成人肺囊肿引起的原发性肺肉瘤的延迟诊断1例报告。

IF 1.3
Yoshito Imamura, Taketo Kato, Satoko Shimada, Harushi Ueno, Shota Nakamura, Tetsuya Mizuno, Toyofumi Fengshi Chen-Yoshikawa
{"title":"成人肺囊肿引起的原发性肺肉瘤的延迟诊断1例报告。","authors":"Yoshito Imamura, Taketo Kato, Satoko Shimada, Harushi Ueno, Shota Nakamura, Tetsuya Mizuno, Toyofumi Fengshi Chen-Yoshikawa","doi":"10.5761/atcs.cr.25-00097","DOIUrl":null,"url":null,"abstract":"<p><p>Primary pulmonary sarcoma is a rare disease and is much less common than lung cancer among tumors arising from pulmonary cysts. We report the case of a female patient who showed multifocal cysts in the left S9-10. Follow-up computed tomography (CT) revealed that the cyst tended to regress, but the solid component of the cyst wall continued to thicken, growing to a 10-cm-diameter tumor. Thoracoscopic left lower lobectomy was performed to diagnose and treat the cystic lung lesions. For the pathology of the pulmonary cystic lesion, it was marked by solid tumors composed of proliferative atypical spindle cells, with some trapped bronchial tissue. Based on the imaging and pathological findings, the diagnosis was primary pulmonary sarcoma arising from the pulmonary cyst. The present case highlights that, even when a pulmonary cyst appears to shrink, careful follow-up and timely surgical consideration are warranted if cyst wall thickening is observed.</p>","PeriodicalId":93877,"journal":{"name":"Annals of thoracic and cardiovascular surgery : official journal of the Association of Thoracic and Cardiovascular Surgeons of Asia","volume":"31 1","pages":""},"PeriodicalIF":1.3000,"publicationDate":"2025-01-01","publicationTypes":"Journal Article","fieldsOfStudy":null,"isOpenAccess":false,"openAccessPdf":"https://www.ncbi.nlm.nih.gov/pmc/articles/PMC12410992/pdf/","citationCount":"0","resultStr":"{\"title\":\"Delayed Diagnosis of Primary Pulmonary Sarcoma Arising from a Pulmonary Cyst in an Adult: A Case Report.\",\"authors\":\"Yoshito Imamura, Taketo Kato, Satoko Shimada, Harushi Ueno, Shota Nakamura, Tetsuya Mizuno, Toyofumi Fengshi Chen-Yoshikawa\",\"doi\":\"10.5761/atcs.cr.25-00097\",\"DOIUrl\":null,\"url\":null,\"abstract\":\"<p><p>Primary pulmonary sarcoma is a rare disease and is much less common than lung cancer among tumors arising from pulmonary cysts. We report the case of a female patient who showed multifocal cysts in the left S9-10. Follow-up computed tomography (CT) revealed that the cyst tended to regress, but the solid component of the cyst wall continued to thicken, growing to a 10-cm-diameter tumor. Thoracoscopic left lower lobectomy was performed to diagnose and treat the cystic lung lesions. For the pathology of the pulmonary cystic lesion, it was marked by solid tumors composed of proliferative atypical spindle cells, with some trapped bronchial tissue. Based on the imaging and pathological findings, the diagnosis was primary pulmonary sarcoma arising from the pulmonary cyst. The present case highlights that, even when a pulmonary cyst appears to shrink, careful follow-up and timely surgical consideration are warranted if cyst wall thickening is observed.</p>\",\"PeriodicalId\":93877,\"journal\":{\"name\":\"Annals of thoracic and cardiovascular surgery : official journal of the Association of Thoracic and Cardiovascular Surgeons of Asia\",\"volume\":\"31 1\",\"pages\":\"\"},\"PeriodicalIF\":1.3000,\"publicationDate\":\"2025-01-01\",\"publicationTypes\":\"Journal Article\",\"fieldsOfStudy\":null,\"isOpenAccess\":false,\"openAccessPdf\":\"https://www.ncbi.nlm.nih.gov/pmc/articles/PMC12410992/pdf/\",\"citationCount\":\"0\",\"resultStr\":null,\"platform\":\"Semanticscholar\",\"paperid\":null,\"PeriodicalName\":\"Annals of thoracic and cardiovascular surgery : official journal of the Association of Thoracic and Cardiovascular Surgeons of Asia\",\"FirstCategoryId\":\"1085\",\"ListUrlMain\":\"https://doi.org/10.5761/atcs.cr.25-00097\",\"RegionNum\":0,\"RegionCategory\":null,\"ArticlePicture\":[],\"TitleCN\":null,\"AbstractTextCN\":null,\"PMCID\":null,\"EPubDate\":\"\",\"PubModel\":\"\",\"JCR\":\"\",\"JCRName\":\"\",\"Score\":null,\"Total\":0}","platform":"Semanticscholar","paperid":null,"PeriodicalName":"Annals of thoracic and cardiovascular surgery : official journal of the Association of Thoracic and Cardiovascular Surgeons of Asia","FirstCategoryId":"1085","ListUrlMain":"https://doi.org/10.5761/atcs.cr.25-00097","RegionNum":0,"RegionCategory":null,"ArticlePicture":[],"TitleCN":null,"AbstractTextCN":null,"PMCID":null,"EPubDate":"","PubModel":"","JCR":"","JCRName":"","Score":null,"Total":0}
引用次数: 0

摘要

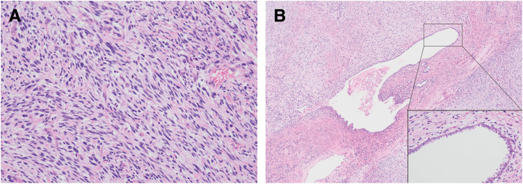
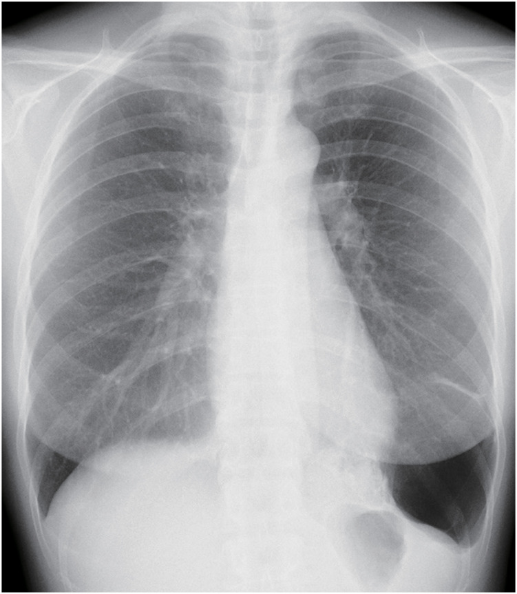
原发性肺肉瘤是一种罕见的疾病,在由肺囊肿引起的肿瘤中,其发病率远低于肺癌。我们报告一例女性患者在左侧S9-10表现出多灶性囊肿。随访CT显示囊肿有消退的趋势,但囊肿壁实性成分继续增厚,长成直径10 cm的肿瘤。行胸腔镜下左下肺叶切除术诊断和治疗肺囊性病变。肺囊性病变病理表现为非典型梭形细胞增生组成的实体瘤,伴支气管组织被困。根据影像学和病理表现,诊断为原发性肺肉瘤,起源于肺囊肿。本病例强调,即使出现肺囊肿缩小,如果观察到囊肿壁增厚,也应仔细随访并及时进行手术治疗。
本文章由计算机程序翻译,如有差异,请以英文原文为准。

Delayed Diagnosis of Primary Pulmonary Sarcoma Arising from a Pulmonary Cyst in an Adult: A Case Report.

Delayed Diagnosis of Primary Pulmonary Sarcoma Arising from a Pulmonary Cyst in an Adult: A Case Report.

Delayed Diagnosis of Primary Pulmonary Sarcoma Arising from a Pulmonary Cyst in an Adult: A Case Report.

Delayed Diagnosis of Primary Pulmonary Sarcoma Arising from a Pulmonary Cyst in an Adult: A Case Report.

Primary pulmonary sarcoma is a rare disease and is much less common than lung cancer among tumors arising from pulmonary cysts. We report the case of a female patient who showed multifocal cysts in the left S9-10. Follow-up computed tomography (CT) revealed that the cyst tended to regress, but the solid component of the cyst wall continued to thicken, growing to a 10-cm-diameter tumor. Thoracoscopic left lower lobectomy was performed to diagnose and treat the cystic lung lesions. For the pathology of the pulmonary cystic lesion, it was marked by solid tumors composed of proliferative atypical spindle cells, with some trapped bronchial tissue. Based on the imaging and pathological findings, the diagnosis was primary pulmonary sarcoma arising from the pulmonary cyst. The present case highlights that, even when a pulmonary cyst appears to shrink, careful follow-up and timely surgical consideration are warranted if cyst wall thickening is observed.

求助全文
通过发布文献求助,成功后即可免费获取论文全文。 去求助
来源期刊
自引率
0.00%
发文量
0
×
引用
GB/T 7714-2015
复制
MLA
复制
APA
复制
导出至
BibTeX EndNote RefMan NoteFirst NoteExpress
×
提示
您的信息不完整,为了账户安全,请先补充。
现在去补充
×
提示
您因"违规操作"
具体请查看互助需知
我知道了
×
提示
确定
请完成安全验证×
copy
已复制链接
快去分享给好友吧!
我知道了
右上角分享
点击右上角分享
0
联系我们:info@booksci.cn Book学术提供免费学术资源搜索服务,方便国内外学者检索中英文文献。致力于提供最便捷和优质的服务体验。 Copyright © 2023 布克学术 All rights reserved.
京ICP备2023020795号-1
ghs 京公网安备 11010802042870号
Book学术文献互助
Book学术文献互助群
群 号:604180095
Book学术官方微信