长期使用羟氯喹导致心肌病和传导异常1例报告。

IF 0.8 Q4 CARDIAC & CARDIOVASCULAR SYSTEMS
European Heart Journal: Case Reports Pub Date : 2025-09-03 eCollection Date: 2025-09-01 DOI:10.1093/ehjcr/ytaf377
Timothy Ryan, Laura Luttrell, Amit Shah, Kaitlyn Lam, Peter Dias, Aws Jasim, Andrew Laycock, Vimal Patel
{"title":"长期使用羟氯喹导致心肌病和传导异常1例报告。","authors":"Timothy Ryan, Laura Luttrell, Amit Shah, Kaitlyn Lam, Peter Dias, Aws Jasim, Andrew Laycock, Vimal Patel","doi":"10.1093/ehjcr/ytaf377","DOIUrl":null,"url":null,"abstract":"<p><strong>Background: </strong>Diagnosing the cause of undifferentiated left ventricular hypertrophy (LVH) in a patient with progressive heart failure symptoms can present a diagnostic challenge, with potential for both inherited and acquired aetiologies. Hydroxychloroquine-induced cardiomyopathy (HCQ-CM) is a rare complication of long-term hydroxychloroquine use. This case report highlights its clinical presentation, key differential diagnoses, and treatment strategies.</p><p><strong>Case summary: </strong>A 56-year-old female with a longstanding history of systemic lupus erythematosus presented with progressive dyspnoea, fatigue, and fluid overload. Initial investigation revealed LVH with restrictive physiology, elevated cardiac biomarkers, and non-specific findings on echocardiography suggestive of an infiltrative cardiomyopathy. The diagnosis remained uncertain until an endomyocardial biopsy (EMB) confirmed HCQ-CM, characterized by the presence of curvilinear inclusion bodies. Following cessation of HCQ, there was a significant clinical improvement, with the patient achieving NYHA class I status at 6 months follow-up.</p><p><strong>Conclusion: </strong>This case highlights the critical importance of considering HCQ-CM, in the differential diagnosis of unexplained heart failure and LVH in patients on long-term HCQ therapy. A multi-parametric diagnostic approach-including EMB and genetic testing where appropriate-is essential to identify potentially reversible causes of cardiomyopathy and enable timely therapeutic adjustments.</p>","PeriodicalId":11910,"journal":{"name":"European Heart Journal: Case Reports","volume":"9 9","pages":"ytaf377"},"PeriodicalIF":0.8000,"publicationDate":"2025-09-03","publicationTypes":"Journal Article","fieldsOfStudy":null,"isOpenAccess":false,"openAccessPdf":"https://www.ncbi.nlm.nih.gov/pmc/articles/PMC12405751/pdf/","citationCount":"0","resultStr":"{\"title\":\"Long-term hydroxychloroquine use resulting in cardiomyopathy and conduction abnormalities: a case report.\",\"authors\":\"Timothy Ryan, Laura Luttrell, Amit Shah, Kaitlyn Lam, Peter Dias, Aws Jasim, Andrew Laycock, Vimal Patel\",\"doi\":\"10.1093/ehjcr/ytaf377\",\"DOIUrl\":null,\"url\":null,\"abstract\":\"<p><strong>Background: </strong>Diagnosing the cause of undifferentiated left ventricular hypertrophy (LVH) in a patient with progressive heart failure symptoms can present a diagnostic challenge, with potential for both inherited and acquired aetiologies. Hydroxychloroquine-induced cardiomyopathy (HCQ-CM) is a rare complication of long-term hydroxychloroquine use. This case report highlights its clinical presentation, key differential diagnoses, and treatment strategies.</p><p><strong>Case summary: </strong>A 56-year-old female with a longstanding history of systemic lupus erythematosus presented with progressive dyspnoea, fatigue, and fluid overload. Initial investigation revealed LVH with restrictive physiology, elevated cardiac biomarkers, and non-specific findings on echocardiography suggestive of an infiltrative cardiomyopathy. The diagnosis remained uncertain until an endomyocardial biopsy (EMB) confirmed HCQ-CM, characterized by the presence of curvilinear inclusion bodies. Following cessation of HCQ, there was a significant clinical improvement, with the patient achieving NYHA class I status at 6 months follow-up.</p><p><strong>Conclusion: </strong>This case highlights the critical importance of considering HCQ-CM, in the differential diagnosis of unexplained heart failure and LVH in patients on long-term HCQ therapy. A multi-parametric diagnostic approach-including EMB and genetic testing where appropriate-is essential to identify potentially reversible causes of cardiomyopathy and enable timely therapeutic adjustments.</p>\",\"PeriodicalId\":11910,\"journal\":{\"name\":\"European Heart Journal: Case Reports\",\"volume\":\"9 9\",\"pages\":\"ytaf377\"},\"PeriodicalIF\":0.8000,\"publicationDate\":\"2025-09-03\",\"publicationTypes\":\"Journal Article\",\"fieldsOfStudy\":null,\"isOpenAccess\":false,\"openAccessPdf\":\"https://www.ncbi.nlm.nih.gov/pmc/articles/PMC12405751/pdf/\",\"citationCount\":\"0\",\"resultStr\":null,\"platform\":\"Semanticscholar\",\"paperid\":null,\"PeriodicalName\":\"European Heart Journal: Case Reports\",\"FirstCategoryId\":\"1085\",\"ListUrlMain\":\"https://doi.org/10.1093/ehjcr/ytaf377\",\"RegionNum\":0,\"RegionCategory\":null,\"ArticlePicture\":[],\"TitleCN\":null,\"AbstractTextCN\":null,\"PMCID\":null,\"EPubDate\":\"2025/9/1 0:00:00\",\"PubModel\":\"eCollection\",\"JCR\":\"Q4\",\"JCRName\":\"CARDIAC & CARDIOVASCULAR SYSTEMS\",\"Score\":null,\"Total\":0}","platform":"Semanticscholar","paperid":null,"PeriodicalName":"European Heart Journal: Case Reports","FirstCategoryId":"1085","ListUrlMain":"https://doi.org/10.1093/ehjcr/ytaf377","RegionNum":0,"RegionCategory":null,"ArticlePicture":[],"TitleCN":null,"AbstractTextCN":null,"PMCID":null,"EPubDate":"2025/9/1 0:00:00","PubModel":"eCollection","JCR":"Q4","JCRName":"CARDIAC & CARDIOVASCULAR SYSTEMS","Score":null,"Total":0}
引用次数: 0

摘要

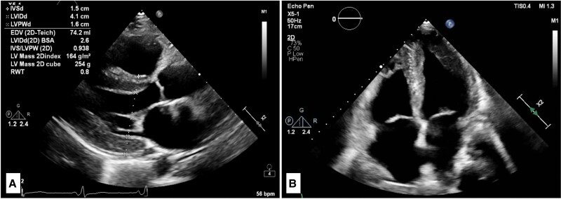
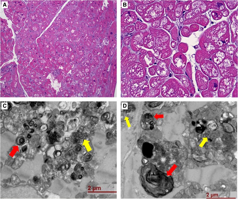
背景:诊断进行性心力衰竭患者未分化左心室肥厚(LVH)的病因是一项诊断挑战,可能存在遗传和获得性病因。羟基氯喹引起的心肌病(HCQ-CM)是长期使用羟基氯喹的罕见并发症。本病例报告强调其临床表现,关键的鉴别诊断和治疗策略。病例总结:56岁女性,长期系统性红斑狼疮病史,表现为进行性呼吸困难、疲劳和体液超载。初步调查显示LVH具有限制性生理,心脏生物标志物升高,超声心动图非特异性发现提示浸润性心肌病。诊断一直不确定,直到心肌内膜活检(EMB)证实HCQ-CM,其特征是存在曲线包涵体。停止HCQ治疗后,患者有显著的临床改善,在随访6个月时达到NYHA I级状态。结论:本病例强调了考虑HCQ- cm在长期HCQ治疗患者不明原因心力衰竭和LVH鉴别诊断中的重要性。多参数诊断方法(包括EMB和适当的基因检测)对于识别心肌病的潜在可逆原因和及时调整治疗至关重要。
本文章由计算机程序翻译,如有差异,请以英文原文为准。

Long-term hydroxychloroquine use resulting in cardiomyopathy and conduction abnormalities: a case report.

Long-term hydroxychloroquine use resulting in cardiomyopathy and conduction abnormalities: a case report.

Long-term hydroxychloroquine use resulting in cardiomyopathy and conduction abnormalities: a case report.

Long-term hydroxychloroquine use resulting in cardiomyopathy and conduction abnormalities: a case report.

Background: Diagnosing the cause of undifferentiated left ventricular hypertrophy (LVH) in a patient with progressive heart failure symptoms can present a diagnostic challenge, with potential for both inherited and acquired aetiologies. Hydroxychloroquine-induced cardiomyopathy (HCQ-CM) is a rare complication of long-term hydroxychloroquine use. This case report highlights its clinical presentation, key differential diagnoses, and treatment strategies.

Case summary: A 56-year-old female with a longstanding history of systemic lupus erythematosus presented with progressive dyspnoea, fatigue, and fluid overload. Initial investigation revealed LVH with restrictive physiology, elevated cardiac biomarkers, and non-specific findings on echocardiography suggestive of an infiltrative cardiomyopathy. The diagnosis remained uncertain until an endomyocardial biopsy (EMB) confirmed HCQ-CM, characterized by the presence of curvilinear inclusion bodies. Following cessation of HCQ, there was a significant clinical improvement, with the patient achieving NYHA class I status at 6 months follow-up.

Conclusion: This case highlights the critical importance of considering HCQ-CM, in the differential diagnosis of unexplained heart failure and LVH in patients on long-term HCQ therapy. A multi-parametric diagnostic approach-including EMB and genetic testing where appropriate-is essential to identify potentially reversible causes of cardiomyopathy and enable timely therapeutic adjustments.

求助全文
通过发布文献求助,成功后即可免费获取论文全文。 去求助
来源期刊
European Heart Journal: Case Reports
European Heart Journal: Case Reports Medicine-Cardiology and Cardiovascular Medicine
CiteScore
1.30
自引率
10.00%
发文量
451
审稿时长
14 weeks
×
引用
GB/T 7714-2015
复制
MLA
复制
APA
复制
导出至
BibTeX EndNote RefMan NoteFirst NoteExpress
×
提示
您的信息不完整,为了账户安全,请先补充。
现在去补充
×
提示
您因"违规操作"
具体请查看互助需知
我知道了
×
提示
确定
请完成安全验证×
copy
已复制链接
快去分享给好友吧!
我知道了
右上角分享
点击右上角分享
0
联系我们:info@booksci.cn Book学术提供免费学术资源搜索服务,方便国内外学者检索中英文文献。致力于提供最便捷和优质的服务体验。 Copyright © 2023 布克学术 All rights reserved.
京ICP备2023020795号-1
ghs 京公网安备 11010802042870号
Book学术文献互助
Book学术文献互助群
群 号:604180095
Book学术官方微信