术后残留胸膜间隙:胸腔镜手术后胸壁疝的危险因素。

IF 0.7 Q3 MEDICINE, GENERAL & INTERNAL
Arpad Hasenauer, Anna Dambrosio, Sebastian Happ, Michel Christodoulou
{"title":"术后残留胸膜间隙:胸腔镜手术后胸壁疝的危险因素。","authors":"Arpad Hasenauer, Anna Dambrosio, Sebastian Happ, Michel Christodoulou","doi":"10.12659/AJCR.947322","DOIUrl":null,"url":null,"abstract":"<p><p>BACKGROUND Chest wall hernia and residual pleural space are known complications after thoracoscopic anatomical lung resection. Some risk factors for chest wall hernia have been described; however, residual pleural space has never been described as one of them. We present 2 cases suggesting that postoperative residual air space can represent a newly identified risk factor for chest wall hernia. CASE REPORT Case 1: A 71-year-old man developed a postoperative chest wall hernia at the fourth intercostal incision level 1 week after a 3-port thoracoscopic left lower lobectomy for early-stage non-small cell lung carcinoma. He was not known to have any described risk factors for postoperative chest wall hernia, but his postoperative course was complicated by a residual pleural space. Case 2: A 60-year-old man developed a postoperative chest wall hernia at the fourth intercostal incision level, diagnosed 5 months after a right apical upper lobe segmentectomy by 3-port thoracoscopy for early-stage non-small cell lung carcinoma. She was not known to have any risk factors for postoperative chest wall hernia; however, her postoperative course was also complicated by a residual pleural space. CONCLUSIONS We suggest that air flow through the thoracoscopic incision, due to residual pleural air, could impede wound healing and favor chest wall hernia. Adaptation of the closure technique for video-assisted thoracic surgery incisions in patients at risk may help prevent postoperative chest wall hernias. These cases highlight the possibility that residual pleural space could be a newly identified risk factor for postoperative chest wall hernia and propose potential preventive measures.</p>","PeriodicalId":39064,"journal":{"name":"American Journal of Case Reports","volume":"26 ","pages":"e947322"},"PeriodicalIF":0.7000,"publicationDate":"2025-09-05","publicationTypes":"Journal Article","fieldsOfStudy":null,"isOpenAccess":false,"openAccessPdf":"https://www.ncbi.nlm.nih.gov/pmc/articles/PMC12418893/pdf/","citationCount":"0","resultStr":"{\"title\":\"Postoperative Residual Pleural Space: A Risk Factor for Chest Wall Hernia After Thoracoscopic Surgery.\",\"authors\":\"Arpad Hasenauer, Anna Dambrosio, Sebastian Happ, Michel Christodoulou\",\"doi\":\"10.12659/AJCR.947322\",\"DOIUrl\":null,\"url\":null,\"abstract\":\"<p><p>BACKGROUND Chest wall hernia and residual pleural space are known complications after thoracoscopic anatomical lung resection. Some risk factors for chest wall hernia have been described; however, residual pleural space has never been described as one of them. We present 2 cases suggesting that postoperative residual air space can represent a newly identified risk factor for chest wall hernia. CASE REPORT Case 1: A 71-year-old man developed a postoperative chest wall hernia at the fourth intercostal incision level 1 week after a 3-port thoracoscopic left lower lobectomy for early-stage non-small cell lung carcinoma. He was not known to have any described risk factors for postoperative chest wall hernia, but his postoperative course was complicated by a residual pleural space. Case 2: A 60-year-old man developed a postoperative chest wall hernia at the fourth intercostal incision level, diagnosed 5 months after a right apical upper lobe segmentectomy by 3-port thoracoscopy for early-stage non-small cell lung carcinoma. She was not known to have any risk factors for postoperative chest wall hernia; however, her postoperative course was also complicated by a residual pleural space. CONCLUSIONS We suggest that air flow through the thoracoscopic incision, due to residual pleural air, could impede wound healing and favor chest wall hernia. Adaptation of the closure technique for video-assisted thoracic surgery incisions in patients at risk may help prevent postoperative chest wall hernias. These cases highlight the possibility that residual pleural space could be a newly identified risk factor for postoperative chest wall hernia and propose potential preventive measures.</p>\",\"PeriodicalId\":39064,\"journal\":{\"name\":\"American Journal of Case Reports\",\"volume\":\"26 \",\"pages\":\"e947322\"},\"PeriodicalIF\":0.7000,\"publicationDate\":\"2025-09-05\",\"publicationTypes\":\"Journal Article\",\"fieldsOfStudy\":null,\"isOpenAccess\":false,\"openAccessPdf\":\"https://www.ncbi.nlm.nih.gov/pmc/articles/PMC12418893/pdf/\",\"citationCount\":\"0\",\"resultStr\":null,\"platform\":\"Semanticscholar\",\"paperid\":null,\"PeriodicalName\":\"American Journal of Case Reports\",\"FirstCategoryId\":\"1085\",\"ListUrlMain\":\"https://doi.org/10.12659/AJCR.947322\",\"RegionNum\":0,\"RegionCategory\":null,\"ArticlePicture\":[],\"TitleCN\":null,\"AbstractTextCN\":null,\"PMCID\":null,\"EPubDate\":\"\",\"PubModel\":\"\",\"JCR\":\"Q3\",\"JCRName\":\"MEDICINE, GENERAL & INTERNAL\",\"Score\":null,\"Total\":0}","platform":"Semanticscholar","paperid":null,"PeriodicalName":"American Journal of Case Reports","FirstCategoryId":"1085","ListUrlMain":"https://doi.org/10.12659/AJCR.947322","RegionNum":0,"RegionCategory":null,"ArticlePicture":[],"TitleCN":null,"AbstractTextCN":null,"PMCID":null,"EPubDate":"","PubModel":"","JCR":"Q3","JCRName":"MEDICINE, GENERAL & INTERNAL","Score":null,"Total":0}
引用次数: 0

摘要

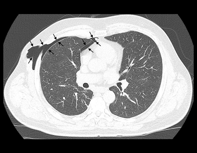
背景胸腔镜解剖肺切除术后,胸壁疝和残余胸膜间隙是已知的并发症。一些胸壁疝的危险因素已被描述;然而,残余胸膜间隙从未被描述为其中之一。我们报告的2例病例表明,术后残留的空气空间可能是胸壁疝的一个新发现的危险因素。病例报告:病例1:一名71岁男性在三孔胸腔镜下左下肺叶切除术治疗早期非小细胞肺癌1周后,在第4肋间切口处发生胸壁疝。他没有任何已知的术后胸壁疝的危险因素,但他的术后过程因残余胸膜间隙而复杂化。病例2:一名60岁男性,因早期非小细胞肺癌行三孔胸腔镜右根尖上叶节段切除术5个月后,在第四肋间切口术后出现胸壁疝。未发现术后胸壁疝的危险因素;然而,她的术后过程也因残余胸膜间隙而复杂化。结论胸膜残留气体通过胸腔镜切口可能阻碍伤口愈合,有利于胸壁疝的发生。在有风险的患者中采用视频辅助胸外科切口闭合技术可能有助于预防术后胸壁疝。这些病例强调了残留胸膜间隙可能是术后胸壁疝的一个新发现的危险因素,并提出了潜在的预防措施。
本文章由计算机程序翻译,如有差异,请以英文原文为准。

Postoperative Residual Pleural Space: A Risk Factor for Chest Wall Hernia After Thoracoscopic Surgery.

Postoperative Residual Pleural Space: A Risk Factor for Chest Wall Hernia After Thoracoscopic Surgery.

Postoperative Residual Pleural Space: A Risk Factor for Chest Wall Hernia After Thoracoscopic Surgery.

Postoperative Residual Pleural Space: A Risk Factor for Chest Wall Hernia After Thoracoscopic Surgery.

BACKGROUND Chest wall hernia and residual pleural space are known complications after thoracoscopic anatomical lung resection. Some risk factors for chest wall hernia have been described; however, residual pleural space has never been described as one of them. We present 2 cases suggesting that postoperative residual air space can represent a newly identified risk factor for chest wall hernia. CASE REPORT Case 1: A 71-year-old man developed a postoperative chest wall hernia at the fourth intercostal incision level 1 week after a 3-port thoracoscopic left lower lobectomy for early-stage non-small cell lung carcinoma. He was not known to have any described risk factors for postoperative chest wall hernia, but his postoperative course was complicated by a residual pleural space. Case 2: A 60-year-old man developed a postoperative chest wall hernia at the fourth intercostal incision level, diagnosed 5 months after a right apical upper lobe segmentectomy by 3-port thoracoscopy for early-stage non-small cell lung carcinoma. She was not known to have any risk factors for postoperative chest wall hernia; however, her postoperative course was also complicated by a residual pleural space. CONCLUSIONS We suggest that air flow through the thoracoscopic incision, due to residual pleural air, could impede wound healing and favor chest wall hernia. Adaptation of the closure technique for video-assisted thoracic surgery incisions in patients at risk may help prevent postoperative chest wall hernias. These cases highlight the possibility that residual pleural space could be a newly identified risk factor for postoperative chest wall hernia and propose potential preventive measures.

求助全文
通过发布文献求助,成功后即可免费获取论文全文。 去求助
来源期刊
American Journal of Case Reports
American Journal of Case Reports Medicine-Medicine (all)
CiteScore
1.80
自引率
0.00%
发文量
599
期刊介绍: American Journal of Case Reports is an international, peer-reviewed scientific journal that publishes single and series case reports in all medical fields. American Journal of Case Reports is issued on a continuous basis as a primary electronic journal. Print copies of a single article or a set of articles can be ordered on demand.
×
引用
GB/T 7714-2015
复制
MLA
复制
APA
复制
导出至
BibTeX EndNote RefMan NoteFirst NoteExpress
×
提示
您的信息不完整,为了账户安全,请先补充。
现在去补充
×
提示
您因"违规操作"
具体请查看互助需知
我知道了
×
提示
确定
请完成安全验证×
copy
已复制链接
快去分享给好友吧!
我知道了
右上角分享
点击右上角分享
0
联系我们:info@booksci.cn Book学术提供免费学术资源搜索服务,方便国内外学者检索中英文文献。致力于提供最便捷和优质的服务体验。 Copyright © 2023 布克学术 All rights reserved.
京ICP备2023020795号-1
ghs 京公网安备 11010802042870号
Book学术文献互助
Book学术文献互助群
群 号:604180095
Book学术官方微信