三甲医院儿童鼻窦肿瘤的回顾性研究。

IF 0.7 Q3 MEDICINE, GENERAL & INTERNAL
Dinah A AlNoaimi, Shaykhah AlNaimi, Maria Alabdulaal, Ali Almomen
{"title":"三甲医院儿童鼻窦肿瘤的回顾性研究。","authors":"Dinah A AlNoaimi, Shaykhah AlNaimi, Maria Alabdulaal, Ali Almomen","doi":"10.12659/AJCR.948494","DOIUrl":null,"url":null,"abstract":"<p><p>BACKGROUND Pediatric sinonasal tumors are rare, accounting for about 4% of all pediatric head and neck neoplasms. Due to their nonspecific symptoms such as nasal obstruction, epistaxis, and facial pain, these tumors often present diagnostic challenges and lead to delays in managment. Early and accurate diagnosis is crucial to optimize clinical outcomes. CASE REPORT This is a retrospective review of 4 pediatric patients with diagnosis of sinonasal tumors at a tertiary hospital in Saudi Arabia. The series includes 2 benign tumors, osteoma and juvenile nasopharyngeal angiofibroma, and 2 malignant tumors, NK/T-cell lymphoma and rhabdomyosarcoma. Diagnostic workups included nasal endoscopy, CT, MRI, and PET-CT imaging, followed by histopathological confirmation. Benign tumors were successfully treated with image-guided endoscopic excision, with no evidence of recurrence during follow-up periods of 2 and 5 years, respectively, while malignant tumors required a multimodal approach, combining chemotherapy and radiotherapy under multidisciplinary care, and showed stabilization after treatment with continued surveillance. The variety in presentation and complexity of management underscore the diagnostic and therapeutic challenges in this population. CONCLUSIONS This case series highlights the importance of early suspicion, comprehensive imaging, and individualized treatment plans in managing pediatric sinonasal tumors. The use of minimally invasive surgical techniques and preoperative embolization was effective in selected cases. The findings emphasize the role of multidisciplinary collaboration in optimizing outcomes for benign and malignant tumors. Future research should aim to develop standardized diagnostic algorithms and explore advanced diagnostic tools, such as molecular imaging, to facilitate earlier detection and improve treatment precision in pediatric sinonasal oncology.</p>","PeriodicalId":39064,"journal":{"name":"American Journal of Case Reports","volume":"26 ","pages":"e948494"},"PeriodicalIF":0.7000,"publicationDate":"2025-09-07","publicationTypes":"Journal Article","fieldsOfStudy":null,"isOpenAccess":false,"openAccessPdf":"https://www.ncbi.nlm.nih.gov/pmc/articles/PMC12424476/pdf/","citationCount":"0","resultStr":"{\"title\":\"Retrospective Study of Pediatric Sinonasal Tumors in a Tertiary Hospital Setting.\",\"authors\":\"Dinah A AlNoaimi, Shaykhah AlNaimi, Maria Alabdulaal, Ali Almomen\",\"doi\":\"10.12659/AJCR.948494\",\"DOIUrl\":null,\"url\":null,\"abstract\":\"<p><p>BACKGROUND Pediatric sinonasal tumors are rare, accounting for about 4% of all pediatric head and neck neoplasms. Due to their nonspecific symptoms such as nasal obstruction, epistaxis, and facial pain, these tumors often present diagnostic challenges and lead to delays in managment. Early and accurate diagnosis is crucial to optimize clinical outcomes. CASE REPORT This is a retrospective review of 4 pediatric patients with diagnosis of sinonasal tumors at a tertiary hospital in Saudi Arabia. The series includes 2 benign tumors, osteoma and juvenile nasopharyngeal angiofibroma, and 2 malignant tumors, NK/T-cell lymphoma and rhabdomyosarcoma. Diagnostic workups included nasal endoscopy, CT, MRI, and PET-CT imaging, followed by histopathological confirmation. Benign tumors were successfully treated with image-guided endoscopic excision, with no evidence of recurrence during follow-up periods of 2 and 5 years, respectively, while malignant tumors required a multimodal approach, combining chemotherapy and radiotherapy under multidisciplinary care, and showed stabilization after treatment with continued surveillance. The variety in presentation and complexity of management underscore the diagnostic and therapeutic challenges in this population. CONCLUSIONS This case series highlights the importance of early suspicion, comprehensive imaging, and individualized treatment plans in managing pediatric sinonasal tumors. The use of minimally invasive surgical techniques and preoperative embolization was effective in selected cases. The findings emphasize the role of multidisciplinary collaboration in optimizing outcomes for benign and malignant tumors. Future research should aim to develop standardized diagnostic algorithms and explore advanced diagnostic tools, such as molecular imaging, to facilitate earlier detection and improve treatment precision in pediatric sinonasal oncology.</p>\",\"PeriodicalId\":39064,\"journal\":{\"name\":\"American Journal of Case Reports\",\"volume\":\"26 \",\"pages\":\"e948494\"},\"PeriodicalIF\":0.7000,\"publicationDate\":\"2025-09-07\",\"publicationTypes\":\"Journal Article\",\"fieldsOfStudy\":null,\"isOpenAccess\":false,\"openAccessPdf\":\"https://www.ncbi.nlm.nih.gov/pmc/articles/PMC12424476/pdf/\",\"citationCount\":\"0\",\"resultStr\":null,\"platform\":\"Semanticscholar\",\"paperid\":null,\"PeriodicalName\":\"American Journal of Case Reports\",\"FirstCategoryId\":\"1085\",\"ListUrlMain\":\"https://doi.org/10.12659/AJCR.948494\",\"RegionNum\":0,\"RegionCategory\":null,\"ArticlePicture\":[],\"TitleCN\":null,\"AbstractTextCN\":null,\"PMCID\":null,\"EPubDate\":\"\",\"PubModel\":\"\",\"JCR\":\"Q3\",\"JCRName\":\"MEDICINE, GENERAL & INTERNAL\",\"Score\":null,\"Total\":0}","platform":"Semanticscholar","paperid":null,"PeriodicalName":"American Journal of Case Reports","FirstCategoryId":"1085","ListUrlMain":"https://doi.org/10.12659/AJCR.948494","RegionNum":0,"RegionCategory":null,"ArticlePicture":[],"TitleCN":null,"AbstractTextCN":null,"PMCID":null,"EPubDate":"","PubModel":"","JCR":"Q3","JCRName":"MEDICINE, GENERAL & INTERNAL","Score":null,"Total":0}
引用次数: 0

摘要

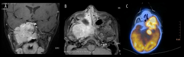
儿童鼻窦肿瘤是罕见的,约占所有儿童头颈部肿瘤的4%。由于其非特异性症状,如鼻塞、鼻出血和面部疼痛,这些肿瘤通常存在诊断挑战并导致治疗延误。早期和准确的诊断是优化临床结果的关键。病例报告:这是对沙特阿拉伯一家三级医院诊断为鼻窦肿瘤的4例儿童患者的回顾性分析。该系列包括2个良性肿瘤,骨瘤和青少年鼻咽血管纤维瘤,2个恶性肿瘤,NK/ t细胞淋巴瘤和横纹肌肉瘤。诊断检查包括鼻内窥镜检查、CT、MRI和PET-CT成像,随后进行组织病理学确认。良性肿瘤通过图像引导下的内镜切除成功治疗,随访2年和5年分别无复发迹象,而恶性肿瘤则需要多模式途径,在多学科护理下联合化疗和放疗,治疗后持续监测病情稳定。表现的多样性和管理的复杂性强调了这一人群的诊断和治疗挑战。结论:本病例强调了早期诊断、综合影像学检查和个体化治疗方案在小儿鼻窦肿瘤治疗中的重要性。在选定的病例中,使用微创手术技术和术前栓塞是有效的。研究结果强调了多学科合作在优化良性和恶性肿瘤预后中的作用。未来的研究应致力于制定标准化的诊断算法,探索先进的诊断工具,如分子成像,以促进儿童鼻窦肿瘤的早期发现和提高治疗精度。
本文章由计算机程序翻译,如有差异,请以英文原文为准。

Retrospective Study of Pediatric Sinonasal Tumors in a Tertiary Hospital Setting.

Retrospective Study of Pediatric Sinonasal Tumors in a Tertiary Hospital Setting.

Retrospective Study of Pediatric Sinonasal Tumors in a Tertiary Hospital Setting.

Retrospective Study of Pediatric Sinonasal Tumors in a Tertiary Hospital Setting.

BACKGROUND Pediatric sinonasal tumors are rare, accounting for about 4% of all pediatric head and neck neoplasms. Due to their nonspecific symptoms such as nasal obstruction, epistaxis, and facial pain, these tumors often present diagnostic challenges and lead to delays in managment. Early and accurate diagnosis is crucial to optimize clinical outcomes. CASE REPORT This is a retrospective review of 4 pediatric patients with diagnosis of sinonasal tumors at a tertiary hospital in Saudi Arabia. The series includes 2 benign tumors, osteoma and juvenile nasopharyngeal angiofibroma, and 2 malignant tumors, NK/T-cell lymphoma and rhabdomyosarcoma. Diagnostic workups included nasal endoscopy, CT, MRI, and PET-CT imaging, followed by histopathological confirmation. Benign tumors were successfully treated with image-guided endoscopic excision, with no evidence of recurrence during follow-up periods of 2 and 5 years, respectively, while malignant tumors required a multimodal approach, combining chemotherapy and radiotherapy under multidisciplinary care, and showed stabilization after treatment with continued surveillance. The variety in presentation and complexity of management underscore the diagnostic and therapeutic challenges in this population. CONCLUSIONS This case series highlights the importance of early suspicion, comprehensive imaging, and individualized treatment plans in managing pediatric sinonasal tumors. The use of minimally invasive surgical techniques and preoperative embolization was effective in selected cases. The findings emphasize the role of multidisciplinary collaboration in optimizing outcomes for benign and malignant tumors. Future research should aim to develop standardized diagnostic algorithms and explore advanced diagnostic tools, such as molecular imaging, to facilitate earlier detection and improve treatment precision in pediatric sinonasal oncology.

求助全文
通过发布文献求助,成功后即可免费获取论文全文。 去求助
来源期刊
American Journal of Case Reports
American Journal of Case Reports Medicine-Medicine (all)
CiteScore
1.80
自引率
0.00%
发文量
599
期刊介绍: American Journal of Case Reports is an international, peer-reviewed scientific journal that publishes single and series case reports in all medical fields. American Journal of Case Reports is issued on a continuous basis as a primary electronic journal. Print copies of a single article or a set of articles can be ordered on demand.
×
引用
GB/T 7714-2015
复制
MLA
复制
APA
复制
导出至
BibTeX EndNote RefMan NoteFirst NoteExpress
×
提示
您的信息不完整,为了账户安全,请先补充。
现在去补充
×
提示
您因"违规操作"
具体请查看互助需知
我知道了
×
提示
确定
请完成安全验证×
copy
已复制链接
快去分享给好友吧!
我知道了
右上角分享
点击右上角分享
0
联系我们:info@booksci.cn Book学术提供免费学术资源搜索服务,方便国内外学者检索中英文文献。致力于提供最便捷和优质的服务体验。 Copyright © 2023 布克学术 All rights reserved.
京ICP备2023020795号-1
ghs 京公网安备 11010802042870号
Book学术文献互助
Book学术文献互助群
群 号:604180095
Book学术官方微信