建议修改慕尼黑共识声明的分类系统。肌肉损伤的出血区域是否可以作为轻度(3A)和中度(3B)损伤的分界线?

Polish journal of radiology Pub Date : 2025-07-11 eCollection Date: 2025-01-01 DOI:10.5114/pjr/203993
Eugenio Annibale Genovese, Marco Calvi, Stefano Mazzoni, Lucio Genesio, Silvia Lamantea, Zakaria Vincenzo, Raffaele Novario
{"title":"建议修改慕尼黑共识声明的分类系统。肌肉损伤的出血区域是否可以作为轻度(3A)和中度(3B)损伤的分界线?","authors":"Eugenio Annibale Genovese, Marco Calvi, Stefano Mazzoni, Lucio Genesio, Silvia Lamantea, Zakaria Vincenzo, Raffaele Novario","doi":"10.5114/pjr/203993","DOIUrl":null,"url":null,"abstract":"<p><strong>Purpose: </strong>Muscle injuries are common in competitive sports. Magnetic resonance imaging (MRI) and ultrasound (US) are the most commonly used methods for evaluating muscle injuries. Several classification systems for muscle injuries have been published. Mueller-Wohlfahrt <i>et al</i>. introduced a new classification system in 2013, currently the most widely used, employing grading to reflect the diverse spectrum of muscle injuries observed in athletes. The differentiation between lesions classified as type 3A (minor partial muscle tear) and 3B (moderate partial muscle tear) remains to be precisely established. In relation to recovery time, we researched possible statistically significant differences.</p><p><strong>Material and methods: </strong>We conducted a comprehensive analysis of 100 MRI studies that were performed on high-level professional athletes who exhibited clinical signs of lower limb muscle injuries. We selected individuals whose myotendinous or myofascial lesions could be classified as 3A or 3B, based on the Mueller-Wohlfarth (MW) classification. The athletes were then categorised into groups based on the presence or absence of fluid collection at the site of injury. The study's medical practitioner provided data regarding the duration of the injury and the return to sporting activities. Regarding statistical analyses, a linear regression test was conducted to examine the correlation between the variable \"fluid collections\" and the duration of the injury. Following this, Fisher's <i>t</i>-test or the Mann-Whitney test was applied.</p><p><strong>Results: </strong>The results of the association between \"blood collection\" and \"duration of injury\" revealed a statistically significant correlation. The median value of return to play (RTP) in patients with haemorrhagic collection (median = 29) was significantly higher in comparison with patients without haemorrhagic collection (median = 19), with a difference between the 2 samples of 10 days.</p><p><strong>Conclusions: </strong>Our study highlights how this distinction could be easily practiced by recognizing the presence of a haemorrhagic collection and how it predominates in determining a worsening of the prognosis and therefore an extension of the RTP. Hence, we can conclude that athletes who do not have blood collection, but only interstitial haemorrhage between fibres can be considered as type 3A, while athletes with interstitial haemorrhage at diagnosis can be considered as type 3B.</p>","PeriodicalId":94174,"journal":{"name":"Polish journal of radiology","volume":"90 ","pages":"e347-e355"},"PeriodicalIF":0.0000,"publicationDate":"2025-07-11","publicationTypes":"Journal Article","fieldsOfStudy":null,"isOpenAccess":false,"openAccessPdf":"https://www.ncbi.nlm.nih.gov/pmc/articles/PMC12403648/pdf/","citationCount":"0","resultStr":"{\"title\":\"Proposed modified classification system of the Munich Consensus Statement. Can the area of haemorrhagic effusion in muscle injuries be the dividing line between mild (3A) and moderate (3B) injuries?\",\"authors\":\"Eugenio Annibale Genovese, Marco Calvi, Stefano Mazzoni, Lucio Genesio, Silvia Lamantea, Zakaria Vincenzo, Raffaele Novario\",\"doi\":\"10.5114/pjr/203993\",\"DOIUrl\":null,\"url\":null,\"abstract\":\"<p><strong>Purpose: </strong>Muscle injuries are common in competitive sports. Magnetic resonance imaging (MRI) and ultrasound (US) are the most commonly used methods for evaluating muscle injuries. Several classification systems for muscle injuries have been published. Mueller-Wohlfahrt <i>et al</i>. introduced a new classification system in 2013, currently the most widely used, employing grading to reflect the diverse spectrum of muscle injuries observed in athletes. The differentiation between lesions classified as type 3A (minor partial muscle tear) and 3B (moderate partial muscle tear) remains to be precisely established. In relation to recovery time, we researched possible statistically significant differences.</p><p><strong>Material and methods: </strong>We conducted a comprehensive analysis of 100 MRI studies that were performed on high-level professional athletes who exhibited clinical signs of lower limb muscle injuries. We selected individuals whose myotendinous or myofascial lesions could be classified as 3A or 3B, based on the Mueller-Wohlfarth (MW) classification. The athletes were then categorised into groups based on the presence or absence of fluid collection at the site of injury. The study's medical practitioner provided data regarding the duration of the injury and the return to sporting activities. Regarding statistical analyses, a linear regression test was conducted to examine the correlation between the variable \\\"fluid collections\\\" and the duration of the injury. Following this, Fisher's <i>t</i>-test or the Mann-Whitney test was applied.</p><p><strong>Results: </strong>The results of the association between \\\"blood collection\\\" and \\\"duration of injury\\\" revealed a statistically significant correlation. The median value of return to play (RTP) in patients with haemorrhagic collection (median = 29) was significantly higher in comparison with patients without haemorrhagic collection (median = 19), with a difference between the 2 samples of 10 days.</p><p><strong>Conclusions: </strong>Our study highlights how this distinction could be easily practiced by recognizing the presence of a haemorrhagic collection and how it predominates in determining a worsening of the prognosis and therefore an extension of the RTP. Hence, we can conclude that athletes who do not have blood collection, but only interstitial haemorrhage between fibres can be considered as type 3A, while athletes with interstitial haemorrhage at diagnosis can be considered as type 3B.</p>\",\"PeriodicalId\":94174,\"journal\":{\"name\":\"Polish journal of radiology\",\"volume\":\"90 \",\"pages\":\"e347-e355\"},\"PeriodicalIF\":0.0000,\"publicationDate\":\"2025-07-11\",\"publicationTypes\":\"Journal Article\",\"fieldsOfStudy\":null,\"isOpenAccess\":false,\"openAccessPdf\":\"https://www.ncbi.nlm.nih.gov/pmc/articles/PMC12403648/pdf/\",\"citationCount\":\"0\",\"resultStr\":null,\"platform\":\"Semanticscholar\",\"paperid\":null,\"PeriodicalName\":\"Polish journal of radiology\",\"FirstCategoryId\":\"1085\",\"ListUrlMain\":\"https://doi.org/10.5114/pjr/203993\",\"RegionNum\":0,\"RegionCategory\":null,\"ArticlePicture\":[],\"TitleCN\":null,\"AbstractTextCN\":null,\"PMCID\":null,\"EPubDate\":\"2025/1/1 0:00:00\",\"PubModel\":\"eCollection\",\"JCR\":\"\",\"JCRName\":\"\",\"Score\":null,\"Total\":0}","platform":"Semanticscholar","paperid":null,"PeriodicalName":"Polish journal of radiology","FirstCategoryId":"1085","ListUrlMain":"https://doi.org/10.5114/pjr/203993","RegionNum":0,"RegionCategory":null,"ArticlePicture":[],"TitleCN":null,"AbstractTextCN":null,"PMCID":null,"EPubDate":"2025/1/1 0:00:00","PubModel":"eCollection","JCR":"","JCRName":"","Score":null,"Total":0}
引用次数: 0

摘要

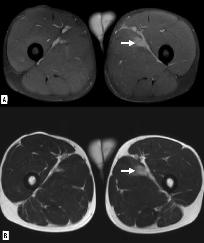
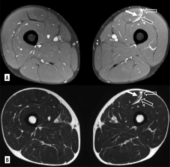
目的:肌肉损伤在竞技运动中很常见。磁共振成像(MRI)和超声(US)是评估肌肉损伤最常用的方法。一些肌肉损伤的分类系统已经出版。Mueller-Wohlfahrt等人在2013年引入了一种新的分类系统,目前使用最广泛,采用分级来反映运动员观察到的肌肉损伤的多样性。分类为3A型(轻度部分肌肉撕裂)和3B型(中度部分肌肉撕裂)的病变之间的区别仍有待精确确定。关于恢复时间,我们研究了可能的统计学显著差异。材料和方法:我们对100例表现出下肢肌肉损伤临床症状的高水平职业运动员的MRI研究进行了综合分析。根据Mueller-Wohlfarth (MW)分类,我们选择了肌腱或肌筋膜病变可分为3A或3B的个体。然后根据受伤部位是否有液体收集将运动员分为不同的组。该研究的医生提供了有关受伤持续时间和恢复体育活动的数据。在统计分析方面,进行了线性回归测试,以检验变量“液体收集”与损伤持续时间之间的相关性。接下来,使用Fisher t检验或Mann-Whitney检验。结果:“采血”与“损伤持续时间”的相关结果显示有统计学意义。有出血收集的患者恢复比赛的中位数(中位数= 29)明显高于无出血收集的患者(中位数= 19),两个样本之间的差异为10天。结论:我们的研究强调了如何通过识别出血收集的存在来轻松地进行这种区分,以及它如何在确定预后恶化并因此延长RTP方面占主导地位。因此,我们可以得出结论,没有采血,只有纤维间质性出血的运动员可考虑为3A型,而诊断时有间质性出血的运动员可考虑为3B型。
本文章由计算机程序翻译,如有差异,请以英文原文为准。

Proposed modified classification system of the Munich Consensus Statement. Can the area of haemorrhagic effusion in muscle injuries be the dividing line between mild (3A) and moderate (3B) injuries?

Proposed modified classification system of the Munich Consensus Statement. Can the area of haemorrhagic effusion in muscle injuries be the dividing line between mild (3A) and moderate (3B) injuries?

Proposed modified classification system of the Munich Consensus Statement. Can the area of haemorrhagic effusion in muscle injuries be the dividing line between mild (3A) and moderate (3B) injuries?

Proposed modified classification system of the Munich Consensus Statement. Can the area of haemorrhagic effusion in muscle injuries be the dividing line between mild (3A) and moderate (3B) injuries?

Purpose: Muscle injuries are common in competitive sports. Magnetic resonance imaging (MRI) and ultrasound (US) are the most commonly used methods for evaluating muscle injuries. Several classification systems for muscle injuries have been published. Mueller-Wohlfahrt et al. introduced a new classification system in 2013, currently the most widely used, employing grading to reflect the diverse spectrum of muscle injuries observed in athletes. The differentiation between lesions classified as type 3A (minor partial muscle tear) and 3B (moderate partial muscle tear) remains to be precisely established. In relation to recovery time, we researched possible statistically significant differences.

Material and methods: We conducted a comprehensive analysis of 100 MRI studies that were performed on high-level professional athletes who exhibited clinical signs of lower limb muscle injuries. We selected individuals whose myotendinous or myofascial lesions could be classified as 3A or 3B, based on the Mueller-Wohlfarth (MW) classification. The athletes were then categorised into groups based on the presence or absence of fluid collection at the site of injury. The study's medical practitioner provided data regarding the duration of the injury and the return to sporting activities. Regarding statistical analyses, a linear regression test was conducted to examine the correlation between the variable "fluid collections" and the duration of the injury. Following this, Fisher's t-test or the Mann-Whitney test was applied.

Results: The results of the association between "blood collection" and "duration of injury" revealed a statistically significant correlation. The median value of return to play (RTP) in patients with haemorrhagic collection (median = 29) was significantly higher in comparison with patients without haemorrhagic collection (median = 19), with a difference between the 2 samples of 10 days.

Conclusions: Our study highlights how this distinction could be easily practiced by recognizing the presence of a haemorrhagic collection and how it predominates in determining a worsening of the prognosis and therefore an extension of the RTP. Hence, we can conclude that athletes who do not have blood collection, but only interstitial haemorrhage between fibres can be considered as type 3A, while athletes with interstitial haemorrhage at diagnosis can be considered as type 3B.

求助全文
通过发布文献求助,成功后即可免费获取论文全文。 去求助
来源期刊
CiteScore
2.10
自引率
0.00%
发文量
0
×
引用
GB/T 7714-2015
复制
MLA
复制
APA
复制
导出至
BibTeX EndNote RefMan NoteFirst NoteExpress
×
提示
您的信息不完整,为了账户安全,请先补充。
现在去补充
×
提示
您因"违规操作"
具体请查看互助需知
我知道了
×
提示
确定
请完成安全验证×
copy
已复制链接
快去分享给好友吧!
我知道了
右上角分享
点击右上角分享
0
联系我们:info@booksci.cn Book学术提供免费学术资源搜索服务,方便国内外学者检索中英文文献。致力于提供最便捷和优质的服务体验。 Copyright © 2023 布克学术 All rights reserved.
京ICP备2023020795号-1
ghs 京公网安备 11010802042870号
Book学术文献互助
Book学术文献互助群
群 号:604180095
Book学术官方微信