成人型卵巢颗粒细胞瘤腹膜后晚期复发2例报告并文献复习。

IF 2.9 4区 综合性期刊 Q2 MULTIDISCIPLINARY SCIENCES
Science Progress Pub Date : 2025-07-01 Epub Date: 2025-09-04 DOI:10.1177/00368504251376404
Yutao Wang, Ting Liu, Xi Deng, Shuben Sun
{"title":"成人型卵巢颗粒细胞瘤腹膜后晚期复发2例报告并文献复习。","authors":"Yutao Wang, Ting Liu, Xi Deng, Shuben Sun","doi":"10.1177/00368504251376404","DOIUrl":null,"url":null,"abstract":"<p><p>Adult-type ovarian granulosa cell tumors are rare low-grade malignancies characterized by late recurrence and atypical clinical manifestations. This study reports two cases of recurrent adult-type ovarian granulosa cell tumor with distinct timelines and anatomical sites, including one case with two postoperative recurrences. We analyze their imaging features, surgical management, histopathology, postoperative follow-up, and review relevant literature. These cases highlight the importance of long-term follow-up and raise awareness of rare recurrence sites, emphasizing the diagnostic value of imaging and the need for individualized surveillance strategies in adult-type ovarian granulosa cell tumor patients.</p>","PeriodicalId":56061,"journal":{"name":"Science Progress","volume":"108 3","pages":"368504251376404"},"PeriodicalIF":2.9000,"publicationDate":"2025-07-01","publicationTypes":"Journal Article","fieldsOfStudy":null,"isOpenAccess":false,"openAccessPdf":"https://www.ncbi.nlm.nih.gov/pmc/articles/PMC12411711/pdf/","citationCount":"0","resultStr":"{\"title\":\"Late retroperitoneal recurrence of adult-type ovarian granulosa cell tumors: Two case reports and literature review.\",\"authors\":\"Yutao Wang, Ting Liu, Xi Deng, Shuben Sun\",\"doi\":\"10.1177/00368504251376404\",\"DOIUrl\":null,\"url\":null,\"abstract\":\"<p><p>Adult-type ovarian granulosa cell tumors are rare low-grade malignancies characterized by late recurrence and atypical clinical manifestations. This study reports two cases of recurrent adult-type ovarian granulosa cell tumor with distinct timelines and anatomical sites, including one case with two postoperative recurrences. We analyze their imaging features, surgical management, histopathology, postoperative follow-up, and review relevant literature. These cases highlight the importance of long-term follow-up and raise awareness of rare recurrence sites, emphasizing the diagnostic value of imaging and the need for individualized surveillance strategies in adult-type ovarian granulosa cell tumor patients.</p>\",\"PeriodicalId\":56061,\"journal\":{\"name\":\"Science Progress\",\"volume\":\"108 3\",\"pages\":\"368504251376404\"},\"PeriodicalIF\":2.9000,\"publicationDate\":\"2025-07-01\",\"publicationTypes\":\"Journal Article\",\"fieldsOfStudy\":null,\"isOpenAccess\":false,\"openAccessPdf\":\"https://www.ncbi.nlm.nih.gov/pmc/articles/PMC12411711/pdf/\",\"citationCount\":\"0\",\"resultStr\":null,\"platform\":\"Semanticscholar\",\"paperid\":null,\"PeriodicalName\":\"Science Progress\",\"FirstCategoryId\":\"103\",\"ListUrlMain\":\"https://doi.org/10.1177/00368504251376404\",\"RegionNum\":4,\"RegionCategory\":\"综合性期刊\",\"ArticlePicture\":[],\"TitleCN\":null,\"AbstractTextCN\":null,\"PMCID\":null,\"EPubDate\":\"2025/9/4 0:00:00\",\"PubModel\":\"Epub\",\"JCR\":\"Q2\",\"JCRName\":\"MULTIDISCIPLINARY SCIENCES\",\"Score\":null,\"Total\":0}","platform":"Semanticscholar","paperid":null,"PeriodicalName":"Science Progress","FirstCategoryId":"103","ListUrlMain":"https://doi.org/10.1177/00368504251376404","RegionNum":4,"RegionCategory":"综合性期刊","ArticlePicture":[],"TitleCN":null,"AbstractTextCN":null,"PMCID":null,"EPubDate":"2025/9/4 0:00:00","PubModel":"Epub","JCR":"Q2","JCRName":"MULTIDISCIPLINARY SCIENCES","Score":null,"Total":0}
引用次数: 0

摘要

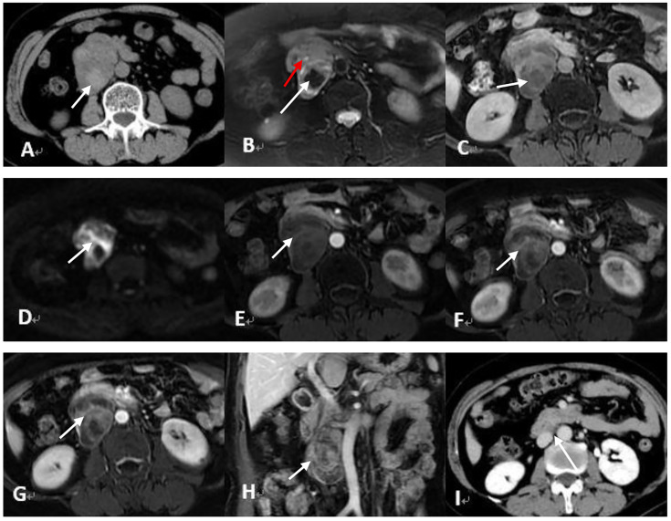
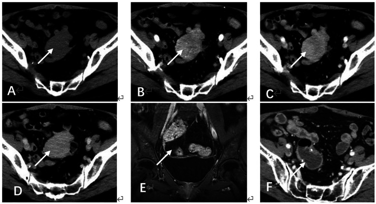
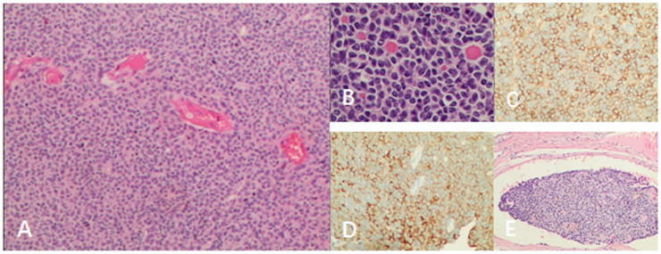
成人型卵巢颗粒细胞瘤是一种罕见的低级别恶性肿瘤,其特点是复发晚,临床表现不典型。本研究报告2例复发的成人型卵巢颗粒细胞瘤,具有不同的时间线和解剖部位,其中1例术后两次复发。我们分析其影像学特征、手术处理、组织病理学、术后随访,并复习相关文献。这些病例强调了长期随访的重要性,提高了对罕见复发部位的认识,强调了影像学的诊断价值和对成人型卵巢颗粒细胞瘤患者个性化监测策略的必要性。
本文章由计算机程序翻译,如有差异,请以英文原文为准。

Late retroperitoneal recurrence of adult-type ovarian granulosa cell tumors: Two case reports and literature review.

Late retroperitoneal recurrence of adult-type ovarian granulosa cell tumors: Two case reports and literature review.

Late retroperitoneal recurrence of adult-type ovarian granulosa cell tumors: Two case reports and literature review.

Late retroperitoneal recurrence of adult-type ovarian granulosa cell tumors: Two case reports and literature review.

Adult-type ovarian granulosa cell tumors are rare low-grade malignancies characterized by late recurrence and atypical clinical manifestations. This study reports two cases of recurrent adult-type ovarian granulosa cell tumor with distinct timelines and anatomical sites, including one case with two postoperative recurrences. We analyze their imaging features, surgical management, histopathology, postoperative follow-up, and review relevant literature. These cases highlight the importance of long-term follow-up and raise awareness of rare recurrence sites, emphasizing the diagnostic value of imaging and the need for individualized surveillance strategies in adult-type ovarian granulosa cell tumor patients.

求助全文
通过发布文献求助,成功后即可免费获取论文全文。 去求助
来源期刊
Science Progress
Science Progress Multidisciplinary-Multidisciplinary
CiteScore
3.80
自引率
0.00%
发文量
119
期刊介绍: Science Progress has for over 100 years been a highly regarded review publication in science, technology and medicine. Its objective is to excite the readers'' interest in areas with which they may not be fully familiar but which could facilitate their interest, or even activity, in a cognate field.
×
引用
GB/T 7714-2015
复制
MLA
复制
APA
复制
导出至
BibTeX EndNote RefMan NoteFirst NoteExpress
×
提示
您的信息不完整,为了账户安全,请先补充。
现在去补充
×
提示
您因"违规操作"
具体请查看互助需知
我知道了
×
提示
确定
请完成安全验证×
copy
已复制链接
快去分享给好友吧!
我知道了
右上角分享
点击右上角分享
0
联系我们:info@booksci.cn Book学术提供免费学术资源搜索服务,方便国内外学者检索中英文文献。致力于提供最便捷和优质的服务体验。 Copyright © 2023 布克学术 All rights reserved.
京ICP备2023020795号-1
ghs 京公网安备 11010802042870号
Book学术文献互助
Book学术文献互助群
群 号:604180095
Book学术官方微信