同一寄生虫,不同的命运:线虫对广州管圆线虫感染的不同反应。

IF 2 3区 农林科学 Q2 VETERINARY SCIENCES
Anna Šipková, Petr Cibulka, Lucia Anettová, Divakaran Pandian, Jana Kačmaříková, Kristýna Javorská, Ladislav Novotný, David Modrý
{"title":"同一寄生虫,不同的命运:线虫对广州管圆线虫感染的不同反应。","authors":"Anna Šipková, Petr Cibulka, Lucia Anettová, Divakaran Pandian, Jana Kačmaříková, Kristýna Javorská, Ladislav Novotný, David Modrý","doi":"10.1007/s11259-025-10870-1","DOIUrl":null,"url":null,"abstract":"<p><p>Tenrecs (Afrosoricida: Tenrecidae) are insectivorous mammals endemic to Madagascar, currently facing population declines due to habitat loss and subsistence hunting. Emerging infectious diseases, including parasitic infections, may pose additional threats. A comparable situation has been observed in Algerian hedgehogs (Atelerix algirus) in Mallorca, where the invasive nematode Angiostrongylus cantonensis has been associated with severe neuropathology. Given ecological parallels and the confirmed presence of A. cantonensis in Madagascar, this study aimed to assess its potential impact on tenrec health and survival. An experimental infection was conducted using Echinops telfairi, orally inoculated with 500 or 2000 third-stage larvae and monitored for 59 days through behavioral observations. Following euthanasia, artificial tissue digestion, qPCR analysis, and histopathology were performed. Baermann's larvoscopy was used to examine feces from day 39 post-infection (DPI). No neuropathological symptoms were observed. Artificial digestion revealed 11 third-stage larvae in the gastrointestinal tract of one high-dose tenrec at 36 DPI. Parasite DNA was detected in various organs of both groups; however, accumulation in brain tissue occurred only in the high-dose group, with no viable larvae visible in histological sections. E. telfairi showed no apparent sensitivity to A. cantonensis, unlike the Algerian hedgehog, which develops severe neuropathology under comparable conditions. These findings suggest that A. cantonensis exhibits host-specific outcomes, and not all mammals act as aberrant hosts facing fatal infection. The persistence of third-stage larvae up to 36 DPI raises concerns about potential transmission to predators or hypothetical human infection.</p>","PeriodicalId":23690,"journal":{"name":"Veterinary Research Communications","volume":"49 5","pages":"300"},"PeriodicalIF":2.0000,"publicationDate":"2025-09-05","publicationTypes":"Journal Article","fieldsOfStudy":null,"isOpenAccess":false,"openAccessPdf":"https://www.ncbi.nlm.nih.gov/pmc/articles/PMC12413333/pdf/","citationCount":"0","resultStr":"{\"title\":\"Same parasite, diverging fates: distinct responses of tenrecs to Angiostrongylus cantonensis infection.\",\"authors\":\"Anna Šipková, Petr Cibulka, Lucia Anettová, Divakaran Pandian, Jana Kačmaříková, Kristýna Javorská, Ladislav Novotný, David Modrý\",\"doi\":\"10.1007/s11259-025-10870-1\",\"DOIUrl\":null,\"url\":null,\"abstract\":\"<p><p>Tenrecs (Afrosoricida: Tenrecidae) are insectivorous mammals endemic to Madagascar, currently facing population declines due to habitat loss and subsistence hunting. Emerging infectious diseases, including parasitic infections, may pose additional threats. A comparable situation has been observed in Algerian hedgehogs (Atelerix algirus) in Mallorca, where the invasive nematode Angiostrongylus cantonensis has been associated with severe neuropathology. Given ecological parallels and the confirmed presence of A. cantonensis in Madagascar, this study aimed to assess its potential impact on tenrec health and survival. An experimental infection was conducted using Echinops telfairi, orally inoculated with 500 or 2000 third-stage larvae and monitored for 59 days through behavioral observations. Following euthanasia, artificial tissue digestion, qPCR analysis, and histopathology were performed. Baermann's larvoscopy was used to examine feces from day 39 post-infection (DPI). No neuropathological symptoms were observed. Artificial digestion revealed 11 third-stage larvae in the gastrointestinal tract of one high-dose tenrec at 36 DPI. Parasite DNA was detected in various organs of both groups; however, accumulation in brain tissue occurred only in the high-dose group, with no viable larvae visible in histological sections. E. telfairi showed no apparent sensitivity to A. cantonensis, unlike the Algerian hedgehog, which develops severe neuropathology under comparable conditions. These findings suggest that A. cantonensis exhibits host-specific outcomes, and not all mammals act as aberrant hosts facing fatal infection. The persistence of third-stage larvae up to 36 DPI raises concerns about potential transmission to predators or hypothetical human infection.</p>\",\"PeriodicalId\":23690,\"journal\":{\"name\":\"Veterinary Research Communications\",\"volume\":\"49 5\",\"pages\":\"300\"},\"PeriodicalIF\":2.0000,\"publicationDate\":\"2025-09-05\",\"publicationTypes\":\"Journal Article\",\"fieldsOfStudy\":null,\"isOpenAccess\":false,\"openAccessPdf\":\"https://www.ncbi.nlm.nih.gov/pmc/articles/PMC12413333/pdf/\",\"citationCount\":\"0\",\"resultStr\":null,\"platform\":\"Semanticscholar\",\"paperid\":null,\"PeriodicalName\":\"Veterinary Research Communications\",\"FirstCategoryId\":\"97\",\"ListUrlMain\":\"https://doi.org/10.1007/s11259-025-10870-1\",\"RegionNum\":3,\"RegionCategory\":\"农林科学\",\"ArticlePicture\":[],\"TitleCN\":null,\"AbstractTextCN\":null,\"PMCID\":null,\"EPubDate\":\"\",\"PubModel\":\"\",\"JCR\":\"Q2\",\"JCRName\":\"VETERINARY SCIENCES\",\"Score\":null,\"Total\":0}","platform":"Semanticscholar","paperid":null,"PeriodicalName":"Veterinary Research Communications","FirstCategoryId":"97","ListUrlMain":"https://doi.org/10.1007/s11259-025-10870-1","RegionNum":3,"RegionCategory":"农林科学","ArticlePicture":[],"TitleCN":null,"AbstractTextCN":null,"PMCID":null,"EPubDate":"","PubModel":"","JCR":"Q2","JCRName":"VETERINARY SCIENCES","Score":null,"Total":0}
引用次数: 0

摘要

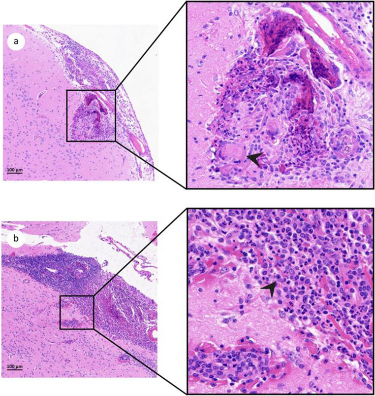
蛛形目:蛛形目是马达加斯加特有的食虫哺乳动物,目前由于栖息地丧失和生存狩猎而面临种群减少。新出现的传染病,包括寄生虫感染,可能构成额外的威胁。在马略卡岛的阿尔及利亚刺猬(Atelerix algirus)中也观察到类似的情况,侵入性线虫广东管圆线虫与严重的神经病理学有关。考虑到生态上的相似之处,以及已证实在马达加斯加存在广东按蚊,本研究旨在评估其对线虫健康和生存的潜在影响。实验采用中华棘球绦虫(Echinops telfairi),经口接种第三期幼虫500或2000只,通过行为观察监测59 d。安乐死后,进行人工组织消化、qPCR分析和组织病理学检查。采用Baermann幼虫镜检查感染后第39天的粪便。未见神经病理症状。人工消化显示,在36 DPI时,一只高剂量tenrec的胃肠道内有11只第三期幼虫。两组各脏器均检测到寄生虫DNA;然而,仅在高剂量组脑组织中出现积累,组织学切片未见活的幼虫。与阿尔及利亚刺猬不同,E. telfairi对广东棘球鼠没有明显的敏感性,阿尔及利亚刺猬在类似条件下会出现严重的神经病变。这些研究结果表明,广东棘猴表现出宿主特异性的结果,并不是所有的哺乳动物都是面对致命感染的异常宿主。第三阶段幼虫的持续存活可达36 DPI,这引起了人们对可能传播给捕食者或假定的人类感染的担忧。
本文章由计算机程序翻译,如有差异,请以英文原文为准。

Same parasite, diverging fates: distinct responses of tenrecs to Angiostrongylus cantonensis infection.

Same parasite, diverging fates: distinct responses of tenrecs to Angiostrongylus cantonensis infection.

Same parasite, diverging fates: distinct responses of tenrecs to Angiostrongylus cantonensis infection.

Same parasite, diverging fates: distinct responses of tenrecs to Angiostrongylus cantonensis infection.

Tenrecs (Afrosoricida: Tenrecidae) are insectivorous mammals endemic to Madagascar, currently facing population declines due to habitat loss and subsistence hunting. Emerging infectious diseases, including parasitic infections, may pose additional threats. A comparable situation has been observed in Algerian hedgehogs (Atelerix algirus) in Mallorca, where the invasive nematode Angiostrongylus cantonensis has been associated with severe neuropathology. Given ecological parallels and the confirmed presence of A. cantonensis in Madagascar, this study aimed to assess its potential impact on tenrec health and survival. An experimental infection was conducted using Echinops telfairi, orally inoculated with 500 or 2000 third-stage larvae and monitored for 59 days through behavioral observations. Following euthanasia, artificial tissue digestion, qPCR analysis, and histopathology were performed. Baermann's larvoscopy was used to examine feces from day 39 post-infection (DPI). No neuropathological symptoms were observed. Artificial digestion revealed 11 third-stage larvae in the gastrointestinal tract of one high-dose tenrec at 36 DPI. Parasite DNA was detected in various organs of both groups; however, accumulation in brain tissue occurred only in the high-dose group, with no viable larvae visible in histological sections. E. telfairi showed no apparent sensitivity to A. cantonensis, unlike the Algerian hedgehog, which develops severe neuropathology under comparable conditions. These findings suggest that A. cantonensis exhibits host-specific outcomes, and not all mammals act as aberrant hosts facing fatal infection. The persistence of third-stage larvae up to 36 DPI raises concerns about potential transmission to predators or hypothetical human infection.

求助全文
通过发布文献求助,成功后即可免费获取论文全文。 去求助
来源期刊
Veterinary Research Communications
Veterinary Research Communications 农林科学-兽医学
CiteScore
2.50
自引率
0.00%
发文量
173
审稿时长
3 months
期刊介绍: Veterinary Research Communications publishes fully refereed research articles and topical reviews on all aspects of the veterinary sciences. Interdisciplinary articles are particularly encouraged, as are well argued reviews, even if they are somewhat controversial. The journal is an appropriate medium in which to publish new methods, newly described diseases and new pathological findings, as these are applied to animals. The material should be of international rather than local interest. As it deliberately seeks a wide coverage, Veterinary Research Communications provides its readers with a means of keeping abreast of current developments in the entire field of veterinary science.
×
引用
GB/T 7714-2015
复制
MLA
复制
APA
复制
导出至
BibTeX EndNote RefMan NoteFirst NoteExpress
×
提示
您的信息不完整,为了账户安全,请先补充。
现在去补充
×
提示
您因"违规操作"
具体请查看互助需知
我知道了
×
提示
确定
请完成安全验证×
copy
已复制链接
快去分享给好友吧!
我知道了
右上角分享
点击右上角分享
0
联系我们:info@booksci.cn Book学术提供免费学术资源搜索服务,方便国内外学者检索中英文文献。致力于提供最便捷和优质的服务体验。 Copyright © 2023 布克学术 All rights reserved.
京ICP备2023020795号-1
ghs 京公网安备 11010802042870号
Book学术文献互助
Book学术文献互助群
群 号:604180095
Book学术官方微信