房间隔缺损封堵器在袖式胃切除术后胃漏处理中的创新应用:1例报告。

IF 0.7 Q3 MEDICINE, GENERAL & INTERNAL
Saud Alsairy, Nawaf N Almutairi
{"title":"房间隔缺损封堵器在袖式胃切除术后胃漏处理中的创新应用:1例报告。","authors":"Saud Alsairy, Nawaf N Almutairi","doi":"10.12659/AJCR.948515","DOIUrl":null,"url":null,"abstract":"<p><p>BACKGROUND Atrial septal defect (ASD) occluder devices present a novel approach for managing persistent gastric leaks following sleeve gastrectomy. While sleeve gastrectomy is effective, postoperative leak rates reach up to 3% in primary surgeries and exceed 10% in revisions, with management remaining complex and non-standardized. CASE REPORT This case report describes a 20-year-old Saudi woman who developed a gastric leak after laparoscopic sleeve gastrectomy. After a failed initial treatment with a self-expandable mega stent that migrated, she presented with severe symptoms and a significant sub-capsular splenic collection. Despite ultrasound-guided drainage and endoscopic interventions, leakage persisted. An ASD occluder device was deployed using endoscopic and fluoroscopic guidance following failed repairs. While post-application imaging initially showed no leaks and the patient's condition improved, she later experienced recurrent symptoms with persistent leakage. The case was ultimately resolved through a Roux-en-Y gastric bypass. CONCLUSIONS This case highlights the potential of ASD occluders in treating complex gastric leaks, particularly for patients reluctant to undergo repeated surgeries. The device's flexibility for repositioning and retrieval, combined with endoscopic compatibility, makes it a valuable tool for managing postoperative bariatric complications. While initial results are promising, further research is needed to validate this approach's efficacy and safety. Future studies should focus on larger cohorts to establish guidelines for ASD device use in gastrointestinal applications.</p>","PeriodicalId":39064,"journal":{"name":"American Journal of Case Reports","volume":"26 ","pages":"e948515"},"PeriodicalIF":0.7000,"publicationDate":"2025-09-04","publicationTypes":"Journal Article","fieldsOfStudy":null,"isOpenAccess":false,"openAccessPdf":"https://www.ncbi.nlm.nih.gov/pmc/articles/PMC12418895/pdf/","citationCount":"0","resultStr":"{\"title\":\"Innovative Use of Atrial Septal Defect Occluders for Gastric Leak Management After Sleeve Gastrectomy: A Case Report.\",\"authors\":\"Saud Alsairy, Nawaf N Almutairi\",\"doi\":\"10.12659/AJCR.948515\",\"DOIUrl\":null,\"url\":null,\"abstract\":\"<p><p>BACKGROUND Atrial septal defect (ASD) occluder devices present a novel approach for managing persistent gastric leaks following sleeve gastrectomy. While sleeve gastrectomy is effective, postoperative leak rates reach up to 3% in primary surgeries and exceed 10% in revisions, with management remaining complex and non-standardized. CASE REPORT This case report describes a 20-year-old Saudi woman who developed a gastric leak after laparoscopic sleeve gastrectomy. After a failed initial treatment with a self-expandable mega stent that migrated, she presented with severe symptoms and a significant sub-capsular splenic collection. Despite ultrasound-guided drainage and endoscopic interventions, leakage persisted. An ASD occluder device was deployed using endoscopic and fluoroscopic guidance following failed repairs. While post-application imaging initially showed no leaks and the patient's condition improved, she later experienced recurrent symptoms with persistent leakage. The case was ultimately resolved through a Roux-en-Y gastric bypass. CONCLUSIONS This case highlights the potential of ASD occluders in treating complex gastric leaks, particularly for patients reluctant to undergo repeated surgeries. The device's flexibility for repositioning and retrieval, combined with endoscopic compatibility, makes it a valuable tool for managing postoperative bariatric complications. While initial results are promising, further research is needed to validate this approach's efficacy and safety. Future studies should focus on larger cohorts to establish guidelines for ASD device use in gastrointestinal applications.</p>\",\"PeriodicalId\":39064,\"journal\":{\"name\":\"American Journal of Case Reports\",\"volume\":\"26 \",\"pages\":\"e948515\"},\"PeriodicalIF\":0.7000,\"publicationDate\":\"2025-09-04\",\"publicationTypes\":\"Journal Article\",\"fieldsOfStudy\":null,\"isOpenAccess\":false,\"openAccessPdf\":\"https://www.ncbi.nlm.nih.gov/pmc/articles/PMC12418895/pdf/\",\"citationCount\":\"0\",\"resultStr\":null,\"platform\":\"Semanticscholar\",\"paperid\":null,\"PeriodicalName\":\"American Journal of Case Reports\",\"FirstCategoryId\":\"1085\",\"ListUrlMain\":\"https://doi.org/10.12659/AJCR.948515\",\"RegionNum\":0,\"RegionCategory\":null,\"ArticlePicture\":[],\"TitleCN\":null,\"AbstractTextCN\":null,\"PMCID\":null,\"EPubDate\":\"\",\"PubModel\":\"\",\"JCR\":\"Q3\",\"JCRName\":\"MEDICINE, GENERAL & INTERNAL\",\"Score\":null,\"Total\":0}","platform":"Semanticscholar","paperid":null,"PeriodicalName":"American Journal of Case Reports","FirstCategoryId":"1085","ListUrlMain":"https://doi.org/10.12659/AJCR.948515","RegionNum":0,"RegionCategory":null,"ArticlePicture":[],"TitleCN":null,"AbstractTextCN":null,"PMCID":null,"EPubDate":"","PubModel":"","JCR":"Q3","JCRName":"MEDICINE, GENERAL & INTERNAL","Score":null,"Total":0}
引用次数: 0

摘要

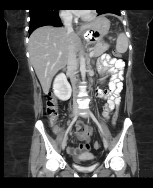
背景房间隔缺损(ASD)封堵器是治疗袖胃切除术后持续性胃漏的一种新方法。虽然袖式胃切除术是有效的,但初次手术的术后漏率高达3%,复诊时漏率超过10%,管理仍然复杂和不规范。病例报告:本病例报告描述了一名20岁的沙特妇女,她在腹腔镜袖胃切除术后发生胃漏。在最初的治疗失败后,自体扩张巨型支架的迁移,她提出了严重的症状和明显的包膜下脾集合。尽管超声引导引流和内镜干预,渗漏仍然存在。在修复失败后,使用内镜和透视引导部署ASD闭塞装置。虽然应用后成像最初未显示渗漏,患者病情有所改善,但后来患者出现持续渗漏的复发症状。该病例最终通过Roux-en-Y胃旁路手术得到解决。结论:本病例强调了ASD封堵器治疗复杂胃漏的潜力,特别是对于不愿重复手术的患者。该设备的重新定位和恢复的灵活性,结合内窥镜兼容性,使其成为治疗术后肥胖并发症的宝贵工具。虽然初步结果很有希望,但需要进一步的研究来验证这种方法的有效性和安全性。未来的研究应该集中在更大的队列上,以建立ASD设备在胃肠道应用的指导方针。
本文章由计算机程序翻译,如有差异,请以英文原文为准。

Innovative Use of Atrial Septal Defect Occluders for Gastric Leak Management After Sleeve Gastrectomy: A Case Report.

Innovative Use of Atrial Septal Defect Occluders for Gastric Leak Management After Sleeve Gastrectomy: A Case Report.

Innovative Use of Atrial Septal Defect Occluders for Gastric Leak Management After Sleeve Gastrectomy: A Case Report.

Innovative Use of Atrial Septal Defect Occluders for Gastric Leak Management After Sleeve Gastrectomy: A Case Report.

BACKGROUND Atrial septal defect (ASD) occluder devices present a novel approach for managing persistent gastric leaks following sleeve gastrectomy. While sleeve gastrectomy is effective, postoperative leak rates reach up to 3% in primary surgeries and exceed 10% in revisions, with management remaining complex and non-standardized. CASE REPORT This case report describes a 20-year-old Saudi woman who developed a gastric leak after laparoscopic sleeve gastrectomy. After a failed initial treatment with a self-expandable mega stent that migrated, she presented with severe symptoms and a significant sub-capsular splenic collection. Despite ultrasound-guided drainage and endoscopic interventions, leakage persisted. An ASD occluder device was deployed using endoscopic and fluoroscopic guidance following failed repairs. While post-application imaging initially showed no leaks and the patient's condition improved, she later experienced recurrent symptoms with persistent leakage. The case was ultimately resolved through a Roux-en-Y gastric bypass. CONCLUSIONS This case highlights the potential of ASD occluders in treating complex gastric leaks, particularly for patients reluctant to undergo repeated surgeries. The device's flexibility for repositioning and retrieval, combined with endoscopic compatibility, makes it a valuable tool for managing postoperative bariatric complications. While initial results are promising, further research is needed to validate this approach's efficacy and safety. Future studies should focus on larger cohorts to establish guidelines for ASD device use in gastrointestinal applications.

求助全文
通过发布文献求助,成功后即可免费获取论文全文。 去求助
来源期刊
American Journal of Case Reports
American Journal of Case Reports Medicine-Medicine (all)
CiteScore
1.80
自引率
0.00%
发文量
599
期刊介绍: American Journal of Case Reports is an international, peer-reviewed scientific journal that publishes single and series case reports in all medical fields. American Journal of Case Reports is issued on a continuous basis as a primary electronic journal. Print copies of a single article or a set of articles can be ordered on demand.
×
引用
GB/T 7714-2015
复制
MLA
复制
APA
复制
导出至
BibTeX EndNote RefMan NoteFirst NoteExpress
×
提示
您的信息不完整,为了账户安全,请先补充。
现在去补充
×
提示
您因"违规操作"
具体请查看互助需知
我知道了
×
提示
确定
请完成安全验证×
copy
已复制链接
快去分享给好友吧!
我知道了
右上角分享
点击右上角分享
0
联系我们:info@booksci.cn Book学术提供免费学术资源搜索服务,方便国内外学者检索中英文文献。致力于提供最便捷和优质的服务体验。 Copyright © 2023 布克学术 All rights reserved.
京ICP备2023020795号-1
ghs 京公网安备 11010802042870号
Book学术文献互助
Book学术文献互助群
群 号:604180095
Book学术官方微信