男性晚期包膜乳头状乳腺癌1例报告。

IF 0.5 Q4 PATHOLOGY
Case Reports in Pathology Pub Date : 2025-08-28 eCollection Date: 2025-01-01 DOI:10.1155/crip/6518104
Elyssa Glassheim, Jain Zhou, Stephanie Fine, Nadja K Falk, Mary Torrez
{"title":"男性晚期包膜乳头状乳腺癌1例报告。","authors":"Elyssa Glassheim, Jain Zhou, Stephanie Fine, Nadja K Falk, Mary Torrez","doi":"10.1155/crip/6518104","DOIUrl":null,"url":null,"abstract":"<p><p>Encapsulated papillary carcinoma (EPC) is an invasive carcinoma which shows papillary architecture within a thickened fibrous capsule. Multiple studies have shown that this tumor follows an indolent course with excellent prognosis, and as such, it is recommended that it be staged as in situ lesions. It is an uncommonly encountered tumor most often diagnosed in postmenopausal females. As breast cancer in males is overall rare, available data on diagnosis, management, and outcomes of EPC in males is limited. Typically, cases of EPC that present with advanced stage and/or lymph node metastases show an associated invasive process. We present a case of pure EPC in a male patient with associated skin ulceration and positive lymph nodes, leading to a final stage of ypT4bN1a. The present report underscores the indolent nature of EPC, even when diagnosed at an advanced stage.</p>","PeriodicalId":45638,"journal":{"name":"Case Reports in Pathology","volume":"2025 ","pages":"6518104"},"PeriodicalIF":0.5000,"publicationDate":"2025-08-28","publicationTypes":"Journal Article","fieldsOfStudy":null,"isOpenAccess":false,"openAccessPdf":"https://www.ncbi.nlm.nih.gov/pmc/articles/PMC12411041/pdf/","citationCount":"0","resultStr":"{\"title\":\"An Advanced-Stage Encapsulated Papillary Breast Carcinoma in a Male: A Case Report.\",\"authors\":\"Elyssa Glassheim, Jain Zhou, Stephanie Fine, Nadja K Falk, Mary Torrez\",\"doi\":\"10.1155/crip/6518104\",\"DOIUrl\":null,\"url\":null,\"abstract\":\"<p><p>Encapsulated papillary carcinoma (EPC) is an invasive carcinoma which shows papillary architecture within a thickened fibrous capsule. Multiple studies have shown that this tumor follows an indolent course with excellent prognosis, and as such, it is recommended that it be staged as in situ lesions. It is an uncommonly encountered tumor most often diagnosed in postmenopausal females. As breast cancer in males is overall rare, available data on diagnosis, management, and outcomes of EPC in males is limited. Typically, cases of EPC that present with advanced stage and/or lymph node metastases show an associated invasive process. We present a case of pure EPC in a male patient with associated skin ulceration and positive lymph nodes, leading to a final stage of ypT4bN1a. The present report underscores the indolent nature of EPC, even when diagnosed at an advanced stage.</p>\",\"PeriodicalId\":45638,\"journal\":{\"name\":\"Case Reports in Pathology\",\"volume\":\"2025 \",\"pages\":\"6518104\"},\"PeriodicalIF\":0.5000,\"publicationDate\":\"2025-08-28\",\"publicationTypes\":\"Journal Article\",\"fieldsOfStudy\":null,\"isOpenAccess\":false,\"openAccessPdf\":\"https://www.ncbi.nlm.nih.gov/pmc/articles/PMC12411041/pdf/\",\"citationCount\":\"0\",\"resultStr\":null,\"platform\":\"Semanticscholar\",\"paperid\":null,\"PeriodicalName\":\"Case Reports in Pathology\",\"FirstCategoryId\":\"1085\",\"ListUrlMain\":\"https://doi.org/10.1155/crip/6518104\",\"RegionNum\":0,\"RegionCategory\":null,\"ArticlePicture\":[],\"TitleCN\":null,\"AbstractTextCN\":null,\"PMCID\":null,\"EPubDate\":\"2025/1/1 0:00:00\",\"PubModel\":\"eCollection\",\"JCR\":\"Q4\",\"JCRName\":\"PATHOLOGY\",\"Score\":null,\"Total\":0}","platform":"Semanticscholar","paperid":null,"PeriodicalName":"Case Reports in Pathology","FirstCategoryId":"1085","ListUrlMain":"https://doi.org/10.1155/crip/6518104","RegionNum":0,"RegionCategory":null,"ArticlePicture":[],"TitleCN":null,"AbstractTextCN":null,"PMCID":null,"EPubDate":"2025/1/1 0:00:00","PubModel":"eCollection","JCR":"Q4","JCRName":"PATHOLOGY","Score":null,"Total":0}
引用次数: 0

摘要

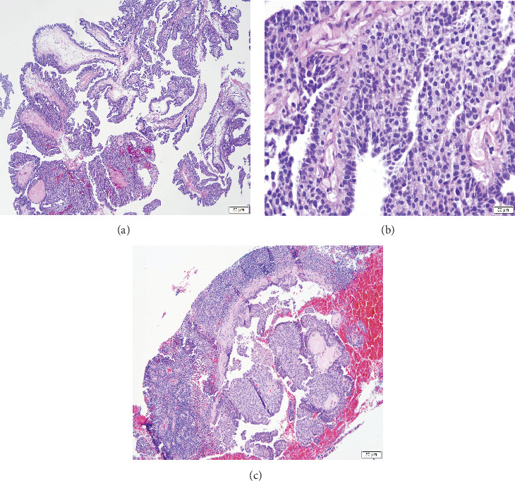
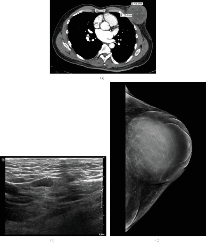
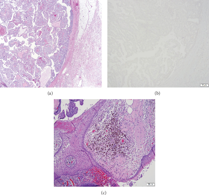
囊状乳头状癌(EPC)是一种浸润性癌,在增厚的纤维囊内表现为乳头状结构。多项研究表明,该肿瘤表现为无痛病程,预后良好,因此,建议将其作为原位病变分期。它是一种罕见的肿瘤,最常见于绝经后女性。由于男性乳腺癌总体上是罕见的,关于男性EPC的诊断、管理和结果的可用数据是有限的。通常情况下,出现晚期和/或淋巴结转移的EPC病例显示相关的侵袭过程。我们报告了一例纯EPC男性患者,伴有皮肤溃疡和淋巴结阳性,导致ypT4bN1a的最后阶段。本报告强调了EPC的惰性性质,即使在晚期诊断也是如此。
本文章由计算机程序翻译,如有差异,请以英文原文为准。

An Advanced-Stage Encapsulated Papillary Breast Carcinoma in a Male: A Case Report.

An Advanced-Stage Encapsulated Papillary Breast Carcinoma in a Male: A Case Report.

An Advanced-Stage Encapsulated Papillary Breast Carcinoma in a Male: A Case Report.

An Advanced-Stage Encapsulated Papillary Breast Carcinoma in a Male: A Case Report.

Encapsulated papillary carcinoma (EPC) is an invasive carcinoma which shows papillary architecture within a thickened fibrous capsule. Multiple studies have shown that this tumor follows an indolent course with excellent prognosis, and as such, it is recommended that it be staged as in situ lesions. It is an uncommonly encountered tumor most often diagnosed in postmenopausal females. As breast cancer in males is overall rare, available data on diagnosis, management, and outcomes of EPC in males is limited. Typically, cases of EPC that present with advanced stage and/or lymph node metastases show an associated invasive process. We present a case of pure EPC in a male patient with associated skin ulceration and positive lymph nodes, leading to a final stage of ypT4bN1a. The present report underscores the indolent nature of EPC, even when diagnosed at an advanced stage.

求助全文
通过发布文献求助,成功后即可免费获取论文全文。 去求助
来源期刊
自引率
0.00%
发文量
20
审稿时长
12 weeks
×
引用
GB/T 7714-2015
复制
MLA
复制
APA
复制
导出至
BibTeX EndNote RefMan NoteFirst NoteExpress
×
提示
您的信息不完整,为了账户安全,请先补充。
现在去补充
×
提示
您因"违规操作"
具体请查看互助需知
我知道了
×
提示
确定
请完成安全验证×
copy
已复制链接
快去分享给好友吧!
我知道了
右上角分享
点击右上角分享
0
联系我们:info@booksci.cn Book学术提供免费学术资源搜索服务,方便国内外学者检索中英文文献。致力于提供最便捷和优质的服务体验。 Copyright © 2023 布克学术 All rights reserved.
京ICP备2023020795号-1
ghs 京公网安备 11010802042870号
Book学术文献互助
Book学术文献互助群
群 号:604180095
Book学术官方微信