AIM(预估/调整,成像,管理)预防机器人辅助支气管镜消融过程中的出血。

IF 0.8 Q4 RESPIRATORY SYSTEM
Respirology Case Reports Pub Date : 2025-09-04 eCollection Date: 2025-09-01 DOI:10.1002/rcr2.70335
Sebastian Fernandez-Bussy, Anna Kornafeld, Bryan Husta, Linh H Vu, Alejandra Yu Lee-Mateus, Mohammed A Alqawasma, David Abia-Trujillo
{"title":"AIM(预估/调整,成像,管理)预防机器人辅助支气管镜消融过程中的出血。","authors":"Sebastian Fernandez-Bussy, Anna Kornafeld, Bryan Husta, Linh H Vu, Alejandra Yu Lee-Mateus, Mohammed A Alqawasma, David Abia-Trujillo","doi":"10.1002/rcr2.70335","DOIUrl":null,"url":null,"abstract":"<p><p>Therapeutic treatment of lung nodules by ablation is a new field. Even though not considered standard of care, lung nodule ablation can be appropriate for select cases. Even though ablation is a safe and well-tolerated procedure, bleeding is a potential complication. We introduce our stepwise approach through two cases on how we AIM (Anticipate/Adjust, Image, Manage) to prevent uncontrolled bleeding during Robotically Assisted Bronchoscopic Ablation: 1. Anticipate structures with high risk for bleeding and adjust accordingly, accounting for the needle ablation field; 2. Image: utilise cone beam CT before the first and after each ablation session to screen for bleeding; 3. Manage bleeding by pre-emptively utilising Fogarty balloon occlusion.</p>","PeriodicalId":45846,"journal":{"name":"Respirology Case Reports","volume":"13 9","pages":"e70335"},"PeriodicalIF":0.8000,"publicationDate":"2025-09-04","publicationTypes":"Journal Article","fieldsOfStudy":null,"isOpenAccess":false,"openAccessPdf":"https://www.ncbi.nlm.nih.gov/pmc/articles/PMC12411101/pdf/","citationCount":"0","resultStr":"{\"title\":\"AIM (Anticipate/Adjust, Image, Manage) to Prevent Bleeding During Robotically-Assisted Bronchoscopic Ablation.\",\"authors\":\"Sebastian Fernandez-Bussy, Anna Kornafeld, Bryan Husta, Linh H Vu, Alejandra Yu Lee-Mateus, Mohammed A Alqawasma, David Abia-Trujillo\",\"doi\":\"10.1002/rcr2.70335\",\"DOIUrl\":null,\"url\":null,\"abstract\":\"<p><p>Therapeutic treatment of lung nodules by ablation is a new field. Even though not considered standard of care, lung nodule ablation can be appropriate for select cases. Even though ablation is a safe and well-tolerated procedure, bleeding is a potential complication. We introduce our stepwise approach through two cases on how we AIM (Anticipate/Adjust, Image, Manage) to prevent uncontrolled bleeding during Robotically Assisted Bronchoscopic Ablation: 1. Anticipate structures with high risk for bleeding and adjust accordingly, accounting for the needle ablation field; 2. Image: utilise cone beam CT before the first and after each ablation session to screen for bleeding; 3. Manage bleeding by pre-emptively utilising Fogarty balloon occlusion.</p>\",\"PeriodicalId\":45846,\"journal\":{\"name\":\"Respirology Case Reports\",\"volume\":\"13 9\",\"pages\":\"e70335\"},\"PeriodicalIF\":0.8000,\"publicationDate\":\"2025-09-04\",\"publicationTypes\":\"Journal Article\",\"fieldsOfStudy\":null,\"isOpenAccess\":false,\"openAccessPdf\":\"https://www.ncbi.nlm.nih.gov/pmc/articles/PMC12411101/pdf/\",\"citationCount\":\"0\",\"resultStr\":null,\"platform\":\"Semanticscholar\",\"paperid\":null,\"PeriodicalName\":\"Respirology Case Reports\",\"FirstCategoryId\":\"1085\",\"ListUrlMain\":\"https://doi.org/10.1002/rcr2.70335\",\"RegionNum\":0,\"RegionCategory\":null,\"ArticlePicture\":[],\"TitleCN\":null,\"AbstractTextCN\":null,\"PMCID\":null,\"EPubDate\":\"2025/9/1 0:00:00\",\"PubModel\":\"eCollection\",\"JCR\":\"Q4\",\"JCRName\":\"RESPIRATORY SYSTEM\",\"Score\":null,\"Total\":0}","platform":"Semanticscholar","paperid":null,"PeriodicalName":"Respirology Case Reports","FirstCategoryId":"1085","ListUrlMain":"https://doi.org/10.1002/rcr2.70335","RegionNum":0,"RegionCategory":null,"ArticlePicture":[],"TitleCN":null,"AbstractTextCN":null,"PMCID":null,"EPubDate":"2025/9/1 0:00:00","PubModel":"eCollection","JCR":"Q4","JCRName":"RESPIRATORY SYSTEM","Score":null,"Total":0}
引用次数: 0

摘要

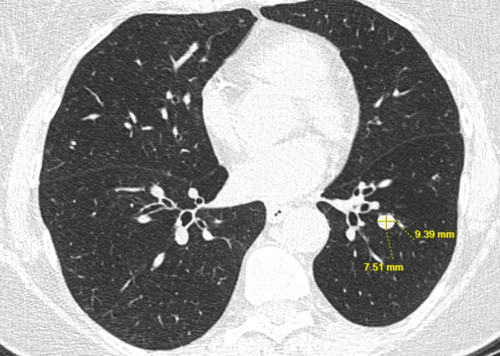
肺结节消融治疗是一个新的领域。尽管不被认为是标准治疗,肺结节消融可以适用于某些病例。尽管消融是一种安全且耐受性良好的手术,但出血是潜在的并发症。我们通过两个案例介绍了我们如何在机器人辅助支气管镜消融过程中AIM(预期/调整、成像、管理)预防无法控制的出血。预测出血风险高的结构并进行相应调整,占针消融领域;2. 图像:在第一次消融前和每次消融后使用锥形束CT筛查出血;3. 通过预先使用福格蒂球囊封堵来处理出血。
本文章由计算机程序翻译,如有差异,请以英文原文为准。

AIM (Anticipate/Adjust, Image, Manage) to Prevent Bleeding During Robotically-Assisted Bronchoscopic Ablation.

AIM (Anticipate/Adjust, Image, Manage) to Prevent Bleeding During Robotically-Assisted Bronchoscopic Ablation.

AIM (Anticipate/Adjust, Image, Manage) to Prevent Bleeding During Robotically-Assisted Bronchoscopic Ablation.

AIM (Anticipate/Adjust, Image, Manage) to Prevent Bleeding During Robotically-Assisted Bronchoscopic Ablation.

Therapeutic treatment of lung nodules by ablation is a new field. Even though not considered standard of care, lung nodule ablation can be appropriate for select cases. Even though ablation is a safe and well-tolerated procedure, bleeding is a potential complication. We introduce our stepwise approach through two cases on how we AIM (Anticipate/Adjust, Image, Manage) to prevent uncontrolled bleeding during Robotically Assisted Bronchoscopic Ablation: 1. Anticipate structures with high risk for bleeding and adjust accordingly, accounting for the needle ablation field; 2. Image: utilise cone beam CT before the first and after each ablation session to screen for bleeding; 3. Manage bleeding by pre-emptively utilising Fogarty balloon occlusion.

求助全文
通过发布文献求助,成功后即可免费获取论文全文。 去求助
来源期刊
Respirology Case Reports
Respirology Case Reports RESPIRATORY SYSTEM-
CiteScore
1.40
自引率
0.00%
发文量
178
审稿时长
8 weeks
期刊介绍: Respirology Case Reports is an open-access online journal dedicated to the publication of original clinical case reports, case series, clinical images and clinical videos in all fields of respiratory medicine. The Journal encourages the international exchange between clinicians and researchers of experiences in diagnosing and treating uncommon diseases or diseases with unusual presentations. All manuscripts are peer-reviewed through a streamlined process that aims at providing a rapid turnaround time from submission to publication.
×
引用
GB/T 7714-2015
复制
MLA
复制
APA
复制
导出至
BibTeX EndNote RefMan NoteFirst NoteExpress
×
提示
您的信息不完整,为了账户安全,请先补充。
现在去补充
×
提示
您因"违规操作"
具体请查看互助需知
我知道了
×
提示
确定
请完成安全验证×
copy
已复制链接
快去分享给好友吧!
我知道了
右上角分享
点击右上角分享
0
联系我们:info@booksci.cn Book学术提供免费学术资源搜索服务,方便国内外学者检索中英文文献。致力于提供最便捷和优质的服务体验。 Copyright © 2023 布克学术 All rights reserved.
京ICP备2023020795号-1
ghs 京公网安备 11010802042870号
Book学术文献互助
Book学术文献互助群
群 号:604180095
Book学术官方微信