholar","paperid":null,"PeriodicalName":"Case Reports in Hematology","FirstCategoryId":"1085","ListUrlMain":"https://doi.org/10.1155/crh/1402078","RegionNum":0,"RegionCategory":null,"ArticlePicture":[],"TitleCN":null,"AbstractTextCN":null,"PMCID":null,"EPubDate":"2025/1/1 0:00:00","PubModel":"eCollection","JCR":"Q4","JCRName":"HEMATOLOGY","Score":null,"Total":0}
引用次数: 0

摘要

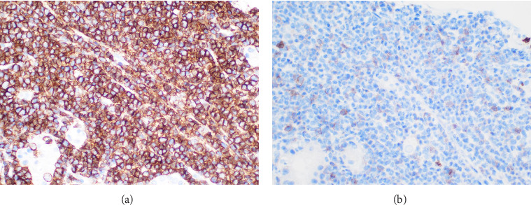
T细胞前淋巴细胞白血病(T- pll)是一种侵袭性和罕见的胸腺后T细胞恶性肿瘤,对传统的细胞毒性化疗药物高度难治。结外受累是常见的,实性器官侵犯是罕见的。我们提出的情况下,一个76岁的男子谁发展急性肾功能衰竭继发的T-PLL肾浸润。入院第4天,在开始阿仑单抗治疗之前,他的肌酐从133 μmol/L上升到390 μmol/L,无尿。肾活检显示单核细胞浸润,STAT5B突变阳性,与T-PLL浸润一致。他需要血液透析,但接受了脉冲甲基强的松龙和阿仑单抗治疗,肾脏恢复良好,尽管没有达到缓解。该病例表明,在快速进展性肾衰竭的T-PLL患者中必须考虑肾白血病浸润,实体器官侵犯不应禁止及时开始使用阿仑单抗进行T-PLL定向治疗。
本文章由计算机程序翻译,如有差异,请以英文原文为准。

A Rare Case of Renal Failure Caused by T-Cell Prolymphocytic Leukaemia Infiltration.

A Rare Case of Renal Failure Caused by T-Cell Prolymphocytic Leukaemia Infiltration.

A Rare Case of Renal Failure Caused by T-Cell Prolymphocytic Leukaemia Infiltration.

T-cell prolymphocytic leukaemia (T-PLL) is an aggressive and rare post-thymic T cell malignancy, highly refractory to conventional cytotoxic chemotherapeutics. While extranodal involvement is common, solid organ invasion is rare. We present the case of a 76-year-old man who developed acute renal failure secondary to T-PLL renal infiltration. On day four of his admission, prior to commencing alemtuzumab, his creatinine rose from 133 μmol/L to 390 μmol/L, with anuria. Renal biopsy demonstrated an infiltrate of monomorphic, mononuclear cells positive for a STAT5B mutation, consistent with T-PLL infiltration. He required haemodialysis, but was treated with pulsed methylprednisolone and alemtuzumab, with excellent renal recovery, although remission was not achieved. This case demonstrates that renal leukaemic infiltration must be considered in T-PLL patients with rapidly progressive renal failure, and that solid organ invasion should not contraindicate timely commencement of T-PLL-directed therapy with alemtuzumab.

求助全文
通过发布文献求助,成功后即可免费获取论文全文。 去求助
来源期刊
自引率
0.00%
发文量
51
审稿时长
13 weeks
×
引用
GB/T 7714-2015
复制
MLA
复制
APA
复制
导出至
BibTeX EndNote RefMan NoteFirst NoteExpress
×
提示
您的信息不完整,为了账户安全,请先补充。
现在去补充
×
提示
您因"违规操作"
具体请查看互助需知
我知道了
×
提示
确定
请完成安全验证×
copy
已复制链接
快去分享给好友吧!
我知道了
右上角分享
点击右上角分享
0
联系我们:info@booksci.cn Book学术提供免费学术资源搜索服务,方便国内外学者检索中英文文献。致力于提供最便捷和优质的服务体验。 Copyright © 2023 布克学术 All rights reserved.
京ICP备2023020795号-1
ghs 京公网安备 11010802042870号
Book学术文献互助
Book学术文献互助群
群 号:604180095
Book学术官方微信