克罗恩病的罕见并发症——三个病例。

Polish journal of radiology Pub Date : 2025-07-18 eCollection Date: 2025-01-01 DOI:10.5114/pjr/204062
Filip Kwiatkowski, Marcin Łubiński, Piotr Kowalski, Ewa Walecka-Kapica, Anita Gąsiorowska, Agata Majos
{"title":"克罗恩病的罕见并发症——三个病例。","authors":"Filip Kwiatkowski, Marcin Łubiński, Piotr Kowalski, Ewa Walecka-Kapica, Anita Gąsiorowska, Agata Majos","doi":"10.5114/pjr/204062","DOIUrl":null,"url":null,"abstract":"<p><p>Crohn's disease (CD) is an increasingly common disease in clinical practice. The progress of medicine, which has resulted in an extension of the survival time of patients, the introduction of new treatment methods, and the nature of the disease itself means that we are seeing more and more new, unusual complications of this disease. We have reviewed three cases of rare complications of CD, with a focus on possible atypical complications that may be seen on imaging studies. Complications of CD and its treatment can occur in various organs and systems, and manifest in very non-specific ways. If unnoticed, they can be even life-threatening; therefore, it is important in clinical practice to take into account the possibility of their presence when evaluating patients with CD. When assessing radiological examinations of these people, we should take into account the possibility of atypical signs and radiographic features, and consider whether they may be related to the underlying disease.</p>","PeriodicalId":94174,"journal":{"name":"Polish journal of radiology","volume":"90 ","pages":"e367-e373"},"PeriodicalIF":0.0000,"publicationDate":"2025-07-18","publicationTypes":"Journal Article","fieldsOfStudy":null,"isOpenAccess":false,"openAccessPdf":"https://www.ncbi.nlm.nih.gov/pmc/articles/PMC12403649/pdf/","citationCount":"0","resultStr":"{\"title\":\"Rare complications of Crohn's disease - a series of three cases.\",\"authors\":\"Filip Kwiatkowski, Marcin Łubiński, Piotr Kowalski, Ewa Walecka-Kapica, Anita Gąsiorowska, Agata Majos\",\"doi\":\"10.5114/pjr/204062\",\"DOIUrl\":null,\"url\":null,\"abstract\":\"<p><p>Crohn's disease (CD) is an increasingly common disease in clinical practice. The progress of medicine, which has resulted in an extension of the survival time of patients, the introduction of new treatment methods, and the nature of the disease itself means that we are seeing more and more new, unusual complications of this disease. We have reviewed three cases of rare complications of CD, with a focus on possible atypical complications that may be seen on imaging studies. Complications of CD and its treatment can occur in various organs and systems, and manifest in very non-specific ways. If unnoticed, they can be even life-threatening; therefore, it is important in clinical practice to take into account the possibility of their presence when evaluating patients with CD. When assessing radiological examinations of these people, we should take into account the possibility of atypical signs and radiographic features, and consider whether they may be related to the underlying disease.</p>\",\"PeriodicalId\":94174,\"journal\":{\"name\":\"Polish journal of radiology\",\"volume\":\"90 \",\"pages\":\"e367-e373\"},\"PeriodicalIF\":0.0000,\"publicationDate\":\"2025-07-18\",\"publicationTypes\":\"Journal Article\",\"fieldsOfStudy\":null,\"isOpenAccess\":false,\"openAccessPdf\":\"https://www.ncbi.nlm.nih.gov/pmc/articles/PMC12403649/pdf/\",\"citationCount\":\"0\",\"resultStr\":null,\"platform\":\"Semanticscholar\",\"paperid\":null,\"PeriodicalName\":\"Polish journal of radiology\",\"FirstCategoryId\":\"1085\",\"ListUrlMain\":\"https://doi.org/10.5114/pjr/204062\",\"RegionNum\":0,\"RegionCategory\":null,\"ArticlePicture\":[],\"TitleCN\":null,\"AbstractTextCN\":null,\"PMCID\":null,\"EPubDate\":\"2025/1/1 0:00:00\",\"PubModel\":\"eCollection\",\"JCR\":\"\",\"JCRName\":\"\",\"Score\":null,\"Total\":0}","platform":"Semanticscholar","paperid":null,"PeriodicalName":"Polish journal of radiology","FirstCategoryId":"1085","ListUrlMain":"https://doi.org/10.5114/pjr/204062","RegionNum":0,"RegionCategory":null,"ArticlePicture":[],"TitleCN":null,"AbstractTextCN":null,"PMCID":null,"EPubDate":"2025/1/1 0:00:00","PubModel":"eCollection","JCR":"","JCRName":"","Score":null,"Total":0}
引用次数: 0

摘要

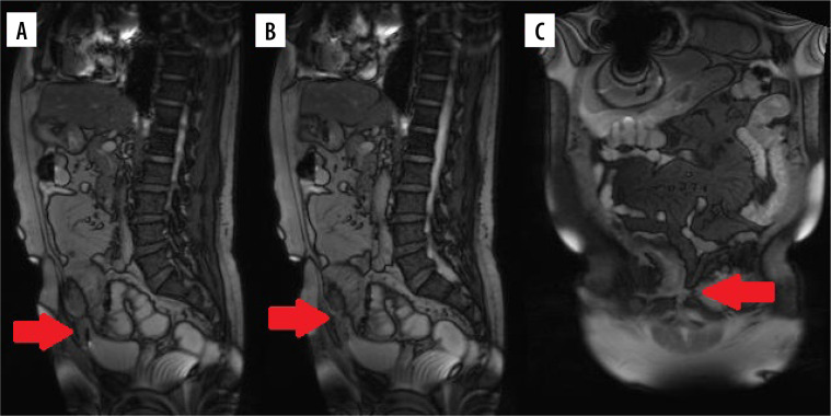
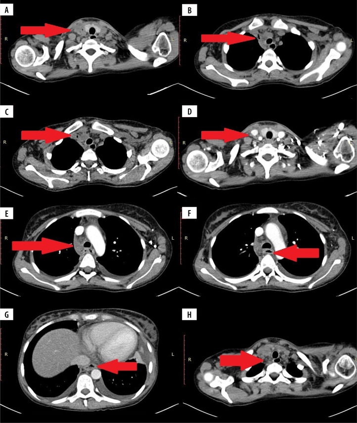
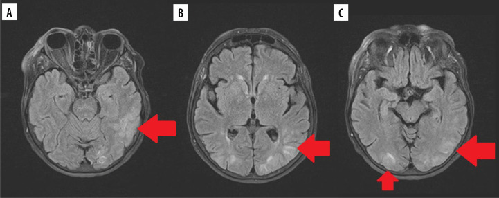
克罗恩病(CD)是临床上越来越常见的疾病。医学的进步延长了患者的生存时间,引入了新的治疗方法,以及疾病本身的性质意味着我们看到越来越多的新的,不寻常的这种疾病的并发症。我们回顾了三例罕见的乳糜泻并发症,重点讨论了影像学检查中可能出现的非典型并发症。乳糜泻及其治疗的并发症可发生在不同的器官和系统,并以非常非特异性的方式表现出来。如果不被注意,它们甚至可能危及生命;因此,在临床实践中,在评估CD患者时考虑其存在的可能性是很重要的。在评估这些人的影像学检查时,我们应考虑不典型体征和影像学特征的可能性,并考虑它们是否与潜在疾病有关。
本文章由计算机程序翻译,如有差异,请以英文原文为准。

Rare complications of Crohn's disease - a series of three cases.

Rare complications of Crohn's disease - a series of three cases.

Rare complications of Crohn's disease - a series of three cases.

Rare complications of Crohn's disease - a series of three cases.

Crohn's disease (CD) is an increasingly common disease in clinical practice. The progress of medicine, which has resulted in an extension of the survival time of patients, the introduction of new treatment methods, and the nature of the disease itself means that we are seeing more and more new, unusual complications of this disease. We have reviewed three cases of rare complications of CD, with a focus on possible atypical complications that may be seen on imaging studies. Complications of CD and its treatment can occur in various organs and systems, and manifest in very non-specific ways. If unnoticed, they can be even life-threatening; therefore, it is important in clinical practice to take into account the possibility of their presence when evaluating patients with CD. When assessing radiological examinations of these people, we should take into account the possibility of atypical signs and radiographic features, and consider whether they may be related to the underlying disease.

求助全文
通过发布文献求助,成功后即可免费获取论文全文。 去求助
来源期刊
CiteScore
2.10
自引率
0.00%
发文量
0
×
引用
GB/T 7714-2015
复制
MLA
复制
APA
复制
导出至
BibTeX EndNote RefMan NoteFirst NoteExpress
×
提示
您的信息不完整,为了账户安全,请先补充。
现在去补充
×
提示
您因"违规操作"
具体请查看互助需知
我知道了
×
提示
确定
请完成安全验证×
copy
已复制链接
快去分享给好友吧!
我知道了
右上角分享
点击右上角分享
0
联系我们:info@booksci.cn Book学术提供免费学术资源搜索服务,方便国内外学者检索中英文文献。致力于提供最便捷和优质的服务体验。 Copyright © 2023 布克学术 All rights reserved.
京ICP备2023020795号-1
ghs 京公网安备 11010802042870号
Book学术文献互助
Book学术文献互助群
群 号:604180095
Book学术官方微信