玻璃体内注射后视神经头结构的改变。

Clinical ophthalmology (Auckland, N.Z.) Pub Date : 2025-08-30 eCollection Date: 2025-01-01 DOI:10.2147/OPTH.S544105
Dania A Rahal, Darrin A McFall, Muhammad Z Chauhan, Ahmad M Mansour, Abdelrahman M Elhusseiny, Sami H Uwaydat
{"title":"玻璃体内注射后视神经头结构的改变。","authors":"Dania A Rahal, Darrin A McFall, Muhammad Z Chauhan, Ahmad M Mansour, Abdelrahman M Elhusseiny, Sami H Uwaydat","doi":"10.2147/OPTH.S544105","DOIUrl":null,"url":null,"abstract":"<p><strong>Purpose: </strong>To evaluate the acute anatomical changes of Bruch's membrane opening (BMO) and optic nerve head (ONH) pit depth in patients receiving 0.05cc of anti-VEGF intravitreal injections (IVIs).</p><p><strong>Methods: </strong>We prospectively enrolled patients receiving IVIs and collected data including age, sex, race, phakic status, presence or absence of glaucoma, injection agent utilized, axial length, and cup-to-disc ratio (C/D). High-resolution spectral domain OCT imaging and measurements were made pre- and within five minutes post-IVI.</p><p><strong>Results: </strong>Fifty-one eyes of 51 patients were included in the study. 35.29% of patients were male. The mean age at the time of IVI was 78.27 ± 11.17 years. The average change in the pit depth after IVI was 31.57 ± 24.36 μm (p < 0.001). The number of IVIs previously received significantly correlated with a decreased change in pit depth post-injection (r = -0.369, p = 0.004). No significant relationship was identified between categorical or continuous variables and the change in pit depth or BMO after IVI. No significant associations were identified between the magnitude of IOP elevation and the change in pit depth post-IVI (r = 0.03, p = 0.834) or the number of previous IVIs (r = 0.005, p = 0.973).</p><p><strong>Conclusion: </strong>IVI was associated with a modest increase in ONH pit depth. The number of prior injections inversely correlated with this change, suggesting a potential cumulative effect on structural response. Given the link between ONH biomechanics and retinal nerve fiber layer (RNFL) thinning, our findings raise the possibility that repeated IVIs may contribute to structural changes relevant to glaucomatous progression.</p>","PeriodicalId":93945,"journal":{"name":"Clinical ophthalmology (Auckland, N.Z.)","volume":"19 ","pages":"3079-3087"},"PeriodicalIF":0.0000,"publicationDate":"2025-08-30","publicationTypes":"Journal Article","fieldsOfStudy":null,"isOpenAccess":false,"openAccessPdf":"https://www.ncbi.nlm.nih.gov/pmc/articles/PMC12404566/pdf/","citationCount":"0","resultStr":"{\"title\":\"Optic Nerve Head Structural Changes After Intravitreal Injection.\",\"authors\":\"Dania A Rahal, Darrin A McFall, Muhammad Z Chauhan, Ahmad M Mansour, Abdelrahman M Elhusseiny, Sami H Uwaydat\",\"doi\":\"10.2147/OPTH.S544105\",\"DOIUrl\":null,\"url\":null,\"abstract\":\"<p><strong>Purpose: </strong>To evaluate the acute anatomical changes of Bruch's membrane opening (BMO) and optic nerve head (ONH) pit depth in patients receiving 0.05cc of anti-VEGF intravitreal injections (IVIs).</p><p><strong>Methods: </strong>We prospectively enrolled patients receiving IVIs and collected data including age, sex, race, phakic status, presence or absence of glaucoma, injection agent utilized, axial length, and cup-to-disc ratio (C/D). High-resolution spectral domain OCT imaging and measurements were made pre- and within five minutes post-IVI.</p><p><strong>Results: </strong>Fifty-one eyes of 51 patients were included in the study. 35.29% of patients were male. The mean age at the time of IVI was 78.27 ± 11.17 years. The average change in the pit depth after IVI was 31.57 ± 24.36 μm (p < 0.001). The number of IVIs previously received significantly correlated with a decreased change in pit depth post-injection (r = -0.369, p = 0.004). No significant relationship was identified between categorical or continuous variables and the change in pit depth or BMO after IVI. No significant associations were identified between the magnitude of IOP elevation and the change in pit depth post-IVI (r = 0.03, p = 0.834) or the number of previous IVIs (r = 0.005, p = 0.973).</p><p><strong>Conclusion: </strong>IVI was associated with a modest increase in ONH pit depth. The number of prior injections inversely correlated with this change, suggesting a potential cumulative effect on structural response. Given the link between ONH biomechanics and retinal nerve fiber layer (RNFL) thinning, our findings raise the possibility that repeated IVIs may contribute to structural changes relevant to glaucomatous progression.</p>\",\"PeriodicalId\":93945,\"journal\":{\"name\":\"Clinical ophthalmology (Auckland, N.Z.)\",\"volume\":\"19 \",\"pages\":\"3079-3087\"},\"PeriodicalIF\":0.0000,\"publicationDate\":\"2025-08-30\",\"publicationTypes\":\"Journal Article\",\"fieldsOfStudy\":null,\"isOpenAccess\":false,\"openAccessPdf\":\"https://www.ncbi.nlm.nih.gov/pmc/articles/PMC12404566/pdf/\",\"citationCount\":\"0\",\"resultStr\":null,\"platform\":\"Semanticscholar\",\"paperid\":null,\"PeriodicalName\":\"Clinical ophthalmology (Auckland, N.Z.)\",\"FirstCategoryId\":\"1085\",\"ListUrlMain\":\"https://doi.org/10.2147/OPTH.S544105\",\"RegionNum\":0,\"RegionCategory\":null,\"ArticlePicture\":[],\"TitleCN\":null,\"AbstractTextCN\":null,\"PMCID\":null,\"EPubDate\":\"2025/1/1 0:00:00\",\"PubModel\":\"eCollection\",\"JCR\":\"\",\"JCRName\":\"\",\"Score\":null,\"Total\":0}","platform":"Semanticscholar","paperid":null,"PeriodicalName":"Clinical ophthalmology (Auckland, N.Z.)","FirstCategoryId":"1085","ListUrlMain":"https://doi.org/10.2147/OPTH.S544105","RegionNum":0,"RegionCategory":null,"ArticlePicture":[],"TitleCN":null,"AbstractTextCN":null,"PMCID":null,"EPubDate":"2025/1/1 0:00:00","PubModel":"eCollection","JCR":"","JCRName":"","Score":null,"Total":0}
引用次数: 0

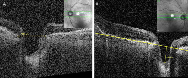
摘要

目的:探讨0.05cc抗vegf玻璃体内注射(IVIs)患者Bruch’s membrane opening (BMO)和视神经头(ONH) pit depth的急性解剖变化。方法:前瞻性招募接受静脉注射的患者,收集年龄、性别、种族、晶状体状态、是否存在青光眼、使用的注射药物、眼轴长度和杯盘比(C/D)等数据。在ivi前和ivi后5分钟内进行高分辨率光谱域OCT成像和测量。结果:51例患者共51只眼纳入研究。男性占35.29%。IVI的平均年龄为78.27±11.17岁。IVI后凹陷深度的平均变化为31.57±24.36 μm (p < 0.001)。先前接受静脉注射次数与注射后窝深变化减小显著相关(r = -0.369, p = 0.004)。分类或连续变量与IVI后窝深或BMO的变化之间没有明显的关系。IOP升高幅度与ivi后凹坑深度变化(r = 0.03, p = 0.834)或之前ivi次数(r = 0.005, p = 0.973)之间无显著关联。结论:IVI与ONH窝深的适度增加有关。先前注入的次数与这一变化呈负相关,表明对结构响应有潜在的累积效应。鉴于ONH生物力学与视网膜神经纤维层(RNFL)变薄之间的联系,我们的研究结果提出了重复静脉注射可能导致与青光眼进展相关的结构改变的可能性。
本文章由计算机程序翻译,如有差异,请以英文原文为准。

Optic Nerve Head Structural Changes After Intravitreal Injection.

Optic Nerve Head Structural Changes After Intravitreal Injection.

Purpose: To evaluate the acute anatomical changes of Bruch's membrane opening (BMO) and optic nerve head (ONH) pit depth in patients receiving 0.05cc of anti-VEGF intravitreal injections (IVIs).

Methods: We prospectively enrolled patients receiving IVIs and collected data including age, sex, race, phakic status, presence or absence of glaucoma, injection agent utilized, axial length, and cup-to-disc ratio (C/D). High-resolution spectral domain OCT imaging and measurements were made pre- and within five minutes post-IVI.

Results: Fifty-one eyes of 51 patients were included in the study. 35.29% of patients were male. The mean age at the time of IVI was 78.27 ± 11.17 years. The average change in the pit depth after IVI was 31.57 ± 24.36 μm (p < 0.001). The number of IVIs previously received significantly correlated with a decreased change in pit depth post-injection (r = -0.369, p = 0.004). No significant relationship was identified between categorical or continuous variables and the change in pit depth or BMO after IVI. No significant associations were identified between the magnitude of IOP elevation and the change in pit depth post-IVI (r = 0.03, p = 0.834) or the number of previous IVIs (r = 0.005, p = 0.973).

Conclusion: IVI was associated with a modest increase in ONH pit depth. The number of prior injections inversely correlated with this change, suggesting a potential cumulative effect on structural response. Given the link between ONH biomechanics and retinal nerve fiber layer (RNFL) thinning, our findings raise the possibility that repeated IVIs may contribute to structural changes relevant to glaucomatous progression.

求助全文
通过发布文献求助,成功后即可免费获取论文全文。 去求助
来源期刊
CiteScore
4.10
自引率
0.00%
发文量
0
×
引用
GB/T 7714-2015
复制
MLA
复制
APA
复制
导出至
BibTeX EndNote RefMan NoteFirst NoteExpress
×
提示
您的信息不完整,为了账户安全,请先补充。
现在去补充
×
提示
您因"违规操作"
具体请查看互助需知
我知道了
×
提示
确定
请完成安全验证×
copy
已复制链接
快去分享给好友吧!
我知道了
右上角分享
点击右上角分享
0
联系我们:info@booksci.cn Book学术提供免费学术资源搜索服务,方便国内外学者检索中英文文献。致力于提供最便捷和优质的服务体验。 Copyright © 2023 布克学术 All rights reserved.
京ICP备2023020795号-1
ghs 京公网安备 11010802042870号
Book学术文献互助
Book学术文献互助群
群 号:604180095
Book学术官方微信